1์ฃผ์ฐจ (3/7) : A
โ . Clinical neurology in dogs and cats
์ ๊ฒฝํ์ ํ๋ํ๊ณผ ๊ด๋ จ์ด ์๋ค. ์ ๊ฒฝํ์ ๋ฐํ์ง์ง ์์ ๊ฒ์ด ๋ง์ ๋ฏธ์ง์ ๋ถ์ผ. neuron์ pathway๋ฅผ ๋ชจ๋ฅด๋ฉด ์ดํดํ ์ ์์.
โ๏ธ ๊ณํต๋ณ Approach
๋๋ฌด ๋ง์ ์ง๋ณ์ด ์๊ณ , ๋ชจ๋ ๊ฒ์ฌ๋ฅผ ์ํํ ์ ์๊ธฐ ๋๋ฌธ์ ๊ณํต๋ณ๋ก ์ ๊ทผํ๋ ๊ฒ์ด ์ค์ํ๋ค.
| Clinical onset | |||
|---|---|---|---|
| D | Degenerative (ํดํ์ฑ) | IVDD, DJD | ๋ ธ๋ น |
| A | Anomalous (๊ธฐํ) | shunt, hydrocephalus | ์ด๋ฆด ๋ |
| M | Metabolic (๋์ฌ์ฑ) | ๋น๋จ ๋ฑ | |
| N | Nutritional (์์์ฑ) | hyper/hypokalemia | |
| Neoplastic (์ข ์์ฑ) | cancer, brain tumor (seizure) | ||
| I | Infectious, Inflammatory (๊ฐ์ผ์ฑ, ์ผ์ฆ์ฑ) | WNV, ๋ฆฌ์ผ์ฑ , HW | |
| Immune-mediated, Intoxication, Idiopathic | ๋์ฝ, ์ฅ์ฝ ์ญ์ทจ ๋ฑ | ||
| T | Traumatic (์ธ์์ฑ) | ๋์ด์ ๊ด๊ณ์์ด | |
| V | Vascular (ํ๊ด์ฑ) | infarction, FCE | ๋ ธ๋ น |
โ๏ธ ๋ถ์์ ๋ฐ๋ฅธ ๋ค์ํ cerebrovascular disease
Cerebrovascular disease
- ์์ธ : Embolism (ํ์ ; major cause), thrombosis, hemorrhage
- ํ์ก์ ๋์ ๋์ ํ๊ฒ ํ๋ ๋ชจ๋ factor๊ฐ ์ ๋ฐ ๊ฐ๋ฅํ๋ค.
- D-dimer : ์์ ์ฆ์ biomarker (๊ณ ์์ด์์๋ ํ๋ฆฝ๋์ง ์์.)
- ๋ํ๊ด ์งํ์ ํน์ง
- Peracute or acute onset(๋น ๋ฅด๊ฒ ๋ํ๋๋ ํธ)
- focal, asymmetrical (ํ์ชฝ์์ ๋ํ๋จ)
- non-progressive brain dysfunction (๋ฌธ์ ๊ฐ ๋ ํ์ชฝ ํ๊ด/์ ๊ฒฝ ๋ถ์์์๋ง ๋ํ๋๊ณ , ๋ค๋ฅธ ๋ถ์๋ก ์งํ๋์ง ์์)
- ๊ฐ์์๋ ์ฌ๋์์๋งํผ ํํ์ง ์์(uncommon). - ์ง๊ธ๊น์ง ์ง๋จ ๊ธฐ์ ์ด๋ ๋ฐ์ดํฐ๊ฐ ๋ถ์กฑํด์ ์กํ ๊ฒ ์ ์
Cerebellar infarction
- Cerebellar infarction(์๋ ๊ฒฝ์) โ ํ์ก์ด ๋งํ ๋ค์ชฝ์ ์ฐ์๊ฐ ๊ณต๊ธ๋์ง ์์ผ๋ฉด์ ํํ์ฑ ๊ดด์ฌ(ischemic necrosis)๊ฐ ์๊น.
- ์๋์ ๋ฌธ์ โ balance์ ๋ฌธ์ โ vestibular sign (๊ท ํ๊ฐ๊ฐ์ ์ด์; nystagmus, head tilt, tetraparesis, circling, growling, falling, ataxia ๋ฑ)
- ๊ท ํ์ด ์ ๋ง์ผ๋ vomiting๋ ๋ํ๋จ. - ์ํ๊ธฐ ์ง๋ณ๋ง ์๊ฐํ๋ฉด ์๋จ. ์ค์ด์ผ, ์ธ์ด์ผ ๋ฑ์ ์ํด์๋ ๊ฐ๋ฅ.
- vestibular nucleus(์ ์ ํต, ์๋ฐํต) : ์ฐ์ ๋ถ๋ถ(medulla oblongata)์ ์์. 8๋ฒ ์ ๊ฒฝ(vestibulocochlear n.)์ ํต. ์ด์ชฝ์ ์ผ์ฆ ์์ผ๋ฉด ์ฆ์ ๋ํ๋จ.
- flocculonodular lobe, medulla oblangata, meatus interna(๋ด์ด) - ์ธ ๋ถ์์ ๊ด๋ จ. (๋๋๊ฐ ์๋ ๋์ค๊ธฐ, ๋ด์ด ๋ถ๋ถ)
Flocculonodular lobe | ์๋(Cerebellum)์ ์์น์ ๊ตฌ์กฐ
- ์๋์ ์ฝ์ ๋ค์๊ณผ ๊ฐ์ด Anterior lobe, Posterior lobe, Flocculonodular lobe 3๊ฐ์ง
- Flocculonodular lobe : ์๋์ ์ฐ์๊ฐ ๋ถ์ด ์์ด ์๋์ ์ฐ์๋ฅผ ์ฐ๊ฒฐ์ํค๋ ๋ถ์.
- Flocculonodular lobe์ ๋ฌธ์ ๊ฐ ์์ผ๋ฉด vestibular sign์ด ๋ํ๋ ์ ์์.
Spinal cord infarction
- Spinal cord infarction : FCE(์ฐ๊ณจ์ฌ์ ์ฑ ๋ฌผ์ง, disc๋ก๋ถํฐ ๋ค์ด์ค๋ ๊ฒ์ผ๋ก ์๊ฐ๋จ)์ด ์์ ์ฆ์ ์ผ์ผํด. โ ํธ์ธก์ฑ์ผ๋ก ๋ค๋ฆฌ๋ฅผ ์ฐ์ง ๋ชปํจ.
