1 - 면역매개질병의 진단적 접근?
(1) 임상 증상 확인 (Clinical presentation)
(2) 병력 청취 (Complete history)
- 환경/약물 노출, 사전 병력, 감염원의 노출, 백신 여부 등
(3) 신체 검사
(4) 감별 진단
- MDB(Minimal database) : 2.1.1 CBC (Complete Blood Count), serum biochemical profile, urinalysis
- 면역매개질병은 일반적으로 fever, leukocytosis를 동반하므로,
- 유사한 양상을 나타낸는 감염 또는 FUO(fever of unknown origin)과 감별이 필요함.
- 혈액, 요검사: 세균성, 바이러스성 질병 rule out
- 영상 진단(흉복부 방사선, 복부 초음파 등) : 진드기 매개 질병, mycoplasma 등 rule out.
(5) 장기 초점 검사
- 만성 염증, 종양과 감별.
- 관절낭액 - 관절염 검사, 뇌척수액 - 뇌염 검사, 단백질 영동, 피부 병소 등 확인
(6) Specific tests
- 감염, 종양 rule-out + 장기 특정되었으면 advanced 검사를 진행함.
- 재생성 빈혈 : Coombs test
- 부식성 다발성 관절염(류마티스 관절염) : RF(Rheumatoid factor)
- Immune panel
2 - 면역매개질병의 진단에 사용할 수 있는 Test를 설명하여라
- Slide agglutination test, COOMBS test : IMHA 진단에 이용
- Antiplatelet Antibodies : ITP 진단에 이용
- ANA test, LE test : SLE 진단에 이용
- RF : 류마티스 관절염의 지표
- CRP : 광범위하게 염증 반응 파악
- IF, IHC : type Ⅱ & Ⅲ 면역매개질병
- Autoimmune panels : 다양한 항목 한 번에 검사
3 - Slide Agglutination test
Slide Agglutination test -✅IMHA
- IMHA : RBC 막에 있는 항체, 보체 등으로 인해 RBC 용혈(깨짐) → 자기들끼리 엉겨붙어 문제를 일으킴.
- “Rouleaux(염전)“과는 구분 필요. globulin 농도가 높아 엽전이 쌓인 모양처럼 보이지만, saline에 의해 풀어짐.
- 목적 | RBC의 자가 응집 반응 확인 (spontaneous agglutination=autoagglutination)
- (양성 = RBC membrane에 문제될 만큼 충분한 양의 항체 존재)
- 방법 | 5-10방울의 혈액과 1방울의 saline을 풀어주고 37℃에서 10분 반응시켰을 때 계속 뭉쳐 있으면 응집
- 의의 | 적혈구 자가응집 발생 ⇒ 적혈구 용혈이 일어나고 있다는 뜻으로, IMHA 가능성 존재.
원발성인지, 속발성인지는 판단할 수 없음.- 장점 | 원내에서 가능, 비용 저렴, 직관적 해석
4 - COOMBS test
COOMBS test = DAT (Direct Antiglobulin test) -✅IMHA
- 목적 | RBC membrane에 붙은 항체/보체의 존재를 검출
- 방법 | 항응고제(EDTA) 처리된 혈액 + Coombs 시약 ⇒ 일정 이상의 항체/보체가 존재하면 응집 발생.
(goat anti-canine IgG, IgM, complement component C3) |- 의의 | IMHA 진단 기준 중 하나로, 적혈구 막에 항체, 보체가 있음을 확인.
COOMBS 음성이어도 IMHA일 수 있음.- 장점 | 직관적으로 판단 가능
- 단점 | 오래 걸림, 원내에서 하기 번거로움. 다른 선택지가 선호됨.
5 - Antiplatelet Antibodies
Antiplatelet Antibodies -✅ITP
- ITP (Immune-mediated thrombocytopenic purpura) : 면역 매개성 혈소판 감소증. 혈소판에 생긴 항체가 파괴되며 자가면역반응이 발생.
- 목적 | 혈소판에 대한 항체 측정
- 방법 | flow cytometric techniques (유세포 분석기) 에 의해 항체가 붙어있는 혈소판을 확인.
- 의의 | 혈소판의 항체를 검사해, 항체가 파괴되는 ITP 여부를 감지.
민감도가 매우 높아(sensitive), 음성이면 ITP가 아닐 확률이 매우 높음.
Primary ITP에 특이적(specific)이진 않아, 양성이어도 다른 원인에 의한 것일 수 있음.- 장점 | 직관적, 높은 민감도.
- 단점 | 검사 조건이 매우 까다로우며 국내에서 가능한 검사소 없음.
