KEY Points
- ์ ์ ํด๋ถํ ๊ตฌ์กฐ๋ฅผ ์ดํดํ๋ค.
- ์์ธ์ ๋ฐ๋ฅธ radiographs์ ์ฐจ์ด๋ฅผ ์ดํดํ๋ค.
- Normal variation๊ณผ abnormal finding๋ฅผ ๊ตฌ๋ณํ ์ค ์๋ค.
1. Normal Anatomy
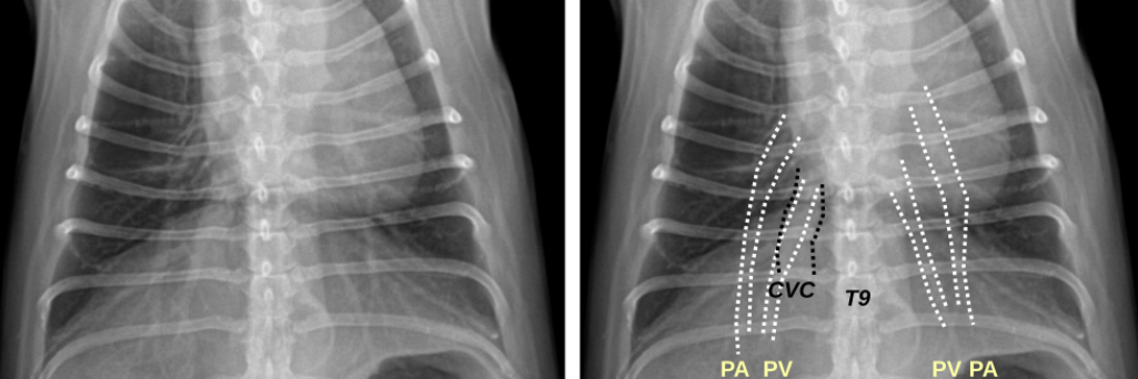
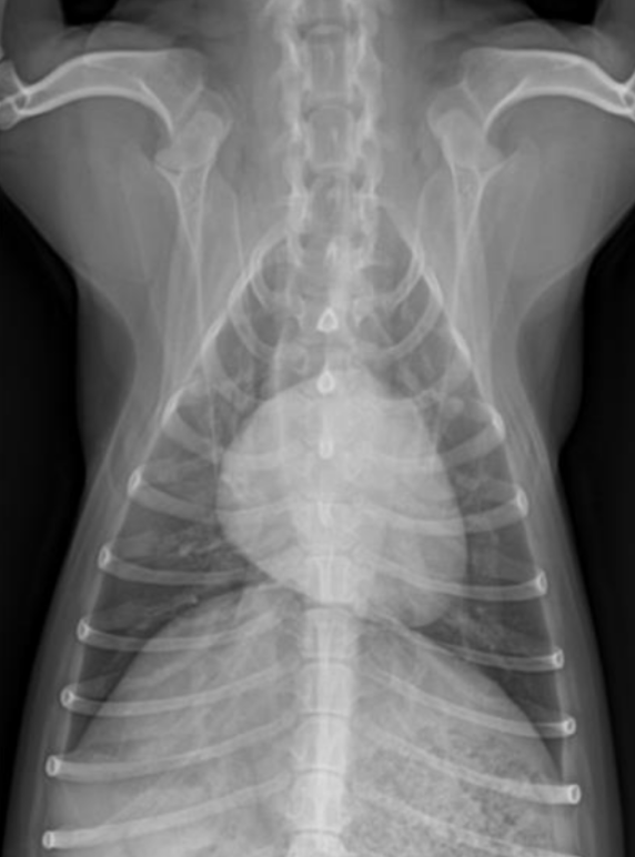
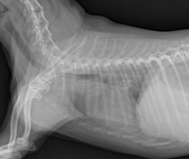
| Thorax | |
|---|---|
![]() | ![]() |
![]() | ![]() |
![]() | ![]() |
![]() | ![]() |
| Airways |
|---|
![]() |
| ์ ์์ ์ธ ๊ณต๊ธฐ์ ํ๋ฆ : Trachea - Bronchus - Bronchioles - Lung |
| Upper respiratory system |
|---|
![]() |
![]() |
![]() |
2. ํ๋ถ ๋ฐฉ์ฌ์ ํ๋ ์ ์ฃผ์ ํฌ์ธํธ
- ๊ฐ๋น๊ฐ ์์ชฝ์ผ๋ก ๊ฒน์น๊ฒ ์ฐ์ด์ผ ํจ.
- ํ๋ถ๋ ํก๊ธฐ์ ์ฐ์ด์ผ ํจ. (์๋๋ฉด ํก๊ฒฉ๋ง๊ณผ ์ฌ์ฅ์ด ๊ฒน์น ์ ์์.)
- ๋ณต๋ถ๋ ํธ๊ธฐ์ ์ดฌ์.
3. Positioning
๊ธฐ๋ณธ ์์น
- ์ฒ์ถ๋ผ์ ํ๊ณจ์ ๊ฒน์น๊ฒ ์ฐ๋๋ค.
