Preview ๊ณผ์
โ . Bone marrow
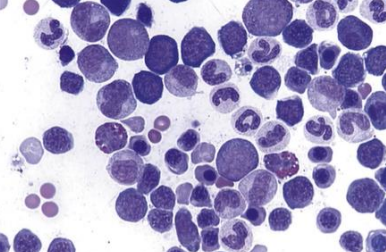
1. ๊ณจ์์ ๊ธฐ๋ณธ์ ํน์ง
2. ๊ณจ์ ์กฐ์ง์ ํ๋ฏธ๊ฒฝ ์๊ฒฌ
- ๊ณจ์ ์ผ์ ์ Diff-quik staining์ ๊ฐ์ฅ ๋ง์ด ์ฌ์ฉํจ. (์ผ์์ฑ์ ์์ด ํต๊ณผ ์ธํฌ์ง์ ์ฐจ์ด, ์ธํฌ ๊ฐ ์ฐจ์ด๊ฐ HE staining๋ณด๋ค ๋๋ ทํจ.)
- Erythroid ๊ณํต : ์งํ๊ฒ ์ผ์๋์ด ํต๊ณผ ์ธํฌ์ง์ด ์ ๊ตฌ๋ถ๋์ง ์์.
- Myeloid ๊ณํต : erythroid ๊ณํต๋ณด๋ค paleํจ. + ์ธํฌ์ง์ ๊ณผ๋ฆฝ์ ๊ฐ์ง๊ณ ์์. (์ฑ์ํ๋ฉด ๊ณผ๋ฆฝ๊ตฌ)


Hematopoietic cell์ ์ข ๋ฅ

- ์ฐจ๋ก๋๋ก Leukocyte ๊ณํต / Megakaryocyte ๊ณํต (platelet ์ ๊ตฌ์ฒด) / Erythrocyte ๊ณํต
(์ฌ๊ธฐ์๋ง ์์๋ก [L], [M], [E]๋ก ํ๊ธฐ) - [L], [M] (์ผ๊ฐํ) : -blast ์ธํฌ๋ค๋ณด๋ค๋ ์ฑ์์ธํฌ(์๋์ชฝ)๊ฐ ๋ง์ด ๊ด์ฐฐ๋จ.
- [E] (์ค๊ฐํ) : Rubricyte(์ค๊ฐ)๊ฐ Metarubricyte(์๋์ชฝ)๋ณด๋ค ๋ง์ด ๊ด์ฐฐ๋จ.
- [M] ๊ณํต์ ์ ์ฒด์ 1% ๋ฏธ๋ง โ ๋ณดํต [L] (myeloid ๊ณํต), [E] ๊ณํต๋ง ํ๊ฐํจ.
Erythroid lineage์ ์ฑ์ ๋จ๊ณ
- Basophilic
- ์ฑ์ํ ์๋ก ์ธํฌ์ ํต์ด ์์์ง๋ค. ์ธํฌ์ง์ ์ผ์์ฑ๋ RBC์ ๊ฐ๊น์์ง๋ค.
- ์ฑ์ํ ์๋ก ํต์ chromatin pattern์ด ๊ฑฐ์น ์ด์ง๋ค.
- Rubriblast < Metarubricyte ์ด์ง๋ง, ๊ณจ์์์๋ rubriblast๋ ๋ง์ด ๊ด์ฐฐ๋๋ค.
