- ์ด์ ๋ถํฐ๋ ๊ณ์ ๋ฐ์ด๋ฌ์ค & ์ธ์๊ณตํต ์๋
- ๊ฐ์์ง ํ์ญ
1. Etiology & Epidemiology
- Family Paramyxoviridae
- Genus Morbillivirus
- Canine distemper virus
- Rinderpest virus ๋ฑ..
-
์ก์๋๋ฌผ(Terrestrial carnivores)์ ๋ค ๊ฑธ๋ฆด ์ ์๋ค. (์กฑ์ ๋น, ์ค์ปนํฌ, ๋ฐ๋คํ๋ฒ, ๋๊ณ ๋ ๋ฑ)
-
Strain์ ๋ฐ๋ผ virulence๊ฐ ๋ค์ํ๋ค. (ex. 1900๋ ๋ ๋ง์๋ strain๊ณผ ํ์ฌ ์ฃผ๋ก ๊ฑธ๋ฆฌ๋ ๋ณ์ด์ฃผ๋ ํญ์์ฑ์ด ๋ค๋ฅด๋ค)
-
๊ฐ์ ์ง์ญ์์๋ 1๊ฐ ์ด์์ ๋ณ์ด์ฃผ๊ฐ ์กด์ฌํ ์ ์๋ค.
- ๋ฐ์ด๋ฌ์ค๋ lymphoid, nervous, epithelial tissue์์ ๋ณต์ ๋๋ค.
- ์ฒด์ธ์์๋ ๊ธ๋ฐฉ ์ฃฝ์ง๋ง,
- ๋ชธ ์์์๋ ํธํก๊ธฐ ์ผ์ถ๋ฌผ, ๋ณ, ์นจ, ์ค์ค, ๊ฒฐ๋ง ์ผ์ถ๋ฌผ์ 60-90์ผ๊น์ง sheddingํ ์ ์๋ค.
- (์ฒซ 24์๊ฐ) ํธํก๊ธฐ๋ฅผ ํตํด ๋ฐ์ด๋ฌ์ค๊ฐ ๋ค์ด์ค๋ฉด โ macrophage์ ํฌ์๋์ด 24์๊ฐ ์ด๋ด์ ๋ฆผํ๊ด์ ๋ฐ๋ผ ํธ๋, ์ธ๋, ํธํก๊ธฐ ๋ฆผํ์ ๋ฑ์ผ๋ก ์ด๋ โ ์ฝง๋ฌผ, ๋๋ฌผ, ๊ธฐ์นจ ๋ฑ ํธํก๊ธฐ ๊ด๋ จ ์ฆ์์ ์ ๋ฐํ๋ค.
- (๊ฐ์ผ ํ 8-9์ผ) ๋ณต์ ํด์ ํ๊ณ ํ๊ณ ์ค์ถ์ ๊ฒฝ๊ณ, ์ํผ์กฐ์ง์์ ์ฆ์ โ ์ ๊ฒฝ ์ฆ์์ด ๋ํ๋๋ค.
- ์ด๊ท ์ ๋ฑ์ ์ ์๋ ๋์ง๋ง, ๊ฑธ๋ ธ๋ ๊ฐ์์ง๋ 2-3๋ฌ๊น์ง๋ ๊ณ์ ๋ฐ์ด๋ฌ์ค๋ฅผ ๋ฐฐ์ถํ ์ ์๋ค : ๋ค๋ฅธ ๊ฐ์์ ์ ์ด ์ฃผ์!
- ๋ฉด์ญ์ด ์์ผ๋ฉด ๋ชจ๋ ์ฐ๋ น์์ ๊ฐ์ผ๋ ์ ์์ผ๋, ํนํ 3-6๊ฐ์์ puppies์์ ๊ฐ์ฅ ํํ๊ณ ์ฌ๊ฐํ๋ค.
- poor immune : ํธํก๊ธฐ, ์ํ๊ธฐ, ๋น๋จ์์๊ธฐ ์ํผ์์ ๋น ๋ฅธ ์๋๋ก massive replication โ 9-14์ผ ์ฌ์ด์ polysystemic disease๋ก ์งํ๋์ด ๊ฒฐ๊ตญ ์ฃฝ๋ ๊ฒฝ์ฐ๊ฐ ๋ง์.
