Introduction
- 어린 강아지에서 나타나는 질병.
- 장골(long bone) 바깥층에 염증이 생겨 파행과 불편을 유발. 어린 대형견에서 ‘성장통(growing pains)‘으로 불림.
- 파행(lameness), 뼈 통증(bone pain), 골내(endosteal) 및 골막하(subperiosteal)에 비정상적인 뼈 조직의 증식을 유발.
- 골막하에 뼈 조직 증식, 골막이 두꺼워짐, 골수관(medullary canal)이 뿌옇게 관찰됨.
해부1 복습 - 뼈의 막 구조
뼈의 막 구조
Link to original
- Periosteum (뼈막)
- Cortex (겉질)
- Endosteum (뼈속막) : 그 안에 골수
- Medulla (속질)
- Bone marrow (골수)
- Red bone marrow (적색골수)
- Yellow bone marrow (황색골수)
특징 및 증상
- 2세 미만의 어린 수컷 대형견에서 주로 발생.
- Deep palpation^[일반적인 촉진보다 더 강하게 압박을 주는 촉진] 시 통증을 보임.
- 반복적인 파행부위의 변화 (shifting leg lameness)
- 보호자 문진 시, 이전에 다른 부위에서 파행을 보였는지 물어봐야 함.
- 처음에는 한쪽 부위에서 급격한 lameness가 발생하는 것으로 보이나, 문진해보면 증상이 만성적, 간헐적(intermittent)으로 나타났으며 파행부위 변화가 있었던 것을 알 수 있음.
- 장골(long bone)의 골간을 따라 흔하게 발생함. (상완뼈, 넙다리뼈, 노뼈 및 자뼈 근위부)
- long bone pain : 장골의 골간(diaphysis), 골간단(metaphysis)에서 통증이 발생할 수 있음.
- 일부 개에서는 무기력(lethargy), 발열(fever), 거식증(anorexia) 같은 전신질환 동반
해부1 복습 - 장골(긴뼈)의 구조
- Diaphysis (골간, 뼈몸통) : 긴뼈의 가운데 긴 부분
- Metaphysis (골간단, 뼈몸통끝) : 긴뼈의 양 끝 부분
긴뼈의 구조
Link to original
Epiphysis (뼈끝)
Metaphysis (뼈몸통끝, 골간단)
Epiphysial plate (뼈끝판) : 성장판(growth plate)
- 성장하면서 점점 길이가 줄어듦
Diaphysis (뼈몸통, 골간) =shaft
뼈끝판(epiphysial plate)의 두께가 두꺼우면 미성숙뼈(immature bone), 얇으면 성숙뼈(mature bone)임.
이 뼈끝판(성장판)은 무기질이 적어, 방사선 사진을 찍으면 X선이 투과하여 빈 공간으로 보임.
원인 및 진행
- 원인이 명확하지 않음 (특발성)
- 잠재적 원인으로 다량의 단백질, 칼로리 식단으로 인한 골막구획증후군
- 과도한 단백질이나 염증이 골내 부종 유발
- → 속질의 압력 증가, 허혈 유발
- → 괴사성 염증 발생, 뼈가 녹고 새로운 뼈 조직이 비정상적으로 형성
