Definitions
- Closed cardiac surgery : ์ฌ์ฅ ๊ตฌ์กฐ๋ฌผ์ด ๋ซํ ์ฑ ์์ , ์์ฃผ ์ํ.
- Open cardiac surgery : ์ฌ์ฅ์ ํฌํจํ ์ค์ ๊ตฌ์กฐ๋ฌผ์ ์ด์ด์ ์์ , ์ถํ๋์ด ๋ง์.
- Cardiopulmonary bypass๋ก ์ฌ์ฅ ๋์ ํผ๋ฅผ ์ ์ ์ํ
- Venous inflow occlusion : 4๋ถ ์์ ๋๋ ์ ์์ผ๋ฉด ํ๊ด occlusion์ผ๋ก๋ ๊ฐ๋ฅ.
Anesthesia
- ๊ฐํ ์์ โ ์์์ด ๋ฌด๋์ง. โ Controlled ventilation ํ์.
- Mechanical ventilator (๋ง์ถฐ์ฃผ๋ ๊ธฐ๊ณ)
- Tidal volume (10-15 ml/kg) : ๊ณต๊ธฐ์ ์
- Inspiratory pressure 15-20cm H2O : ๊ณต๊ธฐ์ ์๋ ฅ
- Respiratory rate 6-15 times/min : ๊ณต๊ธฐ๋ฅผ ๋ฃ์ด์ฃผ๋ ๋น๋
Manual ventilator
๋ถ๊ฐํผํ๊ฒ ๊ธฐ๊ณ ์์ด ํด์ผ ํ ๋ (๊ธฐ๊ณ ์์ด ์ ์ ๊ธฐ๋ค๋ฆฌ๊ณ ์์ ๋ ๋ฑ) Reservoir bag์ ์ด์ฉํด์ ์๋์ผ๋ก ๊ณต๊ธ
- Tidal volume 10-15ml/kg โ reservoir bag์ ์ฉ๋์ ๋ง๊ฒ ์ฑ์ด๋ค.
- Inspiratory pressure 15-20cm โ ์ฒ์ฒํ ์ง์ ๋ง์ถค
- Respiratory rate โ 6-8์ด ๋ง์ถฐ์ ์ง์ค๋ค
โ๊ฐ๋ณตโ์ ์์ด ์ ๋ง์๋ ์๋ค๋ก ์กฐ๊ธ ๋ ์ด ์๋ ์์. โ๊ฐํโ์ ๊ฐ๋น๋ผ์ ๋ง์ถฐ์ ์ด๊ธฐ ๋๋ฌธ์, target organ๊ณผ ๋๊ฐ์ ์ ํํ ์์น๋ฅผ ํ์ ํ๊ณ ์ด์ด์ผ ํ๋ค. ์์น๋ฅผ ์ธ์์ผ ํจ.
| Thoracotomy | Left ICS | Right ICS |
|---|---|---|
| Ductus arteriosis | 4 | |
| Pulmonic stenosis | 4 | 5 |
| Cranial lung lobe | 4,5 | 4,5 |
| Middle lung lobe | ์ผ์ชฝ์ X | 5 |
| Caudal lung lobe | 5,6 | 5,6 |
| Cranial esophagus | 3,4 | 3-5 |
| Caudal esophagus | 7-9 | 7-9 |
| Caudal vena cava | 7-9 | |
| Thoracic duct (dog) | 8-10 | |
| Thoracic duct (cat) | 8-10 | |