| Rubriblast | Prorubricyte | Rubricyte | Metarubricyte (nRBC) |
|---|---|---|---|
![]() | ![]() | ![]() | ![]() |
| Cell stage | ํน์ง |
|---|---|
| Rubriblast | - ๊ฐ์ฅ ๋ฏธ์ฑ์ํ ๋ํ ์ธํฌ - ๋์ NC ratio (Nuclear-to-cytoplasmic ratio) - ์ธํฌ์ง ์์ด ์ ์ผ๋ฉฐ, ์งํ ํธ๋ฅธ์ ์ผ์ - ๋ฅ๊ทผ ํต ๋ด์ ํต์์ฒด(Nucleoili)๊ฐ ๊ด์ฐฐ๋จ - Fine to coarse granular chromatin pattern |
| Prorubricyte | - ์ค๊ฐ ~ ํฐ ํฌ๊ธฐ์ ์ธํฌ - ์๊ฑฐ๋ ์ค๊ฐ ์ ๋์ ์ธํฌ์ง, ์งํ ํธ๋ฅธ์ ์ผ์ - ๋ฅ๊ทผ ํต ๋ด์ ํต์์ฒด๊ฐ ๊ด์ฐฐ๋์ง ์์. - Coarse clumped chromatin pattern |
| Rubricyte | - ์ค๊ฐ ~ ์์ ํฌ๊ธฐ์ ์ธํฌ - ์๊ฑฐ๋ ์ค๊ฐ ์ ๋์ ์ธํฌ์ง, ํธ๋ฅธ์-์ฒญํ์-์ฒญ๋ถํ์ ์ผ์ - ๋ฅ๊ทผ ํต ๋ด์ ํต์์ฒด๊ฐ ๊ด์ฐฐ๋์ง ์์. - Coarse clumped chromatin pattern |
| Metarubricyte (nRBC) | - ์์ ํฌ๊ธฐ์ ์ธํฌ - ์ ์ ์์ ์ธํฌ์ง, ์ฒญํ์-์ฒญ๋ถํ์-๋ถํ์ฃผํฉ์์ผ๋ก ์ผ์ - ์์ ํฌ๊ธฐ์ ๋ฅ๊ทผ ํต ๋ด์ ํต์์ฒด๊ฐ ๊ด์ฐฐ๋์ง ์์. - Densely clumped chromatin pattern - ํํต โ ๋ง์ด ํ์ก์์ ๋ณผ ์ ์๋ RBC ํํ |
Myeloid lineage์ ์ฑ์ ๋จ๊ณ
- Type โ myeloblast : granule ์์
- Type โ ก myeloblast : ์ ์ ์์ granule (<15๊ฐ)
- Type โ ข myeloblast : ๋ง์ ์์ granule
- ์ฑ์ํ ์๋ก ์ธํฌ์ ํฌ๊ธฐ๊ฐ ์์์ง๊ณ , ํต์ ๋ณํ์ด ๋ํ๋จ.
- ํต์ segmentation๊ณผ ์ธํฌ์ง ๊ณผ๋ฆฝ์ด ๋๋ ทํด์ง.
- Myeloblast < Mature granulocyte
- Leukocytosis๊ฐ ํ๋ฐํ ๊ฒฝ์ฐ, ๋ฏธ์ฑ์ ์ธํฌ๋ค์ด ๋ง์ด ํ์ก์์ ๊ด์ฐฐ๋จ.
| Myeloblast | Promyelocyte | Myelocyte | Metamyelocyte | Band granulocyte | Mature granulocyte |
|---|---|---|---|---|---|
![]() | ![]() | ![]() | ![]() | ![]() | ![]() |
Megakaryocyte lineage์ ์ฑ์ ๋จ๊ณ
- ๊ณจ์์์ 1% ๋ฏธ๋ง์ผ๋ก ์ ๊ฒ ์กด์ฌํ์ง๋ง, ๊ฐ์ฅ ํฌ๊ธฐ๊ฐ ํฐ ์ธํฌ
- ์ฑ์ํ ์๋ก ๋ ํฐ ํฌ๊ธฐ๋ก ์กด์ฌ, ์ฑ์ํ ์๋ก basophilic

3. ๊ณจ์ ๊ฒ์ฌ์ ์ ์ฉ
๊ณจ์ ๊ฒ์ฌ๋ฅผ ํด์ผ ํ๋ ๊ฒฝ์ฐ
- ์ง์์ ์ธ ์ธํฌ ์์ ์ฆ๊ฐ ๋๋ ๊ฐ์
- hyperproteinemia : dehydration^[skin, CRT ๋ฑ์ผ๋ก ์ธก์ ]
- ๋ฉด์ญ์ธํฌ์ ์ํ ๋จ๋ฐฑ์ง ์์ฑ๋์ด ๋์ด๋จ
- ๋ฉด์ญ์ธํฌ๋ค์ ์ข ์ - ๊ณจ์์ ๋ฏธ์ฑ์ ๋ฆผํ๊ตฌ์ ์ํ ์ข ์์ ์์ฌํ์ฌ ๊ณจ์ ๊ฒ์ฌ
- hypercalcemia :
- ์ข ์์ด ๋ฐ์ํ ๊ณจ์์ ์๋ ๋ฏธ์ฑ์ ์ธํฌ๋ค์ด cytokine์ ์์ฑํ๋๋ฐ, parathyroid์ ํธ๋ฅด๋ชฌ ๋ถ๊ท ํ์ ์ผ์ผํฌ ์ ์์
- metastatic neoplasia ํ๊ฐ
- ์ฒ ๊ฒฐํ์ฑ์ด ์์ฌ (์ง์์ ์ด๊ณ ๋ง์ฑ์ ์ธ ๋นํ)
Aspirate & Core biopsy ์ํ ์ฒ๋ฆฌ
์กฐ์ง ์ฌ๋ผ์ด๋ ๋ง๋ค ๋ ์ฌ์ฉํ ์ ์๋ ๋ฐฉ๋ฒ
- paratin(๊ณ ์ ์ก)์ ๊ณ ์ ํจ.