- Moderate immune (์ด๋ ์ ๋ ๋ฉด์ญ์ด ์๋ค๋ฉด) : ์์ ์ฆ์์ ๋ํ๋ด๋ค๊ฐ ํ๋ณต๋ ์ ์์.
- Good cell-mediated response (๋ฐฑ์ ์ ์ ๋ง์ 6๊ฐ์๋ น ์ด์) : ๋ฉด์ญ์ด ์ ํ์ฑ๋์ด ๊ฐ์ผ 14์ผ ๋ด๋ก ๋ฐ์ด๋ฌ์ค ์๋ฉธ, ์์ ์ฆ์ ์์ด ์ ํ๋ณต๋จ.
- ๋๋ถ๋ถ์ ๊ฐ์์ CNS ๊ฐ์ผ์ด ๋๋ฐ๋๋,
- ํญ์ฒด๊ฐ ๊ฑฐ์ ์๋ ๊ฐ์์ง์์ ๊ฐ์ผ๋์์ ๋๋ง ๋ช
ํํ ์ ๊ฒฝ์ฆ์ + ์ ์ปจํธ๋กค๋์ง ์์.
- Oligodendrogliocytes์ restrictive infection & necrosis โ ๊ธ์ฑ ํ์์ดํ(acute demyelination)
- CDV immune complex ํ์ฑ&์ ๊ฑฐ, antimyelin ํญ์ฒด ๋ฑ โ ๋ง์ฑ ํ์์ดํ(chronic demyelination) : ๋ค ๋์๋ ๋ง์ฑ์ ์ผ๋ก ํฑ์ด๋ ๋ฐ์ ๋ฑ ํ์ ์ฆ ๋จ์.
2. Clinical Features
- CDV(๊ฐ์์ง ํ์ญ)์ ๋ค์๊ณผ ๊ฐ์ ๊ฒฝ์ฐ์ ์ฌ๊ฐ, life-threatening ์ํ๋ก ๋น ๋ฅด๊ฒ ์งํ
- Unvaccinated
- Inappropriately vaccinated
- Immunosuppressed + ๊ฐ์ผ ๊ฐ์ฒด์ ๋ ธ์ถ
- ์ด๋ฏธ๋ก๋ถํฐ ์ด์ (๋ฉด์ญํญ์ฒด)๋ฅผ ๋ฐ์ง ๋ชปํจ
- Partially immune: mild respiratory disease โ ์ด๋ ๋น ๋ฅด๊ฒ ๋ด์ํ๋ฉด ๊ด์ฐฎ์๋ฐ, ๊ทธ๋ฅ ๋๊ธธ ๋๊ฐ ๋ง๋ค..
- CIRDC (canine infectious respiratory disease complex) ๋ก ์ค์ง๋ ์ ์์
| Clinical signs | |
|---|---|
| Generally | - ์ฐ์ธ(depression), ๋ฌด๊ธฐ๋ ฅ(malaise) - ๋๊ณผ ์ฝ์ ๋ถ๋น๋ฌผ(oculonasal discharge) - ๊ธฐ์นจ, ๊ตฌํ , ์ค์ฌ, ์ ๊ฒฝ๊ณ ์ฆ์ |
| P/E | - ํธ๋ ๋น๋ (Tonsillar enlargement) - ํธ๋์์ ์ฆ์ํ๊ธฐ ๋๋ฌธ - Fever, mucopurulent ocular discharge - ๊ธฐ๊ด์งํ๋ ด (bronchopneumonia) โ bronchial sounds, crackles, wheezes ๋ฑ ์ฒญ์ง๋ ์ ์์ |