- ์ด์ธ์ ๋ถ์์ ๋ฐ๋ฅธ Cerebellar infarction์ ์์ ์ฆ์
- ๊ธ์ฑ ์ฌ์ง๋ง๋น, ๋ฒ๋ฅ๊ฑฐ๋ฆผ, But ์์์๋ ๋ฌธ์ ์์ โ ์๋ ์ฆ์
- ๊ฒฝ์ถ๋ง๋น, neck scratching โ COMS ์ฆ์๊ณผ ๊ฐ์ด ๋ํ๋จ
- ๋ง๋ง, ๊ฐ๋ง, ํ์ฑ ๋ฑ์ ์๋ฌด ๋ฌธ์ ์๋ ํ์๊ฐ ๊ฐ์๊ธฐ ์๋ ฅ์ด ์ฌ๋ผ์ง โ central blindness, ๋๋์ด์
๐ Case 1. COMS - A
ํ์ ๋ณ๋ ฅ ํ์ธ
10y, CM, YT
- Peracute
- Right head turn : ๊ณ ๊ฐ๊ฐ ์ฝ๊ฐ ๊บพ์.
- tetraparesis : ๊ฐ๊ฐ์ ์๋๋ฐ ์ผ์ด๋์ง ๋ชปํจ.
- SAP 125mmHg, Normotension : ํ์์ ์ ์
- Nystagmus: vestibular sign ์์
- Postural reaction (Rt. fore&hindlimb, Lt. hindlimb์์ ์์ค) : ๊ท ํ ๊ฐ๊ฐ์ ์ด์, ataxia
- Visible eye jerkiness : ๋์์ด ๊ณ์ ์์ง์.
- DAMNIT-V์์ D[๊ฐ๋ฅ์ฑ ์์], N[์ข ์ ๊ฐ๋ฅ์ฑ ์์/์์์ diet ํ์ธ], I[PCR ๋ฑ], T[ํ์คํ ๋ฆฌ ํ์ธ], V[๋ ธ๋ น์ด๋ ๊ฐ๋ฅ์ฑ ์์]
โ ์ ํ์ ์ธ vestibular sign
| ์ฐธ๊ณ ) Types of nystagmus | |
|---|---|
| * Nystagmus : ์๊ตฌ๊ฐ ๊ณ ์ ๋์ด ์์ง ์๊ณ ์์ง์ด๋ ์ฆ์. | |
![]() | Horizontal nystagmus (side to side) |
![]() | Vertical nystagmus (up and down) |
![]() | Pendular nystagmus (round in circles) |
์ง๋จ์ ์ํ ๊ฒ์ฌ
๊ธ์ฑ, ํธ์ธก์ฑ์ผ๋ก vestibular sign์ด ๋ํ๋๋ ๊ฒ์ ๋ณด๋ ๋์ ๋ฌธ์ ์ธ ๊ฒ ๊ฐ๋ค. MRI๋ฅผ ์ฐ์ด๋ณด์.
MRI ํ๋ ๋ฐฉ๋ฒ
- T1 image : fluid๊ฐ ๊ฒ๊ฒ ๊ด์ฐฐ๋จ.
- T2 image : fluid๊ฐ ํ์๊ฒ ๊ด์ฐฐ๋จ. โ inflammation, cyst, abscess, hemorrhage, infection
| T1 | T2 |
|---|---|
![]() | ![]() |
| ๋์ฒ์์ก์ด ์๋ lateral ventricle์ด ํ์๊ฒ ๊ด์ฐฐ๋จ. |
T2์ ์๋์์ ํ์๊ฒ ๋ณด์ด๋ ๋ถ์(=ํ์ดํ) โ ๋์ฒ์์ก์ด ์์ด์ผ ํ ๋ถ์์ ๋ฌผ์ด ์ฐธ.
| T1 | T2 |
|---|---|
![]() | ![]() |
| infartion์ด ์๊ธด ํ์ ๋ถ๋ถ (=wedge shape) ํธ์ธก์ฑ์ผ๋ก ์กด์ฌ | infarction์ด ๋ฐ์ํ ๋ถ์๊ฐ ๊ฒ๊ฒ ๊ด์ฐฐ๋จ. |
์ค๋ฅธ์ชฝ(์ฌ์ง์ ์ผ์ชฝ) ๋ถ์์ ๊ตญ์์ ์ธ infarction โ ischemic necrosis๊ฐ ๋ฐ์ํ๊ณ ์์. โ embolism์ด ์ ์ ์ฆ์์ ์์ธ.
๋ณ์ ์ํ์ ๋ฐ์ ์์ธ ํ์
Embolism์ด ์์ธ์์ ์์๋๋ค. ์ ๋ฐ์ํ์๊น? ํ์ก์ด ์ ๋์ ๋์ ํด์ก์๊น?
| T2 |
|---|
![]() |
| (MRI์์๋ ๊ฒ์ ๊ฒ ๋ผ.) ์์์ ํ๋๋ถ์ ๋ผ๊ฐ ์๋๋ฅผ ๋๋ฅด๊ณ ์์ (COMS) + ์๋์ชฝ์์ C1์ด ์ฒ์๋ฅผ ์ฐ๋ฅด๊ณ ์์ (kinking) |
-
์์๋์์ ๋๋ ค์ CSF์ blood flow๊ฐ ๋ฐฉํด๋ฐ์. โ Cerebellar infarction.
-
ํ์ก ํ๋ฆ์ด ์ง์ฐ๋๋ ์๋ ์ฃผ๋ณ ์ฅ๊ธฐ์์ ์์ ์ฆ์ด ๋ง์ด ๋ฐ์.
-
V์ ๋ฌธ์ ๊ฐ ์์์ผ๋ ๊ทธ ์์ธ์A์์.
โ Caudal occipital Malformation Syndrome(COMS). = Chiari-like syndrome.
COMS (Caudal Occipital Malformation Syndrom)
- ๋จ๋์ข ์์ ๋ง์ด ์๊ธฐ๋ ํ๋๊ณต์ดํ์ฑ์ฆ. (์ํ๊ฒฌ์ด ๋ง์ ์ฐ๋ฆฌ๋๋ผ์์ ํํ ํธ)
- ์๋ ๋ค์ ๋ผ ์ดํ์ฑ์ผ๋ก ์๋๊ฐ ์ง๋๋ฆฌ๋ฉฐ, ๊ฒฝ์ถ(C1, C2)์ head๊ฐ ๊ฐ์ด ์๋๋ฅผ ๋๋ฅด๊ธฐ๋ ํจ.
- ์๋๊ฐ ๋๋ ค CSF์ ํ๋ฆ์ด ๋ฐฉํด๋ฅผ ๋ฐ์, ์๋ ๊ด๋ จ ์ฆ์์ด ๋ง์ด ๋ฐ์ํจ. (ํ๋ํ์ ์ด์)
๊ฒฐ๋ก
- Hyper-intense on the right and rostral cerebellum, and has a wedge-shaped appearance. hypo-intense(T1).
