Lt. & Rt. pleural cavity ์‚ฌ์ด์˜ ๊ณต๊ฐ„.

  • Cranial mediastinum : ์ขŒ์ธก, ์šฐ์ธก ํ ์‚ฌ์ด ๊ณต๊ฐ„.

  • Caudal mediastinum : ํ›„์—ฝ, ํ›„์—ฝ์˜ ๊ฒฝ๊ณ„ ์‚ฌ์ด ๊ณต๊ฐ„.

  • ์‹๋„์™€ ์‹ฌ์žฅ, ํ›„๋Œ€์ •๋งฅ๊นŒ์ง€ ํฌํ•จํ•˜๋Š” ๊ตฌ์กฐ.


  • Widening : ์ฃผ๋กœ ๋„“์–ด์ง€๋Š” ๊ฒŒ ๋ฌธ์ œ. ์ธ์ ‘ํ•œ ์ฒ™์ถ”๋ผˆ๋ณด๋‹ค 2๋ฐฐ ์ด์ƒ ๋„“์œผ๋ฉด widening.

    • ๋น„๋งŒ์ด๊ฑฐ๋‚˜ ๋‹จ๋‘์ข…์—์„œ widening ๊ฐ€๋Šฅ.

1. Mediastinal shift

  • Ipsilateral mediastinal shift : ๋ณ‘๋ณ€๊ณผ ๊ฐ™์€ ๋ฐฉํ–ฅ์œผ๋กœ ๋ณ€์œ„๋จ. ์งˆ๋ณ‘์— ์˜ํ•ด ์ž‘์•„์ง„ ์ชฝ์œผ๋กœ ๋ฐ€๋ฆผ. (๊ธฐํ‰ ๋“ฑ)
  • Contralateral mediastinal shift : ๋ณ‘๋ณ€๊ณผ ๋ฐ˜๋Œ€ ๋ฐฉํ–ฅ์œผ๋กœ ๋ณ€์œ„๋จ. ์งˆ๋ณ‘์— ์˜ํ•ด ์ปค์ง„ ์ชฝ์ด ์ž‘์€ ์ชฝ์„ ๋ฐ€์–ด์„œ ๋ณ€์œ„. (์ข…์–‘ ๋“ฑ)
  • ๋ณดํ†ต ํ์˜ ํฌ๊ธฐ๊ฐ€ ๋‹ฌ๋ผ์ ธ์„œ (ํฐ ์ชฝ์ด ์ž‘์€ ์ชฝ์œผ๋กœ ์ข…๊ฒฉ๋™์„ ๋ฐ€์–ด์„œ) ๋ฐœ์ƒ.
  • ํ”ํ•œ ์›์ธ์œผ๋กœ๋Š”
    • lung mass โ†’ contralateral, ์ข…์–‘์ด ์ปค์ง€๋ฉด์„œ ๋ฐ˜๋Œ€๋กœ ๋ฏผ๋‹ค
    • collapse, atelectasis โ†’ ipsilateral, ํ ์šฉ์ ์ด ๊ฐ์†Œํ•˜์—ฌ ๋ฐ€๋ฆฐ๋‹ค
    • consolidation โ†’ normal, ํ ์šฉ์  ๊ทธ๋Œ€๋กœ๋ผ์„œ
  • DDx
    • abnormal positioning
    • pulmonary atelectasis
    • pleural effusion
    • pneumothorax

2. Mediastinal mass

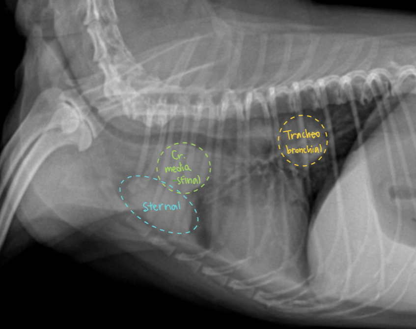
3. Mediastinal lymph nodes ๏ผˆ๋„์‹ํ™” ํ•„์š”๏ผ‰

(์…‹ ๋‹ค ๋น„๋Œ€๋˜์–ด ์žˆ์Œ)

  • Cranial mediastinal LN (์ „์ข…๊ฒฉ ๋ฆผํ”„์ ˆ)
  • Sternal LN (ํ‰๊ณจ ๋ฆผํ”„์ ˆ) : 2๋ฒˆ์งธ sternum ๋“ฑ์ชฝ, 1๊ฐœ ๋˜๋Š” ์—ฌ๋Ÿฌ๊ฐœ
  • Tracheobronchial LN (๊ธฐ๊ด€๊ธฐ๊ด€์ง€ ๋ฆผํ”„์ ˆ) : carina ๊ทผ์ฒ˜ 2-3๊ฐœ, ์ธ์ ‘ํ•œ trachea ์••๋ฐ•ํ•  ์ˆ˜ ์žˆ์Œ
  • Cr. mediastinal, Tracheobronchial : ํ‰๊ฐ• ๋ฌธ์ œ ์žˆ์„ ๋•Œ ๋น„๋Œ€
  • Sternal : ๋ณต๊ฐ• ๋ฌธ์ œ ์žˆ์„ ๋•Œ ๋น„๋Œ€

4. pneumomediastinum

  • mediastinum์— ๊ณต๊ธฐ. bite wound ๋•Œ๋ฌธ์ผ ๋•Œ๊ฐ€ ๋งŽ์Œ.