Lower Airway Surgery
- Trachea/Bronchi
- Lungs
- Pleural Space
- Thoracic Wall โ ์ค์ธ2(B) - 3.1 Lung (Lower Airway Surgery-2)
Abnormalities
์ ์ฒ์ ์ธ ์ผ์ด์ค์ ํ์ฒ์ ์ธ ์ผ์ด์ค.
Congenital Abnormalities
- Tracheal collapse (๊ธฐ๊ด ํํ) : ์ฐ๊ณจ์ rigidity๊ฐ ๋ฌด๋์ง๋ฉด์ ํธํก ํต๋ก๊ฐ ์ข์์ง
- Tracheal hypoplasia (๊ธฐ๊ด์ดํ์ฑ์ฆ)
- ์ฌ๋์ dorsal ์ชฝ์๋ ์ฐ๋ถ์กฐ์ง์ด ์์ด ์ฐ๊ณจ๋ก๋ง. ๊ฐ/๊ณ ์์ด๋ dorsal ์ชฝ์ด ์ฐ๋ถ์กฐ์ง์ผ๋ก ๋์ด ์์.
- Tracheal hypoplasia๋ ์ฌ๋์ฒ๋ผ dorsal ์ชฝ์๋ ์ฐ๋ถ์กฐ์ง ์์ด ํ์ด๋๋ ๊ฒ
Acquired Abnormalities
- Tracheal stenosis (๊ธฐ๊ด ํ์ฐฉ)
- Tracheal laceration (๊ธฐ๊ด ์ฐข์ด์ง) : ์ด๋ฌผ, iatrogenic (ET tube ์ฝ๊ด)
- Tracheal or bronchial foreign body (rare)
- Neoplasia (rare)
ํด๋ถํ์ ๊ตฌ์กฐ

- Tracheal rings : C-shaped, cartilaginous. ๊ณ ์์ด 40๊ฐ, ๊ฐ 35~45๊ฐ.
- ์ฐ๊ณจ ์ฌ์ด์ฌ์ด annular ligaments ์กด์ฌ.
- Dorsal tracheal membrane : ์ด๊ฒ ์์ด ํ์ด๋๋ฉด trachea hypoplasia
- mucosa, connective tissue, ํ๊ฐ์ด๋ฐ trachealis muscle
- mucosa, connective tissue, ํ๊ฐ์ด๋ฐ trachealis muscle
- Vascular supply
- ๊ฒฝ๋ถ ์ชฝ trachea๋ cranial & caudal thyroid artery
- ํ๋ถ ์ชฝ trachea๋ bronchial artery๊ฐ ํ๋ฅ ๊ณต๊ธ
- Recurrent laryngeal n. : Trachea์ dorsolateral ๋ฐฉํฅ์ ๋ถ์ด์ ๋ฌ๋ฆผ. ์์ ์ค ๋ฐ๋์ ๋ง๋๊ฒ ๋๋ฏ๋ก, ์์ ํ ํ๋๋ง๋น ์ฃผ์.
- Carotid sheath
- Vagosympathetic trunk (โ vagus nerve)
- ๋ฏธ์ฃผ์ ๊ฒฝ์ด caudalํ๊ฒ ๋ฌ๋ฆฌ๋ค๊ฐ PDA๊ฐ ์๊ธฐ๋ ์ง์ ์์ Uํด, trachea๋ฅผ ํ๊ณ cranialํ๊ฒ ์ฌ๋ผ์ค๋ ๊ฒ recurrent laryngeal n.
- Internal jugular vein
- Common carotid artery
- Vagosympathetic trunk (โ vagus nerve)
ํด๋ถ1 - Vagosympathetic trunk, vagus nerve, recurrent laryngeal nerve
[1] Tracheal collapse (Congenital-1)
-
์ฐ๊ณจ์ rigidity๋ฅผ ์์ด์ ํํ๊ฐ ๋ฐ๋ โ ๊ธฐ๊ด์ flaccidity๊ฐ ๋ฌด๋์ง.
- Hyaline cartilage๊ฐ fibrocartilage & collagen fiber๋ก ๋ฐ๋์ด์ ๋ฐ์.