- Rostral displacement of the caudal cerebellum by the occipital bone.
- This feature appers COMS.
๐ Case 2. Congenital hydrocephalus - A
Hydrocephalus (์๋์ฆ)
- CSF ์ํ์ด ์ผ๋ถ ๋งํ์ ๋๋ ์ฒ์์ ์๋ฐ์ ์ค
- ์ฃผ๋ก ์ ์ฒ์ฑ, ์์ธก์ฑ์ผ๋ก ๋ฐ์.
| T1 | T2 |
|---|---|
![]() | ![]() |
- ์์ชฝ ๋ผ๊ฐ ๋น์ด ์์ (๊ตฌ๋ฉ, ์ฒ๊ณต)
- ๋์ฒ์์ก์ด ์ ๋น ์ ธ๋๊ฐ์ง ๋ชปํด ์ธก๋์ค์ด ์์ชฝ ๋ชจ๋ ํ์ฅ๋จ.
- ๋์ฒ์์ก์ด cerebral cortex๋ฅผ ๋๋ฅด๋ฉด์ ์์์ง.
โ ICP ๋์์ด ์์น, seizure ๋ฐ์
โ Severe Symmetrically ventriculomegaly (์ฆ, Hydrocephalus)
DAMNIT-V ์ค A์ ํด๋น. ์์น ์ ๋จ.
โ๏ธ Medical therapy
์ด๊ธฐ ์น๋ฃ (2์ฃผ์ฐจ)
- prednisolone : ์คํ
๋ก์ด๋, ๊ถ์ฅ ์ฉ๋๋ณด๋ค ๋ฎ๊ฒ !! (0.5mg)
- CSF๋ฅผ ์์ฑํ๋ choroid plexus์ CSF ๋ถ๋น๋ฅผ ์ต์
- furosemide : ์ด๋จ์ , ์ฒด๋ด ์๋ถ๋ ๊ฐ์
- omeprazole : ์์ฐ ์ต์ ์ (PPI), ๋์ฒ์์ก ๋ถ๋น๋ฅผ ์ต์ ํ ์ ์์.
- ์ด๋ ๊ฒ 3๊ฐ์ง๊ฐ ๊ฐ์ฅ ์ค์!! ๊ทธ ์ธ์..
- N-acetylcystein : ๊ฐ๋ด ๋ฐฐ์ถ, ์ ์, ํญ์ฐํ ๊ธฐ๋ฅ
- pentoxiphylline : ๋๋งฅ ํ์ฅ
- Vitamin E : ํญ์ฐํ์ . Ischemic necrosis โ ์ง๋ฐฉ ์ฐํ โ ์ผ์ฆ์ด ๋ฐ์ํ๋ ๊ณผ์ ์ ๋ง์.
์น๋ฃ ๊ฒฝ๊ณผ (5์ฃผ์ฐจ)
- Non-ambulatory ataxia : ๋ถ๋ถ ๋ง๋น ์์, ๋ณดํ ๋ถ๊ฐ๋ฅ.
- nystagmus์ right heat turn๋ ๊ฐ์ ๋จ.
- Intention tremor (๊ธฐ๋์ง์ - ์ ๊ฒฝ ์ฆ์์ ์ํ ๋จ๋ฆผ) : ์ฌ์ ํ ์กด์ฌ. vestibular sign์๋ ๋ํ๋ ์ ์์.
- ๊ธฐ๋์ง์ ์ ์ ์ธํ๊ณ ๋ ์ ๊ฒฝ ์ฆ์์ด ๋๋๋ฌ์ง๊ฒ ๊ฐ์ ๋จ.
โ๏ธ Brain infarction์ ์์ธ
-
Hypertension : ๋๊ฒฝ์์ ๊ฐ์ฅ ํํ ์์ธ.
- ๋ง์ฑ ์ ๋ถ์ ์ ์ ๋ฐ ์ ๋
-
Hyperadrenocorticism (์ฟ ์ฑ)
-
Hypercoagulable state
- Protein-losing nephropathy : ๋ชธ์ ๋จ๋ฐฑ์ง์ด ๋น ์ ธ๋๊ฐ๋ฉด ์ฝ๋ ์คํ
๋กค์ด ๋ง์ด ์์ฑ๋๋ฉด์,
- *PLE์์๋ ํ์ ์ด ๋ง์ด ์๊น.
- neoplasia (์ผ์ฆ์ด ์๊ธฐ๋ฉด์
- Protein-losing nephropathy : ๋ชธ์ ๋จ๋ฐฑ์ง์ด ๋น ์ ธ๋๊ฐ๋ฉด ์ฝ๋ ์คํ
๋กค์ด ๋ง์ด ์์ฑ๋๋ฉด์,
-
CKCS : brain infarction ์ ์๊น. ํ๋ฅ ํ๋ฆ์ ๋ฐฉํดํ๋ ์ด๋ค? ์ธ์๊ฐ ์๋ ๊ฒ์ผ๋ก ๋ณด์.
2์ฃผ์ฐจ (3/14) : T & D
๐ Case 3. Head trauma - T
ํ์ ๋ณ๋ ฅ ํ์ธ
Signalment
- 4y, IF, Maltese, 3kg
- Falling from chair
- Stupor(๋ฉํจ), Recumbency + Depression โ ๊ท ํ์ ๋ชป ์ก์
- Anisocoria(์์ชฝ ๋๊ณต ํฌ๊ธฐ ๋ค๋ฆ) โ mydriasis (L>R; ์ฐ๋)
- Head turn to right
- Left horizontal nystagmus (์ผ์ชฝ ๋์์ด ์ํ์ผ๋ก ๋น ๋ฅด๊ฒ ์์ง์)
- Delayed PLR on left eye : ์ถ๋(myosis)์ด ๋์ง ์์
- PLR ๊ฒ์ฌ โ CN2, CN3 ๊ธฐ๋ฅ ํ์ธ ๊ฐ๋ฅ. ์ด ํ์๋ ์ผ์ชฝ ์ถ๋์ด ์ ๋๋ ๊ฑฐ๋ CN3 ์์์ ์์ฌ.
- Midbrain(CN. โ
ข), forebrain(CN. โ
ก), diencephalon, .. ๊ฐ๋/์ค๋/์ฐ์ ๋ฑ ๋์ค๊ธฐ์ ์ ์ฒด์ ์ธ ์์
โ multifocalํ ๋ฌธ์ . ์ํ๊ฐ ๋งค์ฐ ์ข์ง ์์.
