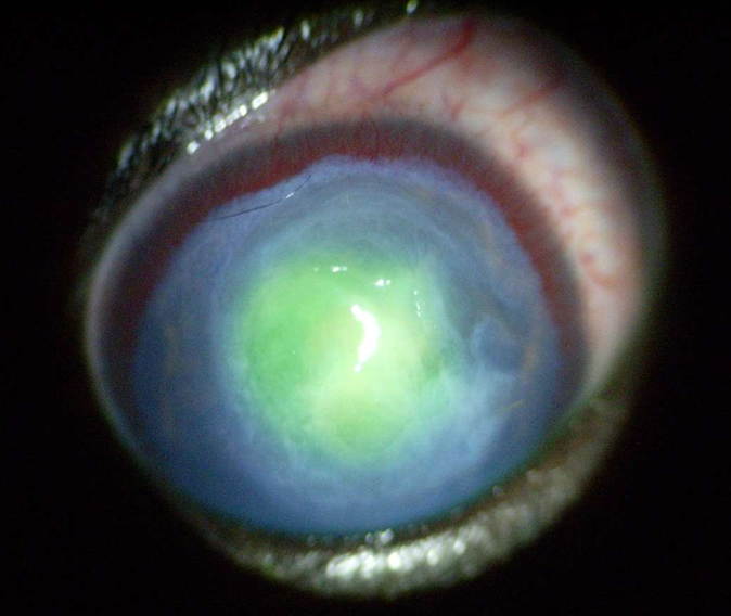
Deep corneal ulcer
- sedation (์ง์ ์ )
- Chemosis (๊ฒฐ๋ง๋ถ์ข ) :
- ํญ์์ ๊ฐ์์ฑ ํ ์คํธ๋ฅผ ๊ผญ ํด๋ผ.
- Pseudomonas - tobramycin (๊ณต์)


- ๋งจ ์์ชฝ ๊ฒ์ ๋ถ๋ถ : โฆ descemetocele
์น๋ฃ
-
G+ : fusidic acid, chlorampenicol
-
G- : gentamicin tobramycine
-
first-line์ผ๋ก ์ ํํ์ง X
- ciprofloxacin : ๊ฐ๋ง์ ์นจ์ฐฉ..?
- enrofloxacin : ๊ณ ์์ด์์ ๋ง๋ง ์์ถ ์๊ฒฌ
-
atropine : BAB(blood-a..-barrier)
-
NSAIDs : ๊ฐ๋ง์ ํ๊ด์์ฑ์ ์ ํด, ์ฃผ์ฌ๋ ๋จน๋ ์ ์ ๊ฐ ์์น.
-
autologous serum : ์ต๊ทผ์๋ ๋ง์ด ์ฐ์ง ์์.
-
์ดํ ์ ๋ ์ฝ ์จ๋ ํธ์ ๋์ง ์์ผ๋ฉด ์ธ๊ณผ์ ์น๋ฃ
-
์์ : ๊ฒฐ๋ง์ ๊ฐ๋ง์ ์ด์ํ๋ ์์ (conjunctival graft; flap๊ณผ๋ ๋ค๋ฆ) โ ๊ถค์ ๋๋ฌธ๋ ์์ง๋ง, ๊ฐ๋ง ๊ถค์์ ํ๊ด์ ๊ณต๊ธํด์ฃผ๊ธฐ ์ํด ์ํํ๋ ์์ . (์ ๋ง์ ๋ชจ์ธํ๊ด์ ์ด์)
case
- ์น๋ฃ ์ต์ : (๋๋ฌด ๊ด๋ฒ์) pedicle X / bipedicle ๋๋ hood
vs.
medical ์น๋ฃํ๊ธฐ๋ก ํ๋จ
descemetocele์ด๋ ? ์ ๋ณด์, keratomalasia๋ง ์์, stroma ์ถฉ๋ถํ ์์
์์ง ์ด๋ ค์ ์น๋ฃ ํจ๊ณผ ์ข์ ๊ฒ์ผ๋ก ๊ธฐ๋
peripheral ์ชฝ์ ํฌ๋ช ๋๊ฐ ์ข์์ง๊ณ ์์, ํ๊ด๋ ์๋ผ๊ณ ์๊ณ ์ผ์ ๋ฒ์๋ ๊ฐ์ํจ. ์น๋ฃ ํจ๊ณผ ๋ณด์ด๋ ๊ฑธ ๋ณด๊ณ ๊ณ์ medical๋ก ์น๋ฃ
๋ฐ๋์ ์ด์ํธ์์ ๋ค์ด๊ฐ์ ์ด์์ ๋ฐ๋ ์ชฝ์ผ๋ก ๋ค์ด๊ฐ๋ ๊ฒ ์์น (์ค์) 8-0 ๋๋ 10-0 ์ ๋๋ฅผ ์ฌ์ฉ


