1. Heart variation
- ํ์ข ์ ์ฒดํ์ ๋ฐ๋ผ ์ฐจ์ด๊ฐ ์์. (๋น์ ์ ์๊ฒฌ์ด๋ผ๊ณ ์ค์ธ X)
| General | ![]() | ![]() | ![]() | ![]() |
|---|---|---|---|---|
| Pug : ํ๊ฐ์ด ๋๋ค. : ์ฌ์ฅ์ด ๋ฅ๊ธ๋ค. | ![]() | ![]() | ![]() | ![]() |
| Irish Setter : ํ๊ฐ์ด ์ข๋ค. : ์ฌ์ฅ์ด ๊ธธ์ญํ๋ค. | ![]() | ![]() | ![]() | ![]() |
Cardiac silhouette
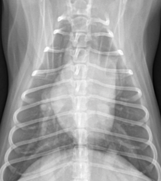
| VHS | Vertebral heart score.![]() | ์ฌ์ฅ ํฌ๊ธฐ์ ์ฒ์ถ๋ผ์ ๋น๊ต. - ์ฅ์ถ : carina์ ventral border์์ ์ฌ์ฅ์ apex๊น์ง (fat ํฌํจํ๋ฉด ์ ๋จ) - ๋จ์ถ : ์ฅ์ถ๊ณผ ์์งํ๊ฒ, CVC ๊ทผ์ฒ์์ ๊ฐ์ฅ ๋์ ๋ฒ์ โ T4 ๋งจ ์์ชฝ๋ถํฐ ์ฅ์ถ/๋จ์ถ ๊ธธ์ด๋งํผ ๊ฐ์ ๋ ์ฒ์ถ๋ผ์ ๊ฐ์๋ฅผ ๋ํจ. Dog : 8.5 Cat : 6.7 |
| VLAS | Vertebral left arterial size![]() | ์ข์ฌ๋ฐฉ์ด ์ผ๋ง๋ ์ปค์ก๋์ง ํ๋จ ์ํด ๋์
๋ ์งํ. carina์ 6์ ๋ฐฉํฅ (ventral aspect) ๋ถํฐ CVC์ dorsal border ๊น์ง ๊ธธ์ด๋ฅผ ์ธก์ โ T4 ๋งจ ์์ชฝ๋ถํฐ ๋ค๋ก ๋ช ๊ฐ์ ์ฒ์ถ๋ผ๊น์ง ํด๋น๋๋์ง ํ์ธ. VLAS > 2.3v โ ์ด ์ด์์ด๋ฉด LA enlargement |
| ICS | ๋๋์ค์ผ๋ก ํ๋ณ <๊ฐ> 2.5~3.5 ICS <๊ณ ์์ด> 2.0 ICS | |
| CTR | Cardiothoracic ratio | ๊ฐ์ฅ ๋์ ์ง๊ฒฝ / ๊ฐ์ ์์น์ ํ๊ฐ ๊ธธ์ด. 0.5-0.66 (1/2-2/3)์ด ์ ์. |
Cardiac remodeling
- Preload โ Volume overload โ eccenteric hypertrophy
- MVI, TVI, MMVD
- PDA, VSD, ASD
- โenlargementโ
- Afterload โ Pressure overload โ concentric hypertrophy
- PS, AS, MS(Mitral)