ํ ๋ฒ ๋จ์ด์ง ๊ฒ์ผ๋ก๋ ์ด๋ฐ ๋ฌธ์ ๊ฐ ์๊ธฐ์ง ์์. ์ง์์ ์ธ trauma - ํ๋์ ์งํ.
* diencephalon(์ฌ์ด๋) + hemisphere(๋๋๋ฐ๊ตฌ) + = forebrain. Optic nerve๊ฐ ์ฌ๊ธฐ์ ๋์์ ๋ง๋ง์ผ๋ก ์ฐ๊ฒฐ๋จ.
| ๊ด๋ จ ๋์ ๊ฒฝ | |
|---|---|
| CN2. Optic nerve (์๊ฐ์ ๊ฒฝ) : sensory, ๋๋ก ๋น ์ ๋ณด๋ฅผ ์ ๋ฌํจ | ๊ฐ๋ (diencephalon) |
| CN3. Oculomotor nerve (๋๋๋ฆผ์ ๊ฒฝ) : motor (๋ฑ/๋ฐฐ/์์ชฝ๊ณง์๊ทผ, ๋ฐฐ์ชฝ๋น๊ทผ) | ์ค๋ (midbrain) |
| CN4. Trochlear nerve (๋๋ฅด๋์ ๊ฒฝ) : motor, ๋์์ ์์ชฝ์ผ๋ก ๋น๊น (๋ฑ์ชฝ๋น๊ทผ) | ์ค๋ (midbrain) |
| CN6. Abducens nerve (๊ฐ๋๋ฆผ์ ๊ฒฝ) : motor, ๋์์ ๋ฐ์ผ๋ก ๋น๊น (๊ฐ์ชฝ๊ณง์๊ทผ) | ์ฐ์ (medulla oblongata) |
์ถ๋์ด ๋์ง ์๋ ์ด์ ?
- ์ ๊ธฐ ์ ํธ์ ์ ๋ฌํ๋ ๊ฒฝ๋ก : optic nerve(โ ก) - retina(๋ง๋ง) - pretectal area - oculomotor nerve(โ ข)๋ก ์ ๋ฌ๋จ.
- retina์์ ๋น์๋์ง๊ฐ ์ ๊ธฐ์๋์ง๋ก ํ๋ถ๊ทน๋๋ฉด์ ์ ๋ณด ์ ๋ฌ.
- Pretectal area๋ก ์งํ๋๋ฉด์ โ ข. ๋๋๋ฆผ์ ๊ฒฝ์ผ๋ก ์ ๋ฌ๋์ด ์ถ๋.
- โ ก. Optic n. : sensory n.์ ๊ธฐ๋ฅ / โ ข. Oculomotor n. : motor n.์ ๊ธฐ๋ฅ
- ์ถ๋์ด ์ผ์ด๋์ง ์์๋ค = 1) ๋ง๋ง: retina detachment๋ hemolysis, 2) ์๊ฐ์ ๊ฒฝ(โ ก): optic neuritis(์์ ๊ฒฝ์ผ) 3) Pretectal area์ ๋ฌธ์ : (์ผ์ฆ, ์ข ์, ์๋์ฆ ๋ฑ) 4) ๋๋๋ฆผ์ ๊ฒฝ(โ ข): oculomotor n. ์ ๋ฌธ์
- Midbrain์ ๋ฌธ์ ๊ฐ ์๊ธฐ๋ฉด ์ถ๋์ด ์ผ์ด๋์ง ์๋๋ค.
์๊ณผ - PLR ๊ฒ์ฌ
PLR ๊ฒ์ฌ (Pupillary light reflexes) โญ
์๊ตฌ์ ๋น์ ๋น์ถ๋ฉด ์ ์์ ์ผ๋ก ์ถ๋์ด ์ผ์ด๋๋์ง ๊ด์ฐฐ.
visual cortex๊ฐ ๊ด์ฌํ์ง ์๊ณ , central pathway์ ์ํด ๋ํ๋จ.
CN2, CN3 ๊ธฐ๋ฅ ํ์ธ.
์๋ค๊ฐ๋ค ํ๋ฉด์ ํ์ธํ๋ Consensual ๋ฐฉ๋ฒ์ด ์๊ณ , ์๊ทน๋ฐ์ง ์์ ๋ฐ๋์ชฝ ๋์ ๊ฒ์ฌํ๋ Indirect ๋ฐฉ๋ฒ์ด ์์.
๋์ muscle์ ์ง๋ฐฐํ๋ ์ ๊ฒฝ
- ๋์ ์์ง์ด๋ 4๊ฐ์ Rectus muscle๊ณผ, 2๊ฐ์ Oblique muscle์ด ์์.
- Lateral rectus muscle : CN โ ฅ. Abducens n.
- Dorsal oblique muscle : CN โ ฃ. Trochlear n.
- ๋๋จธ์ง 4 ๊ทผ์ก์ CN โ ข. Oculomotor n.
- Ventral oblique, Dorsal rectus, Ventral rectus, Medial rectus
์๊ฐ ๊ด๋ จ ์ ๊ฒฝ
- CN โ ก. Optic nerve (์๊ฐ์ ๊ฒฝ) : ๋๋ก ๋น ์ ๋ณด๋ฅผ ์ ๋ฌ.
- CN โ ข. Oculomotor nerve (๋๋๋ฆผ์ ๊ฒฝ) : ์๋๊บผํ์ฌ๋ฆผ๊ทผ, ๋ฑ/๋ฐฐ/์์ชฝ๊ณง์๊ทผ, ๋ฐฐ์ชฝ๋น๊ทผ
- CN โ ฃ. Trochlear nerve (๋๋ฅด๋์ ๊ฒฝ) : ๋ฑ์ชฝ๋น๊ทผ(dorsal oblique muscle)
- CN โ ฅ. Abducens nerve (๊ฐ๋๋ฆผ์ ๊ฒฝ) : ์๋๋ท๋น๊น๊ทผ, ๊ฐ์ชฝ๊ณง์๊ทผ(lateral rectus muscle)
- โถ๏ธ Miro_๋์ ๊ฒฝ ํ.jpg
PLR test Normal ํ์ชฝ ๋์ ๋น์ถฐ๋ ๋ค๋ฅธ์ชฝ ๋๊ณต ์ถ๋ Efferent defect (์๊ทน O ๋ฐ์ X) - ์ผ์ชฝ CN โ ก. ์ ์
โ ์ ์์ ์ผ๋ก ์ ๋ณด๋ ๋ค์ด๊ฐ๋ฏ๋ก, ์ผ์ชฝ ๋์ ์๊ทน์ ์ฃผ๋ฉด ์ค๋ฅธ์ชฝ ์ถ๋ ๋ฐ์ํจ.
