5-6주차: Diagnotic Tests for Low Respiratory Tract (1)
🔷 흉강 청진 (Thoracic ascultation)

1번 위치 청진 (Trachea near the larynx)
- 비강과 인두의 snoring(코골이 같은 거친 소리), snorting(킁킁거리는 소리) 들을 수 있음.
Elongated soft palate, mass lesions, excessive mucus or exudate 있는 경우 - Obstructive laryngeal conditions,
- Collapse of extrathoracic trachea (흉부 바깥쪽 경부 기관) 도 파악 가능
- 상부 호흡기 질병이 있으면, 흡기 시 위쪽에 음압이 걸려 비정상적인 큰 소리가 날 수 있음.
2-4번 위치 청진 (Lung)
폐의 정상 위치
- 앞쪽으로는 thoracic inlet, 뒤쪽으로는 7th rib, 배쪽으로는 sternum, 등쪽으로는 11th ICS까지 확장되어 있음.
정상 폐음
- “bronchial” sounds - 기관지에서 부드러운(fine) 소리
- “vesicular” sounds - 작은 기관지에서 공기가 흐르며 나는 소리, 더 부드러움
- “tubular” sounds - 심장 근처로 갈수록 louder, harsher (큰 기관지가 많음)
- 폐음 감소 :흉수(pleural effusion), 기흉(pneumothorax), 횡격막 탈장(diaphragmatic hernia), 폐종양(mass) 있을 때 좌우의 폐음이 달라질 수 있음.
- 폐음 증가 : consolidated lung lobes, mass lesions
비정상 폐음
- Crackles : 종이를 구겼다가 펴는 소리
- 정상 폐음과 같이 들릴 수 있음
- 폐수종에서 잘 들림 (폐수종 환자들은 검게 채워져 있어야 할 공간이 하얗게 채워져 있음; alveolar pattern)
- x-ray로 폐수종이 명확하게 진단되지 않을 때
- Wheezing : 좁은 빨대에 공기 지나가는 소리
- 기관지가 두꺼워졌을 때, 좁은 기도로 인해 발생 (기관지협착증)
- 천식 환자에서 많이 발생 (천식=알러지 반응으로 인해 기관지 두꺼워짐)
- 천식 - 검정 공간 사이에 하얀색 동그라미들이 명확히보임, 두꺼워진 벽이 나타나는 것
- 고양이 천식
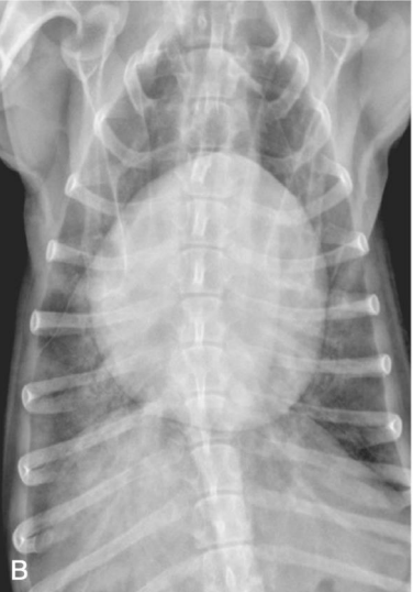
Radiography
- 방사선은 최대 흡기 기준 (maximal inspiration)
- 호흡이 너무 안 좋으면 그냥 DV로 엎드려 찍기도 한다
- 흡호기에 따라 차이가 심하다? 비정상, tracheal collapse로 진단
🔷 Thoracic radiography 해석하기

검은색 배경 : 폐포 (공기를 머금어서)
거미줄처럼 이어진 것 : interstitium (간질)
V : 혈관
검은 줄 : 기관지
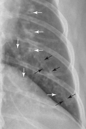
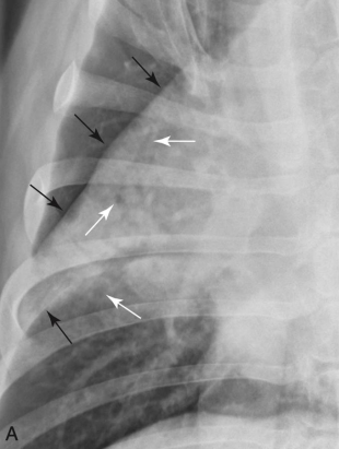
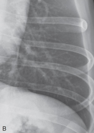
Bronchial signs

Tram line
Doughnuts
기관지벽 두꺼워질 때 보이는 sign
폐 말단으로 갈수록 깨끗한 게 정상
말단에도 tram line 보이면 비정상
VS. 
(왼쪽이 정상, 말단으로 갈수록 깨끗. 말단에도 tram line 보이는 오른쪽은 비정상.)

흰색: doughnuts, 검은색: trams)
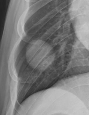
dpseh voxjs?
혈관과 이어져 흰색 점으로 보이는 패턴
혈관이 없는데 뜬금없이 있는 흰 점? 전이된 종양
말단에는 큰 혈관이 없으니까 엔돈 패턴이 생길 수 없다

기관지가 엄청 넓을 때 bronchiectasis
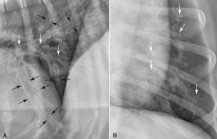
Lobar sign
alverolar pattern이 한 엽에만 진하고 뚜렷하게 나타났을 때.


흰색 부분에 alveolar pattern 뚜렷
Alveolar pattern
- 언제?
- 무기폐, 폐렴,. .
- 생명과 관련 있는 질병과 밀접하여, 가장 중요
perihilar region에서 pattern- 고양이 : 전반적으로 지저분하게 찬 모습
- 고양이 폐수종의 전형적 : 좀 지저분하게 나타남, 다른 패턴과 헷갈림
- 폐가 쪼글어들어
- 오연성 폐렴 (
Pattern 요약
| Pattern | |
|---|---|
| Brochial pattern | 기관지벽이 두드러지게 보이면 |
| Alveolar pattern | 검은색 배경이 하얗게 되면 |
| Nodular pattern | 흰색 점이 생기면 |
결절

여러 개의 결정이 작았는데 점점 커짐 - >폐 종양성 전이
