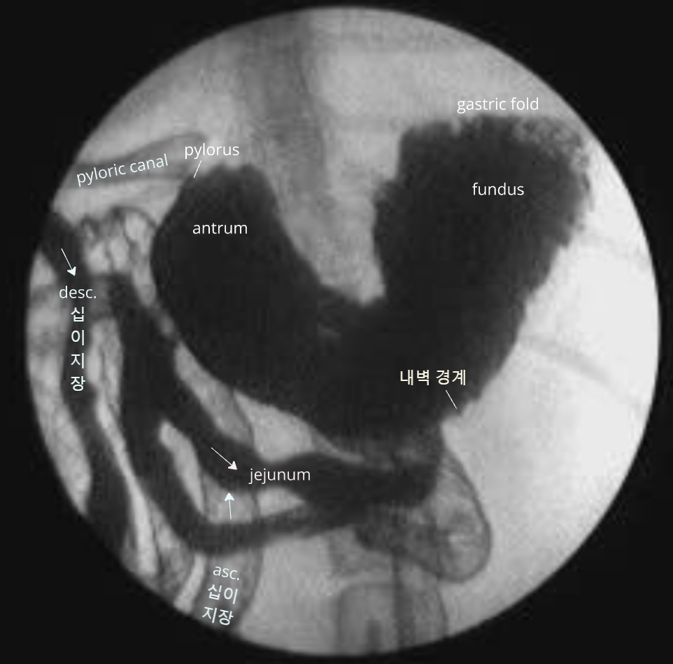
[1] Esophagus [2] Stomach [3] Intestinal disorder
1. GI Disease - ์กฑ๋ณด ๊ณต๋ถ
0. ๊ธฐ๋ณธ
์ํ๊ธฐ๊ณ๊ฐ ์ ์ข์ผ๋ฉด
- ๊ตฌํ
- ์ค์ฌ
- ์์๋ถ์ง
- ํ๋๋ ๊ฐ์
- ๊ฐ์ผ์ฑ์ธ ๊ฒฝ์ฐ, ๋ฐ์ด
- ํ๋ณ, ํ๋จ, ํํ , ๋ ธ๋ ํ
๋ฑ์ผ๋ก ๋ด์ํ๋ ๊ฒฝ์ฐ๊ฐ ๋ง์.
์ํ๊ธฐ ํ์๊ฐ ๋ด์ํ๋ฉด
- ์ด์ง
- ์ฒด์จ & ์ฒด์จ๊ณ์ ๋ถ๋ณ์ ์์
- X-ray ์๊ฒฌ ํ์ธ
ํ์ต ๋ชฉํ
- Patient positioning : VD์ ์ธ์ธก์์ ์ ํํ ์ดฌ์ ์์ธ
- Anatomy : ์(๊ฐ ๋ค)๋ฅผ ๋น๋กฏํ ์ฅ๊ธฐ๋ค์ ์์น
- Density
- Serosal detail : ์ดฌ์์์ ์ฅ๋ฒฝ์ด ์ ๋ณด์ด๋์ง
- GI tract running : ์ํ์ฅ๊ธฐ์ ์ฃผํ์ ์ ๋ฐ๋ผ๊ฐ ์ ์์ด์ผ ํจ
- Ileus sign : ์ฅํ์ ์๊ฒฌ ํ์ธ ๊ฐ๋ฅ (์ข ์, ์ด๋ฌผ ๋ฑ์ ์ํด)
- GI tract contrast technique : ์กฐ์์ ๋ฅผ ํฌ์ฌํ๋ฉด ์๊ฐ๋๋ณ๋ก ์ง์ฅ๊น์ง ํ๋ฌ๋ด๋ ค๊ฐ. ์ฌ๋ฌ ์ฐจ๋ก ์ดฌ์ํ์ฌ ๋ฃจํธ ์ถ์ ๊ฐ๋ฅ.
Positioning
- Lateral : ์ผ๋ถ ์ฌ์์(Xiphoid process)~์๋ฉ์ด ๋๊น์ง ๋ ธ์ถํ์ฌ ์ดฌ์.
- VD : ๊ฐ ์ฒจ๋ถ ~ ๊ณจ๋ฐ ๋๊น์ง ์ํ ์ ์ง (๋ท๋ค๋ฆฌ ๋ณด์ ์ ๋์ผํ ์์น์์ ์ก๊ณ , ๋ฐ๋ฅ์ ๋์ด ๋๋ฎ์ด๋ฅผ ๋ง์ถค)
Anatomy (๋ณต๊ฐ ์ฅ๊ธฐ์ ์์น)
| Lateral |
|---|
| - stomach : ๊ฐ ์๋ gas๊ฐ ์ฐจ ์๋ ๊ตฌ์กฐ (์ฐจ ์๋ ๊ฑด ๋ค๋ฅผ ์ ์์) - duodenum : ์์ ๊ฐ์ด๋ฐ์์ ๋ป์ด๋๊ฐ - cecum : ์ฐ์ธก, ์ฌ์ฅ ์ฃผ๋ณ, gas๊ฐ ์ฐจ ์๋ ์ํ์ฑ ๊ตฌ์กฐ. (์์ ๋ฑ์ผ๋ก ์์น ๋ณํ ์ ์์) |
์กฐ์์
- ์์ฑ์กฐ์์ : radiolucentํ๊ฒ(=๊ฒ๊ฒ) ๋ณด์ด๊ฒ ํ๋ ๊ฒ. ๋๊ธฐ๊ณต๊ธฐ, ์ด์ฐํํ์, ์ง์.
- ex. ์์ ๊ณต๊ธฐ ๋ฃ์ด์ ์์ ์ด๋ฌผ์ด๋ ๊ฒฝ๊ณ๋ฅผ ํ์ธ ๊ฐ๋ฅ.
- ์์ฑ์กฐ์์ : radioopaqueํ๊ฒ(=ํ์๊ฒ) ๋ณด์ด๊ฒ ํ๋ ๊ฒ.