- ํน์, hyaline cartilage๋ normalํ๋ dorsal membrane ์ชฝ์ด ๋๋ฌด redundant, weak ํด์ง ๊ฒฝ์ฐ๋ TC๋ผ๊ณ ํจ. (rare)
-
ํ๋ถ ์ชฝ์์๋ ๋ฐ์ ๊ฐ๋ฅํจ(=BC) โ fluoroscopy๋ฅผ ํตํด BC๋ ๋ฐ๋์ ๊ฐ์ด ์ง๋จํด์ผํจ.
-
Miniature, toy breed์์ ๋ง์ด ๋ฐ์.
-
Middle-aged ์ด์(7y)์์ ๋ค๋ฐ: congenitalํ์ง๋ง ๋ฐํ์ด ๋ฆ๋ ํธ.
| Grade of TC | |
|---|---|
![]() | - Grade 1 : lumen์ 25% reduction - Grade 2 : lumen์ 50% reduction - Grade 3 : lumen์ 75% reduction - Grade 4 : lume์ด ๊ฑฐ์ ์์. |
Clinical signs
- Goose honk
- Coughing
- Exercise intolerance
- Cyanosis
- Dyspnea : ๋ค์จ์ ํ๋ถ ์ชฝ collapsed, ๋ค์จ/๋ ์จ ๋ฐ๋ก ์ดฌ์.
Diagnosis
- Cervical palpation : ๋ง์ ธ๋ณด๋ฉด ๋๋ฌด ์ฝ๊ฒ ์ฐ๊ทธ๋ฌ์ง๋ ๊ฒ์ด ๋๊ปด์ง.
- Radiography
- ๋ฐฉ์ฌ์ โ ๋ค์จ ๋ ํ๊ฐ ์ชฝ(cervical trachea)์ด collapse / ๋ ์จ ๋ ๊ฒฝ๋ถ ์ชฝ(thoracic trachea) collapsed
- Fluoroscopy โ BC ํ์ธ์ ๋ชฉํ๊ฐ ์์. ๋ฌด๋์ง ๊ด์ฐฐ์ ์ฉ์ด.
- Endoscope (Tracheoscopy) : gradingํ๋ ๋ฐ๋ ๊ฐ์ฅ ์ ํํ๋, ๊ณต๊ฒฉ์ ์ธ ๋ถ๋ถ
- Laryngoscopy : ํ๋๋ง๋น ์ง๋จ. TC ํ์์์๋ iatrogenicํ ๊ฒฝ์ฐ๊ฐ ์๋๋๋ผ๋ ํ๋๋ง๋น๊ฐ ์ ๋ํ๋๋ค๋ ๊ฒ์ด ๋ฐํ์ง. ๋ฐ๋ผ์ ์ง๋จ ๋ฒ์์ ํฌํจ.
๊ธฐ๊ด์ด ์ข์์ง๋ ๊ฒ์ Tracheal collapse ๋ง๊ณ ๋ Tracheal hypoplasia์์๋ ๊ฐ๋ฅํ๋ค. ์ด ๋์ ๊ฐ๋ณํด๋ณด์.
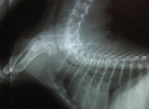
| 5m, English bulldog, respiratory distress | 8y, Yorkshire Terrier, respiratory distress | |
|---|---|---|
![]() | ![]() | |
| ์์ธ | 5๊ฐ์๋ น + ์๊ธ๋ฆฌ์ ๋ถ๋ | ์ ์ฒ์ ์ผ๋ก risk factor๋ฅผ ๊ฐ์ง๋ง, ๋ฐ์์ middle-aged์์ + ์ํ๊ฒฌ ๋ค๋ฐ |
| ๊ธฐ๊ด ์ง๊ฒฝ | ์ ์ฒ์ ์ผ๋ก dorsal band ์์ด ํ์ด๋จ โ ๊ฒฝ๋ถ๋ถํฐ trachea๊น์ง ์ผ๊ด์ ์ผ๋ก diameter๊ฐ ์ข์. | ์ง๊ฒฝ ๊ฐ์๊ฐ ์ผ๊ด์ ์ด์ง ์๋ค. ์ ์์ธ ๊ณณ๋, ์ข์์ง ๊ณณ๋ ์์. |
| ์ด์ง | ๋ง์ ธ๋ณด๋ฉด ๋ฑ๋ฑํจ. | ๋ง์ ธ๋ณด๋ฉด ์ฐ๊ธ์ฐ๊ธํจ. |
| ์ง๋จ | Tracheal hypoplasia | Tracheal collapse |
TC๋ BC์๋ ํจ๊ป ๋ฐ์ ๊ฐ๋ฅํจ. TC ์น๋ฃ๋ก ๋๋์ง ์์ ์ ์์ผ๋, ํญ์ ๊ฐ์ด ํ์ธํ ๊ฒ.