6 - ANA test
ANA (Antinuclear Antibody) test -✅SLE
- SLE (Systemic lupus erythematosus) : 전신 루푸스 홍반증. 2개 이상의 장기에서 동시다발적으로 면역 매개성 병적 상태가 나타나, 항체가 여러 군데에서 발견됨.
- 목적 | 항핵항체(세포의 핵에 대한 항체) 검출
- 방법 | 항체 역가 측정 (1:25부터 1:12800까지 가능)
핵 염색에서 명확한 immunofluorescent 나타내는희석 농도 확인.- 장점 | SLE 진단에 민감. (but 아래 이유로 ANA negative여도 SLE일 수 있음.)
- 단점 | 진단 criteria의 variability가 커서, 해석 능력에 따라 차이가 발생.
해외에서 가능, 비쌈, 약물 등에 의해 양성 결과에 영향 받을 수 있음.
실제 활용도는 낮음.
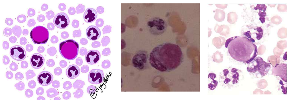
7 - LE test
LE (Lupus Erythematosus) test -✅SLE
- LE cell : 탐식된 핵 물질을 가진 호중구. 탐식 물질 때문에 호중구의 segmented nucleus가 한쪽으로 쏠린 모양을 나타냄.
- in vitro (몸 안에서는 잘 만들어지지 않고, 채혈 후 응고 과정에서 빠져나온 핵과 ANA(항핵항체)가 결합하면 이를 탐식하여 LE cell이 생성됨.)
- 말초혈액 도말, 골수 검사, 관절낭 천자 등을 하다가 LE cell을 발견할 수 있음.
![]()
- 목적 | LE cell 검출
- 방법 | 조직학적 검사에서 특이적인 LE cell 모양 관찰
- 의의 | SLE 진단에 매우 특이적(specific) - sensitivity는 낮음
거의 드물지만, 일단 보이면 가능성이 매우 높은.- 장점 | 우연히 발견되면 높은 특이도..?
- 단점 | ANA test가 더 민감하고, 시간이 덜 소요.
진단이 딱 떨어지지 않고, 양성 range가 30-90%로 넓음. 드물지만 종양 등에 의해 나타날 수도 있음.
Steroid의 영향에 조금 더 민감한 편.
8 - Rheumatoid Factor
RF (Rheumatoid Factor) -✅Rheumatoid arthritis
- RF(Rheumatoid factor, 류마티스인자) : IgG의 Fc 부분에 붙는 항체로, Ab-Ag가 결합된 이후에만 검출됨.
- 목적 | 혈청 내 RF가 얼마나 존재하는지 확인
- 방법 | Rose-Waaler test (rabbit IgG에 감작된 sheep RBCs)
RF가 있으면 응고 발생. 냉장 보관 필요 (냉동 상태에서는 파괴됨.)- 의의 | 류마티스 관절염(Rheumatoid arthritis) 의 진단 criteria 중 하나.
- 단점 | 민감도와 특이도가 낮음. (류마티스 관절염 걸린 개의 40-75%에서 양성)
음성이 나와도 rule-out하기 어렵고, 양성이 나와도 보장할 수 없음 (오랫동안 immune complex 형성하는 질병에서도 나올 수 있음).
sole criterion이 아님 - 여러 지표를 함께 고려해야 함.
9 - CRP
CRP (C-Reactive Protein) -✅광범위 염증 반응
- 비특이적 급성기 염증 단백질. 염증에 대한 broad marker.
- inflammatory cytokines에 의해 급격히 증가.
- 식단, 일주기의 영향을 받지 않음.
- 염증 여부를 확인하기 위해 MDB에 보통 포함되어 있음.
- 면역매개질병 자체를 진단할 수는 없지만, ‘염증’에 대한 marker로서 치료 반응 파악에 유용.
- ex-IMPA에서 CRP 감소를 통해 치료 반응 확인. 관절낭 천자로 확인하는 게 원칙이지만, 훨씬 비침습적으로 monitoring 가능.
10 - IF, IHC
IF (Immunofluorescence) & IHC (Immunohistochemistry) -✅Type Ⅱ & Ⅲ 면역매개질병
- 목적 | Type Ⅱ & Ⅲ 면역매개반응에서
특정 장기(피부, 콩팥, 관절, 골수 등)의 fixed tissue를 검사해 항체가 있는지 확인. -방법 | 형광 물질 or 항체로 확인.
UV light 아래에서 염색했을 때 apple green fluorescence 되면 → 항체 있는 것.
