Benign vs. Malignant Tumors
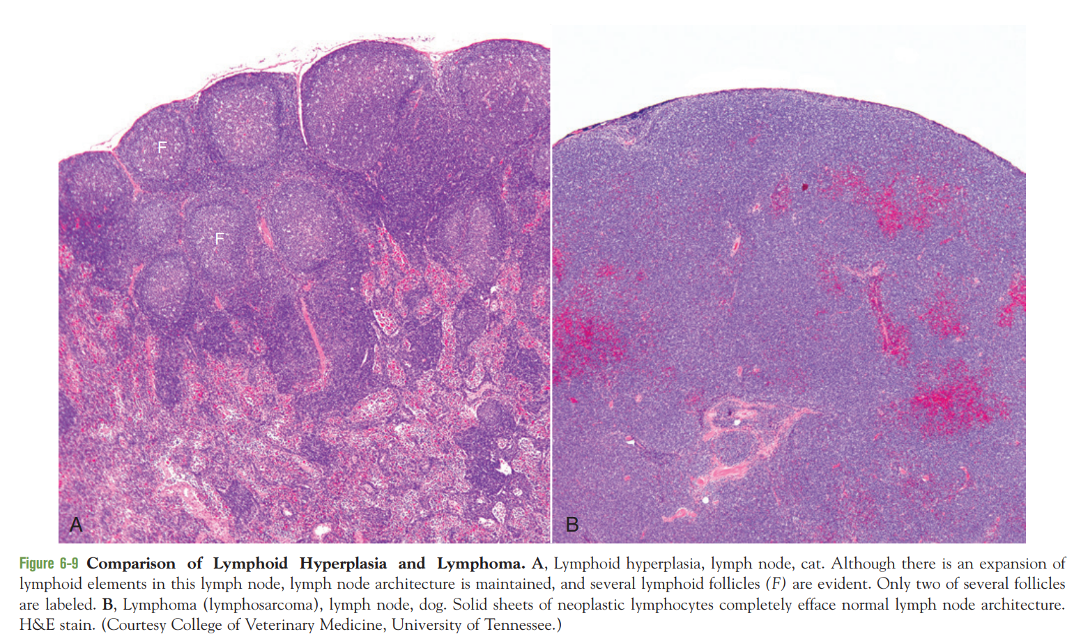
- benign : ํฝ์ฐฝ(expansile), ์ฃผ๋ณ ์กฐ์ง์ ๋๋ฆ, ๋ช ํํ๊ฒ ๊ตฌ๋ถ๋จ
- malignant : ์ ์ด(invasive), ๋ช
ํํ์ง ์์(diffuse)
- ๊ณ์ ๋ณต์ ๋จ (unlimited replicative potential)
- exogenous ์ฑ์ฅ ์๊ทน ์ธ์์๋ ๋ณ๋๋ก ์ฑ์ฅ, ์ฑ์ฅ ์ต์ ์ ํธ์๋ insensitive
- benign cell์ ๋นํด apoptotic cell death๋ ๋ํจ
- marked angiogenesis๋ฅผ ์๊ทนํด ํ๊ด ์ ์ด๋ฅผ ์ด์ง
| ํน์ฑ | Benign | Malignant |
|---|---|---|
| Differentiation | well-differentiated morphologic (๋ช ํ) | poorly differentiated (๋ช ํํ์ง ์์, diffuse) |
| origin๊ณผ ๋น์ทํ ์กฐ์ง ๊ตฌ์กฐ | ๋๋ก origin์ด ๋ถ๋ช ํ | |
| anaplasia(ํดํ) ๊ฑฐ์ ์์ | ๋ค์ํ ๋จ๊ณ์ anaplasia | |
| Growth rate | ๋๋ฆฌ๊ณ ์ ์ง์ | ๋น ๋ฅธ ์ฑ์ฅ |
| mitotic figure | ๋๋ฌผ๊ณ , ์ ์ | ๋น๋ฒํ๊ณ , ๋น์ ์ |
| necrosis | ๊ฑฐ์ ์์ | ํ์ก ๊ณต๊ธ ์ ํ ์ ๋ฐ์ |
| Local invasion | ์๋ ์๋ฆฌ์์ ์์ง, ํฝ์ฐฝ์ฑ | ์ฃผ๋ณ์ผ๋ก ์ ์ด |
| capsule ์์ ์ ์์ (๊ฒฝ๊ณ ๋ช ํ) | capsule ์๊ฑฐ๋ ๋ถ๋ช ํ | |
| Metastasis | ์์ | ์ข ์ข ์์ |
Differentiation
(tumor ์๊ธธ ์ ํํ๊ฐ ์ด๋ป๊ฒ ๋ณํ๋๊ฐ)
Morphology
-
์ ๊ตฌ๋ณ๋ ์๋์ ๋ชจ์์ ์๊ณ ํํธ๋ฌ์ง ๋ชจ์ , ์ ์ ์ธํฌ์ ๋นํด morphologic variability๊ฐ ํผ
-
๋งค์ฐ ํฐ nuclei(karyomegaly)๊ฐ ๊ด์ฐฐ๋๊ฑฐ๋, nuclear size ๋ค์(anisokaryosis), shape์ chromatin ๋ถํฌ ํจํด์ด ๋ค์ํ๊ฑฐ๋, multiple nuclei๋ฅผ ๊ฐ์ง๊ธฐ๋ ํจ
-
