목차
☑️ : 족보 등장 문제
✴️ : 주변 내용 중 족보에는 없는 중요 내용
- 1. 초음파 총론
- 2. Spleen
- 3. Hepatobiliary (Liver, Gall Bladder)
- [[#3. Hepatobiliary (Liver, Gall Bladder)#1) Liver|1) Liver]]
- [[#3. Hepatobiliary (Liver, Gall Bladder)#2) Gall Bladder|2) Gall Bladder]]
- 4. Adrenal Glands
- 5. Urinary (Kidney, UB)
- 6. Stomach (GI Tract)
- 7. Small Intestines
- 8. Pancreas
- 9. Male Reproductive System
- 10. Female Reproductive System
1. 초음파 총론
☑️ 초음파 probe 종류별 모양과 장단점에 대해
Quote
- Linear probe
- 모양 : rectangular scan field을 가지는 사각형
- 장점: 다양한 크기와 Frequency 범위 / 가능한 Scanning Frequency가 가장 높아(7-13MHz) 해상도가 좋음 / 가장 큰 near filed image
- 단점 : 피부와 접촉 부위가 커서 통증 & 털 많이 밀어야 함 / 깊은 곳에서는 볼 수 있는 범위가 제한적
- Sector probe
- 모양 : 접촉면은 작은 사각형 모양, near field가 삼각형으로 퍼져나감
- 장점 : 피부 접촉 면적이 작아 갈비뼈 사이로 투과해야 하는 심장 초음파에 유용 / 깊은 곳에서도 넓은 범위를 볼 수 있음
- 단점 : linear보다 frequency가 낮고 해상도가 떨어짐 / 가까운 구조의 영상이 왜곡될 수 있음
- Convex probe
- 모양 : 곡선형, 부채꼴 모양의 이미지
- 장점 : 넓은 시야, 잘 뚫림
- 단점 : linear보다 해상도가 낮음
✴️ 초음파의 echogenicity에 대해
가스는 하얗고 물은 까맣다!
- Anechoic
- 반사가 거의 안 돼서 까맣게 나타남
- Fluid로 차 있는 구조 (담즙, urine 등)
- Hypoechoic
- 반사를 적게 해서 어둡게 보임
- 신장 (겉질>속질), 근육 등
- Hyperechoic
- 많이 반사되어 하얗게 보임
- 가스, 뼈, 지방 + 결합조직, capsule
- Isoechoic
- 거의 잘 안 쓰는 용어. 주변 조직과 비슷한 에코.
비장 > 간 > 신장 cortex ; 뒤로 갈수록 hypoechoic
✴️ 초음파의 texture에 대해
Quote
- Fine texture : 세밀한 질감 (비장)
- Coarse texture : 거친 질감 (간)
- 침윤성 간질환 → 간이 fine해짐
진단에 도움이 되는 artifact와 임상적 적용에 대해
Quote
- Twinkling artifact
- 표면이 울퉁불퉁한 결석에서 반사가 산란되어 나타남.
- 매우 강한 반사로 hyperechoic structure를 가진다.
- 이 artifact가 있다면 결석일 확률이 매우 높다!
- Acoustic shadowing (음향 음영)
- 초음파 빔이 투과되지 못하게 하는 구조물로 인해 그 아래에 hypoechoic~anechoic한 shadowing이 생김.
- Gas 구조라면 99% 반사해서 dirty shadowing이 나타남.
- 뼈나 결석 구조라면 모두 흠수해서 clean shadowing이 나타남.
- Foreign body나 calculi가 있음을 시사하는 artifact!
2. Spleen
- Spleen
- 기능과 위치
- Radiographic evaluation of spleen
- Ultrasonographic evalation
- Variable size / Fine texture / Hyperechoic
- Diffuse splenic disease : Honey-comb, swisss-cheese 형태
- Neoplastic : Splenic lymphoma, mast cell tumor
- Non-neoplastic : Splenic torsion, Splenic lymphoid hyperplasia/EMH, Splenic calcification
- Focal splenic disease
- Neoplastic : Hemangiosarcoma
- Non-neoplastic : Nodular hyperplasia/Lymphoid hyperplasia, Hematoma, Splenic infarction, Splenic myelolipoma, Splenic vasculature, Splenic vein thrombosis
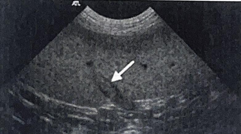
✴️ Splenic lymphoma에 대해
초음파 소견
![]()
- Hepatosplenomegaly, honey-comb appearance 나타남. (honeycomb=lymphoma는 아님)
- Focal한 mass가 생길 수 있음.
