4주차(2) : 18. Disorders of Larynx and Pharynx
1️⃣ Laryngeal paralysis (후두마비)
되돌이후두신경 (recurrent laryngeal nerves)
되돌이후두신경 (recurrent laryngeal nerves)
- 되돌이후두신경 : 미주신경이 대동맥궁에서 한 바퀴 돌아 후두 쪽으로 감.
- abductor msucle에 innervation
Link to original
>> Vagus nerves
- 정상일 때는 흡기 때 abductor muscle이 연골을 벌려 주는데, 이 과정에 문제가 생기면 후두 마비. 숨이 안 쉬어지고, 호흡음이 발생함.
- arytenoid cartilages(모뿔연골)이 벌어지지 못하거나,
- abductor muscle을 조절하는 되돌이후두신경에 문제가 생겼을 때도 발생할 수 있음.
Laryngeal paralysis의 potential causes
- Idiopathic (특발성)
- Ventral cervical 병변 : 신경 손상, 종양, 그 외 염증이나 종괴 소견
- Anterior thoracic (대동맥~목) 병변 : 종양, 외상, 그 외 염증이나 종괴 소견
- Polyneuropathy & Polymyopathy (신경과 근육 사이 시냅스)
- 특발성, 면역 매개, 내분비 문제, 독성, 선천적 질환
- 흔하지 않으나, 갑상선 기능 저하증(hypothyroidism)에 의해 발생 가능
- Myasthenia Gravis (중증 근무력증) : 후두근 주변 근육들이 영향을 받았을 때
⇒ 흔하게 접하는 질병은 아니고, 주로 특발성이거나 갑상선기능저하증 환자에서 발생.
임상 증상
- 나이와 품종에 상관없이 발생할 수 있지만, 나이든 large-breed 개에서 더 흔히 발생.
- 리트리버 (Labrador Retrievers) : 갑상선기능저하증 호발 품종 → 후두마비도 자주 나타남.
- 호흡 부전, stridor : 원래 벌어져야 할 후두 공간이 좁아지기 때문에 당연히 호흡음이 발생함.
- 먹거나 마실 때 gagging(구역질), coughing
- 속발성 후두염(laryngitis), 인두/식도 기능장애(concurrent pharyngeal or esophageal dysfunction), 상부 호흡기 폐쇄로 인한 식도 역류(esophageal reflux) 때문에 나타남.
- 오연성 폐렴 (aspiration pneumonia) : 드물지만 증상이 심하면 내용물이 넘어갈 수 있음.
진단
- Laryngoscopy → arytenoid cartilage, vocal folds가 가만히 있거나, 오히려 빨려들어감.
- 흡기 때 벌어지고 호기 때 좁아져야 정상인데,
- 흡기 때 음압이 걸리면서 빨려들어가고, 호기 때는 양압이 걸리면서 살짝 벌어짐 = paradoxical movement (반대 움직임)
(⇒ 신경이 열어주는 힘 ↓, 틈이 좁아져 소리가 남=stridor) - 틈새의 크기 변화가 크지 않아, 움직이지 않고 가만히 있는 것처럼 보임(remian in a midline position)
치료
- 상부 호흡기계 환자에서 흥분하거나 체온이 높아지면 증상이 심화됨.
⇒ 체온을 낮춰주고, 부종을 빼 주고, 진정제 고려. - 심하지 않으면 cage rest + 스테로이드 약물 (부종 완화, 진정 → 호흡 느리게 해줌)
- short-acting glucocorticoids- e.g. Prednisone, 0.5 bid
- 수술 (계속 반복될 시 고려) → unilateral arytenoid lateralization 추천

- 목 옆면에서 후두의 특정 연골을 잡아당겨 비대칭적으로 열어줌.
- 공기는 통과하지만 음식물은 통과하지 못하는 적절한 정도로 열어줌.
- 호흡음은 나아지나, 흡인성 폐렴, 오연성 폐렴에 대한 위험도가 높아짐.
⇒ 갑상선 검사, 스테로이드, 체중 감량 → 안 되면 수술. (부작용으로 오연성 폐렴 위험이 있으니, 가능하면 하지 않도록.)
2️⃣ Brachycephalic Obstructive Airway Syndrome (BOAS, 단두개증후군)
- 여러 개의 이상증을 통칭하는 말로, Brachycephalic dogs(단두종)에서 많이 보이는 증후군
: stenotic nares(콧구멍 좁은 거), elongated soft palate, hypoplastic trachea(기관 직경 자체가 작게 태어남; 불독 호발), obstructing nasal turbinates (비갑개가 빽빽함) - 콧구멍이 좁고, oropharynx와 nasopharynx 공간이 좁아 생기는 문제가 많음.
- 2차적으로 상부 호흡기에 음압이 많이 걸려 inspiratory effort 증가
→ 후두 구조가 무너지거나 빨려들어가며 laryngeal saccules(낭 형성), laryngeal collapse 가능. - ptyalism(침과다), regurgitation(역류), vomiting 등 GI 증상도 흔히 동반됨.
= 좁아진 콧구멍, 비갑개의 비대, 혀의 비대, 연구개의 과증식
임상 증상
- 호흡음, stertor, 흡기에 드는 노력이 커짐(노력성 호흡)
- 심하면 청색증(cyanosis), 기절(syncope)
- 운동, 흥분, 높은 온도 → 증상 심화
- 숨이 어려워서 길게 힘들게 숨을 들이마시다 보면 산소 공급이 힘들고 기절
- 인후두 점막에 2차적인 부종과 염증 / 후두낭(laryngeal saccules), 후두허탈(laryngeal collapse)
진단
- 증상이 너무 명확해서 진단은 어렵지 않음.
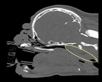
- CT를 찍으면 turbinate 이상과, 작은 naso&oropharynx 공간 보임.
* 엑스레이로는 nasopharynx 정도까지만 확인 가능. 비갑개와 비강 내부 정확하게 확인하려면 CT 필요.

치료
- 심한 운동이나 흥분, 더운 환경은 최대한 피하도록
- 수술도 좋은 선택
- 콧구멍을 넓혀주는 수술 (widening of the external nares)
- 외번된 후두낭을 잘라주는 수술 (removeal of everted laryngeal saccules)
- 길게 내려온 soft palate를 잘라주는 수술 (removal of excessive soft palate)
- 비갑개(코선반)절제술 (laser turbinectomy)
- 좁은 콧구멍을 교정하는 수술 (correction of stenotic nares)
- 약물 치료 (short-acting glucocorticoids) → 염증, 부종 완화
- 살을 많이 빼면 증상이 확연히 좋아짐
/../../../../Settings/Attached-files/Pasted-image-20241020210853.png)
/../../../../Settings/Attached-files/recurrent-laryngeal-n.jpg)