| CNS | - ๊ฐ๊ฐ๊ณผ๋ฏผ(hyperesthesia), ์๋ ๋๋ ์ ์ ์งํ, ๋ถ๋ถ ๋ง๋น(paresis) - ๋ฌด๋์ฆ(chorea, myoclonus) : ์์ง์ ์๊ด์์ด ์ผ๊ตด ๊ทผ์ก์ด ๋ง ๋จ๋ฆผ - ์ฐก๊ธ์ฐก๊ธ(ํฑ), ๊ป ์น๋ ๋ฏํ ํ๋ - ์ฝ์ผ๋ก๋ ์ ์ปจํธ๋กค๋์ง ์๋ ๋ฐ์ ๋ค๋ฅธ ์ฆ์์ด ํ๋ณต๋๋ ๋ฏํ๋ค๊ฐ๋ ์ ๊ฒฝ์ฆ์์ ๋ํ๋ผ ์ ์๋ค. ๋น ๋ฅด๊ฒ ์งํ๋๊ณ ์ํ๊ฐ ๋ถ๋ํ๋ค. ๋๋ ทํ ์ ์ ์ฆ์ ์์ด ๋ํ๋๊ธฐ๋ ํ๋ค. ์ด๋ฐ์ ์ฆ์์ ์ ์บ์นํ์ง ๋ชปํ ์ ์์ผ๋, ์ด๋ฆด ๋ ๋ฏผ๊ฐํ๊ฒ ์ฆ์์ ๊ด์ฐฐํ์..! |
| ๋ | - ์ ์๋ฐฉ ํฌ๋๋ง์ผ (anterior uveitis) - ์์ ๊ฒฝ์ผ (optic neuritis) + ์ค๋ช , ๋๊ณตํ์ฅ - ๋ง๋ง๋งฅ๋ฝ์ผ (retinochoroiditis) * ๊ฐ์ผ๊ฒฌ์ 40%์์ retinochoroiditis + encephalitis(๋์ผ) ๋๋ฐ * ๋ง์ฑ ๊ฐ์ผ ์ ๊ฑด์ฑ ๊ฐ๊ฒฐ๋ง์ผ(KCS), ๋ง๋ง์ ๋ฐ์ฌ์ฑ ํํฐ(medallion lesions) ๊ด์ฐฐ |
| ์น์ | - Enamel hypoplasia : ์๊ตฌ์น๊ฐ ๋์ค๊ธฐ ์ , ์น์ ๋ฐ๊นฅ์ธต์ธ ์๋๋ฉ ์ ํ์ฑ (์น์ ํ๋ฉด์ด ๊ณ ๋ฅด์ง ์๊ณ ์ธํ๋ถํ, ์ฐฉ์, ์ฝํด์ง) |
| ํผ๋ถ | - ์ฝ์ ๋ฐ๋ฐ๋ฅ์ ๊ณผ๊ฐํ(hyperkeratosis) - ๋ณต๋ถ ํธ์ด ์๋ ๋ถ์์ ๋ํฌ์ฑ ํผ๋ถ์ผ(pustular dermatitis) - ์ฌํ ์ต์ค์ฑ ์ธ์ด์ผ(otitis externa) |
| ์์ ๊ฒฌ | ํ๋ฐ ๊ฐ์ผ โ ์ฌ์ฐ, ์ ์ฐ, CNS ์งํ์ ๊ฐ์ง ์ฑ๋ก ํ์ด๋จ |
Old dog encephalitis
- 6์ธ ์ด์์ ๋ ธ๋ น๊ฒฌ์์ ๋ํ๋๋ ๋ง์ฑ, ์งํ์ฑ panencephalitis
- ์ปค์ ๊ฐ์ผ๋ distemper ๋๋ฌธ์ธ ๊ฒ์ผ๋ก ์๊ฐ๋จ