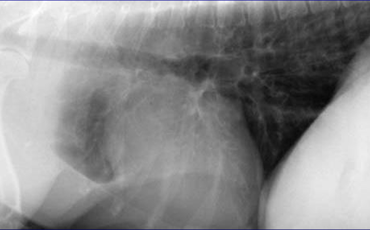
| ํก๊ธฐ ์ดฌ์ | ํธ๊ธฐ ์ดฌ์ |
|---|---|
![]() | ![]() |
| Trachea์ bifurcation๊น์ง์ ๊ธฐ๊ด ์ง๊ฒฝ์ด ๊ด์ฐฎ์ ๋ณด์. | Bifurcation ๋์๋ฝ์ด collapsed, bronchus ์ข์์ ธ ์ ๋ณด์. โ BC๋ก ์ง๋จ |
BC๋ฅผ ์ง๋จํ๊ธฐ ์ํด fluoroscopy๋ฅผ ๋ณด๋ฉด ๋์์ด ๋ง์ด ๋จ.
Trachea์ esophagus๊ฐ ๊ฒน์น ์์์ ๊ธฐ๊ด ์ง๊ฒฝ์ด ์ค์ด๋ ๊ฒ์ผ๋ก ๋ณด๊ณ TC๋ก ์ค์งํ๋ฉด ์ ๋จ.
| ๊ฒฝ๋ถ ๋ฐฉ์ฌ์ | |
|---|---|
![]() | - ๊ฒฝ๋ถ ์ชฝ lateral ์ดฌ์์์ trachea์ dorsal ์ชฝ์ผ๋ก ๊ฒน์น ์์์ด ๋ณด์. - Trachea์ dorsal band๊ฐ ์ถ ์ณ์ ธ์ ์ด๋ ๊ฒ ๋ณด์ผ ์๋ ์์ง๋ง (์ด ๊ฒฝ์ฐ๋ tracheoscopy๋ก ๊ฐ๋ณ + dorsal membrane์ด ์ถ ๋์ด์ง๋ฉด trachea๊ฐ ๋ฌด๋์ง๋ ๊ฒฝํฅ), - ์ฐ๊ณจ ์์์ด ์ด์ง ๋ณด์ด๋ฉด์ diameter๊ฐ ์ผ์ ํ ๊ฒ์ ๋ณด๋ฉด ์๋์ ๊ฒน์น ๊ฒ์ผ๋ก ๋ณด๋ ๊ฒ์ด ํ๋น. |
Medical treatment (๐์ฐ๋ด1 - TC)
- ์ฝ๋ฌผ์ด ์ข์๊น? ์์ ์ด ์ข์๊น?
- grade 1,2๋ medical, 3-4๋ surgical์ด๋ผ๊ณ ๋ค ๋งํจ.
- ์ผ์ ๋ถ๋ถ ๋ง์ผ๋, ์์์ ์ผ๋ก ๊ทธ๋ณด๋ค ์ฐ์ ๋๋ ๊ธฐ์ค์
โ Medical treatment์ด ์ฐ์ ์ ์ผ๋ก ๊ถ์ฅ๋๋, ๋ฐ์์ฑ์ ํ์ธ.- Grade 3์ด์ด๋ ์ฝ๋ฌผ์ ๋ฐ์ํ๋ฉด ์์ ๋ณด๋ค ๋ฒํธ ๋งํผ ๋ฒํ จ๋ณด๋ ๊ฒ ์ข์
- Grade 4๋ ๊ฑฐ์ ์์ ํ collasped๋ ๊ฒ์ด๋ฏ๋ก ์ธ๊ณผ์ ์ธ intervention์ด ์๊ธ.
