1- ํญ์์ ์ ์ ๋ฃ๊ธฐ๋. ์์ ์ด ๋งค์ฐ ๊ผผ๊ผผํด์ผ ํจ.
Surgical considerations

- Pinna : ๊ท๋ฐํด
- ์ธ์ด : ์์ง๊ท๊ธธ and/or ์ํ๊ท๊ธธ์ ์ผ์ฆ
- ์ค์ด : ๊ณ ์ค, ๊ณ ๋ง์ ์ผ์ฆ
- tympanic membrane, tympanic cavity, auditorial tube
- ๋ด์ด : ์์ ์ ์ ๊ฑด๋๋ฆฌ์ง ์์.
์ฌ๋์ ๋นํด ์์ง๊ท๊ธธ์ด ํ๋ ๋ ์์ด์, ๊ท๋ณ์ด ๋ ์ ์๊น.
์ ์ ํ์ธ ์ฌํญ
| ์ ์ ํ์ธ ์ฌํญ | |
|---|---|
| Physical examination (์ ์ฒด ๊ฒ์ฌ) | |
| - Thickening and calcification ํ์ธ - ์นผ์ํ โ ๊ท์ ๊ธฐ๋ฅ ์์ค, ์ฌ๊ฐํ ๊ฐ์ผ๊ณผ ๊ดด์ฌ๊ฐ ๋ฐ์ํ ์ ์์ผ๋ฏ๋ก ์ ์ํ ์ ์ด๋์ ์ถ์ ํ์ | |
| Otitis interna (๋ด์ด ์์ ํ์ธ) | |
| - circling, nystagmus(์๊ตฌ์งํ), vestibular dysfunction, hearing loss ํ์ธ ํ์. - brainstem-auditory evoked response : ์ ๊ทน์ ๋ฌ์ brainstem์ผ๋ก ๋์ค๋ ๋ฐ์ ๊ฒ์ฌ - 8๋ฒ ๋์ ๊ฒฝ(Vestibulocochlear n.) ๊ฒ์ฌ โ ์ ์ ์ ๊ฒฝ(Vestibular n.) & ์์ฐ์ ๊ฒฝ(Cochlear n.), ์ด ์ ๊ฒฝ์ด ์์๋๋ฉด ๋ฃ์ง ๋ชปํจ. | |
| Otoscopic examination | |
- ์์ง/์ํ๊ท๊ธธ ์ํ ํ์
, tympanic membrane rupture ํ์ธ, mass ํ์ธ ![]() (์ผ: ์ ์, tympanic membrane์ด malleus ๋์ ์์. / ์ค : ๋น์ ์, rupture / ์ค : ๋น์ ์, mass) | |
| Radiographs & CT | |
| - Open mouth view โ ๋ฐฉ์ฌ์ - ์นผ์ํ ํ์ธ | ==CT : tympanic cavity, ์ค์ด== ํ์ธ - ์ ์์ผ ๋๋ ์ฐ๊ณจ์ด ํฌ๊ฒ ๋ณํ์ง ์์ง๋ง, ์นผ์ํ๋๋ฉด ๋ง์ด ๋ณํจ. - ์ฌ๊ฐํ ๋ (๋ง์ด ๋ถ์ด์๊ณ , ์ด๋ ๋งํ ์๊ณ , ๋์ ๋๊ณ ๋ฑ) CT๋ฅผ ํตํด ์ค์ด๋ฅผ ํ์ธํด์ผ ํจ. - vertical/horizontal ear canal์ mass ํ์ธ ๋ฑ | |
| Ear cleansing | |
| - tympanic membrane์ rupture ํ์ธํ ๋ค ์๋
. - rupture ๋์๋ค๋ฉด โ ์๋ ์ฝ ์ค toxicity ๋์ ์ฉ์ก์ ์ฌ์ฉํ๋ฉด ์ ๋จ. - Chlorhexidine 0.2%๋ณด๋ค ๋์ ๊ฑด ์ฐ์ง ์๋๋ค. - ๊ณ ๋ง์ด ์์๋ ๊ฒฝ์ฐ ์์ฒญ ํฌ์ํด์ ์ฐ๊ฑฐ๋, ์์ผ์๋ฅผ ์ฌ์ฉ. ํน์ ciprofloxacin, ofloxacin |
Ear cleansing
- tympanic membrane์ rupture ํ์ธ
- rupture ๋์๋ค๋ฉด โ ์๋
์ฝ ์ค toxicity ๋์ ์ฉ์ก์ ์ฌ์ฉํ๋ฉด ์ ๋จ.