☑️ 비장에 발생하는 혈관육종(hemangiosarcoma)의 영상학적 소견 및 임상적 특징에 대해
Quote
- 2/3 rule (Mass의 2/3는 tumor, tumor의 2/3는 악성, 악성의 2/3는 HSA (대형견 기준)
- US findings :
- anechoic~hyperechoic target lesions
- hemoperitoneum
- cystic, cavitary mass
- 간으로 많이 전이됨. 우심방, 폐로도 전이될 수 있음.
- Seeding : 파열되어 omentum 등 주변으로도 전이될 수 있음.
- 파열 시 echogenic peritoneal effusion(복수), irregular borders, hematoma formation
☑️ 비장의 myelolipoma의 영상학적 소견과 임상적 의미
Quote
- 혈관 주변에 고에코성 결절로 나타남 (지방이기 때문)
- 비장, 간, 부신과 같은 조혈 장기에 생김.
- 노령견, 슈나우저에서 많이 발생.
- Benign하므로 모니터링만 잘 해주기.
☑️ 비장 초음파 영상의 소견과 임상적 의미

Splenic vein thrombosis
- echogenic한 물질이 가득차있고, color doppler 시 color가 안 걸림
- 비장이 작아지고 lacy appearance
- 비장 혈전은 원발 원인을 찾아야 함 (neoplasia, corticosteroid, SIRS, DIC, pancreatitis, 쿠싱 등)
☑️ 체표 림프절 종대 및 기력저하로 내원한 10년령 웰시코기에서 비장 초음파상 소견을 간략히 쓰고, 가장 가능성이 높은 진단명과 감별목록을 작성하시오.

Quote
- Splenomegaly, Honey-comb, swiss chesse appearance
- Dx) Splenic lymphoma (뚜렷한 저에코성의 honey-comb)
- Ddx)
- Mast cell tumor, hemangiosarcoma
- Systemic infection, splenitis
- Sepsis
- EMH
- Calcification
- Lymphoid hyperplasia
- Splenic torsion
3. Hepatobiliary (Liver, Gall Bladder)
1) Liver
- 끝이 blunt하거나 좌측 엽이 위를 넘어서까지 → 큰 것 / Hypoechoic / Coarse
- Portal v. : Hepatic v. = 1:1 (Hepatic vein은 울혈성 우심부전일 때 커짐)
- hepatomegaly
- infiltrative liver disease (DM, Cushing’s, steroid hepatopathy, lipidosis)
- Hepatitis
- Liver mass
- RCHF
- Microhepatica
- Chronic hepatitis, cirrhosis
- Portosysteic shunts (PSS)
☑️ 침윤성 간질환(infiltrative liver disease)의 영상학적 소견과 감별 진단에 대해
Quote
- Hepatomegaly & fine echotexture, hyperechoic
- Attenuation 소견은 당뇨에서 가장 심하게 나타남
- Ddx)
- vacoular, steroid induced hepatopathy
- HAC(쿠싱), DM(당뇨)
식욕부진과 황달을 주증으로 내원한 7년령 러시안블루 고양이의 초음파 소견과 가장 가능성이 높은 진단명

✴️ Hepatic lipidosis
- Hyperechoic해짐 (falciform fat보다)
✴️ Acute hepatitis
Quote
- 염증으로 인한 부종 → hypoechoic
- portal vein 벽이 두꺼워짐 (간은 엄청 까맣고 혈관이 도드라져 보임)
- Artifact 주의
☑️ PSS의 영상학적 소견에 대해
Quote
- Microhepatica (혈액이 간으로 오지 않음)
- Portal vein 축소 (Aorta와 1:1 비율 깨짐) : Ao:PV 직경 <0.65이면 PSS
- CVC diameter 증가, shunt와 만나는 부위에서 와류 형성
- Renomegaly : 개에서 L2의 2.5-3.배가 정상
- Urolith (Ammonium urate) * X-ray에서 안 보임 (radiolucent) : I can’t CU (Cystine, Urate)
- Portal vein
☑️ Extrahepatic PSS의 영상학적 소견과 임상적 특징에 대해
Quote
- 결석: 암모니아가 간에서 해독되지 못하고 shunt를 통해 전신순환 → NH3가 증가하고 노폐물로 ammonium urate가 생기는 것. → 어린 개체에서 간이 작고, x-ray에서 안 보이는 결석(cystine, urate)이 있으면 PSS인 경우가 많음 CT를 통해 PSS를 직접 확인할 수 있다.