๋น ๋ฅธ ์ธํฌ ์ฑ์ฅ๊ณผ ๋ถ์ด์ ํ๋ ค๋ฉด ribosome์ด ๋ง์ด ํ์ํ๊ธฐ ๋๋ฌธ์ ํธ์ผ๊ธฐ์ฑ์ ๋ฐ(basophilic cytoplasm)
-
์ ์ ๊ตฌ์กฐ๋ฅผ ์ ์ ์์, continual renewal์ ๊ฑฐ์น๋ค ๋ณด๋ฉด normal maturation sequence๊ฐ ๋ณํ๋๊ธฐ๋ ํจ
-
์ ์ฑ ์ข ์์ ์์ฑ๋ณด๋ค ๋ ๊ตฌ๋ณ๋จ(less differentiated)
-
ํนํ ์ ์ฑ ์ข ์์์ anaplasia(์ญ๋ถํ), atypia(์ดํ์ฑ) ๋ํ๋จ
- anaplastic cell : poorly differentiated, cell size ๋ค์(anisocytosis), cell shape ๋ค์(pleomorphism)
- anaplastic nuclei : ์ฆ์ ๋ถํ๋ก ์ผ์์ฒด๊ฐ ์์ถ๋์ด darkly staining(hyperchromatic), ์ธํฌ์ง์ ๋นํด ํต์ด ์ ๋ํ ํผ
(์ผ) ํ์ดํ : giant cell, ํ์ดํ head : ์์ฒญ ํฐ ํต / (์ค) ํ์ดํ : mitotic figures(giant)
(์ผ) Hyperplasia / (์ค) Sarcoma

Function
- ๊ธฐ๋ฅ์ loss๋ ๋ชจ์(differentiation)์ loss์ ์์ฃผ ๋๋ฐ๋จ
- ex) ์์ฅ ์ํผ์ neoplastic cells๋ microvilli๊ฐ ์๋ค โ ํก์ ๋ฅ๋ ฅ๋ ์์
- ์ข
์ข
normal function์ด ์ ์ง๋๊ธฐ๋ ํจ
- ex) thyroid adenoma๊ฐ ๊ณ์ ๊ฐ์์ ํธ๋ฅด๋ชฌ ์์ฑ, plasma cell tumor๊ฐ immunoglobulin ๋ถ๋น
- ๋ณดํต ์ ์์ ์ธ regulatory pathway์ ๋ํ ๋ฐ์์ฑ์ ์์ด ์ ์ ํ ๊ธฐ๋ฅํ์ง ๋ชปํจ
Proliferation
Tumor growth
- unlimited proliferative potential
- ๋ง์ ์ข ์์ธํฌ๋ immortal
- ์ธ๋ถ ์ฑ์ฅ ์๊ทน/์ต์ ์ธ์์ ์ํฅX, apoptotic signal์ ๋ฃ์งX โ cell division์ ํ๊ณ ๋์ด ๋ถ์ด
Cell division
- cell cycle์ G1, S, G2, M^[๊ฐ๊ฐ G0: presynthetic, S: synthetic, G2: premitotic, M: mitotic] phase๋ก ๊ตฌ์ฑ.
