Definition
- mandibular periostitis, lionโs jaw ๋ผ๊ณ ๋ ํจ.
- ๋ฏธ์ฑ์ํ ๊ฐ์์ ๋ฐ์ํ๋ ์ฆ์์ฑ ๋ผ ์งํ. Occipital bones(๋คํต์๋ผ), tympanic bullae(๊ณ ์ค), mandibular rami(์๋ํฑ๋ผ)์ ์นจ๋ฒํจ.
์์ธ
- ๋ฐํ์ง์ง ์์.
- ๋ผ๊ฐ ๊นจ์ง๊ณ ํก์๋๋ฉฐ ์๋ก์ด ๋ผ๋ก ๋์ฒด๋จ.
- ๊ธฐ์กด์ lamellar bone์ osteoclasis(ํ๊ณจ์ธํฌ)์ ํก์, ๋ผ๊ฐ ํ๊ดด๋๋ฉด์ ์ผ์ฆ ์ธํฌ์ ์นจํฌ๋ ๋๋ฐ.
- ์ฌ์ ํ ์งํ (fibrous stroma)๋ก ๋์ฒด โ ์ ์์ ์ธ ๋ผ์ ๊ธฐ๋ฅ ์์ค. 5-7๊ฐ์์ฐจ์ ๋ฐ์.
- intermittent fever, ์์ด ๋ถํธ, ์ ์ด ๋ ๋ถํธ๊ฐ.
- ์ฌ๋ฌ ์ฐจ๋ก ์ฌ๋ฐํ๊ธฐ ์ฌ์ฐ๋, ๋ผ๊ฐ ์ฑ์ํ๊ณ ์ฑ์ฅํ(physes)์ด ๋ซํ๋ฉด์ ๋ผ ์ฆ์๋ ์ ์ฐจ ๊ฐ์ํจ.
- West highland ์ข
์์ ๊ฐ์ฅ ๋ง์ด ๋ฐ์.
- Scottish & Cairn terriors์์๋ ๋ณด๊ณ ๋จ. ๋ค๋ฅธ ์ข ์์๋ ๋ณ๋ก.
- ์ฑ๋ณ์ ๋ฐ๋ฅธ ์ฐจ์ด๋ ์์.
์ฆ์ ๋ฐ ์ง๋จ
- 3-8๊ฐ์์ ๋ง์ด ๋ฐ์. (ํ๊ท ์ ์ผ๋ก 5-6๊ฐ์)
- ์ ์ฒด ๊ฒ์ฌ์: mandible & tympanic bullae๊ฐ ์์ธก์ผ๋ก ๋น๋๋จ (bilaterally enlarged).
- ์ ์ ๋ฒ๋ฆด ๋ ํต์ฆ์ด ์์.
- ์ฌํ ์ผ์ด์ค์์๋ ์ด๋ฌํ ๊ตฌ์กฐ๋ค์ด ์ตํฉ๋์ด ํฑ์ ๊ฑฐ์ ๋ฒ๋ฆด ์๊ฐ ์์.

- ๋จน๊ธฐ ์ซ์ดํ๋ ์ฆ์, ์ ์ ์ ๋๋ก ๋ซ๊ณ ๋ฒ๋ฆฌ๊ธฐ ์ด๋ ค์ ์นจ์ ํ๋ฆฌ๊ณ ์์์ ์น๋ ๊ฑธ ์ด๋ ค์ํจ.
- ์์ ๋ถ์ง, ๋ชธ๋ฌด๊ฒ ๊ฐ์, ํ์, ๊ณผํ ์นจํ๋ฆผ
- Temporal muscle atrophy : ๊ด๋ ๊ทผ์ก์ ์์ง์ด์ง ๋ชปํ๋ ์์ถ ๋ฐ์
- ์ผ์ฆ ๋๋ฐ โ ๋จ๊ธฐ๊ฐ์(episodic) lethargy, pyrexia, lymphadenopathy (๋ฌด๊ธฐ๋ ฅ์ฆ/๋ฐ์ด/๋ฆผํ์ ์ข ๋)
- ์ฆ์์ ์ผ๋ฐ์ ์ผ๋ก ์ํ๋๋ฉฐ(abate), ์ฑ์ฒด๊ฐ ๋๋ฉด์ ์ฌ๊ทธ๋ผ๋ ๋ค.