| ๋๊ณจ ๋ชจ์์ด ํ์ฒ๋ผ ์ฝ๊ฐ ํ์๊ธฐ ๋๋ฌธ์, ๋ค์ชฝ์ผ๋ก๋ ๋ ๋ฐ๋ฆฌ์ง ์๊ณ ์์ชฝ์ผ๋ก๋ ๋ ๋ฒ์ด์ง ์ ์๋ค. ์์ชฝ์ผ๋ก ๋ ๋ง์ด ๋ฒ์ด์ง๋ฏ๋ก ์์น๊ฐ ์ ๋งคํ๊ฑฐ๋, ๋ ๋ค ๊ฐ๋ฅํ ๋๋ ๋ caudalํ ๊ณณ์์ ๋ค์ด๊ฐ์ผ ํจ. |
Equipments
- Satinsky vascular clamp (straight, angled, tangential)
| Satinsky vascular clamp (straight, angled, tangential) ![]() | ํ๊ด, ์ฐ์ฌ ๋ฑ ๋น๊ต์ ํญ๋์ ๋ฒ์ |
Bulldog clamp![]() | ํ๊ด์ ์ผ์์ ์ผ๋ก occlusion. |
Vascular debakey tissue forceps![]() ![]() | ํ๊ด, ์ฌ์ฅ ์ก์ ๋ atraumaticํ๊ฒ ์ ์กํ. |
| Right angle forceps | ํ๊ด, ์ ๊ฒฝ ๋ถ๋ฆฌ. PDA ๋ฑ 90๋๋ก ๊บพ์ฌ ์์ด ๋ณด์ด์ง ์๋ ๋ฐฉํฅ๋ ๋ถ๋ฆฌ๊ฐ ๊ฐ๋ฅ. |
| Finochietto retractor | ๊ฐ์ฐฝ๊ธฐ. ํ๊ฐ์ ์ด ๋ ์ฌ์ฉ. |
Thoracotomy
ํ๊ฐ ์์ ์ ์ ๊ฐ์ฐฝ? ๋ณด์์ ์ผ๋ก ์๊ฒ ์ฌ๋ ๊ฒฝํฅ์ด ์๋ค. ์ฒ์๋ถํฐ ๋ช ํํ ๋ฒ์๋ก ์ ๊ฐํ๋ ๊ฒ์ด ์ค์.
- Select incision site : underlying disease์ ๋ฐ๋ผ ๋๊ฐ์ ์์น ๊ฒฐ์ .
- ๊ฒจ๋๋์ด ๋ฐ์ผ๋ก ์์ ๋ฃ์ผ๋ฉด 1๋ฒ์งธ ๋๊ณจ์ด ๋ง์ ธ์ง. ๊ทธ ์์ผ๋ก ์์ ๋ฃ์ผ๋ฉด 1๋ฒ์งธ ICS, ๊ทธ ๋ค์ caudalํ๊ฒ ๋ง์ ธ์ง๋ ๋ผ๋ 2๋ฒ์งธ ๋๊ณจ. ๊ทธ๋ ๊ฒ 5๋ฒ์งธ ๋๊ฐ๊น์ง ๊ฐ๋ค. ์๋ฃ์ฉ ๋ง์ปค๋ก ํ์.
- Incision ์ ๊ฐ : ํผ๋ถ์ธต - ํผํ์ธต - ๋ชธํตํผ๋ถ๊ทผ(cutaneous trunci m.); ํผํ์ง๋ฐฉ ์์๋ ์๋นํ ๋๊ป์ ๊ทผ์ก์ด ์์.
- ๋์๋ฑ๊ทผ(Latissimus dorsi m.)๊ณผ ํท๊ฐ๋ฆฌ๊ธฐ ์ฌ์ฐ๋ ์ฃผ์ ํ์.
- ํผ๋ถ๋ ์ข ํฌ๊ฒ ์ด์ด์ค์ผ ํจ. vertebra ๋ฐ์์๋ถํฐ sternum ์ง์ ๊น์ง ์ถฉ๋ถํ ๋๊ฒ.
- Muscle layers
- ์์ ์๋ ๊ทผ์ก์ ๋ค ์๋ฅด๋ ๋ฐฉ๋ฒ์ ์. / ๊ทธ ์๋ฅผ ์ฃผํํ๋ ์ ๊ฒฝ๋ ์ ๊ฒฝ์จ์ผ ํจ.
- ๊ทผ์ก์ ๊ทธ๋ฅ ์๋ฅด๋ฉด ๋ค์ ์ ๋ถ์ง ์์. ์ ๊ฒฝ ์์๋ ๋๋ฌด ์ฌํ๊ณ , ๋์๋ฑ๊ทผ์ด ์๋ฆฌ๋ฉฐ ๋ณดํ์๋ ๋ฌธ์ ๊ฐ ๋จ.