- ๊ทธ๋๋ง ์ ์ด๊ฒจ๋ด๋ ํธ์ด์ง๋ง.. ์ ๊ฒฝ๊ณ์ ๊ตญํ๋์ด ๊ฐ์ผ
- ์ ์ ์ฆ์ ์์ด ์ ๊ฒฝ ์ฆ์๋ง (Depression, circling, head pressing, visual deficits, progressive tetraparesis, vestibular dysfunction)
3. Diagnosis
- ์์ ์ฆ์ + ๋์ด ๋ฑ์ผ๋ก ์ ์ ์ง๋จ
| Presumptive Dx | |
|---|---|
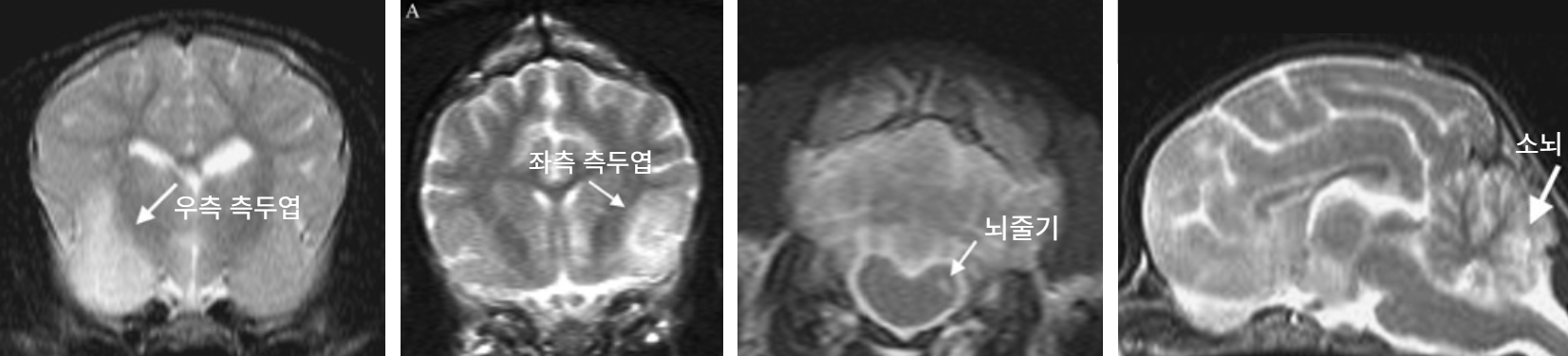
| ์์์ ์ถ๋ก | โ Young โ History : Mild to severeํ ์์ฅ๊ด ๋ฐ ํธํก๊ธฐ ์ฆ์์ด ์ ๊ฒฝ๊ณ ์ฆ์์ผ๋ก ์งํ๋จ โ ํ์ก ๊ฒ์ฌ : lymphopenia, mild thrombocytopenia (๋ฆผํ๊ตฌ, ํ์ํ ๊ฐ์) โ ๋ฐฉ์ฌ์ ๊ฒ์ฌ : interstitial & alveolar infiltrates (๊ธฐ๊ด์งํ๋ ด) โ MRI : T2-Weighted image์์ ๊ตญ์ํ๋ hyperintense ๋ณ๋ณ๋ค ๊ด์ฐฐ (์๋, ๋์ค๊ธฐ, ์๋, ์ฒ์ ๋ฑ) ใ* MRI์ ๋ณ๋ณ ์๋ ๊ฒฝ์ฐ๋ ์์ ใ ![]() |
| CSF ๊ฒ์ฌ | - ๋จํต๊ตฌ ์ฆ๊ฐ (mononuclear cell pleocytosis) & ๋จ๋ฐฑ์ง ๋๋ ์ฆ๊ฐ - ๋์ผ ๋๋ฐ๋ ๊ฒฝ์ฐ ๋ง์ โ ์ด๋ฐ ๊ฐ์์๋ IgG index ์์น (: ํ์ฒญ ๋๋น CSF์ IgG ๋ฐ ์๋ถ๋ฏผ ๋น์จ) - ํ์ฒญ ํญ์ฒด๊ฐ์์ IgG๊ฐ 2-3์ฃผ์ ๊ฑธ์ณ 4๋ฐฐ ์ด์ ์ฆ๊ฐํ๊ฑฐ๋, IgM์ด ๊ฒ์ถ๋๋ฉด ์ต๊ทผ ๊ฐ์ผ ์์ฌ - ๋์ฒ์์ก์์์ ํญ์ฒด titer๊ฐ ํ์ฒญ๋ณด๋ค ๋ ๋๊ฒ ๋์ค๋ฉด โ ๋์์ ํญ์ฒด๊ฐ ์์ฑ๋๋ ๊ฒ, CNS CDV ์ถ์ * ํ์ก์ด ํผ์ ๋์ง ์์ ๋์ฒ์์ก์ผ๋ก ๊ฒ์ฌ (์์์ฑ ์ฃผ์) * ํ์งํ ์ ์๋ ๊ฑด ์๋ค |
| Definitive Dx | โ ๋ฐ์ด๋ฌ์ค์ ์กด์ฌ๋ฅผ ๊ฒ์ฆํด์ผ ํจ! |
|---|---|
| Viral inclusion | ์ธํฌ ๊ฒ์ฌ์์ ๋๋ฌผ๊ฒ ํ์ธ๋ ์ ์์ |