์์ ์ง๋จ
| Diagnosis | |
|---|---|
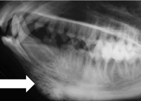
![]() ![]() | - caudal mandibles์ irrecular bone density๊ฐ ์ฆ๊ฐ. - tympanic bullae์ ๋ฐ๋๋ ์ฆ๊ฐ. - 1/3์ ํ์๋ mandible์ ๊ตญํ๋ ๋ณ๋ณ์ ๋ณด์ด์ง๋ง, ์ผ๋ถ ๊ฒฝ์ฐ skull์ ๋ฐ๋ฅ์ ๋ณ๋ณ, ๋๋ ๋๊ฐ๊ณจ ์์ฒด๊ฐ ๋น๋(thickened calvarium). - ๊ฐ๊ฐ ์ฑ์ํด ๊ฐ๋ฉด์, ์๋ก์ด ๋ผ์ ๊ฐ์ฅ์๋ฆฌ๊ฐ ๋งค๋๋ฌ์์ง๊ณ , ๋น์ ์ ๋ถ์๊ฐ ์ค์ด๋ฆ. |
![]() | - mandible ์ชฝ ๊ฒฝ๊ณ๊ฐ ๋ฌด๋์ ธ ์์. - skull ๋ค์ชฝ์ด ํ์ฐํ ๋๊บผ์์ ธ ์์. |
![]() | - tympanic bullae๊ฐ ์ ๋ณด์ผ ์ ๋๋ก ๋๊บผ์์ ธ ์์. |
| Histology | |
|---|---|
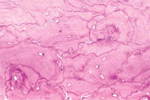
![]() | - Lamellar bone์ ํ๊ณจ ์์ฉ โ ํก์ - ๋ผ๋ง์ ์๋ก ์๊ธด ๋ผ ์กฐ์ง์ ์ผ์ฆ์ธํฌ๊ฐ ์นจ์ค๋จ. - ์ฌ๋์์์ osteitis deformans(Pagetโs disease) ์ ์ฌ. |
![]() | - Osteon์ ๊ฒฝ๊ณ๋ฅผ ๋ํ๋ด๋ cemet line์ Mosaic pattern - ์๋ ์ํ์ธ๋ฐ, ๊ตฌ๋ถ๊ตฌ๋ถํ๊ฒ ๋ฌด๋์ง. |
์น๋ฃ ๋ฐ ๊ด๋ฆฌ
- ์ฑ๊ฒฌ์ด ๋๋ฉด ๊ฑฐ์ ์ฌ๋ผ์ง๊ธฐ ๋๋ฌธ์, ํต์ฆ์ ์ค์ด๋ ์น๋ฃ ์งํ
- ์ฌ๊ฐํ ์ผ์ด์ค๋ ๊ฑฐ์ ์ญ์ทจ๋ฅผ ์ด๋ ค์ํ๊ธฐ ๋๋ฌธ์, fluid nourishment/feeding tube ๋ก ์์ ๊ณต๊ธ.
- ์์ ์ ์น๋ฃ๋ X
- rostral mandibulectomy โ lap(ํ๋ฐ๋ฅ) gruel (mandible ์๋ผ๋ด๋ ๊ฒ๋ ๋ฐฉ๋ฒ.. ํ๋ฐ๋ฅ์ด๋ผ๋ ์์ฐ์ค๋ฝ๊ฒ ์ธ ์ ์๊ฒ)
์ํ
- Case by case. mandible์ด ์ผ๋ง๋ ์์ ๋ก์ด์ง์ ๋ฐ๋ผ ๋ค๋ฆ.
- ์ ์ ์์ ๋ฒ๋ฆด ์ ์๋ ์ ๋๋ฉด โ ์ํ๊ฐ ์ ์ข์.
- 5-6๊ฐ์์ ๊ฐ์ฅ ํ๋ฐ, 7-8๊ฐ์์ฏค slow down, 11-13๊ฐ์์ฏค ์ ์ฐจ ํ๋ณต.
- ์๋ฒฝํ๊ฒ ์ ์์ผ๋ก ๋์๊ฐ๊ธฐ๋ ์ด๋ ต๊ณ , ๋ณ๋ณ ๋ถ์๊ฐ ๊ฐ์ํ๊ณ ๋ถ๊ท์น์ฑ์ด ์ฝํด์ง.





