.jpg)
์๋๋ ํ๊ธฐ
- ์ฟ ์ฑ = ๊ณ ์ฝ๋ฅดํฐ์ํ์ฆ, ๋ถ์ ํผ์ง๊ธฐ๋ฅํญ์ง์ฆ
- ๊ฐ์์ง์์๋ ํํ์ง๋ง
- ๊ณ ์์ด์์๋ iatrogenic์ด ๋ ๋ง์.
Cortisol : ์ฒด๋ด ํญ์์ฑ์ ์กฐ์ ํ๋ steroid hormone
- xksekswl whwjf
- ํ์ ์กฐ์ , ๊ทผ์ก/ํ์ค, โ ๋ฆผํ์ , ์์ถ ๋ฑ์ด ๋ํ๋ ์ ์์.
1. Classification
Hyperadrenocorticism (HAC)
- Pituitary-dependant HAC (PDH) : ๊ฐ์ฅ ๋ง์. (80-85%)
- Functional adrenal tumor-dependent HAC (ATH)
- Occult HAC : ์ฝํฐ์ ์์น๊ฐ ๋์ผ๋ ์ฆ์์ด ์์. โ Early stage cushing ํน์ ๊ณ์ ์ด๋ ๊ฒ ์ ์ง.^[์ค์ฝํฐ์ ํ ๋ฆฌ์ด=ํ์ ์ด๋ ๊ฒ๋ง ๊ฐ๊ณ ์๋ ์ ๋ค ๋ง์]
- Atypical HAC : ๋ถ์ ์์ ๋ถ๋นํ๋ ์ฑํธ๋ฅด๋ชฌ ์์น๊ฐ ๋๊ฒ ๋ํ๋จ.
- Meal/food-induced HAC : ์์ ๋ฑ์ ์๊ทน๋์ด ์๊น, ์ง์ง ๋๋ฌธ ์ผ์ด์ค.
- Iatrogenic HAC : ์คํ ๋ก์ด๋ ์ ํ์ ์ํด ๋ฐ์
Pituitary-dependent HAC
-
HPA Axis์ ์ํฅ์ ๋ฐ์.
-
์ ์ข (์์ฑ) ๋๋ฌธ์ ํธ๋ฅด๋ชฌ ์งํ์ด ๋ฐ์ํ๋ ๊ฒฝ์ฐ๊ฐ ๋ง์.
-
Functional ACTH-secreting pituitary adenoma (85% of PDH)
-
Hyperplasia
-
Carcinoma
-
ganglion cell tumor
-
Pituitary macrotumor syndrome : ๋๋ฌด ์ปค์ง๋ฉด ์ฃผ๋ณ ์กฐ์ง๋..
- ๋ณดํต 3mm๋ ์ ๋๋ ์์ ์ข ๊ดด์ ์ํด ๋ํ๋๋๋ฐ,
- ์ด ์ผ์ด์ค๋ 1cm ์ด์ ์ปค์ง ๋.
- ์์ฑ ์ข ์์ธ ๊ฒฝ์ฐ๊ฐ ๋ง์.
Adrenal gland
- ๋ถ์ ์ข ์์ด ๋ฐ์ํ๋ ๊ฒฝ์ฐ
- medulla ์ชฝ origin
- ์์ ์ ์ฐ์ธก ์ ์ฅ์ด ์กฐ๊ธ ๋ ๋์ด๋ ๋์
Adrenal tumors
- Functional = ๊ณผ๋ํ ํธ๋ฅด๋ชฌ ๋ถ๋น์ ์ํด
- ๋ถ์ ์์ ์ฝํฐ์์ ๋ถ๋นํ๋ ์ข ์ ์์ฒด๊ฐ ์์ธ..
- ์ฑํธ๋ฅด๋ชฌ ๋ฐ์
- Non-functional =
2. Clinical features
Predisposition
- Age : > 6y old
- Breed : Dachshunds, Poodles, Boxers, Boston Terriers, Terrier breeds, German Shepherd dogs, Beagles, Labrador Retrievers, and Australian Shepherds
- Sex : No / functional adrenal tumor๋ ์์ปท์์ ์กฐ๊ธ ๋ ํธ๋ฐ
Common features
(5P signs)

- Polyuria : ์๋ถ์ด๋จ ๋ฐ์
- in cats, ์ง์๋๋ฉด ์๋น์ด ๋ฐ์ํ๋ฉด์ ๋น์ด ๊ฐ์ด ๋น ์ ธ๋๊ฐ (์ฉ์ง์ด๋จ)
- Polydipsia : secondary to PU
- Panting
- Polyphagia : ์คํธ๋ ์ค ๋ฐ์๋ ์ฝํฐ์ ์ฌ๋ผ๊ฐ.