- Chlorhexidine 0.2%๋ณด๋ค ๋์ ๊ฑด ์ฐ์ง ์๋๋ค.
- ๊ณ ๋ง์ด ์์๋ ๊ฒฝ์ฐ ์์ฒญ ํฌ์ํด์ ์ฐ๊ฑฐ๋, ์์ผ์๋ฅผ ์ฌ์ฉ. ํน์ ciprofloxacin, ofloxacin
์์ ์ด ํ์ํ ๊ฒฝ์ฐ
Otitis externa
์ธ์ด์ผ
- ๊ฐ๊ณผํ๊ณ ๋ฐฉ์น โ ์ค์ด๋ก ๋์ด๊ฐ.
- ์ด๋์ํผ(์ธ์ด ์ํผ)์ ์๊ธด ์ผ์ฆ.
- swimmerโs ear๋ผ๊ณ ํํํจ.
- High humidity & temperature : ๋๋ฌผ๋ค์ ๊ท๊ฐ ๋ฎ์ฌ ์์ด ํตํ์ด ์ ์ ๋๊ณ , ์ฝ๋ ์ ์ ๋ค์ด๊ฐ(์์ง์ด๋๋ฅผ ์ ๋์ด๊ฐ์ง ๋ชปํจ).
- ์ธ์ด์ผ์ ์ผ์ผํค๋ ๊ฒ : ์ธ๊ท ๊ฐ์ผ, foreign bodies, ๊ธฐ์์ถฉ, fungi, yeasts, ์ข ์, ์ ์ ์งํ(๋ด๋ถ๋น ๊ณ์ด)
๊ฒ์ฌ
- signalment
- Spaniels, basset hounds : ๊ธธ๊ณ pendulousํ ๊ท, ๊ท์ง ๊ฐ๋
- ์ ์ฒด ๊ฒ์ฌ: ๊ท๊ฐ ๋๊บผ์์ง๊ฑฐ๋ ์นผ์ํ
- otoscopic examinations
- Exudate collection
- yellow, cream-colored : ๊ทธ๋(-) ๊ฐ์ผ
- dark brown, black : yeast, staphylococcus, streptococcus
- bloody : ์ข ์
- Biopsy : ์ข ์, ์๋ฌ์ง
- ๋ฐฉ์ฌ์ , CT : concurrent otitis media, calcification, bone lysis (neoplasia)
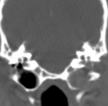
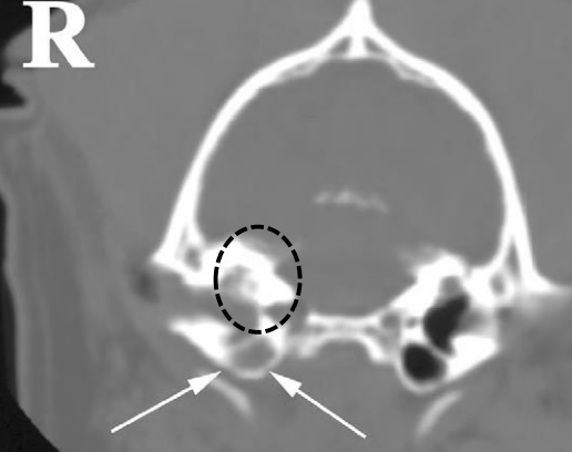
์ด๋๊ฐ ๋ผ์ฒ๋ผ ๋ณด์.
์ผ์ชฝ tympanic cavity ๋ ์ ์ / ์ค๋ฅธ์ชฝ์ ๊ฝ ๋งํ ์๊ณ , ๋ผ๋ ์์.