✴️ Nodular hyperplasia
- 대부분 hypoechoic
- Target pattern : 가운데 혈류 공급이 안 되어 괴사 → 가운데는 hyperechoic해짐
2) Gall Bladder
- 오른쪽에 위치 (그래서 오른쪽 스캔 먼저)
- Anechoic (슬러지 있으면 약간 하얘짐)
- 벽은 얇음 (1-2mm 이하)
✴️ Choleliths (담석)
Quote
- EHBDD (Extrahepatic bile duct obstruction) 유발
- Acoustic shadowing
- Surface는 매우 밝음 (강한 반사계면)
✴️ GB sludge & calculi
Quote
- Sludge
- 담즙이 정체됨
- Sludge ball : round, mobile, non-shadowing echogenicity
- Calculi
- 강한 반사계면, 아래로 acoustic shadowing
- 고양이에서 종종 cholangiohepatitis와 연관
☑️ 담낭점액종(GB mucocele)의 영상학적 소견과 complication
Quote
- 특징적, 파열 위험이 큼. mucus의 과도한 축적으로 인한 gall bladder enlargement
- Cocker spaniel에서 잘 나타남, HAC 있는 환자에서 점액 생성량이 많아 정상 환자보다 29배 다발
- US findings
- Granular, organized, centralized sludge
- non-gravity dependent (환자 자세 바뀌어도 그대로)
- Stellate or kiwi-like pattern
- 초기에는 딱딱하지 않고 별 모양 → 점점 키위 같은 선이 생기고, 밖에서부터 딱딱해짐
- GB 확장, GB wall의 hypoechoic rim, GB wall thickening(>3mm)
- Complications
- 구토, 식욕부진, 기력저하
- 발열, 복수, shock
- 무증상일 수도
- liver enzyme 증가
- 괴사되면 파열되기 쉬움
- 파열 시 peri-GB fat edema, bile peritonitis
4. Adrenal Glands
- hypoechoic
- flatten shape (Lt)
- comma shpae (Rt)
- size ; 소형견에서 3-6mm
Hypoadrenocorticism의 영상학적 소견
Quote
- 3.2mm 이하로 작아짐
- Radiography)
- Microcardia, lung hyperlucency (까매짐), microhepatica, CVC collapse
Hyperadrenocorticism에서 방사선, 초음파상 관찰되는 부신 변화와 기타 변화에 대해
Quote
- PDH
- 양측성 비대, 빵빵(plump appearance), 균일하게 hypoehcoic, normal shape (cr., cd. pole 존재)
- ADH
- 편측성 비대, 다른 쪽은 작아짐
- Iatrogenic
- Bilateral atrophy
- 부신 외의 영상학적 소견)
- 간: Hepatic echogenicity의 증가, hepatomegaly
- 담낭: GB sludge, mucocele
- 신장, 근육: Mineralization
- Splenic vein, portal vein: Thrombosis
- 방광: Cystitis
고양이에서의 부신 평가에 대해 서술하시오 (key : 개와의 비교, 석회화, 임상적 의미 등)
Quote
- 고양이에서 정상적으로 30%는 부신이 석회화되어 있다. → 부신이 결석처럼 hyperechoic하고 acoustic shadowing을 보여도 임상적으로 큰 의미가 없다.
- Hyperadrenocorticism(쿠싱)이 개보다 덜 흔하다. → 고양이의 80%가 PDH를 가지고, 20%가 adrenal tumor를 가진다. → tumor의 절반은 benign, 절반은 malignant이다.
- PDH 고양이의 80%는 당뇨를 가지고 있기 때문에, 당뇨(+ 췌장염) 환자가 내원한 경우엔 부신을 반드시 확인할 것.