- muscle fiber๋ฅผ ๋ ๋ค ์ ๊ฐํ๋ ๊ฒ์ด ์๋๋ผ, ๋ผ์ ๋ถ์ด์๋ tendon์ ๋ถ๋ฆฌํด์ ์ ํ๋ ๋ฐฉ๋ฒ์ ์์ฆ ๋ง์ด ์.
- ๋์๋ฑ๊ทผ์ ventral border๋ฅผ ์ถฉ๋ถํ ๋์ฑ๋ถ๋ฆฌํ๊ณ dorsal ์ชฝ์ผ๋ก ์ญ ๊ฒฌ์ธ.
- Latissimus dorsi, pcectoral muscle์ ์๋ฅด์ง ์๋๋ค.
- 5๋ฒ์งธ ๋๊ณจ์ termination (๋ ๊ทธ๋ ๋ค๊ณ ๋งน์ ํ๋ฉด X)
- seraration ๋์ฑ๋ถ๋ฆฌ.
- intercoastal muscle
- ์๋ฌด ์์์ด ๋ฌด๋์ง๋ ๊ฒ ์คํด์
intrcostal artery and vein
- ํผ๋ ธ์นํ (์งฑ์งฑํ๊ฒ ๊ฒฌ์ธ ๊ฐ๋ฅ) ์ต๊ทผ ๋ฒจํฌ์ด๋ ๋ง์ด ์.
Anatomy
(์ผ์ชฝ ํ๊ฐ)
- ์ผ์ชฝ์ผ๋ก ์ฃผํํ๋ ์ ๊ฒฝ์ phrenic nerve, vagus nerve
- vagus nerve๋ ~ ์ฌ์ด๋ก ๋ฌ๋ฆผ.
- Ductus arteriosus ์๋ก vagus nerve๊ฐ ์ญ ์ง๋๊ฐ.
- ์ค๋ฅธ์ชฝ ํ๊ฐ์ ์ด๋ฉด ์๋ ์ชฝ์ด phrenic nerve.
๋ซ์ ๋๋ ์์์ ์ด๋ป๊ฒ ์ ํ์ฑํ ๊น์ ๋ํ ์ถฉ๋ถํ ๊ณ ๋ฏผ์ด ๋๋ฐ๋์ด์ผ ํจ.
Closure
- ํ๊ฐ tube๋ฅผ ๋จผ์ ์ฅ์ฐฉํ๊ณ incision์ ๋ซ์์ผ ํจ.
- drain tube๋ ์ ๋ ์์ ํ ์ฐฝ์์์ ๋ซ์ผ๋ฉด ์ ๋จ. ์๋ก์ด ์ฐฝ์ ์ค์นํด์ผ ํจ.
- Obliqueํ๊ฒ ์ฅ์ฐฉํด์ผ ํจ โ ๊ณต๊ธฐ๊ฐ ์๋ ๊ฒ์ ๋ง์.
- 4๋ฒ์งธ ๋๊ฐ์ผ๋ก ์์ ํ๋ค๋ฉด, 2๊ฐ ๋ค์ ICS - 6๋ฒ์จฐ ICS๋ก tube๋ฅผ ๋ฝ์๋ธ๋ค.
- tube๋ incision line์์ 3-4๋ฒ์งธ ์ ๋๊ฐ์ ๊ดํต.
- ~~ ๋ฃ์ด์ ์ฌ์ ์ผ๋ก ์ฅ์ฐฉ๋จ. Thoracic inlet ๊ทผ์ฒ sternum์ผ๋ก ์ฅ์ฐฉ๋จ.
- Polyvinyl chloride & Silicone type์ด ์ข์. tube์ rigidity๊ฐ ์ข๊ธฐ ๋๋ฌธ. ์ ๊บพ์ด๋ ์ฌ์ง์ด๋ฉด kinking๋ ์ ์์โ ์ ๋นจ๋ฆผ. ์์์ด ํ์ฑ๋ ์ค ์ฐฉ๊ฐํ ์ ์์.