| ์ฝ๋ฌผ | |
|---|---|
| Cough suppressants (๊ธฐ์นจ์ต์ ์ ) | - Butorphanol (0.5-1mg/kg PO BID to QID) - Hydrocodone (0.5mg/kg PO q8h) |
| Bronchodilators (๊ธฐ๊ด์งํ์ฅ์ ) | - Aminophylline (10mg/kg PO/IM/IV*(์ฒ์ฒํ!!)* BID to QID) : ๊ธํ๊ฒ ์จ ํ์์์ ํฌ์ฌ - Theyophylline (5-30mg/kg PO BID) : ์ด๋ ์ ๋ ์์ ๋๋ฉด theophylline์ผ๋ก. |
| Antibiotics | TC ๋ฌด๋์ง๋ฉด์ ๊ธฐ๋ฅ์ ๋ฌธ์ ๋ฐ์, ๊ธฐ๊ด์์ ์๋ ์ง์ ๋ถํ ๊ฒ์ ๋ฐฐ์ถํด์ผ ํ๋๋ฐ ๊ทธ๊ฒ ์ ์ ๋ผ์ ์ธ๊ท ๊ฐ์ผ, ์ผ์ฆ์ ์ทจ์ฝํด์ง. |
| Steroid | - Prednisolone (1-2mg/kg PO BID) : ๋ถ์ข , ์ผ์ฆ์ ๋ค๋ฃจ๊ธฐ ์ํจ. |
-
ํญ์์ , ์คํ ๋ก์ด๋ ๋ฑ ์จ์ผ ํ๋ ์๋นํ ๋ถ๋ด์ค๋ฌ์ด ์ฝ๋ฌผ ์น๋ฃ. ๋ช ๋ฌ ๋ช ๋ ์ง์ํ๊ธฐ์ ๋๋์ฑ.
-
ํญ์ ๋ชจ๋ํฐ๋งํ๊ณ ์์ํ๋ฉด์ ์ฝ๋ฌผ ์ฉ๋์ ์กฐ์ ํด์ผ ํจ.
-
๊ทธ ์ธ medical treatment
- Oxygen supplement : ์ฐ์๋ฅผ ์ถฉ๋ถํ ๊ณต๊ธํ๋ ๊ฒ์ด ์ค์.
- Sedation : ์๊ธ์ ์ผ๋ก ์์ ํฅ๋ถ์ ๋ง์ด ํ๋ฉด ๊ฒฉํ๊ฒ collapsed โ ์ง์ (diazepam, acepromazine)
- Nebulizing : ์ต์คํด์ผ ๊ธฐ์นจ๋ ๋ ํ๊ณ , ๋ฐฐ์ถ๋ ์ ๋จ. ์ง์ ๋ค๋ทธ๋ผ์ด์ ๊ตฌ๋น ํ์.
- Exercise restriction : ์ด๋ ์ ํ
- Nonsmoking atmosphere : ๋ด๋ฐฐ ํผ๋ ์ฌ๋์ ์ซ์๋ด์
- Control complicating factors
- Obesity : ์ฒด์ค ๊ฐ๋ ์ ๋ง ์ค์. ๊ฐ๋์ ์ ํ๋ฉด ์ฝ๋ฌผ ์น๋ฃ์ ๊ฑฐ์ 50%๊น์ง ๋ผ ์ ๋.
- Heat stress : ๋์ด ๋ฐ ์ทจ์ฝํจ.
- Leash irritation : leash๋ ์์ฒญ๋๊ฒ ์๊ทน ์ฌ๊ฐ. ํ๋ค์ค ์ฌ์ฉ..
์ด๋ ๊ฒ 3๊ฐ์ ์ ๋ ์น๋ฃํด๋ ๋ฐ์์ด ์์ผ๋ฉด.. ์ธ๊ณผ์ ๊ต์ ์ ์ฌ๊ฐํ๊ฒ ๊ณ ๋ ค. (Grade 3~4) ์ฝ๋ฌผ ๋ฐ์์ด ์ข์ผ๋ฉด grade 3๋ ๊ทธ๋๋ก ์ ์ง.
