Uncommon Immune-Mediated Disease 7) Systemic Lupus Erythematosus
1. Etiology
- ํํ์ง ์์ผ๋, ์ด๋ฆ์ ๋ง์ด ๋ฑ์ฅํ๋ ์ง๋ณ..
- Multisystemic immune disorder
- Type โ
์ ์ธํ๊ณ Type โ
ก, โ
ข, โ
ฃ ๋ชจ๋ ํด๋นํ ์ ์์.
- Type โ ก hypersensitivity : Hematologic, IgG & IgM
- Type โ ข hypersensitivity : immune complex ์นจ์ฐฉ
- Type โ ฃ : ๊ทผ์ผ์ ๋๋ฐํ๋ ๊ฒฝ์ฐ
- ์์ธ์ด ์ ๋ฐํ์ง์ง ์์.
- CD4/CD8 ratio์ ์ฆ๊ฐ, T-cell์ ๊ณผ๋ฐํ, lymphopenia ๋ฑ์ด ๋ํ๋๋ ๊ฒ์ ๋ณด์ ==T-suppressor cell์ ๊ฒฐ์์ผ๋ก ์ถ์ ๋จ==.
- MHC type๊ณผ๋ ๊ด๋ จ ์์ ๊ฒ์ผ๋ก ์์.
- environmental factor, ํน์ ๊ฐ์ผ์ฒด๋ ์ฝ๋ฌผ์ ๋ํ ๋ ธ์ถ๋ risk factor
- Heritable (์ ์ ์ฑ ์กด์ฌ) - but ๋จ์ ์์ผ์์ฒด ์ ์ ์ X
- ํ์ข
์์ธ : German Shepherd dog, Shetland Sheepdog, Collie, Beagle, Poodle.. ์ข ํฐ ์ ๋ค
์ ๋จผ์ ฐํผ๋์ ํธ๋ค์ ITP์ ๊ฒน์นจ / English ๋ง๊ณ Shetland / ๋น๊ธ์ด๋ ์ฝ๋ฆฌ ์ถ๊ฐ
2. Clinical Features
- ๊ฐ์์ ๊ฐ๋ ์์(uncommon), ๊ณ ์์ด์์ ๊ฑฐ์ ์์(rare)
- ๊ฐ์์,
- ๋ ธ๋ น์ฑ ์ง๋ณ์ ์๋. Middle-aged (1-11๋ ๋ น)
- ์ฑ๋ณ ์์ธ X
- 2๊ฐ ์ด์์ ์ฅ๊ธฐ์ ์ํฅ์ ๋ฏธ์น๊ณ , ๊ทธ์ ๋ฐ๋ผ ์์ ์ฆ์์ด ๋ค์.
์์ ์ฆ์
- Fever : ์ด์ ๋ฌด์กฐ๊ฑด
- ๊ด์ : nonerosive polyarthritis ์ ๊ฐ์ด - Lameness, joint swelling
- ์ ์ฅ : ์ฌ๊ตฌ์ฒด์ ์ผ โ Proteinuria, ์ฝฉํฅ ๊ธฐ๋ฅ ๋ถ์ ์ฆ์ (์ฒด์ค ๊ฐ์, ๊ตฌํ , ๋ค์ ๋ค๋จ)
- ํผ๋ถ ์ฆ์ : photosensitization, alopecia, erythema, ulceration, crusting, hyperkeratosis, pemphigus(์ฒํฌ์ฐฝ) ์์ฌ ์๊ฒฌ.. ๋ค์
- ์ฉํ์ฑ ๋นํ, PRCA, thrombocytopenia, leukopenia, myositis, pleuropericarditis, laryngeal paralysis, CNS signs
์ด๋ ์ฅ๊ธฐ์์ ๊ฑธ๋ ธ๋์ง์ ๋ฐ๋ผ ์ฆ์์ด ๋ค๋ฅด๊ฒ ๋ํ๋จ. ์ด, ๊ด์ ์ผ > ์ ์ฅ, ํผ๋ถ ๊ด๋ จ
- ์ด๋ค ์ฅ๊ธฐ์์๋ ๋ค ์๊ธธ ์ ์๋ค๋ ์ . ์ฆ์์ด ๊ด๋ฒ์ํ๊ณ , ํผ์ผํธ๊ฐ ๋ค์ํ๋ค.