- ์ผ์ชฝ CN โ ข. ์์
โ ์ผ์ชฝ์ด๋ ์ค๋ฅธ์ชฝ ๋์ ์๊ทน์ด ๋ค์ด์๋ ์ผ์ชฝ ๋์ ๋ฐ์ํ์ง ์์.Afferent defect (์๊ทน X ๋ฐ์ O) - ์ผ์ชฝ CN โ ก. ์์
โ ์ผ์ชฝ ๋์ ๋น์ถ์์ ๋ ์์ชฝ ๋์ ์ถ๋์ด ์ผ์ด๋์ง ์์
- ์ผ์ชฝ CN โ ข. ์ ์
โ ์ค๋ฅธ์ชฝ ๋น์ถ์์ ๋ ๋ ๋ค ์ถ๋ ๋ฐ์ํจ.Link to original
์์ ๋ถ์ ๊ฒฐ๊ณผ Retina/CN โ ก. Optic n. ์์
(optic chiasm ์์ชฝ)- ์ค๋ฅธ์ชฝ CN. โ ข ์ ์
โ ์ผ์ชฝ์ ์๊ทน ์์ ๋, ์ค๋ฅธ์ชฝ ๋์ ์ถ๋๋จ.
- ์ค๋ฅธ์ชฝ CN. โ ก ์์
โ ์ค๋ฅธ์ชฝ์ ์๊ทน ์คฌ์ ๋, ๋ฐ์๋ค์ด์ง ๋ชปํด ์์ชฝ ๋ค ์ถ๋ ์์.Optic chiasm ์์ - ๊ธฐ๋ณธ์ ์ผ๋ก ์ฐ๋ ์ํ. (์ถ๋์ด ์ ๋จ)
- ์์ชฝ ๋ ๋ชจ๋ ๋น์ ๋น์ถฐ๋ ์ถ๋ ์์.
- ์ด๋ค ์๊ทน์ ๋ํ ๋ฐ์๋ ์๊ณ (dazzle reflex ํฌํจ), ์ค์ ๋ก ๋ณด์ง๋ ๋ชปํจ.Optic chiasm ๋ค์ชฝ
optic track์ ์ด์- ์ด๋ก์ Optic track ์์ โ ์ผ์ชฝ medial, ์ค๋ฅธ์ชฝ lateral ์์ (์ค๋ฅธ์ชฝ)
โ ์ค๋ฅธ์ชฝ medial, ์ผ์ชฝ lateral ๋ก ๋ค์ด์จ ๋น์๋ ์ ์์ ์ผ๋ก ์ถ๋ ๋ฐ์.
โ ์ค๋ฅธ์ชฝ lateral, ์ผ์ชฝ medial๋ก ๋ค์ด์จ ๋น์๋ ๋ฐ์ํ์ง ์์.CN โ ข. Oculomotor n. ์์ - ์ค๋ฅธ์ชฝ CN. โ ข ์์
โ ๊ธฐ๋ณธ์ ์ผ๋ก ์ค๋ฅธ์ชฝ ๋์ ์ฐ๋, ventrolateral strabismus๋ฅผ ๋ณด์.
(obliqueํ๊ฒ lateral ์ชฝ์ผ๋ก ์น์ฐ์นจ)
โ ์ค๋ฅธ์ชฝ ๋์ ์ถ๋์ด ๋ฐ์ํ์ง ์์
- ์ค๋ฅธ์ชฝ CN. โ ก ์ ์
โ ์ค๋ฅธ์ชฝ ๋์ ๋น์ถ์์ ๋ ์ผ์ชฝ ์ถ๋ ๋ฐ์
์ง๋จ์ ๊ฒ์ฌ
CBC ๊ฒ์ฌ
- RBC, PCV ์์น ์ฆ๊ฐ โ ํ์ ์ฆ์.
Serum chemistry
- ALT, AST ์ฆ๊ฐ : ๊ฐ ์์น ์์น
- LDH(๋นํน์ด์ ์ธ ์กฐ์ง ์์ ์งํ), CK(๊ทผ์ก ์์ ์ ์ฆ๊ฐ) ๋์์ ์ฆ๊ฐ : neuromuscular disease ์์ฌ
- ๋น์ ์์ ์ผ๋ก ๋์ glucose ์์น : ์์ง ์ด๋ฆฌ๋ ๋น๋จ๋ณ๋ณด๋ค๋ ๋ค๋ฅธ ์์ธ์ผ ์ ์์ - ๊ฒ์ฌ ์ง์ ์ ์์์ ๋จน์๋ค๋ ๊ฐ..
Radiographic findsings
๋ชธ ์ด๋๊ฐ์ fracture, blunt trauma๋ ์์ ์ ์์ผ๋ ๋ฐฉ์ฌ์ ๊ฒ์ฌ๋ ํ์.
- Megaesophagus ๊ด์ฐฐ๋จ.
- ์ธ์์ผ๋ก ์ธํด ๊ฒฝ์ถ๊ฐ ๋ฒ์ด์ง ์ ์์. C1๊ณผ C2 ์ฌ์ด๊ฐ 3mm ์ด์ ๋จ์ด์ ธ ์์ผ๋ฉด AAI (Atlantoaxial instability) โ ์ด ํ์๋ ์ด์ ์์.
- ๊ทธ ์ธ ์ฌ์ฅ, ๊ธฐ๊ด, ์ฒ์ถ, ๋์คํฌ ๋ฑ์๋ ๋ณ ์ด์ ์์.
- ํ์, ๊ฐ ์์น ์์น, ๊ทผ์ก ์์, megaesophagus
- Megaesophagus์ ์์ธ!
- MG (Myasthenia gravis) ๊ฐ์ฅ ์์ฌ. (์์ธํธ์ฝ๋ฆฐ์ด ๋ถ์กฑํ๊ฑฐ๋, ๋ถ์ง ๋ชปํ๋ ์ํ)
- ํญ์์ - vincristine์ ์ํ ๋ถ์์ฉ
- ์๋๋ฅผ ์์ถํ๋ vagus nerve(โ ฉ)์ ์์
- polyneuropathy
- distemper ๊ฐ์ผ
- Tachycardia - bradycardia (๋ถ์ ๋งฅ)
- ์์์ฆ์ โ ๋จน๊ณ ๋ฐ๋ก ํ ํจ. Regurtitation (vs. Vomiting = ์ํ๋ ์์ฑ๋ถ์ ๊ฒ์๋)
- ์ธ์์ผ๋ก ์ธํ ๋์์์ ๋ณด์ด๋ ๋ณ๋ ฅ์ ๊ณ ๋ คํ์ ๋, ๊ฑฐ๋์๋์ฆ์ ์์ธ์ ๋ฏธ์ฃผ์ ๊ฒฝ์ ์์์ผ ๊ฐ๋ฅ์ฑ์ด ๊ฐ์ฅ ๋์.