Surgical Treatment
์์ ์ ๋ชฉ์
์์ง๊น์ง ์๋ฒฝํ ์์ ๋ฒ์ด๋ผ๊ณ ํ ์ ์๊ณ , Complication์ด ๋ฐ์ํ์ ๋ ์ฌ๊ฐํ ์ ์์.
๊ฐ๋ฅํ๋ฉด ์ฝ๋ฌผ๋ก ๋ฒํ จ๋ณด๋, ์์ ์์ ์ ๋ช ํํ๊ฒ ์๊ฐํ๊ณ ๊ฒฐ๋จํด์ผ ํจ. ๋ ์ฌํด์ง๋ฉด ํธํก๊ณค๋..
-
Goal : Collapsed trachea ์์ ๋ณต๊ตฌ
- Tracheal cartilage & trachealis muscle ์ง์ง
- Segmental blood & nerve supply๋ฅผ ๋ณด์
-
์ฃผ๋ก 2๊ฐ์ง ๋ฐฉ๋ฒ ์ค ํ๋๋ฅผ ์ฌ์ฉ.
| Techniques | |
|---|---|
| Intraluminal stents | ์์ชฝ์ stent๋ฅผ ๋ฃ์ด collapsed trachea๋ฅผ ํด ์ค. |
์ ์ฉ![]() | ๋์จ ์ง 20๋
๋์์ง๋ง ์ฌ์ ํ ๋ง์ด ์ฐ์ด๋ minimally invasive technique. - Self-expanding elastic imlant ์ด์ฉ (์ด๊ฒ ๋น์.. 100๋ง์) - General anesthesia โ fluoroscopy, traheoscopy - ์ํ ์๊ฐ์ 5๋ถ ์ด๋ด๋ก ๋งค์ฐ ์งง๊ณ , trachea์ ๊ฒฝ๋ถ/ํ๋ถ ์ชฝ์์ ๋ชจ๋ ์ํ ๊ฐ๋ฅ. - ํ๋ถ ์ชฝ์ด ๋ฌด๋์ก๋ค๋ฉด ์๋ extraluminal ๋ฐฉ๋ฒ์ ๋ถ๊ฐ, stent ํ์. |
| ๋ถ์์ฉ | โ๊ฐ์ฅ ํฐ ๋ฌธ์ ๋ breakage. ์๊ทน ์ ๋ฐํด์ ๊ธฐ์นจ์ด ๋์ฌ ์๋ ์๊ณ , trachea๊ฐ ๊บพ์ด๊ธฐ ๋๋ฌธ์(thoracic inlet) ์๊ตฌํ ๋ฒํฐ๊ธฐ ์ด๋ ค์. 4-5๊ฐ์์์ ๊ธธ๋ฉด 1๋
์ ๋. - migration๋ ๋ฌธ์ ๋ ์ ์์ง๋ง ์์ฆ์ ์ ์ฒด trachea์ ๋ค ์ฅ์ฐฉํ๊ธฐ ๋๋ฌธ์ ๊ด์ฐฎ๋ค |
| Extraluminal prostheses | ๋ฐ๊นฅ์ชฝ์ rigidity๊ฐ ๋์ ๋ณดํ๋ฌผ์ ๋๊ณ , trachea์ ๋ฌถ์ด ํต๋ก ํ๋ณด. |
์ ์ฉ![]() | Cervical & cranial thoracic trachea์์๋ง ์ ์ฉ ๊ฐ๋ฅํ ๋ฐฉ๋ฒ. โRecurrent laryngeal n. ์ Cranial & Caudal thyroid a. ๋ฅผ ์์์ํฌ ์ํ์ฑ ์กด์ฌ. - Polypropylene syringe(์ฃผ์ฌ๊ธฐ)๋ฅผ ๊ฐ๊ณตํด ๋ณดํ๋ฌผ์ ๋ง๋ฆ. (์ฃผ์ฌ๊ธฐ๋ฅผ 5-8mm wide๋ก ์๋ฅด๊ณ , ํ ๋ฐํด๋ฅผ ๋๋ฌ ๊ตฌ๋ฉ 6๊ฐ ์ ๋ ๋ซ์. ๋์ ํ๋ ์กด์ฌํ๋ ๊ถ์ฅ๋์ง ์์.) โ *๋ณดํ๋ฌผ์ ์ ๋ ดํ๋ ์์ ๋น๊ฐ ๋น์ - thoracic ๋ถ๋ถ์ด intactํด์ ๋ ๋ฐฉ๋ฒ ๋ค ๊ฐ๋ฅํ ๊ฒฝ์ฐ, extraluminal์ ์ ํธ. ์ ๊ฒฝ/ํ๊ด๋ง ์ ๋ณด์กดํ๋ฉด ์ด๋ฌผ ๋ฐ์์ด๋ ๋ถ์์ฉ์ด ํจ์ฌ ์ ์. |
