๊ด๋ จ ๋ฌธ์
[์ ์ผ๋ณํ] 17. Paramyxoviridae - syncytium์ ํ์ฑ
Etiology
- family Paramyxoviridae
- genus Respirovirus
- (-) ssRNA, enveloped. 150-200nm. ๊ตฌํ, ๋คํ์ฑ.
- human parainfluenza virus 1๊ณผ ๋น์ทํ ์์ ์ฆ์
Clinical signs
- ๊ฐ์์ฑ ์๋ ์ฑ์ ๋ง์ฐ์ค : ๊ตฌ๋ถ๋ฆฐ(hunched) ์์ธ, ruffled fur, ์ฒด์ค ๊ฐ์, ํธํก ๊ณค๋, chattering sound(์ฌ์๊ฑฐ๋ฆฌ๋), ์ฌํ๋ฉด ํ์ฌ
- ์ ํญ์ฑ ์๋ ์ฑ์ ๋ง์ฐ์ค : ๋ฌด์ฆ์
- ๋ฉด์ญ ๊ฒฐํ ๋๋ ์ต์ ๋ง์ฐ์ค : wasting syndrome
- ๋ซ๋ : ๋ง์ฐ์ค์ ๋นํด ๋ณ๋ณ ์ ์. ์ฒด์ค ์ ์ฒด, ์ฐ์ ์ ๊ฐ์. ํธํก๊ธฐ ๋ณ๋ณ์ ๊ฑฐ์ ์์.
- ๋ค๋ฅธ ํธํก๊ธฐ ์ง๋ณ ๋ํ๋ด๋ ๋ณ์์ฒด์ ํผํฉ ๊ฐ์ผ โ ์์ ์ฆ์์ด ์ฌํด์ง.
- Mycoplasma pulmonis, Rodentibacter pneumotropicus, PVM, CAR bacillus
Epizootiology
- ๋ง์ฐ์ค, ๋ซ๋, ํ์คํฐ, ๊ธฐ๋ํผ๊ทธ, (ํ ๋ผ) ๊ฐ์ผ
- ์ ์ผ์ฑ ๋งค์ฐ ๋์ (aerosol๋ก ์ ํ)
- morbidity : 100% ์ฆ์์ ๊ฑฐ์ ๋ค ๋ํ๋จ
- mortality : 0~100%
- ๋ฉด์ญ๊ฒฐํ ๋ง์ฐ์ค์์๋ ์ง์๊ฐ์ผ, immunocompetent : ์ง์๊ฐ์ผX
- ๋ง ์ ์ ๋ ๋ง์ฐ์ค๊ฐ ๊ฐ์ฅ ๋ฏผ๊ฐ.
- 5-7์ฃผ๋ น ๋๋ฌผ์์ ๋ฐ์ด๋ฌ์ค ์ ํ โ 7-14์ผ ๋ด์ ํญ์ฒด๊ฐ ํ์ฑ, ๋ฐ์ด๋ฌ์ค ์์ด์ง.
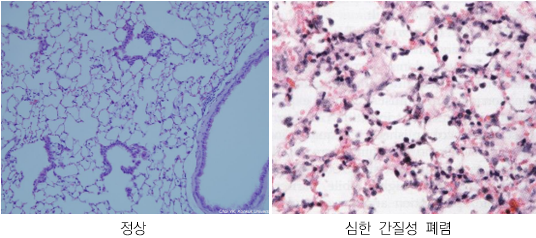
Pathology
- ๋ถ๊ฒ : ์๋(plum)-colored. partial(์ผ๋ถ์๋ง)~complete(์ ์ฒด์ ), consolidation
- ํ๊ฐ, ์ฌ๋ง์ ์ก์ด ์ฐธ
- ๋ฐ์ด๋ฌ์ค ๋ณต์ ๋ airway epithelium, type โ ก pneumocyte, alveolar macrophage์์. (type โ ์ ์ ๊ฒ ๊ฐ์ผ๋จ)
- ๊ฐ์์ฑ ์๋ ๋ง์ฐ์ค์์ ๊ธฐ๊ด์ง ํ๋ ด, ๊ฐ์ง์ฑ ํ๋ ด (๊ฐ์์ฑ ๋ฎ์ผ๋ฉด ๊ธฐ๊ด์งํ๋ ด๋ง)
- multinucleated syncytium์ด ๋๋๋ก SCID mouse์์ ๊ด์ฐฐ
Differential diagnosis