- ํก์์ฑ : ํก์๋์ด ๋จ๋ก ๋ฐฐ์ถ๋จ. (iodine)
- ์ด์จ์ฑ์กฐ์์ : ์ ์ฅ, ๋ฐฉ๊ด, ๋จ - ๋ชธ์ ์ ๋ง ๋ฑ์ ์๊ทน๊ณผ ํ์ ์ ๋ฐ
- ๋น์ด์จ์ฑ : ํ๊ด, ์ ๊ฒฝ - HB์๊ทน์ด ์ ์
- ๋นํก์์ฑ : ์ํ๊ธฐ๊ณ ๊ฒ์ฌ. (Barium sulfate)
- ์๋, ์๋ฒฝ, ์ญ์ด์ง์ฅ ๋ฑ์ ์์ํํ ์ ์์. โ ๊ฒฐ๊ตญ colon์ ๋ชจ์ด๊ณ ๋ถ๋ณ์ผ๋ก ๋ฐฐ์ถ.
- ํก์์ฑ : ํก์๋์ด ๋จ๋ก ๋ฐฐ์ถ๋จ. (iodine)
๋ณต๋ถ๋ฐฉ์ฌ์ ํ๋ ์ ์์ ํ์ธํ ์ฌํญ
- Serosal detail : ์ฅ๋ฒฝ์ด ์ ๋ณด์ด๋์ง ํ์ธ.
- gas, soft tissue(์ฐ๋ถ์กฐ์ง), fat(์ฅ๊ฐ๋ง) - ์ ์ contrast๊ฐ ๋ฌ๋ผ์ ์ฅ๋ฒฝ์ด ํ์ธ๋จ.
- ์ฐ๋ถ์กฐ์ง๊ณผ ๋ฐ๋๊ฐ ๋น์ทํ ์ก์ฒด๊ฐ ์์ผ๋ฉด detail์ด ํ์ธ๋์ง ์์. โ ๋ณต๊ฐ๋ด์ ์ก์ฒด๊ฐ ์๋ค๋ ๋ป = ์ผ์ฆ์ฑ ์ฐ์ถ๋ฌผ, ๋ณต์, ์ถํ(์ฅ๊ธฐ ํ์ด), ๋จ
- Abdominal wall including diaphragm : ํก๊ฒฉ๋ง์ ์ ์์ ์ผ๋ก๋ ๊ฐ์ ๋ฌ๋ผ๋ถ์ด ์๊ธฐ ๋๋ฌธ์ ๊ฐ์์์ผ๋ก ํ์ธ
- Displacement, Size : ์ฅ๊ธฐ๋ค์ ์์น์ ํฌ๊ธฐ๊ฐ ์ ์์ ์ธ์ง
- Shape (contour, magin) of abd. organs
- ex. ๊ท ์งํ ๋ฐ๋๋ก ์๋ ๋น์ฅ, ์์น๋ ์๋ค๊ฐ๋คํจ.
Serosal detail
- Serosal detail์ด ๋จ์ด์ง๋ฉด fluid๊ฐ ์ฐผ๋ค๋ ์๋ฏธ
- Transudate : ์ฐ์ฌ๋ถ์ , ๊ฐ๋ถ์ , hypoalbuminemia/proteinemia^[์กฐ์ง ์ผํฌ์์ด ๊ฐ์ํ๋ฉด์ ๋น ์ ธ๋์ฌ ์ ์์]
- Pus : peritonitis โ trauma, pancreas
- Blood : ๊ต์(ํํ์ฅ๊ธฐ์ ํ์ด), neoplasia, HBC
- Urine : pelvic fx๋ฅผ ๋๋ฐํ HBC
- = Thumb printing sign :๋ณต์๊ฐ ์ฐจ์ ๊ฒ์์(gas), ํฐ์(fluid)๋ก๋ง ๊ตฌ๋ถ๋จ.
| ์ ์ | ๋ณต์ ์๊ฒฌ |
|---|---|
![]() | ![]() |
์ ์์ ์ผ๋ก serosal detail์ด ์ ํ๋๋ ๊ฒฝ์ฐ
- ์ด๋ฆฐ ์๊ฒฌ : ์๊ฒฌ์ ์ง๋ฐฉ์ ๋ฌผ์ ๊ฐ๊น์ด brown fat (์ด์ํ๋ก ๋ณต์ ๊ฐ๋ณ)
- ๊ฐ์ด ์ ์์ ์ผ๋ก ๋น๋ํด ๋ณด์.
- ์ ์ฝ : ๋ฐฐ๊ฐ ํ์ญํด์ง๋ฉด์ ์ฅ๋ฒฝ์ด ๋ถ์ด detail ๊ฐ์. (๋ณต์๋ ๋ฐ๋๋ก ๋ฐฐ๊ฐ ๋นต๋นตํด์ง)
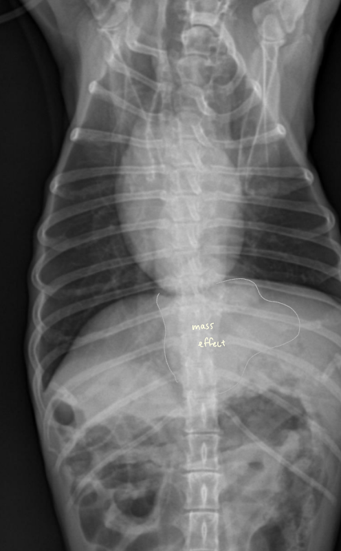
Fluid or Mass
- Fluid : ์ธ์ธก์์์ ์ค์์ผ๋ก ๋ชจ์. diffuseํ ์ฐ๋ถ์กฐ์ง ๋ฐ๋.
- Mass : ์๋ฆฌ๋ฅผ ์ฐจ์งํจ โ ์ฅ์ ๋ฐ์ด๋. & ์ข ์์ด ์ปค์ง๋ฉด์ ์ถํ์ ์ ๋ฐ.
| Fluid | Mass |
|---|---|
![]() | ![]() |
![]() | |
![]() |
1. Esophagus (์๋)
- ์๋ : ์ฐ๋ถ์กฐ์ง, ํก๊ฒฉ๋ง์ ๊ฑฐ์ณ ํ๋ง์ ๋ซ๊ณ ์๋ก ๋ค์ด๊ฐ.
- ์ ์์ ์ผ๋ก๋ ๊ณต๊ธฐ๊ฐ ์์ด collapsed. gas๊ฐ ์ฐจ๋ฉด ๋ณด์ผ ์ ์์.
- ์ ์ ์๊ฒฌ
- ๋ง์ทจ๋ ํฅ๋ถ์ ์ํด ์ ์์ ์ผ๋ก ์๋๋ด ๊ฐ์ค๊ฐ ๋ถ๋ถ์ ์ผ๋ก ์ถ์ ๋ ์ ์์.