- ํฌ๋ฅด๋ง๋ฆฐ ๊ฐ๊น์ด์ ๋ ธ์ถ โ ์ผ์์ฑ์ด ํผ์๋จ.
- 10์ธ์น์ EDTA solution, ๊ณจ์ ~~~
- 30์ด ์ด๋ด์ ๋๋ง
- ์ผ์ ํ๋ฆฌํฐ๊ฐ ์ข์์ผ M, E ๊ตฌ๋ถ ๊ฐ๋ฅ
- M:E, G:E ratio?
- M:E Ratio๋ G:E ratio์ ๋ฌ๋ฆฌ monocyte์ megakaryocyte๋ฅผ ํฌํจํจ.
- Myelo, Erythro ๊ตฌ๋ถํ๋ ๋ฐฉ๋ฒ ์ผ์์ฑ๋ฐ์ ์์
- Myeloid ๊ณํต : ์ฑ์ํ ์๋ก ํต ํฌ๊ธฐ๊ฐ ์์์ง๊ณ ์๊ณก๋จ.
333p ์ฅ๋จ์ ํ๋ ๊ผญ ์ฝ์ด๋ณด๊ธฐ
334p ์ฌํ ๊ณจ์๊ฒ์ฌ
Flow cytometry : ๊ฒฐ๊ณผ๋กค ์ ํํ ๊ฒฐ๊ณผ๋ฅผ ์ป๊ธฐ๋ ์ด๋ ต๋ค
4. Bone marrow classification
Bone marrow hyperplasia
Erythroid hyperplasia
Granulocytic hyperplasia
Megakaryocytic hyperplasia
Bone marrow hypoplasia
Generalized marrow hypoplasia (์ ๋ฐ์ ์ ํ์ฑ)
Selective erythroid hypoplasia (์ ํ์ ์ ํ๊ตฌ๊ณ ์ ํ์ฑ)
Selective megakaryocytic hypoplasia (์ ํ์ ๊ฑฐ๋ํต์ธํฌ ์ ํ์ฑ)
๊ณจ์ ๊ฒ์ฌ์ ๊ฒฐ๊ณผ ํด์
- ์ ๋๋ฌผ์ด ๋น์ฌ์์ฑ ๋นํ(nonregenerative anemia)๋ฅผ ๋ณด์ด๋๊ฐ?
- ์ ์ง์์ ์ธ ํธ์ค๊ตฌ๊ฐ์์ฆ(persistent neutropenia)๋ฅผ ๋ณด์ด๋๊ฐ?
- ์ ํ์ํ๊ฐ์์ฆ(thrombocytopenia)๊ฐ ์๋๊ฐ?
- ๊ณจ์์ ์ข ์์ฑ ๋ณํ(neoplastic process)๊ฐ ์๋๊ฐ?
Hyper&hypocellularity
- ์ธํฌ์ถฉ์ค๋(cellularity)๋ ์ง๋ฐฉ ์กฐ์ง์ ๋น์จ๋ก ํ๋จ.
- ์ง๋ฐฉ ์กฐ์ง(adipose tissue) 75 ์ด์์ด๋ฉด hypocellularity, 25 ๋ฏธ๋ง์ด๋ฉด hypercellularity
- ์ธํฌ ์ถฉ์ค๋ ํ๋จ์๋ aspirate๋ณด๋ค core biopsy๊ฐ ์ ๋ฆฌํ๋ค.
Transclude of 6-1.-Bone-marrow-Figure#^clippedframeq0go4gbterurfqweggleo
Megakaryocytes
- Megakaryocyte๊ฐ ๊ด์ฐฐ๋๋ฉด ๊ณจ์๋ผ๊ณ ํ ์ ์์. ๊ณจ์ ๋๋ง ์ฌ๋ผ์ด๋์ 1๊ฐ ์ด์ ๊ด์ฐฐ๋๋ ๊ฒ์ด ์ผ๋ฐ์ .
- ๊ณ ์์ด์์ ๋น๊ต์ ๋ง์ด ๊ด์ฐฐ๋๋ฉฐ, 2-4๊ฐ๊น์ง ์ ์.
Myeloid, Erythroid ๊ณํต์ ๊ตฌ๋ถ
- ์ผ์์ฑ ์ฐจ์ด๋ก๋ง ๊ตฌ๋ถ
- ํต์ ๋ชจ์์ด ๋ณํ๋์ด ๋ณด์ด๋ ๊ฒ์ myeloid
Maturation & differentiation
Dysplasia
์ข ๋ฅ
- hyperplasia : mature cell ์ ์ฆ๊ฐ
- hypoplasia : mature cell ์ ๊ฐ์
- dysplasia : matureํ์ง ์์ ๋น์ ํ ์ธํฌ์ ์ฆ์
- aplasia
nonhematopoietic cells์ ์ฆ๊ฐ