- ๊ณ ์ ์ ์ํด ์ฃผ๋จธ๋ ๋ดํฉ, mattress ๋ดํฉ. Horizontal mattress๋ฅผ ๋ง์ด ์.
(horizontal mattress)
- Four friction suture : ํ๋ฒฝ๊ณผ ํจ๊ป ๊ณ ์ . ํ ์ชฝ์ด ํ๋ ค๋ ๋จ์ ์๋ค๋ ์ฅ์ ์ด ํฌ๋ค.
Preplace
- ๋๊ณจ๊ณผ ๋๊ณจ์ด ๋ง๋ฟ๊ฒ ๋ดํฉํด์ผ ํจ.
- soft tissue ์ชฝ์ผ๋ก ๋ค์ด๊ฐ๋ needle โ
- blunt point ๋ฅผ ์ฐ๋ฉด
- Reverse grab pattern
- tie ์ ์ ๋จผ์ ์ค์นํด๋๋ค. preplaced suture 6๋ฒํ ๊ทธ๋ฆผ.
- Have an assistant cross two sutures to appose ribs.
- ๋ดํฉ์ tension์ ํด ๋ณด๋ฉด, ๊ทธ ๋ค์ knot ์ ์ ์ค๋ฅด๋ฅด ํ๋ฆฌ๊ธฐ๋ ํจ. preplaced๋ surgeon knot - double throw๋ฅผ ํ๊ณ simple throw๋ก tie๋ฅผ ํ๋ ค๊ณ ํ๋๋ฐ, ์ค๋ฅด๋ฅด ํ๋ ค๋ฒ๋ฆผ (๋๊ณจ์ด ๋ฒ์ด์ง๋ ํ์ด ๊ฐํ๊ธฐ ๋๋ฌธ) -Assist๊ฐ 2,3๋ฒ์งธ preplaced๋ฅผ ์๋ก ๋ฐ๋ ๋ฐฉํฅ์ผ๋ก ๋ก๊ธฐ๊ณ ์์ด์ผ ํจ.
Suture
- ํก์์ฑ ; tension์ด ํ๋ฆฌ๋ ๋ฐ 60์ผ ์ ๋ ๊ฑธ๋ฆผ. ์งง๊ฒ ํ๋ฆฌ๋ ํธ์ด์ง๋ง, 60์ผ์ด๋ฉด ๋ซํ๋ ๋ฐ ์ถฉ๋ถํจ.
- ๋นํก์์ฑ์ ์ ๋ น๊ณ ๊ณ์ ์๊ธฐ ๋๋ฌธ์ ์๊ทน์ด ๋๊ณ , ๋ฌผ์ด ์ฐธ.
- Maxon, Polydioxanone(PDS) ๋ง์ด ์ฌ์ฉ.
Negative pressure
์์์ ๋ง๋ค์ด์ฃผ๋ ๋ฐฉ๋ฒ.
- Manualํ ๋ฐฉ๋ฒ : ์์ ์งํ manuallyํ๊ฒ ํ๋ฉด ๊ฐํธ.
- Three-way bottle (cock) system : tube ๋์ ์ฅ์ฐฉ
- Thoracic drainage system : ์ง์์ ์ผ๋ก ์ค๋ ์ ์งํด์ผ ํ ๊ฒฝ์ฐ. (underlying disease ๋๋ฌธ์ ๋ฌธ์ ๊ฐ ์๋ ๊ฒฝ์ฐ)
Three-way
- ๋ฒํผ์ ๋๋ ค ๋ซ์ ๊ตฌ๋ฉ์ ์กฐ์ ๊ฐ๋ฅ
- โ๋ฅผ ๋ซ๊ณ ํ๊ฐ์์ ์ฃผ์ฌ๊ธฐ๋ก ๋ฝ์๋ด๊ฑฐ๋
- โ๋ฅผ ๋ซ๊ณ ์ฃผ์ฌ๊ธฐ์ ๋ชจ์ ๊ฒ์ โ๋ก ๋ฐฐ์ถํ๊ฑฐ๋ ํ๋ ์์ผ๋ก ํ์ฉ ๊ฐ๋ฅ.