- ํ๊ฐ ์ ๊ตฌ๋ถ ์๋์ ๋ฏธ์ฝํ ํ์ฅ๊ณผ ์๋ ์ฃผํ์ ๋ณํ์ ์ ์.
| ๊ณ ์์ด ์๋์ ํน์ง |
|---|
| - ์ฃผ๋ฆ๊ด ํํ์ ์๋ โ ์กฐ์์ ๊ฐ ์ผ์์ ์ผ๋ก ์ถ์ ๋์ด ์ค๋ฌด๋ฌ ๋ชจ์์ผ๋ก ๊ด์ฐฐ๋จ. |
| - ์์ฅ์ ๋ถ์ (pearl-string sign) : ๋ถ์ ์ด ๋ ์ ๋ณด์ฌ์ ์ง์ฃผ ๋ชฉ๊ฑธ์ด ๋ชจ์์ผ๋ก ๊ด์ฐฐ๋จ. |
![]() |
| Esophageal redundancy |
|---|
- Thoracic inlet์ ๋์ด์ ์๋์์ ์ ์์ ์ผ๋ก C์ ํํ์ ์ฃผํ์ ๋ณด์ผ ์ ์์.![]() ![]() |
์๋์ ๋ณ์ ์๊ฒฌ
- ์ด๋ฌผ, ์๋ํ์ฅ์ฆ, ์ผ์ฆ, ์๋ํ์ฐฉ์ฆ, ์๋์์ค์ฒฉ, ์ข ์(rare)
- ๋ฐฉ์ฌ์ ์ ์๊ฒฌ : ์๋๋ด ๋ฐฉ์ฌ์ ๋ถํฌ๊ณผ์ฑ, ๊ฐ์ค ์ถ์ , ํ์ฅ๋ ์๋ฒฝ
- ์ง๋จ : ์กฐ์ ํฌ์๋ฐฉ์ฌ์ , CT, ์ด์ํ, ๋ด์๊ฒฝ
Tracheoesophageal strip sign (์๋ ๋ด ๊ฐ์ค ์ถ์ )
- Tracheoesophageal strip sign : ์๋ ํ์ฅ์ ์ํด ๊ธฐ๊ด๊ณผ ์๋๊ฐ ๊ฒน์ณ ๋ํ๋๋ ๊ฐ๋๊ณ ํํํ ๊ณต๊ธฐ ์์.
- ์๋์ ๊ฐ์ค ์ถ์ ๋์ด ์๋ค๋ฉด
- ํฅ๋ถ์ด๋ ๋ง์ทจ๋ก ์ธํ ์ผ์์ ์ถ์ (์ ์)
- ์ด๋ฌผ๋ก ์ธํ ๋งํ
- MG์ ์ํ ์๋ํ์ฅ์ฆ (์๋๊ทผ ๋ฌด๋ ฅํ)
| ์ ์ | Strip sign |
|---|---|
![]() | ![]() |
![]() | ![]() |
Megaesophagus
| Megaesophagus |
|---|
| MG์ ์ํ ์๋ํ์ฅ |
| - Maysthenia gravis (MG) : Antibody-mediated autoimmune destruction of nicotinic acetylcholine receptor - ์น๋ฃ์ ์ง๋จ : tensilon test (edrophonium test) โ Contrast fluoroscopy : Neostigmine ํฌ์ฌ๋ค ์๋์ ์ด๋์ฑ์ด ์ด์ง๋๋ฉฐ ์๋ํ์ฅ์ด ๊ฐ์ ๋๋ค๋ฉด MG์ผ ๊ฐ๋ฅ์ฑ์ด ๋์. โ ํก๊ฒฉ๋ง ์์ชฝ์์ ์๋ ํ์ฅ |
![]() |
![]() ![]() |
| PRAA์ ์ํ ์๋ํ์ฅ |
| - PRAA : VRA (Vascular ring anomaly)์ ํ ํํ. ์ ์์ ์ผ๋ก ํดํํด์ผ ํ ์ค๋ฅธ์ชฝ ๋๋๋งฅ๊ถ์ด ๋จ์์์ - 3rd right subclavian artery์ ์์กด : carina ์์ชฝ์ ์์นํ ๋๋๋งฅ๊ณผ ํ๋๋งฅ์ ์ฐ๊ฒฐ ๋ (ligamentum arteriosum)๊ฐ ์ ์์ ์ผ๋ก ํดํ๋์ง ์๊ณ band ๋ชจ์์ผ๋ก ์ ์ง๋จ โ carina ์์ชฝ์์ ์๋ ํ์ฅ โ ์ด๋ฆฐ ๋์ด์ regurgitation์ ๋ณด์ |
| |
Foreign bodies (Esophageal FB)
- ์๋ ์ฃผ์์ ์ด๋ฌผ์ด ํ์ธ๋ ๊ฒฝ์ฐ ๋ด์ผ ํ๋ 2์ฐจ์ ๋ฌธ์
- ์๋ ์ฃผ์ ๊ฐ์ค์์ = ์๋์ฒ๊ณต โ ํ์(*fissure line), ํ๋ง์ผ and/or ํ๋ ด, ์ข ๊ฒฉ์ผ์ถ
- ์ค์ฐ์ฑ ํ๋ ด
- ์กฐ์ ๊ฒ์ฌ (๋น์ด์จ์ฑ ์กฐ์์ ์ฌ์ฉ)
- ๋ด์๊ฒฝ ์ฃผ์ โ ๊ธฐํ์ ์ํ ํํ์ฅ์ ์ต์ํ์ฌ ํ์ฌ ์ ๋ฐ
- ์๋ ์ด๋ฌผ์ ๋ฐฉ์ฌ์ ํ์ ํน์ง
- ์ด๋ฌผ ์ ํ๋ฐฉ์ gas๋ก ํ์ฅ๋ ์๋
- ํ์ผ์ ์ค๋ณต ์์ ๊ด์ฐฐ
- ์ฐ๋ถ์กฐ์ง์ฑ ์ด๋ฌผ์ ๊ฒฝ์ฐ, ์ฐ๋ถ์กฐ์ง ๋ฐ๋
๊ทธ ์ธ
- Esophageal diverticulum (์๋๊ฒ์ค)
- Esophageal stenosis (์๋ํ์ฐฉ)
- Esophageal stricture
- Gastroesophageal intussusception (์์๋ ์ค์ฒฉ)
- ์๋ ์ข ์
| Esophageal diverticulum (์๋๊ฒ์ค) |
|---|
| - ์๋๋ฒฝ์ด ์ฃผ๋จธ๋์ฒ๋ผ ๋์ถ๋จ. - ๊ฒ์ค ๋ด์ ์กฐ์์ ๊ฐ ๊ณ ์. |
![]() ![]() |
| Esophageal stenosis (์๋ํ์ฐฉ) |
|---|
![]() |
| Esophageal stricture |
|---|
![]() ![]() |
| Gastroesophageal intussusception (์์๋ ์ค์ฒฉ) |
|---|
| - ์์ ์ผ๋ถ๊ฐ ์๋๋ก ๋ง๋ ค๋ค์ด๊ฐ๋ ์๊ธ ์งํ - ์๋ ๋ด๋ก ์ ๋ด์ฉ๋ฌผ์ด๋ ์ ๋ง ์ฃผ๋ฆ ๋ฑ์ด ์ญ๋ฅ๋์ด ์ ๊ตฌ์กฐ๊ฐ ์๋ ๋ด์์ ๊ด์ฐฐ๋จ. ![]() |
| ์๋ ์ข ์ |
|---|
![]() |
2. Stomach
- ์๋ฒฝ์ด ๋๊บผ์์ก๋ค? โ ์ผ์ฆ or ์ข ์
- ์๋ด ์ด๋ฌผ : ๋ง์ฑ์ , ๊ฐํ์ ๊ตฌํ ๋ฅผ ๋๋ฐํ๋ค. (๊ฐ์์ ๊ณผ์ผ ์จ-ํนํ ๋ณต์ญ์ ์จ, ์คํํน, ํ๋ผ์คํฑ, ๋ผ.. / ๊ณ ์์ด hairball, ์ค..)