- RL์ด ๊ธฐ๋ณธ ์์ธ์ด๋ค.
| RL (Right Lateral) | LL (Left Lateral) |
|---|---|
![]() | ![]() |
| ๋ ovalํจ. | ์ฌ์ฅ์ด ๋ ๋ฅ๊ธ๊ฒ ๋ณด์(round). |
| ๋ํ ์ผํ ์ฌ์ฅ ๊ด์ฐฐ์ ์ข์. | ํํ๊ด ์ดฌ์์ ์ข์. |
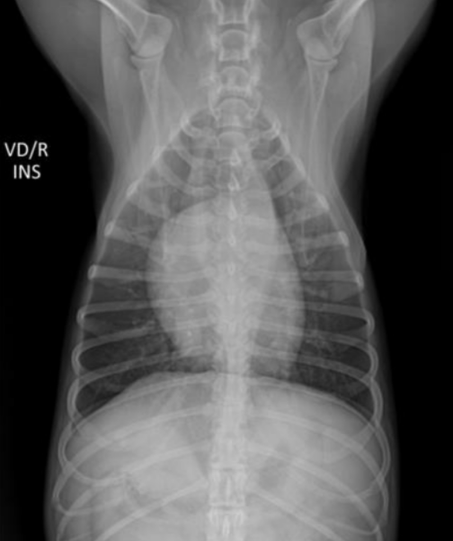
| DV (Dorso-ventral) | VD (Ventro-dorsal) |
|---|---|
![]() | ![]() |
| ์ฌ์ฅ ๊ด์ฐฐ์ ์ข์. | ํ ๊ด์ฐฐ์ ์ข์. |
| ๊ธฐํ ์์ ๋ ์ข์. (pleural air) | ํ์ ์์ ๋ ์ข์. (pleural fluid) (๋ฐ๋ฅด๊ฒ ๋์ธ ์ผ๊ฐํ ๋ชจ์ - ํ์๊ฐ ์๋-์์ผ๋ก ํผ์ง) |
| ์๊ธ ํ์์์ ํ์. (์๋ ์์ธ ๊ทธ๋๋ก) |
4. Normal variation
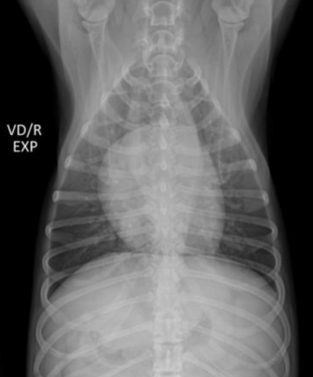
| Inspiration | Expiration |
|---|---|
![]() | ![]() |
| - ํ ๋ถ๋ถ์ด ๋ opaque (๋ฟ์๊ฒ ๋ณด์) | |
![]() | ![]() |
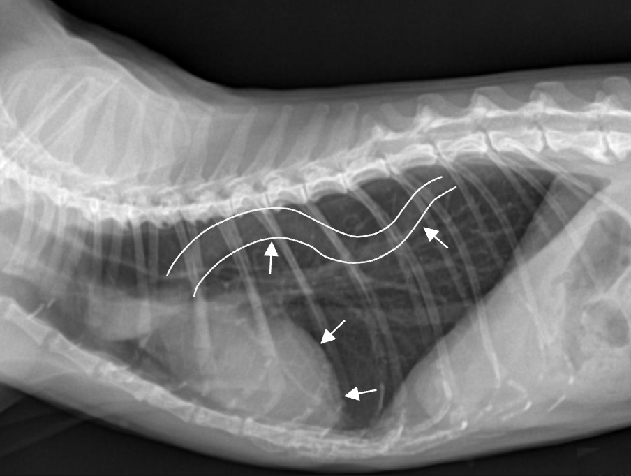
| - ํก๊ฒฉ๋ง์ด ๋ ์๋ก ์ฌ๋ผ์ ์ฌ์ฅ๊ณผ ๋ถ์ด ์์. |
| Normal variation |
|---|
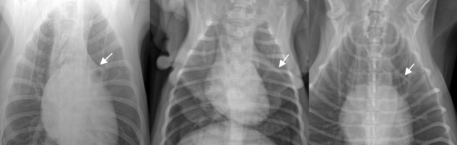
Thymus (sail sign)![]() - ์ด๋ฆฐ ๋๋ฌผ์์ thymus๊ฐ ๋จ์์๋ ๋ชจ์์ โsail signโ์ด๋ผ๊ณ ํจ. (๋ชจ์์ ๋ค์) |
| Skin fold - ๊ธฐํ๊ณผ ํท๊ฐ๋ฆฌ๊ฒ ์๊ฒผ์ง๋ง, ์์ธํ ๋ณด๋ฉด ๋ฐ๊นฅ์ด๋ ์ด์ด์ง๊ณ ์์. |
CCJ (costso-chondral junction) ![]() - ํ๊ฒฐ์ ๊ณผ ์ค์ธํ์ง ์๋๋ก. - ๋ฅ์คํํธ์์๋ ๊บพ์ด์ ๊ด์ ํ๊ธฐ ๋๋ฌธ์ ๋ ๋๋๋ฌ์ง. |
| Retrosternal fat accumulation : ์ฌ์ฅ ๊ทผ์ฒ์ ์ง๋ฐฉ์ด ์ฐฐ ์ ์๋ค. |
Pulmonary osseus metaplasia : ํ์ ์ํํ (๋
ธ๋ น์ฑ)![]() (ํ์ ์ด์ ๋นํด ๋๋ฌด ์๊ณ , opacity๊ฐ bone์ ๋ ๊ฐ๊น์) |
Knob sign ![]() - ๋์ด ๋ง์ ๊ณ ์์ด์์ ๋๋๋งฅ์ด ๊ตฌ๋ถํด์ง๊ณ , ์ฌ์ฅ์ด ๋์. |