- suction chamber
- collection chamber : ํ๊ฐ๊ณผ ๋ฐ๋ก ์ฐ๊ฒฐ
- ๋ ์ฌ์ด์๋ water tube โ collection chamber์ ๊ฒ๋ค์ด ๋ค์ ํ๊ฐ์ผ๋ก ๋ค์ด๊ฐ์ง ์๋๋ก
PDA (Patent Ductus Arteriosus)

- Main pulmonary artery์ descending aorta ์ฌ์ด์ ductus arteriosus๊ฐ ์ด๋ฆฐ ์ฑ๋ก ๋จ์ ์์.
- Descending aorta(๋ค์ชฝ ๋๋๋งฅ) ์ ์ฐ๊ฒฐ๋ ๊ฒ์ ๊ธฐ์ต.
Type
-
Left to right shunt
-
Right to left shunt (Reverse PDA)
- ์ ์์ ์ธ PDA๋ฅผ ์น๋ฃํ์ง ์์์ ๋,
- ํ๋๋งฅ์ผ๋ก ๋ชจ์ โ ํ๋ก ํ๋ฌ๋ค์ด๊ฐ. โ RV๋ก ๊ณ์ ๊ฐ.
- ํ์ hypertension์ด ์ฌํด์ ธ ์ฌ๋งํ ์ ์์.
- ์์ ์ ํ ์ ์๊ณ , ํ์ ์ฝ๋ฌผ์น๋ฃ๋ฅผ ํด์ผ ํจ.
-
volume overload โ Left ventricle dilaton โ Mitral valve annulus dilation โ Regurgitation & ..
- ๊ณ์ ์ญ๋ฅํด์ ๋ค์ ๋ค์ด์ด โ ์ถ๊ฐ์ ์ธ overload ใ ๋ฏธํด์ง
Clinical presentations
- L-R shunt
- ํ์ ๋ฌผ์ด ์ฐธ โ ๊ธฐ์นจ, ํธํก์ด ์งง์์ง
- R-L shunt
- ์ฒญ์์ฆ
- Cardial thrill๋ ๋ฐ์ ๊ฐ๋ฅ
Radiography
- ์ฒ์์ ๋จผ์ LA, LV ํ์ฅ(enlargement)๋ถํฐ ๋ฐ์
- R-L shunt ๊ทผ์ฒ๊น์ง ๋ณ์ด ์งํ๋๋ฉด dAo & mPA ํ์ฅ
- Aorta์ ๋นํด ์๋์ ์ผ๋ก ๋ฒฝ์ด ๋ ๋๊บผ์ด mPA ๊ฐ ๊ฝ๋ฆฌ ๋ชจ์์ผ๋ก enlarged๋จ
Echocardiography
- ํ์ก ํ๋ฆ, ์๋ฅ ๋ฑ ํ์ธํด์ผ ํจ.
- Turbulent doppler flow parttern
- ํ๊ณ ํ์ ์ธก์
Lab work
- ์ฐ์ ํฌํ๋๊ฐ ์ ์ ํ์ก์ด ์ ์ ์ ์ํ
- ์ ํ๊ตฌ๋ฅผ ๋ง์ด ๋ง๋ค๊ฒ ๋จ (polycythemia)
- PDA์์ polycythemia โ ์ํ ์ ํธ
Medical management
์์ ์ ์ ๋ฐ์ ์ ์๋๋ก ์์ ํ
- ์ด๋จ์ :
- ACE inhibitor โ ๊ณ ํ์์ ํด์ โ
Surgical Management (์ค์ฌ ์์ )
- Intravascular coils, vascular plugs, duct occluders
- ํฐ ๊ฐ๋ค์์ ์ ํธ๋จ.
- ์๋ จ์๋ 30-40๋ถ, ๋ ์นจ์ต์ ์ด๊ณ ์์ ํ ๊ฒ ๋ง์ง๋ง.. ๊ทธ ๋จ๊ณ๊น์ง ์๋ จ์ด ์์ฃผ ๋ง์ด ํ์.
Type of shunts
- Type โ : granuallyํ๊ฒ ๊ฐ์
- Type โ กA : ์ฒ์์๋ ํํํ๋ค๊ฐ, mPA ์ฃผ๋ณ์์ ํ ๊ฐ์ํจ.