- ์ํฝ์ฐฝ : ์ํ์ฅ์ฆ(GD), ์ํ์ฅ์ผ์ ์ฆํ๊ตฐ(GDV)
- ์์ข
์ : ์ ๋ด๋ฒฝ๊ณผ ์ธ๋ฒฝ์ ๋๊ป ํ์ธ (์ ์ ์๋ฒฝ ๋๊ป๋ 5-6mm ์ดํ)
- ์ฆ์ : ๊ตฌํ , ํ์๋ณ(melena) โ ์ด์ํ ์ง๋จ ์ ์ฉ
- ๊ทธ ์ธ ๋ณ์, hernia, ์ผ์ฆ ๋ฑ
์ ์ ๊ตฌ์กฐ ๊ด์ฐฐ


โ ์ฅ์ ๋จ๋ฉด (๋ฒฝ ๊ตฌ์กฐ ๊ตฌ๋ถ)
- ์์ชฝ๋ฉด๋ถํฐ 4์ธต์ ๊ตฌ์กฐ๋ก ์ด๋ฃจ์ด์ง.
- ์ ๋ง์ธต | Mucosa (์ ์์ฝ์ฑ, ์ด๋์)
- ์ ๋งํ์ธต | Submucosa (๊ณ ์์ฝ์ฑ, ๋ฐ์) โ ๊ฒฐํฉ์กฐ์ง, ๋ฐ์ฌ๊ฐ ๊ฐํด hyperechoic
- ๊ทผ์ก์ธต | Muscularis (์ ์์ฝ์ฑ,์ด๋์)
- ์ฅ๋ง์ธต | Serosa (๊ณ ์์ฝ์ฑ, ๋ฐ์) โ ๊ฒฐํฉ์กฐ์ง, ๋ฐ์ฌ๊ฐ ๊ฐํด hyperechoic

(๋์นญ ๊ตฌ์กฐ์ ์ค์ฌ์ด ๋๋ ํฐ์ ๋ด๊ฐ์ ์ฐพ๋๋ค. ๋ด๊ฐ์์๋ถํฐ ๊ฒ-ํฐ-๊ฒ-ํฐ 4์ธต ๊ตฌ์กฐ๋ฅผ ํ์ธํ ์ ์๋ค.)
์์ ๋ณ์ ์๊ฒฌ
์๋ด ์ด๋ฌผ
-
์ด๋ฌผ์ ์ข ๋ฅ์ ๋ฐ๋ผ ๋ฐฉ์ฌ์ ํฌ๊ณผ์ฑ์ด ๋ค์ํ ์ ๋๋ก ๋ํ๋จ, ์์ธ์ ๋ฐฉํฅ์ ๋ฐ๋ผ ๋ชจ์๋ ๋ค์ํ๊ฒ ์ดฌ์๋จ.
-
X-ray ์ด์ ์ ์ด์ง์ด ์ค์ (๋ฐฐ ๊ทผ์ฒ์์ ๋ง์ ธ์ง ์ ์์)
-
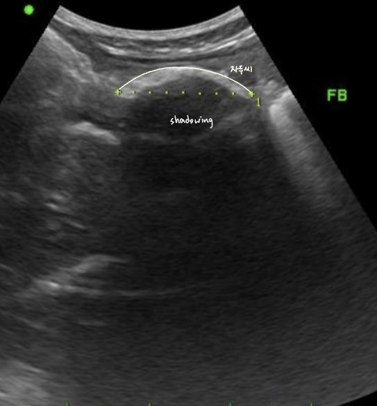
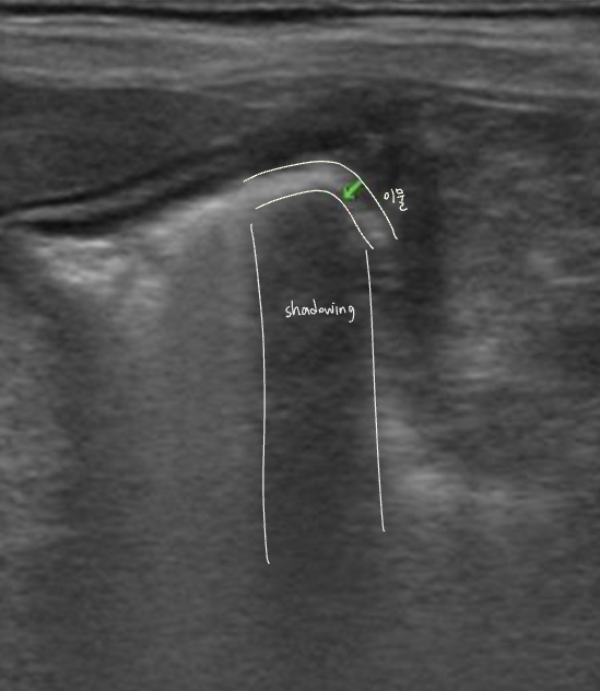
์ด๋ฌผ์ ์ด์ํ์์์ shadowing ๋ฐ์, ์์ฆ์ X-ray๋ณด๋ค ์ด์ํ๊ฐ ์ฐ์ ๋๊ธฐ๋ ํจ.
