- ์ด๋ก : Fundamentals of Veterinary Clinical Pathology
- ์ค์ต : ์ฃผ ์ฐธ๊ณ ) Cowell and Tylerโs Diagnostic Cytology and Hematology
- ์ฐธ๊ณ ๊ต์ฌ
- BASAVA Manual of Canine and Feline Clinical Pathology : ๊ฐ๋จํ๊ฒ ์ฐพ์๋ณผ ์ ์์
- Veterinary Clinical Pathology Secrets : ์ง๋ฌธ ์์ฃผ
Clinical Pathology๋ ๋ฌด์์ธ๊ฐ?
Pathology์ ๊ตฌ๋ถ
- Anatomic pathology
- Clinical pathology
- Basic pathology
- Hematology
- Clinical chemistry
- Cytology : ํผ๋ถ (๊ฐ ์ธต์ ์ธํฌ๋ฅผ ํ๋ฝ์์ผ์ ๊ฒ์ฌ)
- Surgical pathology : ๋ถ๊ฒ(Anatomic~)๊ณผ ๋ฌ๋ฆฌ, ์ด์์๋ ๋๋ฌผ ๊ตญ์๋ง์ทจ ํ ์ผ๋ถ๋ง ์ ์ ํ์ฌ ๊ฒ์ฌ
- Experimental pathology
- Immunopathology
- Toxicopathology
- Molecular pathology
์ ์
- ๋ณ๋ฆฌํ : ๊ธฐ๊ด๊ณผ ์กฐ์ง์ ๋ณํ์ ์ํ ์ง๋จ
- ์์๋ณ๋ฆฌํ : ์ง๋จ์ ์ํด ์คํ์ค์ ๊ฒ์ฌ๋ฅผ ์ฌ์ฉ.
- ํ์ ์ ๋ณด, ์ ์ฒด ๊ฒ์ฌ, ๋ณ๋ ฅ โ
- ์คํ์ค ๊ฒ์ฌ ๋ฐ ํด์
- ์์ธ, ๋ณ๋ฆฌ์ ์ํ, ๊ธฐ๋ฅ์ ๋ณํ, ์ํ ํ๋จ, ์ํ์ ์น๋ฃ ๋ฑ
- ACVP(the American College of Veterinary Pathology)์์ Board Certification (์ ๋ฌธ์ ์ธ์ฆ)
Samples
- Body fluid : ๋์ฒ์์ก, ๊ด์ ํ, ํ์ ๋ฑ๋ ํฌํจ
- Tissue : ์กฐ์ง ์ฑ์ทจ
- Feces(๋ถ๋ณ) : ๊ธฐ์์ถฉ ์ฒดํฌ, ์ํ๊ธฐ ์ฆ์ ํ์ธ
Transclude of 2.1.1-CBC-(Complete-Blood-Count)
Dot Plot

- ์ ์๊ณผ ๋น๊ตํ์ ๋ Reticulocyte(๋ฏธ์ฑ์ ์ ํ๊ตฌ)์ ๋น์ ์ ๊ฒฐ๊ณผ
- ์ ์์ ๋นํด ํฌ๊ธฐ๊ฐ ํฐ ์ ๋ค์ด ๋ง์ (๋ฏธ์ฑ์ ๋ฆผํ๊ตฌ, ๋จํต๊ตฌ ๅค)
- Reticulocyte๊ฐ ๋๊ฒ ๊ด์ฐฐ๋จ (์ค๋ฅธ์ชฝ ์)
- ๋ฏธ์ฑ์ ์ ํ๊ตฌ๊ฐ ์ฑ์ ์ ํ๊ตฌ ๋๋ฉด์ ํํตํ๋๊ณ , ..
- Monocyte ์ฆ๊ฐ, Lymphocyte ๊ฐ์, granulogyte ๊ฑฐ์ ์์ด์ง. โ neutrophil density ๊ฐ์
Transclude of ํ์ก-ํ๋ธ์-์ข ๋ฅ

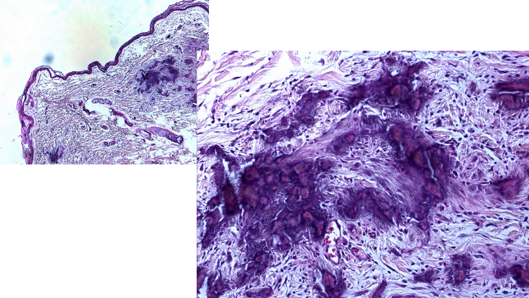
- Atopic dermatitis, Allergic dermatitis, ์ข ์์ฑ ๋ณ๋ณ์ ๊ฐ๋ฅ์ฑ๋ ์์ โ ์ํ ํผ/์๋ฌ์ง(์ผ์ฆ), ์ข ์ ์ง๋จ ํ์
- ํผ๋ถ ์ํ ์ฑ์ทจ, ํ์ก ๊ฒ์ฌ (systemic inflammation์ผ ์ ์์ผ๋๊น)
- needle biopsy : 3ml๋ 5ml๋ฅผ ์ฑ์์ผ ํ๋๋ฐ ์ด๋ ค์
- dermal biopsy ํ์น ์ด์ฉํด์ punch biopsy (์ ์๊ณผ ๋น์ ์์ ๊ฒฝ๊ณ ๋ถ๋ถ) ; ์ง๊ฒฝ์ด ๋ ํผ (์ต๋ 1cm ์ ๋)
- ๊น๋ง ๋ถ๋ถ๋ ์ํ๋ง
- ๊ตญ์ ๋ง์ทจ ํ์. ๋จ, ์๊ณ ๊ณ์ ๋ฌธ์ ๊ฐ ์๋์ง ๋ฏธ๋ฆฌ ๊ฒ์ฌ ํ์.
- ์ฒด์จ์ด ๋์ ๊ฐ๋ฅ์ฑ ์์

- hair follicle, sebaceous gland ๋ฑ ์๋ฌด๊ฒ๋ ๋ณด์ด์ง ์์.
- ๋ถ์ ํ์ ๊ฒฐ์ ์ด ์นจ์ฐฉ๋จ. mineralization.
- carcinosis ๊ด๋ จ .. ๊ตญ์ ๋ถ์์์ ๊ด๋ฒ์ํ๊ฒ ์๊ธฐ๋ฉด carcinosis cutis