์ค๋ฅธ์ชฝ์ ์ค์ด๋ก ๋์ด๊ฐ๊ธฐ ์ ์ ๋นจ๋ฆฌ ์กฐ์น ํ์ / ์ผ์ชฝ์ ์ค์ด๊น์ง ์ด๋ฏธ ์งํ / ๋๊ทธ๋ผ๋ฏธ๋ petrous temporal bone; lysis๊ฐ ์ผ์ด๋ ๊ฐํต์ฑ ์๋ ๊ฒ์ฒ๋ผ ๋ณด์ - ์ข ์ ์์ฌ
์น๋ฃ
- cleaning & drying ํด์ ๊ด์ฐฎ์์ง๋ฉด โ ๋ง๋ฌด๋ฆฌํด๋ ๋จ.
- ์คํจํ๋ฉด โ ์์ ํ์. ๊ท์ชฝ ์์ ์ ์์น ๋ชฉ์ X, ์ฝ๋ฌผ ์น๋ฃ์ ํจ๊ณผ๋ฅผ ๋์ด๊ธฐ ์ํด์๊ฐ ๋ง์. ์ธ๊ณผ์ ์กฐ์น ํ์.
surgical treatment
-
์ฝ๋ฌผ ์น๋ฃ๊ฐ ์คํจํ์ ๋.
-
์ฝ๋ฌผ ์น๋ฃ๋ฅผ ๋๊ธฐ ์ํด ์์ ์ ์ด์ฉํ๊ธฐ๋ ํจ.
-
Lateral ear canal resection (Zepp procedure)
- vertical์์ lateral side๋ฅผ ์๋ผ๋ โ ์ํ์ด๋๋ง ๋จ๊น. โ ํตํ, draining ์ ๋๋ผ๊ณ .
-
Vertical ear canal ablation
- lateral side๋ฅผ ์๋ผ๋
- 360๋๋ก vertical ear๊น์ง ๋ค์ด๋.
- vertical ์ค์์๋ medial๊น์ง ์์ด์ง
- vertical ear canal์ ๋ฌธ์ ๊ฐ ๋ฐ์ํ์ผ๋ ์ ๊ฑฐํ๊ฒ ์ง?
-
Total ear canal ablation (with lateral bulla osteotomy) : teca boo?
- vertical๊ณผ horizontal์ ํฌํจ. ๋ ๋ค abnormalํ ๊ฒฝ์ฐ.
- ๋จ๋ ์ผ๋ก ์ฌ์ฉ๋๋ ๊ฒฝ์ฐ๋ ๊ฑฐ์ ๋๋ฌผ๋ค.
Lateral ear canal resection
-
์์ ์ ์ด์
- increasing drainage
- improving ventilation : drainage์ ventilation์ ์ด์งํ๊ธฐ ์ํด.
- facilitating placement of topical agents into the horizontal canal : ์ฝ๋ฌผ ์ ๋ฃ๊ฒ ํ๊ธฐ ์ํด ์ ๊ทน์ ์ผ๋ก ์ฌ์ฉํ ๋งํ ๋ฐฉ๋ฒ. ์น๋ฃ ํจ๊ณผ๊ฐ ์์ฃผ ์ข์์ง.
-
minimal hyperplasia๋, ์์ neoplastic lesions
-
lateral๋ง ์ ๊ฑฐํ๋ค ํด์ full margin์ ๊ฐ์ง์ง ์์.
-
์์ฑ ์ข ์์ full margin์ด 1cm. lateral ear canal resection์ free margin์ ๊ฐ์ง๊ธฐ ์ด๋ ต๋ค.
-
ํจ๊ณผ ์๋ ๊ฒฝ์ฐ : ์ํ์ด๋๊ฐ ํ์ฐฉ/๋งํ ์๋ ๊ฒฝ์ฐ / ์ค์ด์ผ, ์ฌ๊ฐํ ์ด๋์ํผ์ hyperplasia๊ฐ ์๋ ๊ฒฝ์ฐ
- ์ ์ด๋ ์ ์ถ ์์ ์ ํด์ผ ํ๋ค๋ ๊ฑด๋ฐ, ๊ทธ๊ฑด ๋ถ์์ฉ์ด ๊ฝค ์์. ๊ทธ ์ ์ ํด๋ณผ ์ ์๋ lateral ear canal resection์ ์๋ํด๋ณด๋ ๊ฒฝ์ฐ๋ ์์.