- ์์ ๊ธ์ฌ โ ์ ์์ธ์์ ์ด์ํ ๊ฒ์ฌ โ shadowing์ ๋ณด์ด๋ ์ด๋ฌผ์ ์ฆ๊ฑฐ ํ์ธ
-
์กฐ์์ ๋ ๊ฐ์์ 1์๊ฐ 20๋ถ~2์๊ฐ, ๊ณ ์์ด์์ 1์๊ฐ ๋ด๋ก ๋ค ๋ฐฐ์ถ๋จ.
- ์ด๋ณด๋ค ์ค๋ ๊ฑธ๋ฆฌ๋ฉด ์์ ๋ฐฐ์ถ์ ๋ฌธ์ ๊ฐ ์๋ ๊ฒ. (๋ฐฐ์ถํ๋ ํ์ด ์ฝํด์ง, ํต๋ก๊ฐ ๋งํ, ์กฐ์์ ํก์ฐฉ/ํก์ ์ด๋ฌผ ์กด์ฌ)
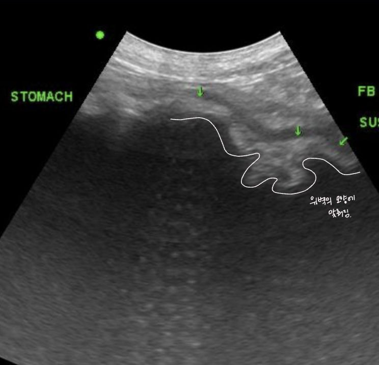
| Gastric FB (foreign body) |
|---|
| ํ์ ์ด๋ฌผ - ๋ฐฉํฅ์ ๋ฐ๋ผ ์ผ์๋ก ์ดฌ์๋ ์ ์์. ์กฐ์์ ๋ณด๋ค ํฌ๊ณผ์ฑ์ด ๋ฎ์ผ๋ฉด lucentํ๊ฒ ๋ณด์. |
![]() |
| ์จ์ - ๋ณต์ญ์์จ๋ ์ธํ๋ถํ, ์๋์จ๋ ๋งค๋. ๋ฐฉ๊ธ ์ญ์ทจํด ์๋ถ์ ๋จธ๊ธ๊ณ ์์ผ๋ฉด ์ฐ๋ถ์กฐ์ง ๋ฐ๋. ๋งค๋ํ ์๋์จ๋ ์ ๋์ด๊ฐ์ง ๋ชปํด ์๊ฐ ์กฐ์ โ necrosis๋ก ์ฌ๋งํ ์ ์์. |
![]() ![]() |
| ๊ธ์ - ๋ผ๋ณด๋ค ๋์ ๋ฐ๋. ์์ฐ, ๊ตฌ๋ฆฌ ๋ฑ์ ๊ธ์์ ์ค๋ ์ํ. |
![]() ![]() |
| ์ฒ (fabric) - ์๋ฒฝ์ ๋ชจ์์ ๋ฐ๋ผ ์ด๋ฌผ์ ๋ชจ์๋ ๋ฌ๋ผ์ง. |
![]() |
| hairball, ์ฒ, ์ค (๊ณ ์์ด) - ์กฐ์์ ๋ฐฐ์ถ์ด ๋งค์ฐ ๋๋ฆผ (1์๊ฐ์ด๋ฉด ๋๊ฐ์ผ ํ๋๋ฐ, ๋ง 8์๊ฐ..) โ์ ๋จน๊ณ ์ ๋ ธ๋๋ฐ ๊ฐํ์ ์ผ๋ก ๊ตฌํ ํ๋ค โ โ ํค์ด๋ณผ ์์ฌ |
![]() |
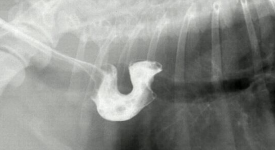
์ํ์ฅ : GD vs. GDV
- ๊ฐ๋ณ์ key point๋ pylorus์ ์์น & ์์ ๋ถํํ(compartmentalization) !
- ์ ์์ ์ธ ์์น๋ ์ธ์ธก์์์ ์๋์ชฝ, ๋ณต๋ฐฐ์์์ ์ผ์ชฝ์ ์์น.
- GD๋ ์๊ฐ ํ์ฅ๋์ด ์์ผ๋, ์์น๋ ๊ทธ๋๋ก.
- GDV๋ ์ฅ์ด ๊ผฌ์ด๋ฉด์ ์์น๊ฐ ๋ฌ๋ผ์ง๋ฏ๋ก, pylorus์ ์์น๊ฐ ์ธ์ธก์์์ ์์ชฝ
| GD | GDV | |
|---|---|---|
| VD | - greater curvature ์ผ์ชฝ(์ ์) * 360๋ ํ์ ์์๋ ์ผ์ชฝ์ ์์น | - greater curvature ์ค๋ฅธ์ชฝ (180๋ ์ผ์ ) - duodenum ์์น๋ ํจ๊ป ๊ผฌ์ |
| RL | - pylorus๊ฐ ์๋์ชฝ(์ ์) | - pylorus ์์ชฝ - ์์ ๋ถํํ(compartmentalization) : ๋ถ๋ฐฉ ํ์ธ - gastric band (soft tissue) ๊ด์ฐฐ |
![]() ![]() | ![]() ![]() | |
[๋ถํํ]![]() ![]() |
GDV
- ๋ฐฐ๊ฐ ๋นต๋นตํ๊ณ , ๊ณ ํต์ค๋ฌ์ ํ๋ฉด์ ๋ด์ํจ.
- ๋ํ๊ฒฌ์์ ์ ๋ฐ์ํจ. ์๊ธ ์์ ํ์.
- Serosal detail ๊ฐ์, ํ์ alveolar/interstitial pattern์ด ํจ๊ป ๊ด์ฐฐ๋๋ฉด ์ํ๊ฐ ์ ์ข์.
- thromboembolism, ํํฌ ๋ด ์ถํ ๊ฐ๋ฅ์ฑ.. โ DIC๊น์ง ์ด์ด์ง.