- Systemic hypertension
- Pulmonary hypertension (HW, PTE)
- โbulgingโ
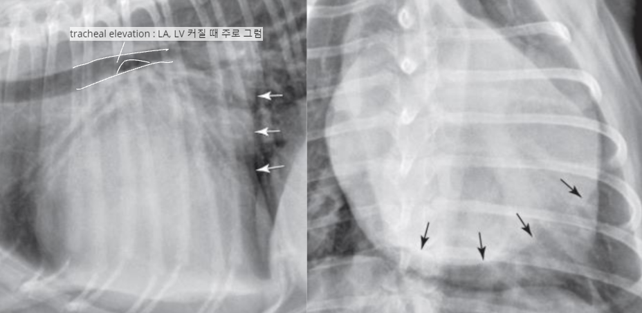
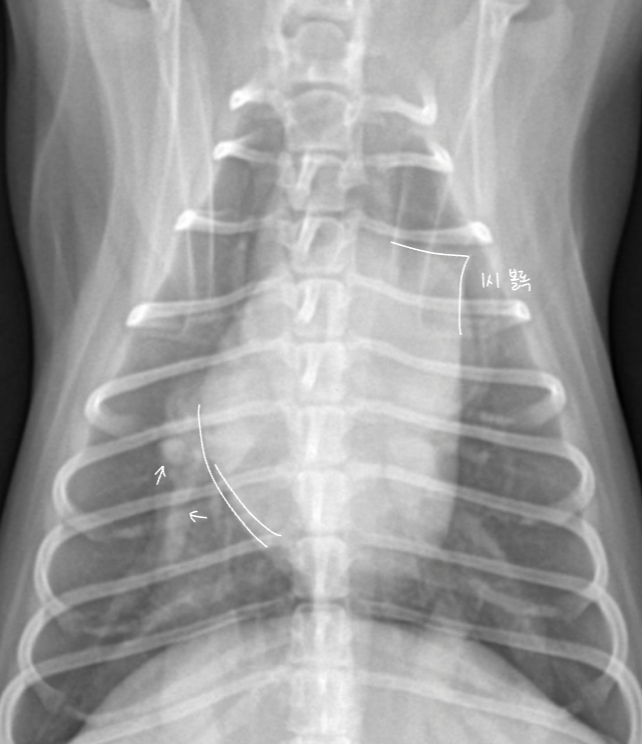
| LA enlargement |
|---|
| - wing sign, backpack sign - bow-legged cowboy sign - double wall sign HCM์์ ์ ๊ด์ฐฐ๋๋ค. |
![]() ![]() |
| Generalized cardiomegaly |
|---|
| RA, RV, LA, LV๊ฐ ๋ค ์ปค์ง โ Globoid heart |
| - Pericardial effusion - ์ฌํ ์์ชฝ ์ฌ์ฅ๋ณ (MVI + TVI) - PPDH (Peritoneopericardial diaphragmatic hernia) - Cardiomyopathy (DCM) - Anesthesia, bradycardia |
![]() |
| Microcardia |
|---|
| ICS < 2.5 |
| Hypovolemia, shock, dehydration, Addisonโs dz, Canine hypoadrenocorticism ๋ฑ |
![]() |
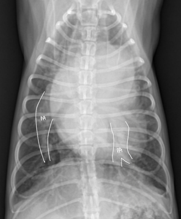
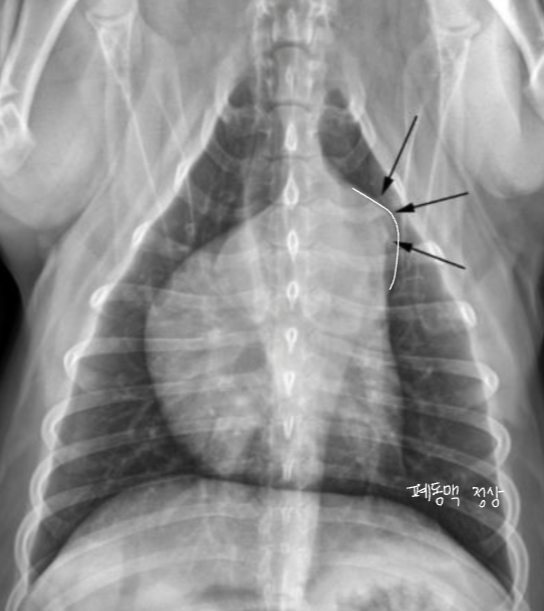
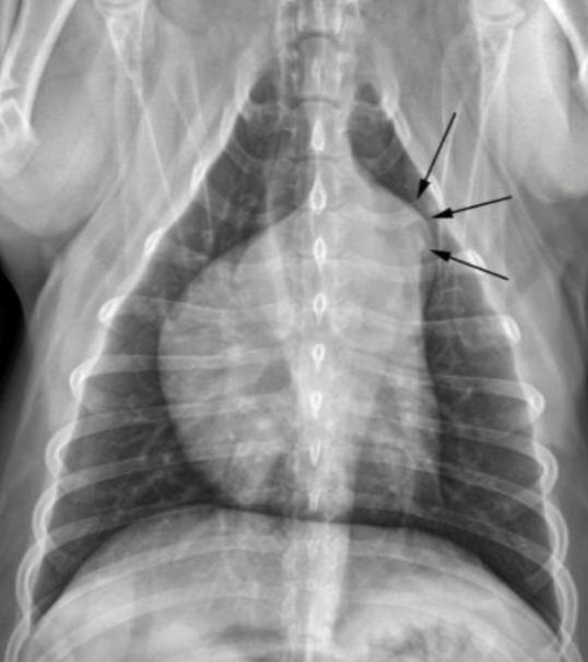
| mPA enlargement |
|---|
| 1์ ๋ฐฉํฅ์ bulging โReversed D signโ (์ค๋ฅธ์ชฝ ์ฌ์ฅ๋ณ) |
| PH (PTE, HW, PDA) PS |
![]() ![]() |
2. Heart diseases
Congestive Heart failure
| CHF (Congestive Heart Failure, ์ธํ์ฑ ์ฌ๋ถ์ ) |
|---|
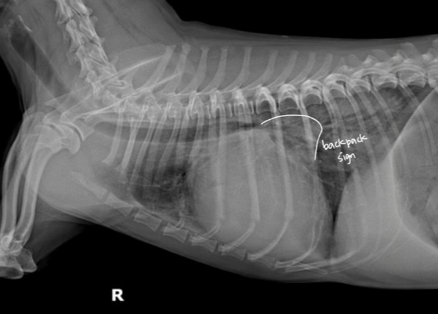
| 1) LCHF |
| LV โ LA โ Pulmonary vein hypertension โ lung โ PA |
| Radiographic signs - Pulmonary edema - PV enlargement - (cats) pleural effusion, patch alveolar pattern - LA enlargement (backpack sign, double wall sign) - alveolar pattern |