- 진행 과정
- 골수에 trabecular bone이 침투하여 뼈 내부에 신생 뼈 조직이 형성됨
- 이후 골막 외부에 신생 뼈가 생겨남
- 골수에 다양한 섬유조직이 발견됨
- ※ 만성염증, 감염, 악성 종양은 발견되지 않음. 이게 발견되면 다른 질환.
영상의학적 진단
- 초기에는 방사선상으로 관찰 어려움.
- 방사선상으로 확인되기 약 10일 전부터 임상 증상 나타날 수 있음. (따라서 증상으로 확인된 후 7-10일 텀을 두고 영상 재활영 필요할 수 있음)
Early stage
- 잘 보이지 않음.
- 영양공 (nutrient foramen) 부근이 손상 (뼈 소실) → 어둡게 관찰됨 (방사선 투과성 증가)
- 시간이 지나면 겉질과 속질의 대비 감소
- 원래 겉질(투과성 ↓)은 흰색, 속질(투과성 ↑)은 어둡게 보임
- 신생 뼈 조직에 의해 속질의 투과성이 낮아지며 비교적 뿌옇게 보임
- 임상증상 발현 10-14일 후에 관찰되며, 골수관 내부에 국소적으로 관찰됨.
Middle stage
- 명확한 관찰 가능한 단계. 최대 4-6주 유지.
- 골밀도 증가 영역이 다양한 크기와 범위로 산재하여, 얼룩덜룩한 곰팡이 형태로 뿌옇게 관찰됨. 주로 영양공 부근!
Late stage
- 주로 회복하는 모습. 비정상 영역 수 감소.
- 정상적인 골수 외관으로 돌아옴.
- 골수관 밀도 증가, 국소 분포 형태, trabecular bone의 형태 감소 및 거칠어짐, 골내막 거칠어짐, 겉질 두꺼워짐
의학적 관리법
- 자가회복질환(self-limiting), 수술적 치료 X
- 치료 = 통증 조절, 급성 파행 시 비스테로이드성 항염증제(NSAIDs) 처방
- 파행 증상 시 활동 제한 권고
- 재발 가능성 있으나, 예후는 긍정적 (성견 되면 나음)
- 일부의 경우 사지에 지속적으로 영향, 통증과 파행 발생
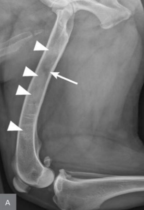
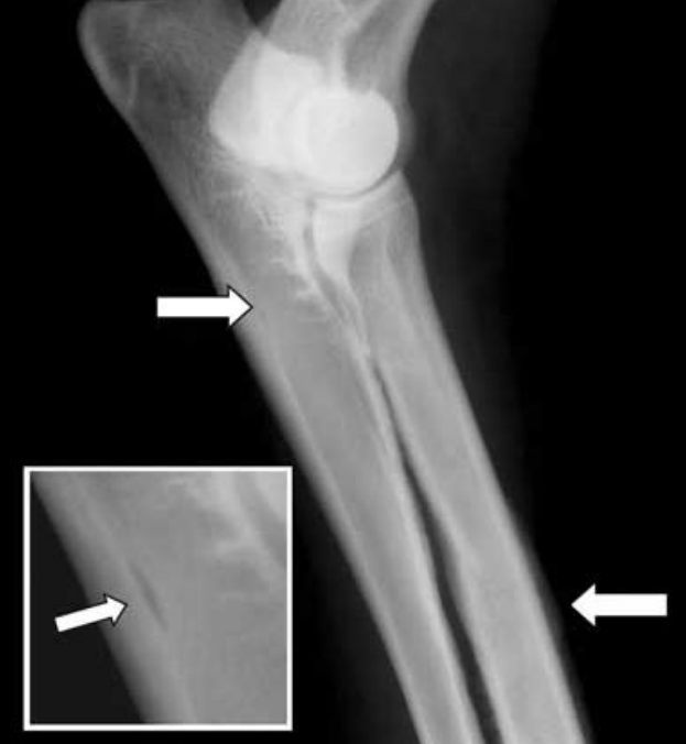
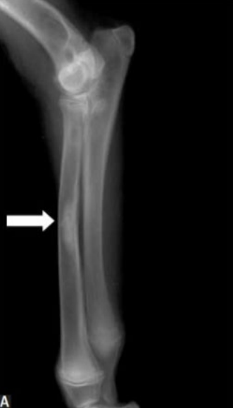
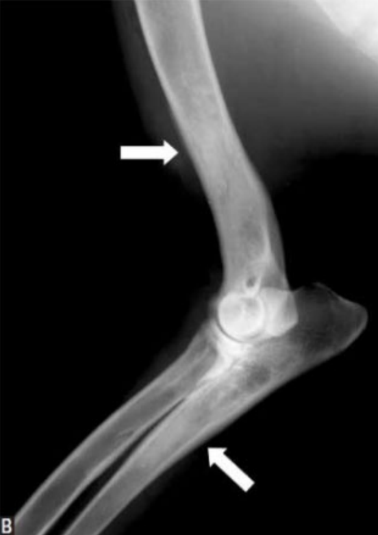
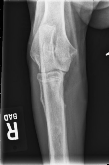
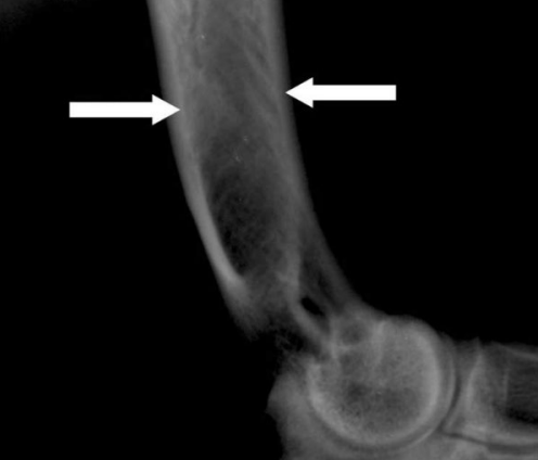
사진 모음

- arrow : 두꺼워진 골막
- arrowhead : 뿌옇게 보이는 골수관

- Early stage
- 영양공 손상되어 어둡게 관찰 (각도에 따라 보이지 않을 수 있음)
- right arrow : 골막하 증식 (신생뼈 → 비교적 뿌얘보임)

- 범골염 증상 (비교적 명확)

- 범골염 증상

- 범골염, 앞다리 전체 범위

- 골수관의 불규칙 패턴
- 노뼈와 자뼈가 겹쳐보여 구별 어려움 (시험용X)

- 범골염

- trabecular pattern
- 겉질과 골수관의 대비가 감소. 구별이 잘 되지 않아 경계가 흐릿


