Neoplasia
- Neoplasia : ์ข ์ ํ์ฑ. โnew growthโ
- ์ธํฌ๊ฐ ์๋ ํฌ๊ธฐ๋ฅผ ๋์ด ๊ณ์ ์ฆ์ํ์ฌ โneoplasmโ์ ํ์ฑํจ
- common term : cancer(โcrabโ), tumor(โswellingโ)
- oncology(์ข ์ํ) โ โoncosโ(=tumor)์์ ์ด
- neoplasm, tumor๋ benign & malignant ๋ชจ๋ ํฌํจ / cancer = malignant๋ง
- benign(โharmlessโ) : ์ฃผ์ ์กฐ์ง์ผ๋ก ์นจํฌํ๊ฑฐ๋ ๋ค๋ฅธ ์ ์ฒด ์ฅ๊ธฐ๋ก ํผ์ ธ๋๊ฐ์ง ์์, ๋์ฒด๋ก ์น๋ฃ ๊ฐ๋ฅ
- malignant(โharmfulโ) : ๋ฐฉ์นํ๋ฉด ์ฃผ์ ์กฐ์ง์ผ๋ก ์นจ์ต, ์ ์ด๋์ด ๋ชธ์ ๊ธฐ๋ฅ์ ๋จ์ด๋จ๋ฆฌ๊ณ ์ฃฝ์์ ์ด๋ฅด๊ฒ ํจ
Preneoplastic Changes (์ ์กฐ์ฆ์)
- ์ ์กฐ์ฆ์ : hyperplasia(์ธํฌ ์ ์ฆ๊ฐ), hypertrophy(์ธํฌ ํฌ๊ธฐ ์ฆ๊ฐ), metaplasia(์ธํฌ ์ข ๋ฅ ๋ณํ), dysplasia(์ฑ์ฅ ์ด์)
- ์ด๋ฌํ ์ ์กฐ ์ฆ์์ ๋์ฒด๋ก reversible
- ๊ทธ ์ค metaplasia์ dysplasia๋ preneoplasia โ neoplasia ๋ณํํ ๋ ๊ณ์ ๋ํ๋จ
- anaplasia๋ neoplasia๋ก์ irreversible progression์ ๋ํ๋
Tumor types
- ๋๋ถ๋ถ mesenchymal or epithelial
- ๋ฐ์ ๋จ๊ณ์์ mesoderm์ ๊ธฐ์ํ๋ cell์์ ๋ฐ์
- spindle cells๋ค์ด ๋ฐฐ์ด๋์ด ์์
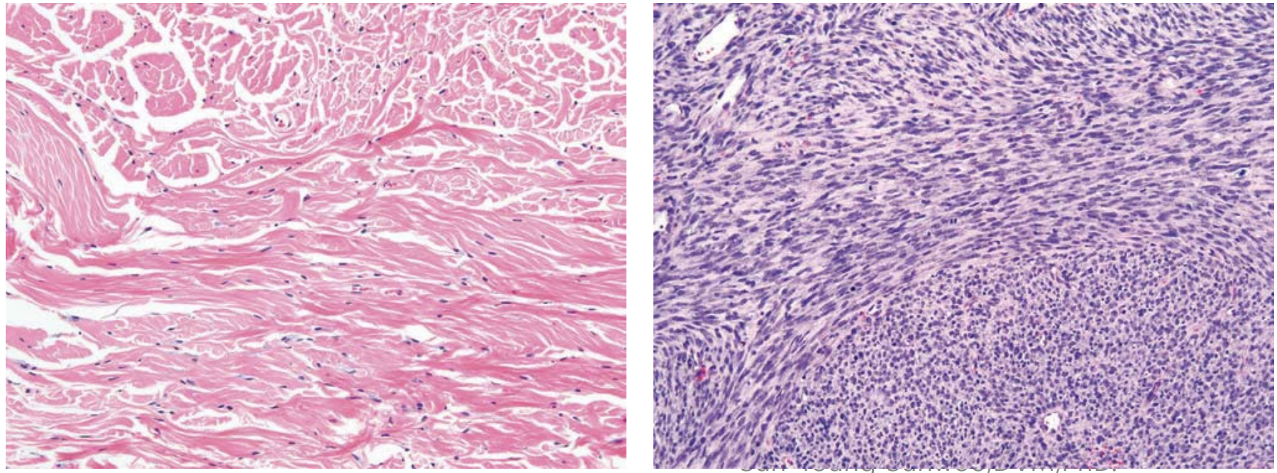
- mesenchymal cells์์ ๊ธฐ์ํ benign tumor์๋ โ-oma(์ข )โ๋ฅผ ๋ถ์
- mesenchymal cells์์ ๊ธฐ์ํ malignant tumor์ โsarcoma(์ก์ข
)โ๋ผ๊ณ ํจ
- ex) fibroma: fibroblast orgin์ ์์ฑ ์ข
์ / fibrosarcoma: fibroblast์ ์
์ฑ ์ข
์
์ผ์ชฝ์ fibroma, ์ค๋ฅธ์ชฝ์ fibrosarcoma

- ex) fibroma: fibroblast orgin์ ์์ฑ ์ข
์ / fibrosarcoma: fibroblast์ ์
์ฑ ์ข
์
์ผ์ชฝ์ fibroma, ์ค๋ฅธ์ชฝ์ fibrosarcoma
- hematopoietic system์ cell๋ค์ mesenchymal
- ์ํํ๋ ํ์ก์ด๋ ๊ทธ precursors์์ ๋ฐ์ํ ์
์ฑ ์ข
์์ โleukemia(๋ฐฑํ๋ณ)โ์ด๋ผ๊ณ ํจ
- abnormal hematopoietic cells๊ฐ ์์ฃผ ๋ง๋ค
- endoderm, mesoderm, ectoderm์์ ๋ชจ๋ ๊ธฐ์ ๊ฐ๋ฅ
- โadenomaโ, โpapillomaโ, โpolypโ ๋ชจ๋ benign epithelial tumor๋ฅผ ์ด๋ฅด๋ ๋ง
- Adenoma : glandular ๋๋ tubular epithelium์์ ์ ๋ํ ์ข ์ (ex. ์ ์ , ์ ์ฅ)
- papilloma(์ ๋) : (muco)cutaneous surface์์ ๋ฐ๊นฅ์ผ๋ก ์๋ผ๋(exophytic) ์ข ์
- polyp : mucosal surface์์ ์๋, papilloma๋ณด๋ค ์ข ๋ ํฐ ๊ฒฝ์ฐ
- โcarcinomasโ (=cancer) : ๋ชจ๋ malignant tumor๋ฅผ ํต์นญ
Mixed tumors
- multiple cell types๋ฅผ ํฌํจํ๋ ๊ฒฝ์ฐ
- ๊ฐ ํผํฉ ์ ์ ์ข
์(mixed mammary gland tumor)์ด ๋ํ์

- Teratomas : totipotential germ cell์์ ์ ๋, 3๊ฐ ๋ฐฐ์ฝ์์ ๋์ฌ ์ ์๋ ๋ชจ๋ ์ธํฌ๊ฐ ๋ค ์ฑ์ฅ, ํน์ดcase
Tumor-like lesions
- Hemartomas :
- Choristomas :
Tumor Nomenclature