์์ฝ
- ํ์ ์ํ : vestibular sing + ๋์ค๊ธฐ์ ์ ์ฒด์ ์ธ ์์ + Vagus n. ์์
- ์ฐ์ ๋ถ๋ถ์ ์ ๋ณด๋ ค๋ฉด MRI ์ดฌ์์ด ์ ์ฉํ๋, vagus n.์ ์์์ผ๋ก ํธํก์/์ฌ๋ฐ์๊ฐ ๋ถ์์ ํ ๊ฒ์ ๊ณ ๋ คํ๋ฉด ๋ฌด๋ฆฌํ ๋ง์ทจ๋ ์ฌ๋ง ๊ฐ๋ฅ์ฑ์ ๋์.
- History, ํ์ก ๊ฒ์ฌ, ๋ฐฉ์ฌ์ ์๊ฒฌ ๋ฑ์ ์ข ํฉํ์ฌ ์ง๋จ.
์น๋ฃ ๊ณํ
Trauma ์ํ๊ฐ ๊ฐ์ฅ ์๊ธํจ.
- ์ฐ์ ๊ณต๊ธ (์ฐ์ ํฌํ๋ ์ฆ๊ฐ)
- ์ด๋จ์ (furosemide, 1mg/kg, SC) : ๋์ ๊ฐ์
- ์คํ ๋ก์ด๋(PDS, 1mg/kg BID, PO) : ์ผ์ฆ ์ํ
- Mannitol (1g/kg, IV for 30m) : ๋์์ ๋จ์ด๋จ๋ฆผ, 30๋ถ ๋์ ์ฒ์ฒํ ํฌ์ฌ
- PLR ๊ฒ์ฌ ๊ณ์ ํด์ ์ฐ๋ ํ์ธ โ ๋ ๊ธฐ๋ฅ์ด ์ ์์ผ๋ก ๋์์ค๋์ง ํ์ธ
- NS ๊ณ์ ํฌ์ฌ : ํ์ ์น๋ฃ
- Cushing reflex ๊ฒ์ฌ ๊ณ์ (PLR test๋ฅผ ํตํด ๊ฐ์ ์ ์ผ๋ก ํ์ธ)
- ๋์์ด ๋์์ง๋ฉด midbrain์ ์๋ฐํด์ PLR response๊ฐ ์์ด์ง๋ค. (์ค๋ - โ ข์ด ์๋ฐ ๋ฐ์ ์กฐ๋ฆฌ๊ฐ X)
- ํ๋, trauma โ PLR ๊ฒ์ฌ์์ ์ฐ๋/์ถ๋ ์์ผ๋ฉด ๋์ ๊ฒฝ ์ด์์ผ ๊ฐ๋ฅ์ฑ โ โ cushing reflex ํ์ธ.
- ์ด์ ๋ง์ถฐ ์ฐ์ ํฌํ๋ ์ฆ๊ฐ, CO2 ๊ฐ์,, heart rate ์กฐ์ , ROS ๊ฐ์ ๋ฑ์ ์น๋ฃ ๋ฐฉํฅ ์ค์
Cushing reflex
- bradycardia, decreased cerebral blood flow, increased ICP
- ๋์ ischemia(์ฐ์ ํฌํ๋ ์ ํ)๊ฐ ์ผ์ด๋๋ฉด ๋ชจ๋ Cushing reflex ๊ฐ๋ฅ.
- ๊ทธ ์์ธ์ผ๋ก๋ ์์ ์ฆ, ์ข ์, ICP ์ฆ๊ฐ ๋ฑ ๋ค์ํจ.
- Mannitol ๋ฐ๋ก ์ฒ๋ฐฉ ํ์ (Osmotic diuretic)
โ๏ธ Types of Tremor
๊ท ํ ๊ฐ๊ฐ๊ณผ ๊ด๋ จ, ๋๋ถ๋ถ ์๋์ ์ด์.
- Resting tremor : ๊ทธ๋ฅ ๊ฐ๋งํ ์์ด๋ ๋ชธ์ ๋ ๋๊ฒ
- Intention tremor : ์ํ๋ ๋์ ์์์ ๋ชธ์ ๋ ๋ ๊ฒ
- Task-specific tremor : ํน์ ํ๋ํ ๋ ๋ชธ์ ๋ ๋ ๊ฒ
- Action or kinetic tremor : ์์์ ์ด๋ ์ค์ ๋จ๋ฆฌ๋ ๊ฒ
- Postural tremor : ํน์ ์์ธ์์ ํ์ชฝ์ด ๋จ๋ฆฌ๋ ๊ฒ
CDS
CDS (Cognitive Dysfunction syndrom, ์ธ์ง๊ธฐ๋ฅ์ฅ์ ์ฆํ๊ตฐ)
- ์ ๊ฒฝํดํ์ฑ ์งํ(neurodegenerative disorder). DJD (degenerative joint disease) ๋ฑ์ด ํด๋นํจ.
- Brain pathology, ์ธ์ง ๊ธฐ๋ฅ ๊ฐ์
- 7์ด ์ด์(์ธ๊ฐ 40์ธ)์์ ์ธ์ง ๊ธฐ๋ฅ ์ ํ. 11์ธ ์ด์์์ ํ์ ํ๊ฒ ๋ฐ์.
- 8์ด ์ด์์ ๊ฐ์ 14%์์ CDS ๋ฐ๋ณ
- CDS์ ๊ธฐ์
- ๋๋ ํน์ฑ์ ์ฐํ์ ์์์ ์ทจ์ฝ.
- oxidative metabolism์ด ๋ง์ด ์๋ ๊ณณ, ์ฐํ์ ์์ํ(ROS)๊ฐ ๋ง์ด ๋ฐ์ ๊ฐ๋ฅ.
- lipid๊ฐ ๋ง์.
- ๋ค์น๋ฉด regeneration์ด ์๋จ.
- ์์ธ โ Brainstem๊ณผ๋ ๋ฌด๊ด, forebrain(์ฃผ๋ก ๋๋)์ ๋ฌธ์ - Forebrain์ aging process์ ๋ฐ๋ผ ๋ฐ์
- limbus, hippocampus์์ ํนํ ๋ง์ด ์๊น โ Oxidative damage, Amyloid ์ถ์ , ์ ์ ์ ์์ธ์ ์ํด.