![]() ![]() |
| 2) ==RCHF== |
| lung, PA โ RV โ RA โ CVC โ peritoneum |
| ๊ธฐ์ ์ฐ์ฌ์ค์์ ํ๋๋งฅ์ผ๋ก ํ์ก์ ์ถฉ๋ถํ ๋ด๋ณด๋ด์ง ๋ชปํด, ์ฐ์ฌ๋ฐฉ๊ณผ ์ฒด์ํ ์ ๋งฅ์ ํ์ก์ด ์ ์ฒด๋จ. |
| ์์ธ - ์ข์ฌ๋ถ์ โ ํ๊ณ ํ์ โ ์ฐ์ฌ์ค ๊ณผ๋ถํ โ ์ฐ์ฌ๋ถ์ ๋ฐ์ - PS, PH, TVI ๋ฑ์ผ๋ก ์ธํด ๋ฐ์ (=๋ํ ์ง๋ณ) |
| Radiographic signs - RA, RV enlargement - mPA bulging (reversed D) - Bilateral pleural effusion (interlobar fissure, scallop sign.. ๋ฑ) - Ascites, Edema, CVC dilation, Hepatosplenomegaly |
MVI = MMVD (Myxomatous mitral valve disease)
| MMVD (Myxomatous mitral valve disease, ์ด์ฒจํํ์๋ถ์ ์ฆ) |
|---|
| 1) LAE(left atrium enlargement), LAp ์ฆ๊ฐ - ์ข๋ ์ ํํ๊ฒ๋ eccentric hypertropy 2) ์ฐ์์ ์ผ๋ก LVE (left ventricle enlargement) 3) PVp ์ฆ๊ฐ, pulmonary edema ๋ฐ์ 4) Tachycardia, preazotemia 5) Pulmonary hypertension |
Dilated Cadiomyopathy
| DCM |
|---|
| ๋ํ๊ฒฌ์์ commonํ๋ค. Volume overload. Eccentric hypertrophy. - Generalized cardiomegaly - LV Eccentric enlargement - LAE - PV dilation - RCHF ๊ฐ๋ฅ |
| HCM |
| ์ข์ฌ์ค์ด ๋น์ ์์ ์ผ๋ก ๋๊บผ์์ง. ๊ณ ์์ด์์๋ ๋๋ถ๋ถ ์ ์ ์ฑ. LV concentric hypertrophy (X-ray ๊ด์ฐฐ ์ด๋ ค์) Radiographic sign : LAE, valentine shaped heart |
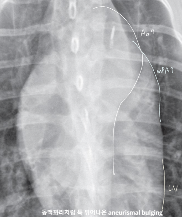
Patent Ductus Arteriosus