| DFA Staining | (Direct fluorescent antibody staining) - ๊ฐ์ผ 5-21์ผ ์ด๋ด์ - ํธ๋, ํธํก๊ธฐ(๋น๊ฐ ์ ๋ง, tracheal wash ๋ฑ), ๋น๋จ๊ธฐ, ๊ฒฐ๋ง, CSF ๋ฑ์์ ์ฑ์ทจํ ์ธํฌ์ - ํญ์ฒด๋ฅผ ๋ถ์ฌ์ ํ๊ด ์ผ์์ผ๋ก ํ์ธ * ๋ฏผ๊ฐ๋๋ ์ค๊ฐ ์ ๋ |
| Histopathologic evaluation | ํผ๋ถ, ๋ฐ๋ฐ๋ฅ, CNS ๋ฑ์์ ์กฐ์ง ๊ฒ์ฌ |
| Virus isolation | ๊ฑฐ์ ์ ํจ |
| RT-PCR | (Reverse transcriptase polymerase chain reaction) - ํ์ก, CSF, ๊ฒฐ๋ง ๋ฑ์์ RNA๋ฅผ ๊ฒ์ถํด์ PCR - ์ต๊ทผ ๋ฐฑ์ ์ ์ข ํ์ผ๋ฉด ์์์ฑ ๊ฒฐ๊ณผ๋ฅผ ๋ผ ์ ์์. - wild(๊ฐ์ผ)์ vaccine strain ๊ตฌ๋ถํด์ฃผ๋ ์คํ์ค์ ์ด์ฉํ์! |
- Canine distemper : ํธํก๊ธฐ, ์ค์ฌ, ์ ๊ฒฝ์ฆ์ ํจ๋ ๋ฑ์ ํฌํจ๋์ด ์์
4. Treatment
- ๋์ฆ ์ฒ์น๊ฐ ์ค์!
- in vitro ์ฐ๊ตฌ์์ ribavirin (ํญ๋ฐ์ด๋ฌ์ค์ ), interferon alpha, caffeic acid ํจ๊ณผ O
- ์์์ ์ผ๋ก๋ ํจ๊ณผ ๋ถ๋ช ํ์ง ์์
- ๋นํน์ด์ ์ธ ์น๋ฃ
- 2์ฐจ ์ธ๊ท ๊ฐ์ผ(ํธํก๊ธฐ, ์ํ๊ธฐ ๋ฑ)์ด ํํ๋ฏ๋ก ํ์์ ํญ์์ ๋ฅผ ์ฌ์ฉ
- Anticonvulsants : ๋ฐ์ํ๋ ์ค์๋ ์ฐ์ ๊ณต๊ธ์ด ์ ๋๋๋ฐ, ๋ฐ์์ด ์ ์กํ์ง ์์์ ์ํ ์ ์ข์. (๋ฌด๋์ฆchorea myoclonus์๋ ํญ๊ฒฝ๋ จ์ ํจ๊ณผ ์์)
- Glucocorticoid : ๋ง์ฑ CDV ๊ฐ์ผ์ ์ํ ์ ๊ฒฝ์ฆ์ ํ์์์ ํจ๊ณผ๊ฐ ์๋ค๋ ๋ณด๊ณ ๊ฐ ์์ผ๋, ๋
ผ๋์ ์ฌ์ง๊ฐ ์์.
- ๊ธ์ฑ ๊ฐ์ผ์์๋ ์ฌ์ฉ์ ํผํ๋ ๊ฒ์ด ์ข์!
- Prognosis : poor
- ์ด๋ฆฐ ๊ฐ์์๋ ์ฝ 80%, ์ฑ๊ฒฌ์์๋ ์ฝ 50%๊ฐ ์ฌ๋งํ ์ ์์.
5. Prevention & Zoonotic
์ธ์๊ณตํต๊ฐ์ผ๋ณ์ ์๋
- ๊ฐ๋ผ๋ฆฌ ์ ์ ์ผ๋๋ฏ๋ก ์ฃผ์.