- Pot-belly (abdominal enlargement) = pendulous abdomen
- ๊ฐ๋น๋(hepatopathy), ํผ๋ถ ์์ฒด๊ฐ ์์์ ธ ๊ธด์ฅ๋ ์ ํ, ๋ฐฐ๊ฐ ์ถ ์ณ์ ธ ๋ด๋ ค์ด.
- Skin changes
- Musculoskeletal abnormalities
Skin changes
- Dystrophic calcinosis cutis : ์นผ์์ด ์ด์ํ๊ฒ,, / ํผ๋ถ์ ์ ์นจ์ฐฉ๋จ
- Increased susceptibility to cutaneous infections : ์ธ๊ท ๊ฐ์ผ์ ์ทจ์ฝํด์ง - ํนํ ๋น๋จ๊ธฐ, ํผ๋ถ
- ์ผ๊ตด, ๋ค๋ฆฌ ์ชฝ์ ๋น๊ต์ ์ ์ ๋ํ๋จ. ์ฟ ์ฑ์ค๋ฌ์ด๋ฐ ์ผ๊ตด/๋ค๋ฆฌ ์ชฝ์๋? - ๋ค๋ฅธ ํผ๋ถ ์งํ์ ๋ณ๋ฐ ์์ฌ.
- ์๋ฌ์ง๋ ์คํ ๋ก์ด๋ ์ฐ๋ฉด ์ข์์ง๋๋ฐ, ๊ทธ๋์ ์ฟ ์ฑ ์์ ๋ ์ฝํฐ์ โ, ํผ๋ถ ์ข์์ก๋ค๊ฐ, ์ฟ ์ฑ ์ข์์ง๋ฉด ํผ๋ถ ์ ์ข์์ก๋ค๊ฐ..
| Distribution of skin changes |
|---|
![]() |
| Classical cutaneous signs |
|---|
| - Bilaterally symmetrical alopecia (head&limb๋ ๋จ์์์) - Dry and lusterless haircoat (Curlyํ hair๊ฐ ์ง๋ชจ์ฒ๋ผ ํด์ง) - Variable hyperpigmentation - Hypotonic - Phlebectasias - Comedones (๋ธ๋ํค๋์ฒ๋ผ ๋ณด์) & milia - Calcinosis cutis (mineralization โ ๋ง์ก์ ๋ ๋ ๋ฑ๋ฑํ๊ณ , ์ฌ๊ฐ์ฌ๊ฐํ ๋๋) - Cutaneous ossification (์นผ์ํ๋ฅผ ์ค๋ ๋ฐฉ์นํ๋ฉด ๊ณจํ์ฒ๋ผ ์งํ, ์๋ผ๋ด์ง ์์ผ๋ฉด ์ด๋ป๊ฒ ๋ชปํจ..) |
| (cats) - Skin atrophy - Skin fragillity |
Cardiorespiratory chage
- Systemic hypertension ์ ์ ๊ณ ํ์ ์ ๋ฐ (80% ์ด์ / ์ฌํ ๊ฒฝ์ฐ๋ 50% ์ด์)
- ํ์ ๋ง์ด ์๊น (ํ์ก์ด ๋์ ํด์ง) : ํํ๊ด์ด ๊ฐ์ฅ ๋ง์ด ๋งํ.
