Definition

- Primary : ๋ผ ๋ด์ ์์นํ ์ธํฌ์์ ๋ฐ์.
- Metastatic : ๋ค๋ฅธ ์๋ฐ์ฑ ์์น์์ ์ ์ด๋จ.
- appendicular skeleton(ํ๋ค๋ฆฌ ๊ณจ๊ฒฉ; ๊ธด๋ผ ๋ฑ), axial skeleton(๋ชธํต ๊ณจ๊ฒฉ; ๋๊ฐ๊ณจ, ์ฒ์ถ, ๊ฐ๋น๋ผ, ๊ณจ๋ฐ) ์์ ๋ฐ์.
Pathophysiology
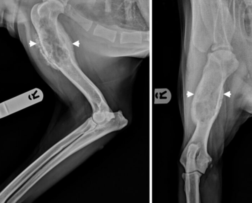
- ๊ฐ์์๋ ์ผ๋ฐ์ ์ผ๋ก ํ๋ค๋ฆฌ ๊ณจ๊ฒฉ์์ ์ ๋ฐ์ํจ.
- distal radial metaphysis
- proximal humerus
- proximal/distal femur & tibia.
- Osteosarcoma (๊ณจ์ก์ข
) : ๊ฐ์์ ๊ฐ์ฅ ํํ malignant bone tumor.
- ๊ธด๋ผ์ metaphysis ๋ถ์, ๋ํ๊ฒฌ์์ ์ ๋ฐ์ํจ.
- ๋ผ์ ์ตํด์ ์์ฑ์ ์ ๋ฐ, locally aggresive, ํํ ์ ์ด๋จ.
- ํ ์ ์ด์ ๊ด๋ จํ ํฉ๋ณ์ฆ์ผ๋ก ์ธํด 90%๋ ์ง๋จ 1๋ ์ด๋ด ์ฌ๋ง.
Diagnosis
- ๋ํ๊ฒฌ์์ ๋ฐ์ ํ๋ฅ ๋์. ์ํ๊ฒฌ์์๋ ๋ชธํต ๊ณจ๊ฒฉ์ ๋ ์ ๋ฐ์.
- lameness, localized limb swelling, pain, reluctance to walk
- ์ ์ฒด ๊ฒ์ฌ: ์ฌ์ง๊ฐ enlarged & firm(๋จ๋จ).
- ๊ธ์ฑ ๋จ๊ณ์์ ์ ์ ์งํ(fever, anorexia, weight loss ๋ฑ)๋ ํํ์ง ์์.
- axial skeleton์ ์ข ์์ firm swelling.
- ํ ์ ์ด์ ๊ด๋ จ๋ ํธํก๊ธฐ ์ด์(respiratory abnormalities)๋ ํ๊ธฐ ๋๊น์ง ๊ฑฐ์ ๋ํ๋์ง ์์.
MSTS (Musculoskeletal Tumor Society) staging system
- G (grade) of the cancer, ์ฑ์ฅ ๋ฐ ํ์ฅ ๊ฐ๋ฅ์ฑ
- G1 (๋ฎ์ ๋ฑ๊ธ) : ์ ์ ์ธํฌ์ ๋น์ทํด ๋ณด์, ๋น ๋ฅธ ํ์ฐ ๊ฐ๋ฅ์ฑ ๋ฎ์
- G2 (๋์ ๋ฑ๊ธ) : ๋ณด๋ค ๋ ๋น์ ์์
- T (extent of the primary tumor)
- T1 (๊ตฌํ๋ด; intracompartmental) : ๋ผ ๋ด์ ๋จ์์์
- T2 (๊ตฌํ์ธ; extracompartmental) : ๋ผ ๋๋จธ ๋ค๋ฅธ ๊ตฌ์กฐ๋ก ์ฑ์ฅํจ
- M (metastasized) : ์ธ๊ทผ ๋ฆผํ์ , ๋ค๋ฅธ ์ฅ๊ธฐ๋ก ์ ์ด๋จ
- M0 : ์ ์ด๋์ง ์์
- M1 : ์ ์ด๋จ
AJCC (American Joint Committee on Cancer) TNM system
- T : ์๋ฐ์ฑ ์ข ์(tumor)
- N : ์์ด ์ธ๊ทผ(nearby) ๋ฆผํ์ ๋ก ์ ์ด๋์๋์ง
- M : ์์ด ๋จธ๋ฆฌ ๋จ์ด์ง ๋ถ์๋ก ์ ์ด๋์๋์ง (metastasized)
![]()
์ํ์ ๊ด๋ฆฌ
- ๋๋ถ๋ถ ์ ์ด์ฑ ์งํ์ผ๋ก ์ฌ๋ง. ํํ ์๋ฒ ๊ฐ๋ฐ ์ค์ ์์.
- ์ ๋จ+ํํ ์๋ฒ โ ์๋ช ์ฐ์ฅ ๊ฐ๋ฅ.
- ์ข ์ ์ ์ ๊ฐ ๋ถ๊ฐ๋ฅํ ๊ฒฝ์ฐ ์ํ ๋ฐฉ์ฌ์ ์น๋ฃ.
- ์์ ๊ธฐ๋ฒ : Bone biopsy (๋ผ ์๊ฒ), Amputation (์ ๋จ)

