- cortex(=lymphoid follicle)๊ณผ medulla๋ก ๊ตฌ๋ถ
- germinal center, cap์ ์์น์ ๋ฐ๋ผ ๋ถํฌํ๋ ๋ฆผํ๊ตฌ์ ์ข ๋ฅ๊ฐ ๋ค๋ฆ.
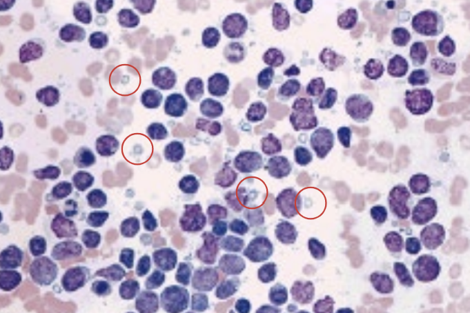
- LGB (lymphoglandular body) : ๋ฆผํ์ ์ cellularity๊ฐ ๋์ ์์๋ ์ธํฌ๋ค์ ์ธํฌ์ง ์กฐ๊ฐ,๋ฆผํ๊ตฌ๊ฐ ์์ฃผ ๋ง์ ์ฅ๊ธฐ์FNAB์์ ๊ด์ฐฐ๋๋ ์๊ฒฌ.


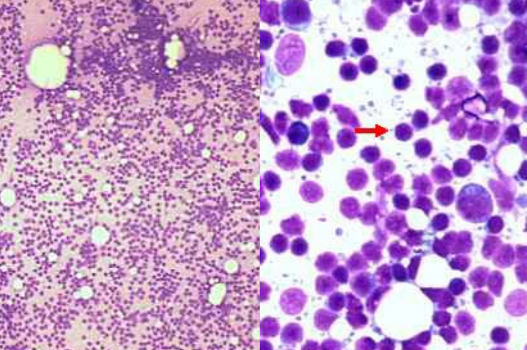
Normal lymph node
- mature lymphocyte๊ฐ ๊ด์ฐฐ๋จ. Lymphoblatic, lymphocyte๋ ํจ๊ป ๋ฐ๊ฒฌ๋จ.
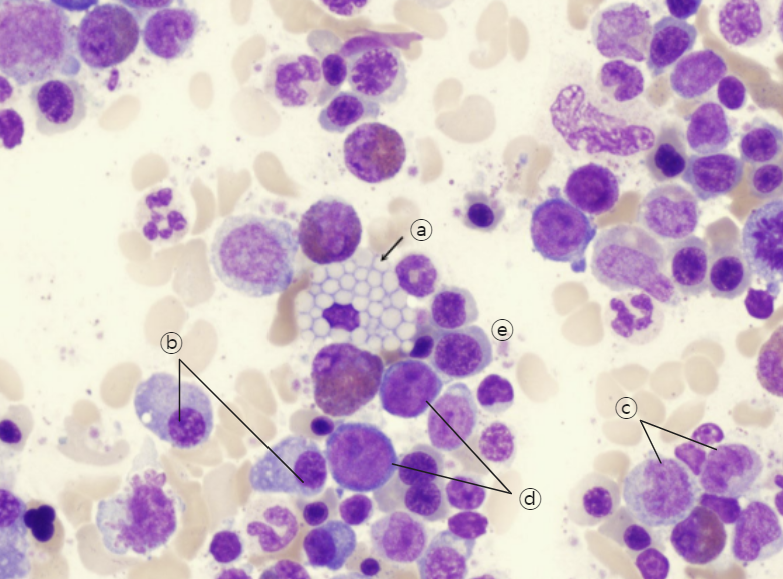
Plasma cell inclusion
- Mott cell : ์ผ์ฆ
- Russel body : IgG๊ฐ inclusion์ฒ๋ผ ๊ด์ฐฐ๋๋ ๊ฒ. refractile blue green cytoplasmic inclusion
- inflammation
- Dutcher body : ์ผ์ฆ & ์ข
์
- intranuclear inclusion
- plasmacytoid lymphoma



-
a : ์์ ํฌ๊ธฐ์ Russell body๋ค์ด ์๋ฉ ๋ญ์ณ ์์.
-
b : ์ ์ plasma cell๊ณผ๋ ๋ค๋ฅธ N:C ratio
-
c : ํต๊ณผ ์ธํฌ์ง์ ์ผ์์ฑ์ด ๋ฎ๊ณ , chromatin pattern์ด ์ผ์ ํ์ง ์์.
-
d : ํต์ chromatin์ ์์ถ ์๊ฒฌ
-
e : ๊ทธ๋๋ง ์ ์ ์ธํฌ์ ํด๋น.
-
LGB (Lymphoglandular body) : ๋ฆผํ์ ์ cellularity๊ฐ ๋์์ ๋ฐ์ํ๋ ์์๋ ์ธํฌ์ ์ธํฌ์ง ์กฐ๊ฐ. ์ฐํ ํ๋์์ผ๋ก ๊ด์ฐฐ๋จ. ๋ฆผํ๊ตฌ๊ฐ ์์ฃผ ๋ง์ ์ฅ๊ธฐ์ FNAB์์ ๊ด์ฐฐ๋จ.
-
์ ์์ ์ผ๋ก ๋ฆผํ์ ์์๋ mature lymphocyte์ lymphoblast๊ฐ ํจ๊ป ๊ด์ฐฐ๋จ.
- ๊ฐ์์ RBC์ mature small lymphocyte์ ํฌ๊ธฐ๋ ๋น์ท.
- ๊ณ ์์ด์์๋ RBC๊ฐ ๋ ์๋ค.
-
Russel body : IgG๊ฐ inclusion์ฒ๋ผ ๊ด์ฐฐ๋จ. refractile blue green cytoplasmic inclusion
-
์ผ์ฆ ์๊ฒฌ : ์ ์์ ์ผ๋ก๋ ์์๋ง ์กด์ฌํด์ผ ํ๋ neutrophil๊ณผ plasma cell์ ์ซ์๊ฐ ๋ง์ด ๋์ด๋ ์๋ค.
-
์ ์์ ์ธ plasma cell
- N:C ratio๊ฐ 1:2, perinuclear halo, ํต์ ์์น๊ฐ eccentricํ์ง ์์.
-
malignent๋ฅผ ๋ํ๋ด๋ ๋น์ ํ ํน์ง๋ค
- ์ธํฌ์ง์ tailing
- serration ; ์ธํฌ์ง์ ๋๊ธฐ
- indentation : ํต์ด ํจ์ ๋์ด ์๋ค.
- ํต์ pleomorphism
- ๋ถ๊ท ์งํ chromatin pattern
- N:C ratio variation
- binucleated cell
-
๋๋ถ๋ถ ์ธํฌ์ง์ ๊ฐ์ง๊ณ ์์ด lymphoblast๋ก ํ๋จํ๋ค. โ lymphoblast type์ malignant lymphoma
-
MMC(Macronucleated medium cell) : medium-size์ ์ธํฌ๋ก, ๊ฐ์ด๋ฐ์ ํฐ ํต์์ฒด๊ฐ ํ๋ ์กด์ฌํ๋ค. ํต์ ํฌ๊ธฐ๊ฐ RBC, small lymphocyte์ ๋น์ทํ๋ค. ๊ฐ์์๋ง ๊ด์ฐฐ๋๋ค.