- ํ์ ์์น ๊ฐ๋ฅ์ฑ์ด ๋๋ค. โ CHF, ์ฌ๊ทผ๋น๋
- ๊ฐ์ผ ์ทจ์ฝ, ํ๋ ด ๋ฐ์
Urogenital
- Glomerulonephropathy
- UTI โ ์ด๊ฒ๋ ์ฌ์ฅ ๋ฐ๋ฏธ์ง ์ ๋ฐ
- Urolithiasis (์๊ฒฐ์) : Calcium oxalate ํํจ
- Peresistent anestrus
Others
- Insulin-resistant ์ ๋ฐ
- ํ์์ด ๋์์ ์๊ตฌ ์ชฝ ๋ฌธ์
3. Diagnosis
| Baseline Diagnostics |
|---|
| Signalment |
| History taking |
| Physical examination |
| - Systolic - Diastolic |
| Routine laboratory tests |
| CBC - |
| Serum biochemical profile - - isoenzyme โ ์ธ์ธํ ๋ถ๋ฅ |
| TEG ๊ฒ์ฌ - ๊ณผ์๊ณ ์ํ, ํ์ ๊ด๋ จ ๊ฒ์ฌ๋ ์งํ - R, K ๊ฐ ๊ฐ์ / ฮฑ, MA ๊ฐ ์ฆ๊ฐ - ์น๋ฃ ํ ์ ์ํ๋จ. |
| Urinalysis |
| Urine culture |
Endocrine
| Endocrine Diagnostics |
|---|
| Initial endocrine screening |
| - LDDS - Corticotropin - UCCR |
| Differentiation between PDH & ATH |
| - LDDST - High-Dose Dexamethasone Suppression (HDDS) test |
- ๋ด์ธ์ฑ cortisol ์ฆ๊ฐ โ ACTH ๋ถ๋น ๊ฐ์ํจ.
- ํ์ : ์ฌ์ ํ ์ฝํฐ์ ๋๊ฒ ๋์ด.
- Adrenal tumor vs. cushing
- ์ฝํฐ์์ด
- ์ด์ง ์ต์๋์๋ค๊ฐ ์ฌ๋ผ๊ฐ๋ฉด : PDH ๊ฐ๋ฅ์ฑ
- 8์๊ฐ..
ACTH (Cprtocptrpin stimulation test)
- Iatrogenic lseks
HDDS (High-Dose Dexamethasone Suppression) test
- PDH์ ATH ๊ฐ๋ณ : ์์ฆ์ ๋ณต๋ถ์ด์ํ๋ฅผ ๋ ๋ง์ด ํ์ฉ
Imaging
- ๋ณต๊ฐ ์ฅ๊ธฐ๊ฐ ์ปค์ ธ ๋ณต๊ฐ ์ ์๋ ์ฆ๊ฐ
| Radiography (Abd.) - Excellent abdominal detail - Hepatomegaly - Distention of urinary bladder - Cystic calculi - Adrenal mass - Calcified adrenal gland - Dystrophic calcification of soft tissues, calcinosis cutis - Osteoporosis of vertebrae | ![]() |
ใ
![]() | |
| - ํธ์ธก ๋น๋ - ์ข ์ํ๋ ์กฐ์ง์ ์ํฅ์ ์ ๋ฐ๊ณ - ๋ฐ๋์ชฝ ์กฐ์ง์ ์์ถ (์ด๋ฏธ ๊ณผ๋ํ ๋ถ๋น) - ๊ฐ์๊ธฐ ์ ์ ํด๋ฒ๋ฆฌ๋ฉด ์ ์ ๋ถ๊ฐ - ํ๋ณต ๋๊น์ง ์คํ ๋ก์ด๋ ํฌ์ฝ ํ์ | |
| U/S - ๋น๋ (Cr/Cd ํ์ชฝ๋ง ๋น๋๋ผ๋ O) | ![]() |
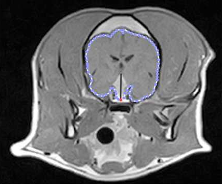
| MRI : ์ฟ ์ฑ๋ง ์๋ ํ์์์ ์ ์ฐ์ง X - ์ ์ข โ ๋ํ์์ฒด ๋น๋ (P:B ratio < 0.31) - ๋ํ์์ฒด ํฌ๊ธฐ๊ฐ 1cm ์ด์์ด๋ฉด ์ ๊ฒฝ์ฆ์ ๊ฐ๋ฅ | ![]() |
4. Treatment
- ์์ ์ฆ์ ์กฐ์ ์ด ๋ชฉํ
| Adrenal-directed | Pituitary-directed |
|---|---|
| - Trilostane : ์ฑํธ๋ฅด๋ชฌ ๋ถ๋น ์ด์ ์์๋ ์ฌ์ฉ - Mitotane - ketoconazole - Adrenalectomy | |
Adrenal-directed Tx.