Gastric tumor
-
๊ณ ์์ด: lymphoma ๊ฐ์ฅ ๅค
-
๊ฐ: lymphoma, adenocarcinoma(wall pseudolayering), leiomyosarcoma(diffuse), leiomyoma, gastric polyp ๅค
-
์ฆ์
- Vomiting : ํ ํ, ๋ด์ฆ๊ณผ ์์ธ ํ (red or brownish, bloody)
- Melena(ํ๋ณ), hematochezia(ํ๋ณ)
-
์์ํ์ ์๊ฒฌ : ๋นํ๋ ์๋ฒฝ(2๋ฐฐ ์ด์์ด๋ฉด ์์ฌ), filling defect(์กฐ์ ์ดฌ์)
- ์์ฌ๋๋ค๋ฉด โ ์ด์ํ๋ก ์๋ฒฝ ํ์ธ!
- Wall pseudolayering : adenocarcinoma์ ๊ฐ์ฅ ํฐ ํน์ง
- ์๋ฒฝ์ด ๋นํ๋์ด, layer๊ฐ ์๋๋ฐ layer์ฒ๋ผ ๋ณด์ โ ์๋ฒฝ์ ์๋ 4๊ฐ ์ธต์ธ๋ฐ, ๋ ์ฌ๋ฌ ์ธต์ผ๋ก ๋ณด์.
| ์์ฅ๊ด ๋ฒฝ ๋๊ป | ๊ฐ (mm) | ๊ณ ์์ด (mm) |
|---|---|---|
| Stomach (์) | 2-5 | 1.7-3.6 |
| Duodenum (์ญ์ด์ง์ฅ) | 3-6 | 2-2.5 |
| Jejunum (๊ณต์ฅ) | 2-5 | 2-2.5 |
| Ilium (ํ์ฅ) | 2-4 | 2.5-3.2 |
| Colon (๊ฒฐ์ฅ) | 2-3 | 1.4-2.5 |
๊ฐ์ธ ์ดํด (์ค๋ช ํ์ ๋ด์ฉ ์๋ !!!)
- ๊ฐ) ์ญ์ด์ง์ฅ์์ ๋๊บผ์ ๋ค๊ฐ ๋ด๋ ค๊ฐ์๋ก ์ ์ ์์์ง. ํ๊ท 3~4?
- ๊ณ ์์ด) ๋์ฒด๋ก 3mm ์ดํ. ํ์ฅ์ด ์ ์ผ ๋๊บผ์. 5mm๋ง ๋์ด๊ฐ๋ ์์ฌํ ๋งํ ๋ฏ?
3. Intestinal disorder
- Intestinal perforation
- Intestinal tumor
- Foreign body
- Inflammation (IBD; ๊ฐ์ฅ ์ค์ํ๋, ๋ฐฉ์ฌ์ ์ ํ๋จ์ ์ฝ์ง ์์.)
- ileus signโญ : FB, tumor
โญ Ileus sign
-
์ฅํ์ ์๊ฒฌ. Gas๋ fluid๋ก ์ธํด ์ฅ์ด ๊ณผ๋ํ๊ฒ ํ์ฅ๋ ์๊ฒฌ.
-
์ด๋ฌผ, ์ข ์, ์ฅ์ค์ฒฉ, ๋ถ๋ณ ๋ฑ์ ์ํด ๋ํ๋ ์ ์์.
-
์ ์ ์์ฅ์ ์ง๊ฒฝ์ ์์ถ ์ถ์ฒด์ ์ค์์ ๋์ด๋ฅผ ๋์ง ์๋๋ค.
-
- L2 ์ถ์ฒด ์ค์์ ๋์ด๋ฅผ ๋์ง ์๋๋ค (L3, L4๋ ์ธ์ )
-
- ๋๊ณจ ์ง๊ฒฝ์ 2๋ฐฐ๋ฅผ ๋์ง ์๋๋ค
-
- ์ฃผ์ ์์ฅ ์ง๊ฒฝ์ 1.5๋ฐฐ๋ฅผ ๋์ง ์๋๋ค
-
- ๊ฒฐ์ฅ์ ์ 7์์ถ์ ์ถ์ฒด ๊ธธ์ด๋ณด๋ค ์๋ค
-
-
Mechanical ๋๋ Functional์ด ์์ง๋ง, ๋ฐฉ์ฌ์ ์ ๊ตฌ๋ถ์ ์ด๋ ค์.
์ฅ์ ๋ณ์ ์๊ฒฌ
Pyloric obstruction
- chronic regurgitation & vomiting, abdominal distention์ผ๋ก ๋ด์.
- ์ ์์ ์ผ๋ก๋ gas๋ฅผ ๋จน์ด๋ ์์ฅ์ผ๋ก ๋๊ฐ๊ฑฐ๋ ํธ๋ฆ์ผ๋ก ๋๊ฐ.
- pylorus๊ฐ ํ์๋๋ฉด, ์๋ฐฐ์ถ ๋ถ๋ฅ + ์์ฅ ๋ด gas๊ฐ ์ฐธ.
- hyperplasia, ์ข ์ ๋ฑ์ด ์์ธ. ์์ธ์์ ๋ค๋ฐ.
- ์๋ด ์กฐ์์ ๊ฐ ์ถ์ ๋จ. (gastric emptying ์ง์ฐ)
- ์์์ด duodenum์ผ๋ก ๋์ด๊ฐ์ง ๋ชปํด ๊ตฌํ ์ฆ์.