| ๊ณผ์ | [1] ventral approach๋ก trache๋ก ์ ๊ทผ. ๋๋์ดํ๋์ ๊ฒฝ ํ์ธํ์ฌ ์์ ์๋๋ก ์ฃผ์. ์ ๊ฒฝ์ด ๋ณด์ด์ง ์์ ๊ฒฝ์ฐ trachea์ ์ฐ๊ณจ์ ์ต๋ํ ๋ถ์ฌ์ dissection. [2] ์ ๊ฒฝ์ ํผํด curved mosquito๋ก ๋์ฑ ๋ถ๋ฆฌํ ํ ring ์ฅ์ฐฉ [3] ๋ณดํ๋ฌผ์ ์ด๋ ค ์๋ ๋ถ๋ถ์ด ventral๋ก ์ค๊ฒ ํ์ฌ ๋ดํฉ [4] ๋ดํฉ [5] ๋ณดํ๋ฌผ์ ๊ตฌ๋ฉ์ dorsal 2, ventral 2, side 2 โ ventral ์ชฝ ์ฐ๊ณจ์ ๋ ์ ๊ตฌ๋ฉ์ผ๋ก ๋์ด โ side์์ ๋์ผํ๊ฒ ์งํํ๊ณ suture tag๋ฅผ ๊ธธ๊ฒ ๋จ๊น. โ dorsal ์ชฝ์์ ์๊น ๋จ๊ธด side์ suture tag๋ฅผ ๋น๊ธฐ๋ฉด trachea๊ฐ ๋๋ฉด์ dorsal ์ชฝ์ด ๋ ธ์ถ๋จ, ๋๋จธ์ง ๋ดํฉ ์งํ. [6] 5mm ๊ฐ๊ฒฉ์ผ๋ก ๋ฐ๋ณตํ์ฌ ๋ณดํ๋ฌผ ์ฝ์ . ![]() |
| Dorsal tracheal membrane plication | - Relatively normal tracheal cartilages (์ฐ๊ณจ์ intactํ๋ฐ dorsal tracheal membrane๋ง ๋์ด๋ฌ์ ๋ ์ํ) โ not typical - ์ณ์ ธ ์๋ dorsal tracheal membrane์ ์๋ก ๋น๊ฒจ ๋ดํฉ. - Horizontal mattress suture๋ฅผ ๋ง์ด ์ฌ์ฉํ๋ฉฐ, everting ๋ดํฉ๋ฒ์ด๋ฉด ๋ค ๊ฐ๋ฅ. |
2) Tracheal hypoplasia (Congenital-2)
Dorsal membrane์ด ์์ด ํ์ด๋จ โ ์ง๊ฒฝ์ด ์๊ณ , ๊ธฐ๊ด์ด (์ฌ๋์ฒ๋ผ) ๋ฑ๋ฑํจ. English bulldog์์ ํน์ง์ ์ผ๋ก ๋ง์ง๋ง, ๋จ๋์ข ์ด๋ฉด ๋ค ๊ฐ๋ฅ์ฑ์ด ์์.
- ์ธ๊ณผ์ ์ผ๋ก ๋ฐ๋์ ์น๋ฃ๊ฐ ํ์ํ ์ํฉ์ ์๋์ง๋ง
- ๋ง์ทจํ ๋ ์ฃผ์!! ์ง๊ฒฝ์ด ์๊ธฐ ๋๋ฌธ์, ET tube ์ฌ์ด์ฆ๋ฅผ ์๋ชป ์ธก์ ํด์ ๋ฐ์ด๋ฃ๋ค๊ฐ trachea๊ฐ ์ฐข์ด์ง ์ ์๋ค.