| Drugs | |
|---|---|
| Trilostane [Vetoryl] | โ๏ธ ๋ฐฅ์ด๋ ๊ฐ์ด ๋จน์ด๋๋ก |
| ๐ ๋ชจ๋ํฐ๋ง 1 : | ![]() - 1-7 ์ฉ๋์ผ๋ก ๋์ค๋ฉด ์ ์ ์ฉ๋์ผ๋ก ๋ณด๊ณ ์ ์ง - ์ต์ 2-3์ผ ์ ๋๋ก ๋จน์ธ ๋ค์ ํ๊ฐ. |
| ๐ ๋ชจ๋ํฐ๋ง 2 base | |
| ๐ฉท Mean survival time | - ๋ ธ๋ น์ ์ง๋จ๋ ๊ฒฝ์ฐ ๋ถ์ ์ |
| โ๋ถ์์ฉ | ๋ถ์ ํผ์ง๊ธฐ๋ฅ์ ํ์ฆ |
| Mitotane [Lysodren] | - ๋ค๋ฅธ ์กฐ์ง ๊ดด์ฌ ์ํ Induction phase - PDH : 15-25mg/kg PO BID - ADH : Maintenance phase - PDH : - ADH : |
| Ketoconazole | - ๊ณฐํก์ด๋ฅผ ์ฃฝ์ด๋ ์ฝ (ํญ์ง๊ท ์ ; -onazole) - ํธ๋ฅด๋ชฌ์ฝ ๋น์ธ์ ๋ชป ์ธ ๋๋ ์ฌ์ฉ - ๊ณฐํก์ด์ ๋ํด์๋ - ํธ๋ฅด๋ชฌ์ ๋ ๊ณ ์ฉ๋์ผ๋ก |
Adrenalectomy
- ์ ํ ๋ถ์์ฉ
- ๋ฐ๋์ชฝ ๋ถ์ ์ด ์์ถ๋ ์ํ : hypocortisol ๋ํ๋ใน ์ ์์ผ๋ฏ๋ก, ์ผ์์ ์ผ๋ก steroid ํฌ์ฝ ํ์.
- ์ํ ์ธ์ : ์ ์ฑ ๊ฐ์ผ์ฑ์ด ์์ ๋..
Pituitary-directed Tx.
| Hypophysectomy | |
|---|---|
| ๋ถ์์ฉ - ์๋ถ์ฆ, ๊ฐ์์ ๊ธฐ๋ฅ์ ํ์ฆ, ๋ถ์ ํผ์ง๊ธฐ๋ฅ์ ํ์ฆ, | |
| ์์ ๋์ด๋๋ฅผ ๊ณ ๋ คํด RT๋ฅผ ๋ ํ์ฉ. | |
| RT ํ ๋ํ์์ฒด ํฌ๊ธฐ๊ฐ ํจ์ฌ ์์์ง ์์. 8๋ง๋ฆฌ ์ค ์ ๋ฐ๋ง ์ ๊ฒฝ์ฆ์ ๊ฐ์ ๋ ๋ ผ๋ฌธ. | |
Iatrogenic HAC
- ์คํ ๋ก์ด๋๋ฅผ ๋ง์ด ์ค์ ๋ฐ์
- ์คํ ๋ก์ด๋๋ฅผ ๋๋ ๊ฒ ์ฐ์ .
- ๊ธฐ์กด ๋ถ์ ?์ด ์ ๋๋ก ๊ธฐ๋ฅ์ ๋ชป ํ๊ณ ์๋๋ฐ ์คํ ๋ก์ด๋๋ฅผ ๊ฐ์๊ธฐ ๋์ผ๋ฉด ๋ถ์ ํผ์ง๊ธฐ๋ฅ์ ํ์ฆ,
Complication management
-
๊ฐ์ฅ ๋ํ์ ์ธ 3๊ฐ์ง
- Secondary bacterial pyoderma, Demodicosis, Calcinosis cutis/Cutaneous ossification
-
์ ํ๋น shock์ด ์ฌ ์ ์์

- ์น๋ฃ ํ ์ ์ํ๋จ.