| ์์ฅ ๋ด gas | ์๋ฐฐ์ถ ์ง์ฐ |
|---|---|
![]() | ![]() |
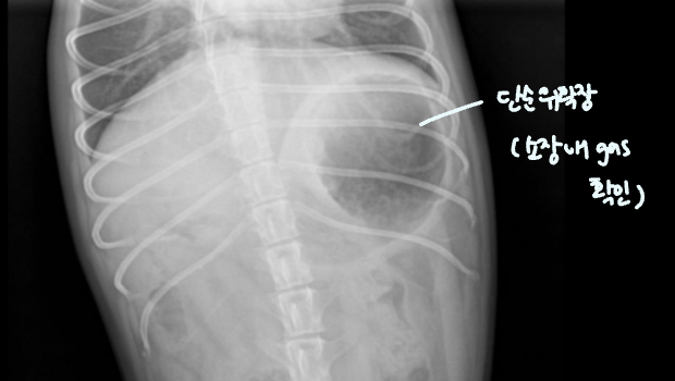
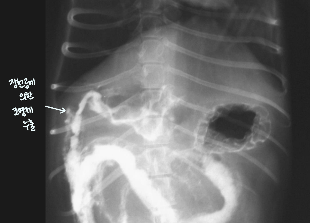
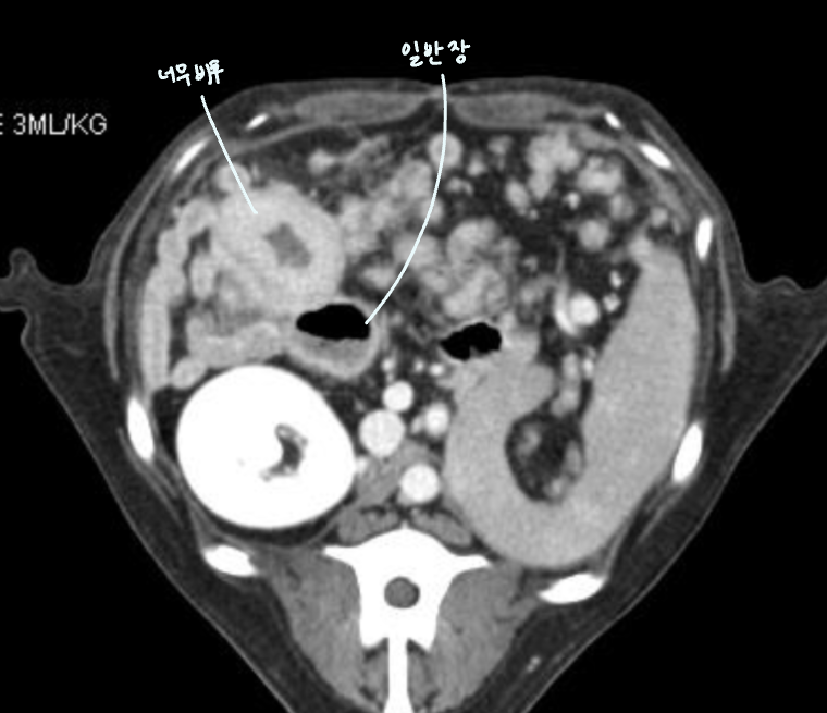
Intestinal perforation (์ฅ์ฒ๊ณต)
- ๋ฐ์ด, ๊ตฌํ , ๊ธฐ๋ ฅ์ ํ, depression ๋ฑ์ผ๋ก ๋ด์, 1์ฃผ ์ ๊ต์ history.
- ์ฅ์ฒ๊ณต โ ๋ด์ฉ๋ฌผ ๋น ์ ธ๋์ด โ ๋ณต๋ง์ผ์ผ๋ก ์งํํ ๊ฒ. (1์ฃผ์ผ์ด๋ฉด ๋ณต๋ง์ผ์ผ๋ก ์งํํ๊ธฐ ์ถฉ๋ถ!)
- ๋ฐฉ์ฌ์ ์ serosal detail ์ ํ (๋งค์ฐ ์ฌํ ์ผ์ฆ), ๋ณต๊ฐ ๋ด ์ ๋ฆฌ gas ๋ง์.
- ์ด๋ฌผ, ๊ต์, ์ฐฝ์์ ์ํด ์์๋ ์ ์์.
- ๊ถค์ โ Saw-like ulcer lesion, ๋ด๊ฐ์ด ์ง์ ๋ถํจ
- ์กฐ์์ ๋์ถ ๊ด์ฐฐ๋จ.
| ๋ณต๊ฐ ๋ด ์ ๋ฆฌ gas | saw-like ulcer lesion | ์กฐ์์ ๋์ถ |
|---|---|---|
![]() | ![]() | ![]() |
โ ํ์ ์ด๋ฌผ์ ์ํ ์ฅ์ฒ๊ณต ์๊ฒฌ

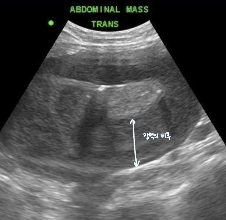
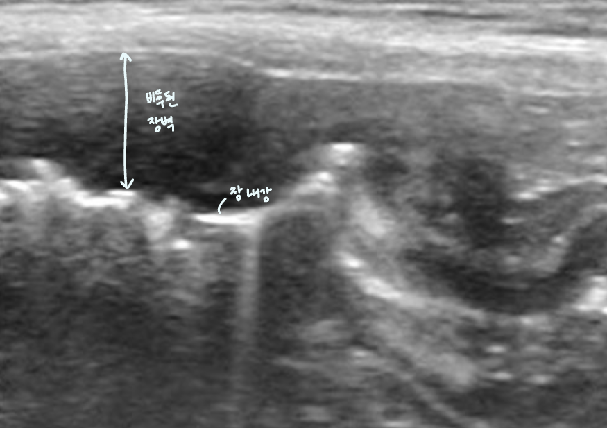
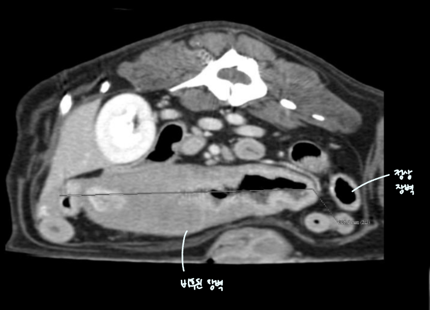
Intestinal tumor (์ฅ ์ข ์)
- ์ด์ง ์ ๋ฉ์ด๋ฆฌ๊ฐ ๋ง์ ธ์ง ์ ์์
- ๋ณต๊ฐ serosal detail ์ ํ
- ์๋ฒฝ, ์ฅ๋ฒฝ ๋นํ (์ ์๋ณด๋ค 2๋ฐฐ ์ด์ ์ฆ์ํ๋ฉด ์์ฌ)
- ์กฐ์ ์ ์ฅ๋ฒฝ ๊ฒฝ๊ณ๊ฐ ์ธํ๋ถํํจ (๋ด๊ฐ์ด ๊ฝ ์กฐ์ฌ์ ธ ์๊ธฐ ๋๋ฌธ)
- pseudoulcer sign (์ฃผ๋ณ ์ผ์ฆ์ผ๋ก ์ธํด ์ฅ์ด ์ญ๊ธํด์ ธ์ ์ฃผ๋ฆ ์ฌ์ด์ ์กฐ์์ ๊ฐ ๋จ์)
- ์ข ์์ ์ผ๋ฐ์ ์ผ๋ก ๊ทผ์ธต์์ ์์๋จ.