- Type โ กB : ์ฒ์๋ถํฐ ๊ธ๊ฒฉํ๊ฒ ๊ฐ์ํจ.
- Type โ ข : ์ฒ์๋ถํฐ ๋๊น์ง ๊ฑฐ์ ํํํ๊ฒ ๊ฐ.
- ์ธ๊ณผ ์์ ์ ์ด์ ๋ฌด๊ดํ๊ฒ ๋ค ํ ์ ์๋ค.
Techniques
- Left 4th ICS๋ฅผ ์ฐ๋ค.
- ์๋์ชฝ phrenic n., ์๋ก vagus n. / vagus n. ๋ฐ๋ก ๋ฐ์ผ๋ก PDA๊ฐ ์ง๋๊ฐ.
- ๋์ฑ ๋ถ๋ฆฌ
- blunt dissection : ๋ถ๋ฆฌ๋ ์ชฝใ ๋กฑ
- caudal์์ right blend๋
- Aorta๋ฅผ ๋จผ์ tie? mPA๋ฅผ ๋จผ์ tie? โ Aorta๋ฅผ ๋จผ์ ligation
- Aorta โ mPA๋ก ํ์ก์ด ๊ฐ๋๋ฐ, mPA๋ฅผ ๋จผ์ ligationํ๋ฉด shunt๋ก ์๋ ฅ์ด ๊ณ์ ๊ฐ๋ค๊ฐ ํฐ์ง ์ ์์. (shunt๋ ์ ๋กํ์ง๋ณด๋ค ์์)
Postoperative care & Assessment
- Bupivacaine
- ์ ์์ ์ผ๋ก ํ๋ณต๋๊ธฐ๊น์ง๋ ์๊ฐ์ด ๊ฑธ๋ฆผ. ์ฆ์์ด ๋ค ์ฌ๋ผ์ง ๋๊น์ง ์ฝ๋ฌผ์ ๊ณ์ ๋ณต์ฉํด์ผ ํจ.
- ๊ฐ์ฅ ์ฌ๊ฐํ complication์ rupture
- Residual shunting - ์ฌ์ ํ ํ๋ฆ์ด ๋จ์์์ ์ ์์.
- coil๋ก ์ค์ฌ ์์ ์ ํ์ ๋ ์์ฃผ ๋ฐ์ / ligation ๊ฝ ๋ชป ํ์ ๋ / Jackson surgical approach
- Jackson : shunt ์๋๋ก ๋์ฑ๋ถ๋ฆฌํ๋ฉด ํฐ์ง ๊ฒ ๊ฐ์ผ๋ ์ฃผ์ ๋ค๋ฅธ ์กฐ์ง ๋ฐ์ผ๋ก ๋์ฑ๋ถ๋ฆฌ, ์ฃผ์ ๋ค๋ฅธ ์กฐ์ง๊น์ง ๋์ด์์ ligation์ด ์ ๋๋ก ์๋ ์ ์์..
Prognosis
- L - R shunt์ ๊ฒฝ์ฐ ์์ ํ๋ฉด ์ํ ์ข์.
- ์์ ํ์ง ์์ผ๋ฉด R - L shunt๋ก ๋ฐ๋๊ณ ์ํ ๋๋น ์ง
- ์น๋ฃ๋์ง ์์ PDA๋ 70%๊ฐ 1์ด ์ดํ์ ์ฌ๋ง
Pericardial Effusion
- ์ฌ๋ญ ์ฌ์ด์ fluid๊ฐ ๋น์ ์์ ์ผ๋ก ์ถ์ ๋๋ ๊ฒ.
- ํ๋๋ก ์ค๋ช
ํ์๋ฉด.. Cardial tamponade ๋๋ฌธ์ ์ํํ๋ค.
- ์ฌ๋ญ๊ณผ ์ฌ๋ญ ์ฌ์ด์ ๋น์ ์์ ์ผ๋ก ๋ง์ด ๋ชจ์ด๋ฉด์ ventricle์ด ๋๋ฆผ โ ๋ค์ diastolicํด์ผ ํ๋๋ฐ, ๋ค์ ๋ฒ์ด์ง์ง ๋ชปํจ.