광학 현미경으로 brown color의 deposition이 확인되면 → 항체 있는 것.- 의의 | 면역 반응성 염증이 의심될 때 조직 생검으로 확인.
- Glomerulonephritis(사구체신염) 의심 → Renal biopsy
- Immune-mediated skin disease 의심 → Skin biopsy
11 - Autoimmune panels
9️⃣Autoimmune Panels -✅다양한 항목
- 다양한 항목을 종합적으로 검사.
- 일반적으로 CBC, platelet count, Coombs test, ANA, RF 정도는 포함함.
- 우리나라에서는 진행하는 업체가 없음..
- 장점) 한 번에 보내서 다양한 검사, 비용 감소, 종합적 결과 해석
- 주의) 불필요하게 진행하지 않도록 주의, 개별 환자를 잘 고려해서 ruleout
12 - 빈혈 증상이 있을 때 의심할 수 있는 면역매개질병?
>> IMHA, pure red cell aplasia(PRCA)
진단 검사?
- Coombs test
- Slide agglutination test
- spherocytes/ghost cells에 대한 CBC
- Bone marrow biopsy
- ※ Coombs 음성이어도 IMHA rule-out불가
13 - 혈소판감소증 증상이 있을 때 의심할 수 있는 면역매개질병?
>> ITP, Infectious cause, Megakaryocytic aplasia
진단 검사?
- Platelet-associated antibody
- bone marrow biopsy
- ※ 혈소판 항체 검사로는 ITP primary or secondary 구별 불가
14 - 빈혈과 혈소판감소증 증상이 동시에 있을 때 의심할 수 있는 면역매개질병?
>> IMHA, Evans syndrome
진단 검사? : 위에 해당하는 전부
- Coombs test
- Slide agglutination test
- spherocytes/ghost cells에 대한 CBC
- Bone marrow biopsy
- Platelet-associated antibody
- bone marrow biopsy
15 - 다리 파행, 관절 통증이나 삼출이 있을 때 의심할 수 있는 면역매개질병?
>> Polyarthritis, SLE, IMPA, Rheumatoid arthritis
진단 검사?
- Synovial fluid collection
- 관절 방사선 촬영
- RF (rheumatoid factor)
- ANA (2개 이상의 장기일 때)
- ※ RF 음성이어도 류마티스 관절염 배제X
16 - 단백뇨 증상이 있을 때 의심할 수 있는 면역매개질병?
>>Glomerulonephritis
진단 검사?
- Urinalysis (뇨검사)
- Protein/creatinine ratio
- Renal biopsy
- Immunofluorescence
17 - 이런 증상들 중 2개 이상, 혹은 다른 장기와 함께 나타난다면
>> SLE (전신성 루푸스 홍반증)
진단 검사?
- ANA
- LE preparation
- ※ LE보다는 ANA가 민감하지만, SLE가 있는 개도 ANA negative 나올 수 있음
참고) Clinical indications for use of diagnostic tests
- IMHA : immune-mediated hemolytic anemia
- ITP : immune-mediated thrombocytopenia
- IMPA : immune-mediated polyarthritis
| 임상 증상 | 가능한 면역매개질병 | 진단 검사 및 한계 |
|---|---|---|
| Anemia (빈혈) | - IMHA - pure red cell aplasia | Coombs test Slide agglutination test spherocytes/ghost cells에 대한 CBC Bone marrow biopsy ※ Coombs 음성이어도 IMHA rule-out불가 |
| Thrombocytopenia (혈소판감소증) | - ITP - Infectious cause - Megakaryocytic aplasia | Platelet-associated antibody bone marrow biopsy ※ 혈소판 항체 검사로는 ITP primary or secondary 구별 불가 |
| Anemia & Thrombocytopenia | - IMHA - Evans syndrome | 위 검사들 전부 |
| Shifting leg lameness, joint pain or effusion(삼출) | - Polyarthritis - SLE (전신성 루푸스 홍반증) - IMPA - Rheumatoid arthritis | Synovial fluid collection 관절 방사선 촬영 RF (rheumatoid factor) ANA (2개 이상의 장기일 때) ※ RF 음성이어도 류마티스 관절염 배제X |
| Proteinuria (단백뇨) | - Glomerulonephritis | Urinalysis (뇨검사) Protein/creatinine ratio Renal biopsy Immunofluorescence |
| 위 음상 증상 중 2가지 이상, 또는 다른 장기의 dysfunction과 함께 나타날 때 | - SLE | ANA LE preparation ※ LE보다는 ANA가 민감하지만, SLE가 있는 개도 ANA negative 나올 수 있음 |