| Musclaris thickening of small intestine | DDx) |
|---|---|
![]() | 1. Lymphoma (early stage ๊ฐ๋ฅ์ฑ) 2. IBD 3. Reactive lymphadenopathy |
| Beak-shaped intestinal obstruction | DDx) |
|---|---|
| ๋์ฌ์์์ ์ฆ์์ด ๋ํ๋ ์ฅ๋ฒฝ์ด 360๋๋ก ๋นํ๋๋ฉด์ ์ ์ฒด์ ์ผ๋ก ์ข์์ง โ ์กฐ์์ ์ ์ฃผํ์ด ๋๊ฒจ ๋ถ๋ฆฌ์ฒ๋ผ ๋ํ๋๋ ๋ชจ์ ![]() ![]() | Intestinal mass 1. lymphoma 2. MCT |
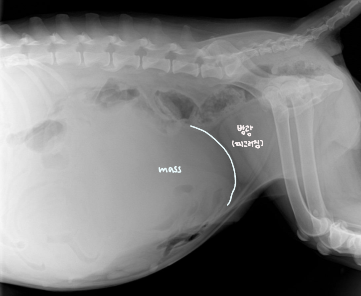
โ Final Dx ๋ด๋ฆฐ ์ผ์ด์ค
| Duodenal adenocarcinoma | Gastric lymphoma | FIV-induced lymphoma | Intestinal lymphoma |
|---|---|---|---|
| ๊ธฐ๋ ฅ์ ํ, ๊ตฌํ , ์ฒด์ค ๊ฐ์ Melena (โ ์๋ถ ์ํ๊ธฐ ์ถํ) mass ๋ง์ ธ์ง | chronic vomiting | Constipation, weight loss | Diarrhea, anorexia |
| ์ฅ๋ฒฝ ๋นํ (duodenum ๋๊ป 2๋ฐฐ ์ด์) Filling defect (์ฅ ๊ฒฝ๊ณ ์ธํ๋ถํ) Pseudoulcer sign | ์๋ฒฝ์ด ๋นํ๋๊ณ gas๊ฐ ์ฐธ. | ์ฅ๋ฒฝ ๋นํ | ์ฅ๋ฒฝ ๋นํ |
![]() ![]() | ![]() ![]() | ![]() | ![]() ![]() |
โ ๊ณจ๋ฐ๊ฐ ๋ด์์ ์๋ mass
- 4๊ฐ์์งธ ์ฌํ ๋ณ๋น + ์์๋ถ์ง, ์ฒด์ค ๊ฐ์, ๊ฐํ์ ๊ตฌํ ๋ก ๋ด์.
- Mass๊ฐ ๊ณจ๋ฐ๊ฐ ์์์ ์๋ผ๋ฉด ๊ฒฐ์ฅ๊ณผ ์๋๋ฅผ ๋ฐ์ด๋ด๊ณ , ์ ์ฑ ๋ณ๋น๋ฅผ ์ ๋ฐํจ.
- Leiomyoma๋ก ์ง๋จ๋จ.

โ ๋ด๊ฐ ์์ชฝ์์ ์๋ mass
- ๊ณจ๋ฐ๊ฐ๊ณผ ๋ฌ๋ฆฌ ๋ณต๊ฐ์๋ ์ฌ์ ๊ณต๊ฐ์ด ์์ด, ๋ด๊ฐ ๋ฐ๊นฅ์์ ์๊ธด mass๋ผ๋ฉด ๊ธธ์ ๋ง์ง ์์.
- ๊ทธ๋ฌ๋ ๋ด๊ฐ ์์ ์๊ธด mass๋ผ๋ฉด ๋ถ๋ณ์ด ๊ณ์ ์ถ์ ๋จ.
- ์กฐ์์ ๋ ์ผ์ ํ ๋๋น๋ก ํต๊ณผํ์ง ๋ชปํ๊ณ ๋งํ.

Intestinal Foreign body
| Stacking sign |
|---|
| ์ฅ์ด ์ปค์ ธ์ ์ข์ ๊ณต๊ฐ ์์ ์ฐจ๊ณก์ฐจ๊ณก ์์ด๋ฉฐ ๋ณด์ด๋ sign. |
![]() |
| String sign / Accordian sign (์ ์ ์ด๋ฌผ) |
|---|
| ์ ์ ์ด๋ฌผ์ ์ํด ์ฅ(์ฃผ๋ฆ)์ด ๊ณ์ ๋ฐ๋ ค์ ๋ํ๋๋ sign. |
![]() ![]() ์ ์ ์ด๋ฌผ์ ์ฅ์ ์์ ํ ๋ง์ง ๋ชปํด fluid๊ฐ ์ ๋ฅ๋ ์ ์์. |
| ํก์ฐฉ์ฑ ์ด๋ฌผ |
|---|
| ์ฒ, ์คํํน, hairball(๊ณ ์์ด) ๋ฑ ํก์ฐฉ์ฑ ์ด๋ฌผ์ด ์์ผ๋ฉด ์๋ด ์กฐ์์ ๋ฐฐ์ถ์ด ์ง์ฐ๋๊ณ , ์์ฅ ๋ด์ ์กฐ์์ ๊ฐ ํฌ๋ํฌ๋ํ๊ฒ ๋จ์. ![]() |
์ ๋ฆฝ์ ๋น๋
| Benign prostatic hyperplasia (BPH) |
|---|
| (๋ฐฐ์ฐ์ง ์์์ง๋ง ์กฑ๋ณด์ ๋ฑ์ฅํ๋ ๋ณ๋ช
.) ์ ๋ฆฝ์ ๋น๋์ ์ํด - ์๋๊ฐ ์๋ฐ๋์ด ๋ฐฉ๊ด์ cranial margin์ด ํฝ๋๋จ. - ์ ๋ฆฝ์ ๊ณผ ๋ฐฉ๊ด ์ฌ์ด์ ์ง๋ฐฉ์ ๊ฒฝ๊ณ๊ฐ ์๊ฒจ ์ผ๊ฐํ ๋ชจ์์ radiolucentํ ์์์ด ๋ํ๋จ. ![]() |
Inguinal/Perianal hernia

















|






