- Thoracic inlet๊ณผ Trachea diameter ๋น๊ต (TD/TI < 1/5 ์ด๋ฉด hypoplasia)
3) Tracheal Stenosis (Aquired -1)
์ธ์์ ์ํด ์์ฒ๊ฐ ๋์ ์ข์์ง.
Scar tissue due to trauma
- Intraluminal : ET tube ์ฝ๊ดํ๋ค๊ฐ(intubation), ์ด๋ฌผ(foreign bodies)์ ์ํด
- Extraluminal : ๊ต์(blunt or penetrating trauma)
Diagnosis
- ๋ฐฉ์ฌ์ ์ดฌ์, tracheoscopy๋ก ์ง๋จ
Treatment
๋๋ถ๋ถ์ ํ์ฐฉ์ ์ฐ์ ์ ์ผ๋ก Bouginage/Balloon dilatation์ผ๋ก ์น๋ฃ.
- Bougienage : ์ง๊ฒฝ์ด ์๋ก ๋ค๋ฅธ ๊ธฐ๊ตฌ. (์ ์ ์ฌ์ด์ฆ๋ฅผ ๋๋ ค ๊ฐ๋ฉฐ ๊ดํต์ํค๋ ๋ฐฉ๋ฒ)
- ํ์ฐฉ์ fibrosis(์ฌ์ ํ) ๋๋ฌธ์ ์๊ธฐ๋ฉด์ ์ผ์ด๋๋ฏ๋ก, ์ ์ฐจ ์ง๊ฒฝ์ ํค์๊ฐ๋ฉฐ ์ฝ์ ํด์ฃผ๋ฉด์ ๋๋ ค์ค
- Balloon dilatation : flatํ ์ํ๋ก ํ์ฐฉ๋ถ์ ๋ฃ๊ณ , ์์ผ์ ๋ฑ์ ๋ฃ์ผ๋ฉด์ balloon size๋ฅผ ๋๋ ค ํ์ฐฉ๋ ๋ถ๋ถ์ ๋ํ์ค
- Stent : ์ฐ์ ์ ์ผ๋ก ๊ถ์ฅ๋์ง๋ ์์.
- Resection/anastomosis : ํ์ฌ๊น์ง ์ต๋ 17 rings resected. ๋ง์ด ์๋ฅด๊ธฐ ์ด๋ ค์.
- ๋นํก์์ฑ ๋ดํฉ์ฌ ์ฌ์ฉ (3-0, 4-0)
- Anastomotic techniques๋ 3๊ฐ์ง : ๋ถ์ฌ์ฃผ๋ ๋จ๋ฉด์ด ๋ฌด์์ธ์ง์ ๋ฐ๋ผ.
- Split-cartilage technique : Tracheal ring - ring
- Annular ligament-cartilage technique : ์ฐ๊ณจ - ligament (์ฐ๊ณจ์ ๊ฐ๊น๊ฒ but ์ธ๋ ๋จ๊ฒจ์ ์๋ฆ)
- Interannular technique : ์ธ๋ - ์ธ๋
- Tension-relieving sutures : ๋ฌธํฉ ๋ถ์๋ณด๋ค ๋ฉ๋ฆฌ์ ์ํ
- ์ฅ๋ฌธํฉ ๋์ฒ๋ผ ์ ๋ธ๋ ค์ค์ง ์๊ธฐ ๋๋ฌธ์, ๋ฌธํฉ ๋ถ์์ ์์ฉํ๋ tension์ ์ค์ฌ์ค
| Split-cartilage | Annular ligament-cartilage | Interannular |
|---|---|---|
![]() | ![]() | ![]() |
-
์ด๋ค ๋ฐฉ๋ฒ์ด๋ ํ์ฐฉ์ ์ ์น๋ฃํด์ค์ผ.
-
hard tissue-hard tissue๊ฐ ๊ฐ์ฅ ๋จ๋จ. Split-cartilage๊ฐ ๊ฐ์ฅ ์ ํธ๋๋ ๋ฐฉ๋ฒ.
-
submucosa๋ฅผ missingํ ๊ฐ๋ฅ์ฑ์ด ๋์
-
dorsal membrane ์ชฝ์ด ๊ฐ์ฅ ์ด๋ ค์ (360โ ์ค 80โ ์ ๋๋ ์ ๋ณด์) - ์ด์ชฝ๋ถํฐ ์์.