-
์์น๊ฐ ์๋๋ผ ์ฝ๋ฌผ ํจ๊ณผ ์์น์ ๋ชฉ์ ์ผ๋ก ํ๋ ์์ ์ด๊ธฐ ๋๋ฌธ์, ๋ณดํธ์ counseling์ด ์ถฉ๋ถํ ์ด๋ฃจ์ด์ ธ์ผ ํจ.
Zepp procedure
- tragus(์ค์ด์ผ ์ฌํ๋ฉด ์ ๊ตฌ๋ถ ์๋ ์ ์์ง๋ง..)์์ ์๋๋ก incision line์ ์ญ ๊ทธ์. mosquito๋ฅผ ๋ฃ์ด ์์ง์ด๋์ ๋์ point-outํ๊ณ marking. ์์ง ์ด๋์ ๊ธธ์ด์ 1.5๋ฐฐ๊น์ง incision line ์ค์ .
- * ์ธ๊ณผ์ procedure๋ ํญ์ ๋ถ๋ช ํ ๋ชฉํ๋ฅผ ๊ฐ์ง๊ณ ๊ฐ์ผ ํจ.
- skin incision์ ์? ์์ง์ด๋๋ฅผ ์ฐพ๊ธฐ ์ํด. (์์ง์ด๋์ ์ฐ๊ณจ)
- mosquito๋ฅผ ์ด์ฉํด์ ๋ถ๋ฆฌ, ์์ง์ด๋์ ์ฐ๊ณจ (๊ฐ์ฅ ๋์๋ฝ) ํ๋ณด.
- ์์ง์ด๋ ์ง๊ฒฝ์ด ์ํ์ด๋๋ณด๋ค ์กฐ๊ธ ๋ ํผ. ์ํ์ด๋๊ฐ ์์ง์ด๋ ์์ชฝ์ผ๋ก ๋ค์ด๊ฐ๋ฉด์ ์์ง์ด๋ ๋์ด ์ฝ๊ฐ ๋๋๋ผ์ง.
- 180๋์์ ์์ โ ์ํ์ด๋์ ์ ์ค์์ด ์๋, ventral ๋๋ฉด์ผ๋ก ํฅํจ.
- ํผ๋ถ๋ฅผ ๋ดํฉํ๋ ค๋ฉด,
- ์ฐ๊ณจ์ ํฌํจํ๋ ๊ฒ์ ์ผ๋ถ ํ์ฉ (์ด๋์ํผ๊ฐ
- ์ข ์ ๊ฐ์ ๊ฑด ๊ณผ๊ฐํ๊ณ ๊ณต๊ฒฉ์ ์ผ ํ์๊ฐ ์์ง๋ง, ์ด๋ฐ ์์ ์์๋ ํด๋ณผ ๋งํ ์์ ์์ ๋ถํฐ
Vertical ear canal resection
vertical ear canal ์๋ผ๋ด๋ ค๋ฉด ํผ๋์ ์ฐ๊ณจ๊น์ง ์๋ผ๋ด์ผ 360๋๋ก ๋ค์ด๋ผ ์ ์์. (C์ฌ์ง)
x

- opening์ insufficientํ๊ฒ ํ์ ๋, ์ฆ์ ๊ฐ์ ์ด ์ ๊ฑฐ๋ ์ฌ๋ฐํ ์ ์๋ค.
- ์ง๋จ์ด ์๋ชป๋์ด๋ ์ฌ๋ฐํ ์ ์๋ค. ex-์ค์ด์ผ์ ๊ฐ๊ณผํ์ ๋, ์ํ์ด๋์ mass๋ฅผ ๊ฐ๊ณผํ์ ๋