| PDA |
|---|
| ํ์๋์์ด์ผ ํ ๋๋งฅ๊ด์ด ์ด๋ ค ์๋ ์ํ |
| Radiographic sign - [3 bumps] Ao bulging, mPA bulging, LA&LV enlargement (Ao์ mPA๊ฐ ๊ฐ์ด ์ปค์ง๋ ๊ฑด PDA๋ฐ์.) |
![]() ![]() |
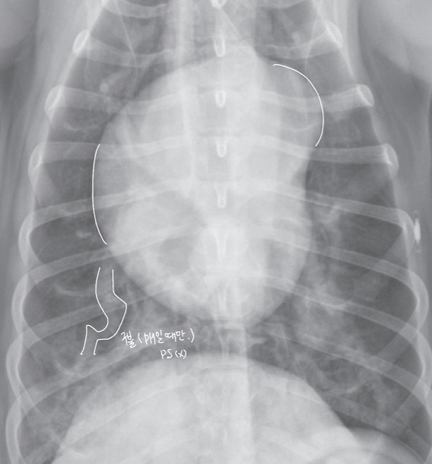
Pulmonic stenosis, Pulmonic hypertension
| PS | PH (โ HW) | |
|---|---|---|
| ํ๋๋งฅ ํ์ฐฉ์ฆ. ํ๋ง์ด ์ข์์ง๋ ์งํ. ์ข์์ง ๋ถ์์ ๋ค์ ๋ถ๋ถ์ด ํ๋ฅ๋ก ์ธํด ์๊ทน๋์ด ํ์ฅ. ํ์ก์ ๋ด๋ณด๋ด๊ธฐ ์ํด ์ฐ์ฌ์ค ์๋ ฅ ์ฆ๊ฐ, ๋น๋. ์ฐ์ฌ๋ฐฉ โ ์ฐ์ฌ์ค๋ก์ ํ๋ฅ ์ฅ์ ๋ก ์ธํด ์ฐ์ฌ๋ฐฉ๋ ๋น๋. | ์ฃผ ์์ธ์ ์ฌ์ฅ์ฌ์์ถฉ. - ๋ง๋จ ํ๋๋งฅ์ด ๋๊บผ์์ง๊ณ , ๊ตฌ๋ถ๊ตฌ๋ถํด์ง. - ํ๋๋งฅ ์๋ ฅ ์์น โ RV hypertrophy โ RA enlargement | |
| Radiographic sign - mPA bulging (1์ ๋ฐฉํฅ) : Reversed D - RVE, RAE - post-stenotic dilation : ๊ตญ์์ ์ผ๋ก ๋ฐ์, ๋ง๋จ ํ๊ด์ ์ ์ - ํ๋๋งฅ์ ์ ์์ธ ๊ฒ์ด ํน์ง (PH๋ ํ๋๋งฅ ์ปค์ง) | Radiographic sign - mPA ํ์ฅ โ Reversed D sign - RV hypertrophy - Pulmonary artery enlargement, tortuosity - RCHF์์์ฒ๋ผ Hepatomegaly, ascites, pleural effusion | |
![]() | ![]() | |
![]() | ![]() |
Aortic stenosis
| AS (๋๋๋งฅ ํ์ฐฉ์ฆ) |
|---|
| ํ๋ง ์๋๋ถ์๊ฐ ์ข์์ง. |
| - Ao bulging, post-stenotic dilation - LV concentric hypertrophy - ์ด์ฐจ์ ์ผ๋ก LA enlargement * ์์ถ๊ธฐ ์ฌ์ก์ ์ฒญ์ง |
| PDA์ ๋ฌ๋ฆฌ mPA ํ์ฅ์ ์์ผ๋, PS์ ํจ๊ป ๋ํ๋๋ฉด ๋น์ทํ ์๊ฒฌ. |
![]() ![]() |





