- ๊ฒฐ๊ณผ โ ํ์ต๊ณผ ๊ธฐ์ต ๋ฅ๋ ฅ ์ ํ, abnormal behaviors โ cognitive dysfunction
DISHA (CDS ํ๊ฐํ๋ 5๊ฐ์ง ์ฆ์)
- Disorientation (๋ฐฉํฅ ๊ฐ๊ฐ ์์ค)
- Altered Interactions with people or other pets (์์ ํ ์ ๊ฐ ๊ฐ์๊ธฐ ๊ณต๊ฒฉ์ ์ผ๋ก)
- Altered sleep-wake cycles: reversed day/night schedule (๋ฎ๊ณผ ๋ฐค ๋ฐ๋)
- House soiling (ํ๋ ์ด์ - ๋ฐฐ๋จ, ๋ฐฐ๋ณ ์๋ฌด ๋ฐ๋)
- Activity changes: increased anxiety(๋ถ์ํจ), pacing, repetitive behaviors (vocalizing, pacing) (๋ฐ๋ณต์ ์ธ ์๋ฆฌ)
๐ Case 4. CDS (Intracranial meningionas) - D
S
-
19y ์๋์ฐ์ , ํํ์ง ์ค๋ฆผ
-
๋ํ์ ์ธ ๊ฐ์์ง ์น๋งค ์ฌ๋ก
-
ํญ์์ (lomustin) ํฌ์ฌํ ์ต์ด ์ฌ๋ก
-
๋์ข ์ ์ ๋ (
N- Neoplasia) ํ์ธ๋จ. + CDS ์์ฌ (D) -
Clinical signs : Circling โ vestibular sign (์๊ฒ ๋๋ฉด ์ ์ ์ฆ์, ํฌ๊ฒ ๋๋ฉด ๋๋ ๋ฌธ์ )
O
| MRI | |
|---|---|
![]() T1 (fluid๊ฐ ๊ฒ๊ฒ) | T2 (fluid๊ฐ ํ์๊ฒ) | - ๋๋ ๊ณ ๋(sulcus)์ด ๋งค์ฐ ์ ๊ด์ฐฐ๋จ : ๋๋ ์์ถ - Lateral ventricle์ด ์ ์๋ณด๋ค ํจ์จ๋ ํ์ฅ๋จ. - ๊ฐ๋๋ฆฌ๋์ ํฌ์ฌํ๋, tumor ๋ถ๋ถ์ด ํ์๊ฒ ์กฐ์๋จ. - Dural tail signs : tumor๊ฐ meninges(๋์๋ง) ๋ถ๋ถ์ ๊ผฌ๋ฆฌ์ฒ๋ผ ์ฐ๊ฒฐ๋์ด ์์. (๋์๋ง์ dura mater์ ์ฐ๊ฒฐ๋์ด ์๋ ๊ฒ) โ Dural tail sign์ด ๊ด์ฐฐ๋๋ฉด ๋ฐ๋ก meningioma๋ก ํ์ ๊ฐ๋ฅ. โ Intracranial meningioma |
![]() T1-enhanced | - Diencephalon ๋ถ๋ถ์ ํผ์งํ ์ข
์ - ์ ๋ฐ์ ์ผ๋ก ๋์ ์์ถ ์๊ฒฌ - ์๋์ cyst๋ก ์ถ์ ๋๋ ๋ถ์๋ ์์ - CDS๋ ๋๋ฐ๋จ, but ๋น์์๋ ๋จ์ meningioma๋ก ์ง๋จํจ. * Tumor์ ์ํด ๋์ ์ฆ๊ฐํ๋ฉด โ Cushing reflex๋ฅผ ๋ณด์ผ ๊ฐ๋ฅ์ฑ ๋์. |
A & P
- Intracranial meningioma
- lomustin (BBB๋ฅผ ํต๊ณผํ๋ ํญ์์ ) ์ฒ๋ฐฉ โ ์ฆ์ ์ํ, 1๋ ์ด์ ์์กด.
๐ Case 5. CDS (hypothalamus tumor) - D
๊ฐ์์ง ์น๋งค ํ์
Increased sleeping
vocalization
inappropriate urination and excretion
hiding, head pressing & pacing, painful
โ Dementia(์น๋งค) : Cognitive dysfunction syndrme (CDS)
์ง๋จ ๊ฒ์ฌ
| MRI (transverse) |
|---|
![]() |
| - ๊ฐ์ชฝ๋์ค์ด ์ ์๋ณด๋ค ํ์ฅ๋์ด ์์. - Tumor ์กด์ฌ : T2 image์์ ์ข ์ ์ถ์ โ FLAIR๋ก ํ์คํ ํ์ธ - ๋์ diencepalon ์์ญ์ ํฐ tumor ์กด์ฌ (๊ฐ๋์์๋ hypothalamus๋ pituitary gland์ ์ข ์ ์์ ๊ฐ๋ฅ์ฑ ๋์ : ํธ๋ฅด๋ชฌ ์งํ(Cushingโs dz) ๊ฐ๋ฅ์ฑ ๋์ โ ๋ด๋ถ๋น ์ฆ์ ๋ณด์ผ ๊ฒ) - Hydrocephalus๋ ์ฌํ์ง ์์ ์์ค์ผ๋ก ์์ - Dural tail sign์ ๋ณด์ด์ง ์์ : Meningioma < hypothalamus tumor |
๊ฒฐ๊ณผ
Thalamus, hypothalamus์ mass (1.5 X 1.6cm) Hydrocephalus (23%, moderate)
โ Neurological signs)
-
Circling (Ipsilateral) : ๋ ๋ณ๋ณ ์๋ ์ชฝ ๋ฐฉํฅ์ผ๋ก ๊ณ์ ๋๋ ํ๋
-
Endocrine dysfunction (๋ด๋ถ๋น ์ฅ์ ) : ๋ด๋ถ๋น ๊ต๋, TRH ๋ฑ releasing ํธ๋ฅด๋ชฌ ๋ง์ด ๋์ด.