- ์ ๊ฒฝ๊ทผ์ก ๊ด๋ จ ์ฆ์ โ ์ ํ๊ตฌ, ํ์ํ ๊ด๋ จ ์ฆ์.
- ๊ณ ์์ด์์) ํผ๋ถ์ ๊ด๋ จ๋ ๋ณ๋ณ์ด ๋น๊ต์ ํํ๊ฒ ๋ฐ์.

3. Diagnosis
- 2๊ฐ ์ด์์ ์ฅ๊ธฐ์ ๋ฉด์ญ๋งค๊ฐ๋ก ์ธํ ์ง๋ณ์ ์ฆ๊ฑฐ๊ฐ ์์ด์ผ ํ๋ค.
- ์ํฅ์ ๋ฐ์ ์ฅ๊ธฐ ๊ด๋ จ ๋ค์ํ ๊ฒ์ฌ - ํ์๋ง๋ค ๋งค์ฐ ๋ค๋ฆ.
- ๊ณ ์์ด์์ ๊ฐ๋ณํด์ผ ํ๋ ๋ฐ์ด๋ฌ์ค
- FeLV (feline leukemia virus)
- FIV (feline immunodeficiency virus)
- FIP (feline infectious peritonitis)

- ANA test, LE test๊ฐ ์ ์ฉ
- [2 major sign + ANA/LE ์์ฑ] ์ด๊ฑฐ๋, [1 major + 2 minor + ANA/LE ์์ฑ] ์ด๋ฉด ํ์ง
- [1 major or 2 minor + ANA/LE ์์ฑ] ์ด๊ฑฐ๋, [2 major + ANA ์์ฑ] ์ด๋ฉด ์์ฌ
- ์์ฌ๋๋ ์ํฉ์ ๋ํด ์ฝ๋ฌผ ์น๋ฃ ๋ฑ์ ์ฐ๋ฉด์ ์น๋ฃ
ANA test
- ์๋์ ์ผ๋ก ๋ฏผ๊ฐํจ. (์ง๋จ ์์ฒด๊ฐ ์ฝ์ง ์์๋ฐ, ๊ทธ๋๋ง..)
- ์์์ฑ ๊ฒฐ๊ณผ ์๊ฐ๋ณด๋ค ๋์. (10-20%)
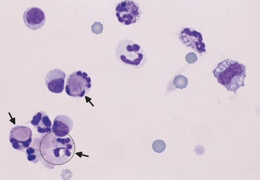
LE test
- ๋งค์ฐ ํน์ด์ ์ด๋, ์์์ ์ผ๋ก ์ ์ด์ฉ๋์ง ์๋๋ค.
- ๋ถ์ฝ์ด ์ ๋ ํต๋ค์ด ๊ฐ์ฅ์๋ฆฌ๋ก ์น์ฐ์ณ ์๋ ์ธํฌ.
4. Treatment
- PDS (1-2mg/ko PO q12h)
- ๋ณด์กฐ ๋ฉด์ญ์ต์ ์ (Azathioprine, cyclosporine, mycophenolate)
- ์ํ๊ฐ ์ข์ง๋ ์๋ค.
- ์น๋ฃ๊ฐ ์ ๋์ด๋ ์ฌ๋ฐ์ด ํํจ.
- ํ์ ์ฝ์ ๋จน์ด์ผ ํจ.
- A, B ์ฅ๊ธฐ์ ์๊ฒผ๋ค๊ฐ, ์ฌ๋ฐ ์ C ์ฅ๊ธฐ์ ์๊ธฐ๋ ์.
- ์ ์ ๊ด๋ฆฌ๊ฐ ์ด๋ ค์. ์๋ฝ์ฌํ ๋๋ ์๊ณ , ํ์ ์ผ๋ก ๊ธ์ฌํ ์๋ ์์.
- ๊ถค์ ์๊ธฐ๊ณ , ์ง๋ฌผ์ด ๋๊ณ , ์ ๋ชป ๊ฑท๊ณ , ํผ ๊ณ์ ๋๊ณ .. ๋ณดํธ์์ ๋ง์์ด ์ํ ์ง๋ณ..