5. Urinary (Kidney, UB)
방광염과 방광 종양의 영상학적 차이점
Quote
방광염
- Cranioventral aspect의 비후
- 비대칭적으로 Thickened, irregular mucosal surface
- 살짝 echogenic
- 결석이 있을 수 있음 : 강한 반사계면 + acoustic shadowing
- Emphysematous (기종성) : 방광벽에 gas 축적
- Polypoid : 목이 얇은 polyp, 벽 두꺼워짐 방광 종양
- Caudodorsal aspect 비후
- Focal wall thickening
- Trigone 위치에 다발
방광 종양 caudodorsal aspect의 비후 broad한 base를 가짐 apex보다는 trigone 위치 다발 방광의 neck에 다발, 요도 막을 수 있음 focal wall thickening, irregular mass
방광염 세균성인 경우 Cranioventral에 多 소변이 보통 apex부터 차오르기 때문 비대칭적으로 thickened, irregular mucosal surface 방광 내부 Echogenic한 sediment 방광 평가 시에는 saline을 주입해 확장시킨 후 평가 Emphysematous cystitis Glucose-fermenting bacteria(E.coli)가 감염해 방광벽에 gas 축적 당뇨/쿠싱 환자에서 多 Ring-down이 쭉 이어지며 내강 보이지 X
방광종양 TCC(Mucosal layer origin → 혈관 분포 多)가 제일 多 Focal wall thickening + irregular mass + Wide-based 방광의 neck(Caudodorsal/Caudoventral)에 多 → UVJ, 요도 막을 수 有 - 암컷/개에서 호발 합병증 Ureteral obstruction → Hydronephrosis → CKD Urethral obstruction Prostatic invasion, Metastasis(Sublumbar LN, L5-L7, 골반뼈, Lung) → 뼈에 전이되면 Periosteal reaction 관찰
고양이에서 방사선상 양측성 신비대가 확인될 때 고려해야 할 Ddx와 각각의 초음파 소견
Ddx) PKD Lymphoma, FIP PKD (Polycystic Kidney Diz.) Anechoic한 여러 Size의 cyst 관찰 양측성으로 多 Corticomedullary junction 소실 Irregular renal margin 간에서 PLD(Polycystic liver disease) 동반되는 경우도 있음 시간이 지나면 cyst 더 커지고, 신장 기능 소실됨
Lymphoma Renal subcapsular thickening = Hypoechoic renal halo Peri-renal fluid가 있는 것처럼 hypoechoic rim이 신장 둘러쌈 FIP renomegaly Medullary rim sign Subcapsular thickening Peri-renal fluid Peri-renal fat
*편측성 ddx) Hydronephrosis, Pyelonephritis, ureteral obstruction, renal tumor
방광염의 초음파적 특징, emphysematous cystitis, polypoid cystitis에 대해
방광염 세균성인 경우 Cranioventral에 多 소변이 보통 apex부터 차오르기 때문 비대칭적으로 thickened, irregular mucosal surface 방광 내부 Echogenic한 sediment 방광 평가 시에는 saline을 주입해 확장시킨 후 평가 Emphysematous cystitis Glucose-fermenting bacteria(E.coli)가 감염해 방광벽에 gas 축적 당뇨/쿠싱 환자에서 多 Ring-down이 쭉 이어지며 내강 보이지 X Polypoid cystitis Chronic infection에 의해 증식하며 발생 방광벽 비후/불규칙, 염증세포 침윤→ sludge Bladder apex에 목이 얇은 polyp(Narrow-based) 목이 얇은 것이 종양과의 차이점 Diffuse하게 비후됨(Focal X) Cranioventral region에 결석 관찰되기도 함
Hydronephrosis의 영상학적 특징
Quote
- 방사선으로 진단 불가.
- 종양, 염증, 결석 등 어떠한 이유에서든 요관 막혀서 pelvis 확장 (심하면 cortex가 거의 안 남을 정도)
- renal calyx까지 확장되어 특징적인 손가락 모양
6. Stomach (GI Tract)
7. Small Intestines
Functional/Mechanical ileus의 영상학적 소견과 원인 및 치료법에 대해
Mechanical ileus의 영상학적 소견, 진단 기준, 대표적인 질병 등
만성 구토로 내원한 13년령 Korean short hair 고양이의 초음파 소견과 감별진단 목록

8. Pancreas
급성 췌장염의 영상학적 소견에 대해
췌장 부종(pancreatic edema)의 영상 소견과 감별진단에 대해
9. Male Reproductive System
CEH-pyometro complex에 대해
CEH(Cystic endometrial hyperplasia): 자궁 내막이 두꺼워지고, cystic gland와 glandular duct의 anechoic한 낭종성 변화를 동반하는 자궁 질병 Pyometra: 자궁 내강에 Fluid가 찼는데, 그게 more echogenic한 fluid일 때 <영상학적 소견> Endometrial thickening(progesterone에 의한 자극) Anechoic dilated cystic/glandular gland Uterine lumen에 fluid 축적 (pyometra, mucometra, hydrometra) (이 중에서 pyometra는 제일 echogenic한 fluid)