- ํ์ก์ ๋ฐ์๋ค์ผ ์ ์๊ฒ ๋จ.
- ์ฌ์ฅ์ ์ ํ์ ์ธ ์ฌ์ ํ โ pericardial constriction โ ์ฌ์ฅ์ด ์ ๋์ด๋์ง ๋ชปํ๊ฒ ๋๋ฉด์, ์ ์ ์์ fluid๋ก๋ cardial tamponade๊ฐ ๋ฐ์ํ ์ ์์.
- Rate (์ผ๋ง๋ ๋นจ๋ฆฌ ์ถ์ ) / Volume (์ผ๋ง๋ ๋ง์ด ์ถ์ ) / Accumulation & Distensibility (์ฌ์ฅ์ ์์ฉ๋ ฅ)
- slow โ ์๊ฐ์ ์ฃผ๋ฉด์ pericardium์ด ๋์ด๋ ์ ์๋
- rapidly โ cardiac tamponade ๋ฐ์๋ฅ ์ด ๋์์ง.
Transudate
- ํฌ๊ฒ 2๊ฐ์ง์ ์์ธ์ด ์์.
- Oncotic pressure๊ฐ ๋ฎ์ ๋.
- Hydrostatic pressure๊ฐ ๋ฎ์์ง.
- Peritoneum pericardial diatonic h ๋์ด ์๋ก ๊ฐํต โ ๋ณต๊ฐ ์ฅ๊ธฐ๊ฐ ์ฌ์ฅ ์์ผ๋ก ๋ค์ด๊ฐ. ์ฃผ๋ก ๊ฐ์ด ๋ค์ด๊ฐ๋๋ฐ, ๊ฐ์ด ํ๋์ ๋งฅ์ ๋๋ฌ congestive
Exudate
- ๊ฐ์ผ์ด๋ ์ผ์ฆ์ผ ๋ โ ํํ์ง ์์.
- ์๋ ์ค๊ฐ์ ๋ซ๊ณ ์ฌ์ฅ์ ๊ณ์ ์๊ทนํ ๋
- ํํ์ง๋ ์์.
Cardiac Tamponade
Clinnical Presentations
- ๋ณ๋ ฅ : pericarditis, Right-sided CHF, neoplasia ์์ผ๋ฉด..
- ์ผ์ ๋ ํด์ผ ํ๋ค๊ณ ์๊ฐํด์ ๋ ์ผํจ โ Rapid arterial pulse, ํ์ง๋ง ์ ๋ชปํจ(weak)
- Congestive ํ ์ํฉ โ Distended jugular veins. ์ฒญ์งํ์ ๋ ์ฌ์ฅ ๋ฐ๋ ์๋ฆฌ๋ ์ ์ ๋ค๋ฆผ (muffled heart sounds)
ํ์ง
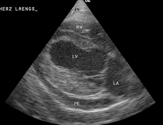
![]() | ์ฌ์ฅ๊ณผ ์ฌ๋ญ ์ฌ์ด์ Echo-free space (๋ฑ ๋ด๋ ์ชผ๊ทธ๋ผ๋ค์ด ๋ณด์) |
![]() | echo๊ฐ denseํ pericardium |
![]() |
DDx
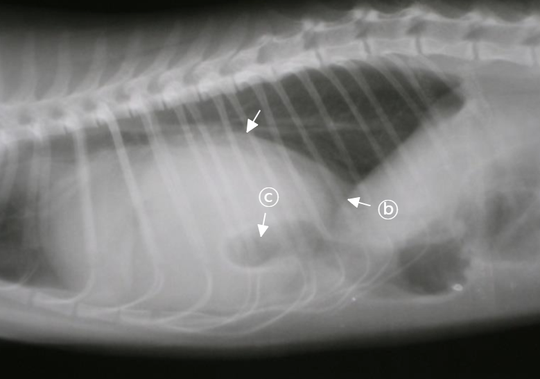
| PPDH : ๋ณต๊ฐ ์ ์ฅ๊ธฐ๊ฐ ์ฌ๋ญ ์์ผ๋ก ๋ค์ด๊ฐ โ ์ฌ์ฅ์ด ๋งค์ฐ ์ปค ๋ณด์. ![]() | - ์ ์ฒ์ฑ ์ง๋ณ์ด๋ผ ์ด๋ฆด ๋ ๋ฐ์. (PE๋ ์ด๋ฆด ๋ ์ X) - โ PPDH๋ diaphragm silluette์ด ๋ช ํํ์ง ์์. - โ ์ฅ์ ์ฐจ ์๋ ๊ณต๊ธฐ ์์์ด ๋ณด์ |
DCM![]() | - .. dialation์ด ๋์ด ์์ด์ผ ํจ. |
Pericardiocentesis
-
cardiac tamponade๋ฅผ ์์ ์ฃผ๊ธฐ ์ํด ์ฌ๋ญ์ฒ์
-
์ผ ์ค ๋ ๋ค ์ ๊ทผ ๊ฐ๋ฅํ์ง๋ง, ์ค๋ฅธ์ชฝ 4~5th ICS๋ฅผ ๊ถํ๋ค.