-
Nonspecific pain (=thalamic syndrome) : ๋นํน์ด์ ์ธ vocalizing, ์ํ ๊ฒ ๊ฐ์ ์ด์ํ ์๋ฆฌ
-
Abnormal behavior, eating pattern
-
Attention deficit : ADHD ๊ฐ์ ์ฆ์
-
๋ณดํธ์์๊ฒ ์ง๋ฌธ์ง : Cognitive Disorder Scoring โ ์ด ํ์๋ 33์ , ํ์คํ degenerative depression ์์
์น๋ฃ
| ์ฝ๋ฌผ | |
|---|---|
| Selegiline (0.5mg/kg SID) | MAO inhibitor - ์ ๊ฒฝ์ ๋ฌ๋ฌผ์ง โ โ ์ธ์ง๊ธฐ๋ฅ ๊ฐ์ , ๊ฐ์ฑ |
| Antioxidants(ํญ์ฐํ์ ) | N-acetylcystein, vit C, vit E, vit B (thiamine, riboflavin, niacin, niacinamide) โ ์ ๊ฒฝ๋ณดํธ |
| Mitochondrial cofactor | L-carnithine โ synergic effect |
| Cerebral perfusion Agent (ํ๊ด ํ์ฅ์ ) | Nicergoline(0.5mg/kg SID), Pentoxyfylline(5-10mg/kg BID) โ ๋ํ์ ์ฆ๊ฐ, ํ๋ฅ๋ ๋ง์์ ธ์ ์ธ์ง๊ธฐ๋ฅ ์ฆ๊ฐ |
- Associated Neurogenerative changes
- Reduction in brain mass
- Increased ventricular size
- Meningeal calcification
- Demyelination : ํ์์ดํ. ๋ด๋ฐ์ ์์ด(myelin)๊ฐ ๋จ์ด์ ธ ๋๊ฐ
- Neuroaxonal degeneration
- Reduction in neurons
- Increased accumulation of diffuse beta amyloid plaques with perivascular infiltrates
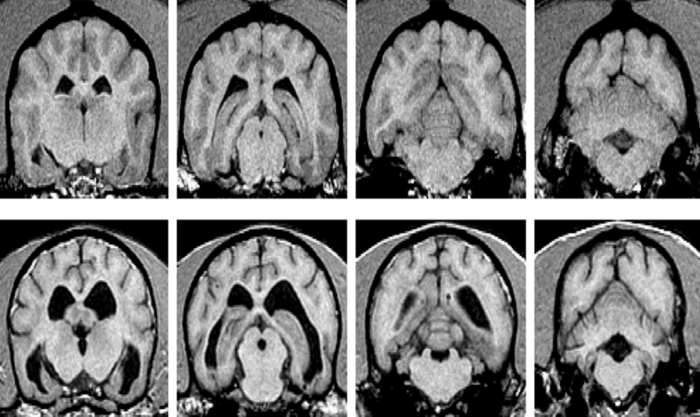
์ ์ ๊ฐ์ ๋ vs. ๋์ด๋ ๊ฐ์ ๋
15์ด ๋(์๋) : sulcus, gyrus๊ฐ ๋ ํ์ฅ. lateral ventricle์ด ํฌ๊ณ , cortex atrophy๊ฐ ํจ์ฌ ์ฌํจ.
Cerebral amyloid angiopathy (CAA)
- ํ๊ด ์ฃผ๋ณ์ ฮฒ-amyloid ์นจ์ฐฉ โ ํ๊ด์ฑ ์น๋งค โ
Treatment of CDS
| Drugs | |
|---|---|
| 1) L-Selegiline | - MAO-B inhibitor - cortex์ hippocampus์์ ์นดํ ์ฝ์๋ฏผ์ ํญ์ง (์ธ๋กํ ๋, ๋ํ๋ฏผ ๋ฑ ์ฆ๊ฐ) - Free radical์ ๊ฐ์ โ ๋์ ์์์ ์ค์ฌ์ค. |
| 2) ํ๋ฅ๋ โ ์ฝ๋ฌผ (Enhancing cerebral perfusion) | |
| - Adrafanil, modafinil | ๊ฐ์ฑํจ๊ณผ |
| - Nicergoline | ํ๊ด ํ์ฅ, ๋ ํ๋ฅ๋ ์ฆ๊ฐ |
| - Propentofylline | ํ๊ด ํ์ฅ |
| 3) Memantine | - NMDA receptor antagonist - ํฅ๋ถ์ฑ์ ๋์ด๋ glutamate๋ฅผ ๋ฎ์ถฐ ์ค. |
- Nutrition : ๋ณด์กฐ์ ์ผ๋ก ํ๋ณต์ ์ฃผ๋ ์ฑ๋ถ๋ค, ๊ฐ์ ์ ์ธ ํจ๊ณผ, ๊ฑด๊ฐ๊ธฐ๋ฅ ์ํ์์ ํํ ์ฑ๋ถ๋ค.
- Antioxidants | VitaminE and C, B-vitamins (thiamine, riboflavin, niacin, B6, B12), ฮฒ-carotene, selenium, DL-ฮฑ-lipoicacid, flavonoids, carotenoids, N-acetyl cysteine (NAC), Coenzyme Q10
- Mitochondrial cofactors : L-carnitine,DL-ฮฑ-lipoicacid
- Phospholipid : phosphatidylserine
- Fatty acids : Omega-3FAs; docosahexaenoicacid (DHA),eicosapentaen oicacid (EPA)
- Ginkgobiloba, SAMe, apoaequorin
- Diet therapy | MCT oil ์ธ์ง๊ธฐ๋ฅ์ ์ข๋ค (๋์ด๋ ๋ด๋ฐ์ด ํ์ฉํ ์ ์๋ ์ง๋ฐฉ)
- MCT oil : ์๋ฌผ์์ ๋์ค๋ ํน์ ํ ์ค์ผ, ๋ํ์ ์ผ๋ก ์ฝ์ฝ๋ ์ค์ผ
- Supplement therapy | ๊ทธ๋ฅ ๊ฑด๊ฐ๊ธฐ๋ฅ ์ํ๋ค~
- Environmental | EE ํ๋ก๊ทธ๋จ (์ด๋, ์๋ก์ด ์ฅ๋๊ฐ)
- ์ ์ด๋ 2๋ ์ด์ ์ด์ฌํ ํด์ผ ํธ์ ํจ๊ณผ. ํ๋๊ต์ ์ ํตํ ์น๋ฃ๋ ์ฝ์ง ์์.











-โญ/../../../../Settings/Attached-files/Pasted-image-20241022121637.png)
-โญ/../../../../Settings/Attached-files/Pasted-image-20241022123546.png)
-โญ/../../../../Settings/Attached-files/Pasted-image-20241022123630.png)
-โญ/../../../../Settings/Attached-files/Pasted-image-20241022125828.png)
-โญ/../../../../Settings/Attached-files/Pasted-image-20241022125931.png)
-โญ/../../../../Settings/Attached-files/Pasted-image-20241022130007.png)
-โญ/../../../../Settings/Attached-files/Pasted-image-20241022130034.png)
-โญ/../../../../Settings/Attached-files/Pasted-image-20241022130052.png)
-โญ/../../../../Settings/Attached-files/Pasted-image-20241022130110.png)
-โญ/../../../../Settings/Attached-files/Pasted-image-20241022130236.png)
-โญ/../../../../Settings/Attached-files/Pasted-image-20241022130301.png)