- ๋ณ์์ฒด ํน์ฑ์ ๊ฒฉ๋ฆฌ์ ์์ ๊ด๋ฆฌ๊ฐ ํจ๊ณผ์ !
- ์ฒด๋ด์์๋ ์ค๋ ์์กดํ๋,
- ์ฒด์ธ์์๋ body temperature(37๋)์์ 1์๊ฐ, room temperature(20๋)์์ 3~4์๊ฐ ์ ๋๋ง ์์กด.
- ๋๋ถ๋ถ์ ์๋ ์ ์ ์ฝ๊ฒ ์ฌ๋ฉธ๋จ.
Vaccine
- DHPPL ๋ฐฑ์ ์ ํฌํจ๋์ด ์์.
- 6
16์ฃผ๋ น์ 34์ฃผ ๊ฐ๊ฒฉ์ผ๋ก ์ต์ 3ํ ์ ์ข , ๋ง์ง๋ง ์ ์ข ์ 16์ฃผ๋ น์ ์ํ. (๊ณ ์ํ๊ตฐ์ 18-20์ฃผ๋ น๊น์ง) - 1๋ ํ ์ถ๊ฐ ๋ถ์คํ , ์ดํ 3๋ ๋ง๋ค ๋ฐ๋ณต ๋ถ์คํ ๊ถ์ฅ (์ฐ๋ฆฌ๋๋ผ๋ 1๋ ๋ง๋ค ์ ์ข ํ๋ ๊ฒฝ์ฐ๋ ๋ง์).
- ๋๋ถ๋ถ modified-live(์๋ ) ๋ฐฑ์ ์ฌ์ฉ / ๋ชจ์ฒด์ดํํญ์ฒด ๊ฐ์ญ์ ๊ทน๋ณตํ ์ ์๋ ์ฌ์กฐํฉ ๋ฐฑ์ (recombinant CDV)๋ ์์.
-
Live vaccine์ ํญ์ฒด๋ฅผ ๊ฐํ๊ฒ ํ์ฑํด์ ์ฌ๋งํ๋ฉด ํจ๊ณผ ์์ง๋ง,
-
๊ฐ๋ ๋ฐฑ์ ์ ์ข ํ์๋ ๋ฐ๋ณํ๋ ๊ฒฝ์ฐ ์์.
- ์์ฃผ์ ๋ฉด์ญ ์ต์
- ๋ฐฑ์ ์ ์ ์ด๋ฏธ ๊ฐ์ผ๋์๊ฑฐ๋,
- ๋ชจ์ฒด์ดํํญ์ฒด์ ๊ฐ์ญ์ผ๋ก ํญ์ฒด๊ฐ ์ ๋๋ก ํ์ฑ๋์ง ์์์ ๋
- ๋ถ์์ ํ ์ ์ข (3ํ ์ค 1~2ํ)
- ๋ฐฑ์ ์ด ์๋ชป ๋ณด๊ด๋จ
- ํน์ดํ ๋ณ์ด์ฃผ ๊ฐ์ผ; ๋ฐฑ์ ์ด ๋ชจ๋ ์ผ์ธ์ฃผ(strain)๋ฅผ ์๋ฒฝํ ์ปค๋ฒํ์ง ๋ชปํจ
-
Distemper + Parvo ๋์ ๊ฐ์ผ:ย ์ค์ฌ๊ฐ ๋๋ฐ๋ ๊ฒฝ์ฐ ํ๋ณด ๋์ ๊ฐ์ผ์ผ ์ ์์ผ๋, ์๋ ๋ฐฑ์ ์ ๋ฏธ๋ฃจ๊ณ , ์ฌ์กฐํฉ ๋ฐฑ์ ๋ฑ์ ์ด์ฉํ์
-
๋ฐฑ์ ์ ์ข ํย ๊ฒฝ๋ฏธํ๊ณ ์ผ์์ ์ธ ํ์ํ ๊ฐ์(thrombocytopenia)๊ฐ ๋ํ๋ ์ ์์ผ๋, ํฐ ๋ฌธ์ ๋ ์๋ (์ ์ฒ์ ์๊ณ ๊ณ ์งํ ์๋ ํ)