- Quiescent cells๋ G0์ ๋จธ๋ฌผ๋ฉด์ cell cycle์ ๋ค์ด๊ฐ์ง ์์ (์ธ๋ถ ์ธ์์ ์๊ทน ์๋ ์ด์)
- DNA damage๊ฐ ๋ฐ์ํ๋ฉด, ์ ์์ ์ผ๋ก ๋ถ์ดํ๋ ์ธํฌ๋ค๋ cell cycle arrest๋ฅผ ๊ฑฐ์นจ (cell cycle checkpoints๋ค์ด ์์) โ cell cycle arrest๋ p53^[multifunctional tumor suppressor gene product]์ ์ํด ๊ฐ์๋๋ฉฐ, ์ธํฌ์๊ฒ DNA damage๋ฅผ ๋ณต๊ตฌํ ์๊ฐ์ ์ค
- neoplastic cells์ G0์ผ๋ก ๋ณด๋ด๋ ์ ํธ์ ๋ฐ์X, p53 ๋ฐํX โ ๊ณ์ cell cycle โ DNA damage ์ดํ cell cycle arrest๋ฅผ ๊ฒช์ง ์์ผ๋ฏ๋ก, ์ ์ mutagenic DNA damage๊ฐ ์ถ์ ๋จ
- mitotic index
- ์์ถ๋ ์ผ์์ฒด์ ํต๋ง ์์ค์ด ๊ด์ฐฐ
- ์ธํฌ๋ถ์ด์ด ์ผ์ด๋๊ณ ์๋ค๋ ์งํ๋ก, ์ข ์์ malignant potential์ ๋ํ๋
- ์ธํฌ๋ถ์ด์ ๋ฉ์ถ ์ ์๋ cancer cells์์ mitotic figures๊ฐ ๋ํ๋จ (abnormal figures๋ ๊ด์ฐฐ)
- ์ ์ ์ธํฌ๋ ๋์์์ด ์ฃผ๋ณ ํ๊ฒฝ๊ณผ ๋ํํ๋ฉฐ ํญ์์ฑ์ ์ ์งํ๋ ๋ฐ๋ฉด, neoplastic cells๋ ์ฑ์ฅ ์๊ทน ๋ฌผ์ง๋, ์ฑ์ฅ ์ต์ ์ ํธ๋ ๋ฐ์ง X โ ์ฃผ๋ณ ํ๊ฒฝ์ ํ์ํ ๊ฒ์ ์ ๊ณตํด์ฃผ์ง ์๊ณ , ๊ณ์ ๋ณต์ ๋ง ํจ
ํ์ดํ: mitotic figures / high mitotic index๋ฅผ ๊ฐ์ง
Cell death
Senescence(๋ ธํ)
- DNA damage, oxidative stress, telomere shortening ๋ฑ์ ์ํด ๋ํ๋จ. (์ ํธ: p53 ํ์ฑํ, retinoblastoma pathway)
- DNA template์ ๋ง๋จ์ ์๋ telomere๋ ๋ณต์ ๋์ง ์๊ธฐ ๋๋ฌธ์, ์ธํฌ ๋ถ์ด ๋๋ง๋ค ์งง์์ง. telomere๊ฐ ๊ทนํ ์งง์์ง๋ฉด ๋ ์ด์ ๋ถ์ดํ ์ ์์(โsenescence) ^[์์ธ: telomerase๋ฅผ ๋ฐํํ๋ embryonic cell ๋๋ง telomere๊ฐ ๊ณ์ ๋ณต์ ๋จ]
- neoplastic cells๋ telomerase๋ฅผ ์์ฐํ ์ ์์ โ ์ธํฌ ๋ ธํ๋ฅผ ๊ฒช์ง ์๊ณ immortality ํ๋
Apoptosis(์ธํฌ์์ด) (โprogrammed cell deathโ)
- hypoxia, essential nutrients์ ๋ถ์กฑ์ apoptosis๋ก ์ด์ด์ง ์ ์์. DNA damage๊ฐ ๋ฐ์ํ๋ฉด p53์ ์ํด apoptosis ์ผ๊ธฐ. cytotoxic immune cells(T๋ฆผํ๊ตฌ, NK cell)๊ฐ apoptosis๋ฅผ ์๊ทน
- ์ผ์์ฒด์ margination, ํต์ condensation๊ณผ fragmentation, organelles๋ฅผ ๋ณด์กดํ๋ cell condensation ๋ฑ์ apoptosis์ morphologic hallmarks๊ฐ ๋จ
- ๊ฒฐ๊ตญ ์ธํฌ๋ membrane-bound apoptotic bodies๋ก ์ชผ๊ฐ์ ธ์ surrounding cells์๊ฒ ์ก์๋จนํ. ์ด๋ ์ผ์ฆ ๋ฐ์์ ์๊ทนํ์ง ์์.
- ์ ์์ ์ผ๋ก ๋ชจ๋ ์ธํฌ๋ apoptosis๋ฅผ ๊ฒช์ ์ ์์ง๋ง, ์์ธํฌ๋ ์ ํญ์ฑ์ด ์์.
- p53 gene inactivation, survival signal ํ์ฑํ, death factor ์ ํธ์ ๋ฌ ์ต์ ๋ฅผ ํตํด apoptosis๋ฅผ ์ฐํํจ
Autophagy(์๊ฐํฌ์)
- degeneration of a cellโs own organelles within autophagosomes
- ์์์ ๊ฒฐํ ์ cell survival์ ๊ธฐ์ ์ผ๋ก ์ฌ์ฉ๋ ์ ์์ผ๋, ๊ด๋ฒ์ํ autophagy๋ apoptosis ์ ๋
- ๋ณดํต tumor cell์์ autophagy๋ ์ต์ ๋์ด ์์
- mTOR inhibitor๋ autophagy๋ฅผ ์ฆ๊ฐ์์ผ ์ ์น๋ฃ์ ๋ก์์ ๊ฐ๋ฅ์ฑ์ ๊ฐ์ง.
- mammalian target of rapamycin(mTOR) kinase : autophagy๋ฅผ ์ต์