-
FNNF, FFNN, simmple interrupted : tension์ ์ค์ฌ์ค + everting ์ ๋๋ ๋ดํฉ๋ฒ ์ฌ์ฉ
- ๋ฐ๋ผ์ mattress ๋ดํฉ๋ฒ์ ์ฌ์ฉ ๋ถ๊ฐ
4) Tracheal laceration (Acquired -2)
- ์์ธ : ๊ฐ์
- ์์์ฆ์ : ํผํ๊ธฐ์ข
๋ฑ (peritracheal, subcutaneous, mediastinal emphysema)
- thoracic inlet ํตํด ์ข ๊ฒฉ๋๊น์ง ๋ค์ด๊ฐ ์ ์์
| Case |
|---|
| 1-year-old, Mixed breed dog, Death caused by respiratory distress postoperatively |
![]() ![]() |
| - ๋จ๋์ข
์ฆํ๊ตฐ, ํธํก๊ณค๋์ผ๋ก ์์ - contrast ํ์ค (ํ๊ฐ์ด ๋๋ฌด) โ ๊ธฐํ - ET tube ์ฝ๊ด์ผ๋ก ์ธํด trachea๊ฐ ์ฐข์ด์ง โ ์ข ๊ฒฉ๋์ด ๊ณต๊ธฐ๋ก ๊ฝ ์ฐธ. |
- ์ฌ๋งํ ์ฐข์ด์ง์ ์์ ์ ๊ฐ์ ์์ด ์น๋ฃ๋ ๊ฐ๋ฅ์ฑ์ด ์์. (๊ต์๋ ์๊ฐ๊ณผ ์ฝ๊ฐ ๋ค๋ฅด์ง๋ง..)
- Cervical trachea : orotracheal intubation ๋๋ ์ด๋ฆฐ ๋ถ์๋ก intubation โ ํธํก ํต๋ก ํ๋ณด, ์์ฒ ๊ด๋ฆฌ ์ฃผ์
- Thoracic trachea : pneumothorax์ ๋ํ ๋ชจ๋ํฐ๋ง ํ๋ฉด์ 3-4์ผ ๊ธฐ๋ค๋ฆผ. โ ์ฆ์์ด ์ฌ๋ผ์ง๋ฉด ํ๋ณต๋ ๊ฒ, ์๋๋ผ๋ฉด ์ธ๊ณผ์ ์ฒ์น
-
๋๋ถ๋ถ ๊ฒฝ๊ตฌ๋ก ET tube ์ฅ์ฐฉํด์ ์์ ํ โ ์ฐข์ด์ง ๊ฑฐ ๋ดํฉ.
-
๊ฒฝ๊ตฌ ํ๋ธ ๋ถ๊ฐ๋ฅํ ๊ฒฝ์ฐ : ์ฐฝ์์ด ๋ ๋ถ๋ถ๋ณด๋ค distal ์ชฝ์์ ๊ตฌ๋ฉ ์ด์ด์ ET tube๋ฅผ ๊ฝ๊ณ , ๋ดํฉ (ํํ์ง ์์)
-
๋๋ฌด ์ฌ๊ฐํ๊ฑฐ๋ ํ์ฐฉ์ด ๋ฐ์ํ๋ฉด anastomosis ์ค์ํ๋ ๊ฒ๋ ๋ฐฉ๋ฒ
5) Neoplasia (Acquired -3)
- Uncommon
- Progressive dyspnea(์ ์ง์ ํธํก๊ณค๋) ์ด ํน์ง์
- Diagnosis : Radiography & Tracheoscopy
- ๋ฐฉ์ฌ์ ์ ๋ฐ๋๊ฐ ๋ฌ๋ผ์ ์ ๋ณด์
- Surgical treatment : Resection/anastomosis (์๋ผ์ ๋ฌธํฉํ๋ ๊ฒ์ด ๋ฐฉ๋ฒ)
| Radiography | Tracheoscopy |
|---|---|
![]() | ![]() |
(Tracheostomy ๋ถํฐ ๋ค์ ๋ฒ์)
















