Definition

Synovial joint์ ๊ตฌ์กฐ
- synovial lining(์คํ๋ง), tendon sheaths(ํ์ค์ง), bursae(์คํ๋ญ)์ ๋ฐ์ํ ์ข ์.
- distal joints๋ณด๋ค carpus, tarsus ์์ชฝ ๊ด์ ์์ ๋ ํํจ.
- synovioblastic tissue์์ ๋ฐ์ํ๋ ์ข
์์ด ์ค์
- synovial sarcomas (=malignant synovioma, synovial cell sarcoma)๋ผ๊ณ ๋ ํจ. ํน์
- histiocytic sarcoma : macrophage/monocyte cell line์์ ๋ฐ์
- synovial myxoma : myxomatous tissue(์ ์ก์ฑ)์ fibroblast์์ ๋ฐ์. - ๊ทธ๋์ ์ง๋ณ์ ์์๋ ๋น์ทํจ(์ ์ก์ฑ).
์ง๋จ
- large, middle-aged dogs์์ ๋ํ๋จ. (ํ์ข ์์ธ์ X)
- ์ฃผ๋ก lame, ๊ด์ ๊ทผ์ฒ์ ์ข ๊ดด(mass) ๊ด์ฐฐ
- ํ์ง์ ์ํด์๋ ์กฐ์ง๊ฒ์ฌ๊ฐ ํ์ํจ.
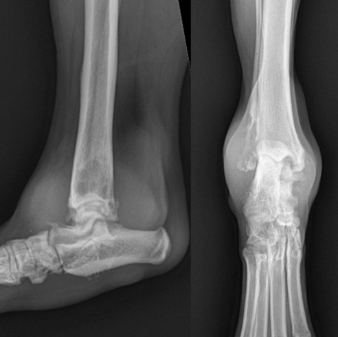
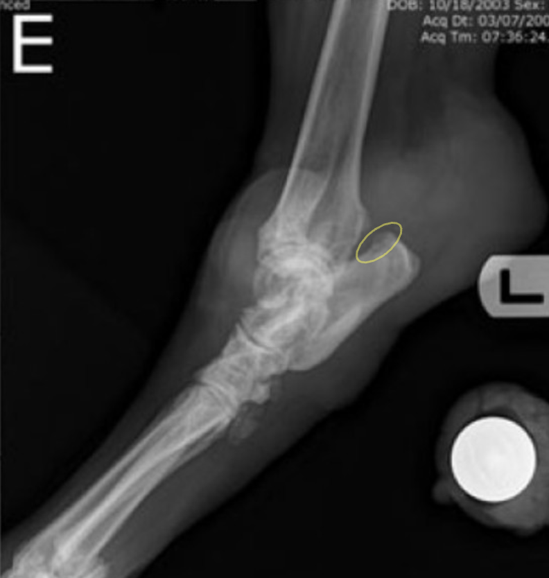
- ๊ด์ ์์ธก์์ ๋ผ์ ๋ณํ๊ฐ ๋ํ๋จ - subchondral bone & cortex์ lysis, new bone production
- fluoroscopy๋ ์ด์ฉํ ์ ์์ง๋ง, ์ ํ๋ ๋จ์ด์ง.
- FNA๋ฅผ ํตํด ์ธํฌ๊ฒ์ฌ ์งํํ ์ ์์ผ๋, ๋ณดํต ํ์ง์ biopsy๋ฅผ ํตํด ์ง์ ์ป์ด์ง ์กฐ์ง ์ํ๋ก ์ด๋ฃจ์ด์ง.
| Diagnosis | |
|---|---|
![]() | |
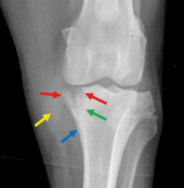
![]() | - lining์ ๋ณํ - ์ค๋ฅธ์ชฝ์ ๋ผ๊ฐ ๋ค ๋ น์ ์ ๋จํ ์๋ฐ์.. |
![]() | - ๋๋ ทํ๊ฒ ๋ํ๋๊ธฐ ์์ํ ๋ถ์. ํ๋ฆฟํ๊ฒ ํผ์ ธ ์๋ ๋ถ๋ถ. |
![]() | - density๋ ๋จ์ด์ ธ ์์ |
![]() | - ํ์ ์ด๊ฐ ๋ํ๋จ. - bone lysis๋ฅผ ์ผ์ผํค๋ฉด์ ์ฃผ๋ณ์ผ๋ก ์ ์ด๋จ. |
๊ฐ๋ณ ์ง๋จ
-
synovial cysts(๊ด์ ๋ญ) ๊ณผ ๊ตฌ๋ถ๋์ด์ผ ํจ.
-
synovial cell sarcomas โ cruciate disease(์ญ์์ธ๋ ์งํ), fungal&infectious joint diseas, ๊ธฐํ ์ข ์๋ค๊ณผ ๊ตฌ๋ณ๋์ด์ผ ํจ.
- joint diseases - septic arthritis(ํ๋์ฑ ๊ด์ ์ผ), erosive arthritis(์นจ์์ฑ ๊ด์ ์ผ), villonodular synovitis(์ต๋ชจ๊ฒฐ์ ์ฑ ํ๋ง์ผ)
-
ํ์งํ๋ ค๋ฉด biopsy ํ์; ์ ๋จ ์ธ์ ์น๋ฃ๊ฐ ๋ถ๊ฐ๋ฅํ ์ํ๋ผ๋ฉด, ์ ๊ฐ ์๊ฒ์ด ์๋ ์ ์ ์๊ฒ(excisional biopsy, limb amputation)์ ์งํํ ์ ์์.
์น๋ฃ
- Amputation(์ ๋จ)์ด ๊ถ์ฅ๋จ. ๊ตญ์ ์ ์ โ ์ฌ๋ฐ๋ฅ ๋์(high recurrence rate).
- chemotherapy(ํํ ์๋ฒ)๋ ๊ฐ์ด ์งํํ๋ ๊ฒ์ด ์ข์.
์ํ
- ๊ณจ์ข ์์ ๋นํด์๋ ์ฒ์ฒํ growth
- ์ ๋จ ํ ์ ์ด๊ฐ ํํ๋ค๋ ์ฐ๊ตฌ๊ฒฐ๊ณผ ์์
- synovial cell sarcoma โ 32๊ฐ์ ์์กด
- histiocytic sarcoma โ 5๊ฐ์ ์์กด, ์ ์ด์จ ๊ฐ์ฅ ๋์.
- synovial myxoma โ 30๊ฐ์ ์์กด, ์ ์ด์จ ๊ฐ์ฅ ๋ฎ์.