- dorsal์ ์ํ (aorta, ์๋ ๋ฑ ์ง๋๊ฐ)
- middle๋ heart-base ๋ถ๋ถ
- ventral๋ก ๋ค์ด๊ฐ๋ค - sternum๊ณผ CCJ ์ฌ์ด
-
์ ์ ๋ง์ทจ๋ฅผ ํ์ง ์๊ธฐ ๋๋ฌธ์ local ๋ง์ทจ
-
pericardium๊ณผ ์ฌ์ฅ์ ์ ์ ๊ฐ๊น์์ง๊ฒ ๋์ด ์์. ์ฌ๋ญ์ด ์ ์ ๊ฐ๊น์์ง๋๊น.. ์กฐ๊ธ์ฉ ๋ ๊น์ด ๋ฃ๋ค ๋ณด๋ฉด myocardium(์ฌ๊ทผ)์ ๊ฑด๋๋ฆด ์ ์์. โ ์ ๊ธฐ ์๊ทน์ผ๋ก ์ธ์, ectopic beating ๋ฐ์, QRS complex ๋ฐ์
-
ํจ๊ณผ๋ ์ฆ๊ฐ์ ์ด๊ณ ๋งค์ฐ ์ข์
- ์ฌ์ฅ์ด ์์ฒญ ๋นจ๋ฆฌ ๋ฐ์์๋๋ฐ, ์ฒ์ฒํ ์๋ ์๋๋ก ๋์์ด
- congestiveํ ์ํฉ๋ ํด๊ฒฐ
Subtotal (subphrenic) Pericardiectomy
- ๋ง์ด ..
- ์์ชฝ ๋์์ ์์, T์ ๋ชจ์์ผ๋ก ๋ด๋ ค๊ฐ
- ์ด์ง ๋ก๊ธฐ๊ณ , ์ด์ง ์๋ฅด๊ณ .. ๊ทธ๋ ๊ฒ 4๊ฐํ์ผ๋ก ์๋ฆ. ๋์ง์ด์
- ? ligament๋ก ๊ณ ์ ๋์ด์์.
- ์ถํ๋ ํ์ธ
- ์ฌ๋ญ ์์ ์๋ ๊ฒ๋ค์ด ํ์?๋ก ๊ฐ์ ํก์๋จ.
Postoperative Care
- ํ๊ฐ ํ๋ธ (Thoracostomy tube placement)
Prognosis
- hemangiosarcoma : ๊ฒฝํ์ ์ผ๋ก ๋ณดํต 3๊ฐ์ ์ ๋
- ์์ธ์ ์ ์ ์์ ๋ , ์น๋ฃ
์ฌ์ฅ์ฌ์์ถฉ
- embolism ์ต๋ํ ์์ ๊ณ ์์
- ์ฌ์์ฌ์์ถฉ ์ฑ์ถฉ : ์ฐจ๊ฐ์ด metal ์๊พธ ๋ชธ ๊ฐ์




(์ผ์ชฝ ํ๊ฐ)





