๋๊ฐ ์ธ์ ์ฝ์ด๋ ์ดํดํ ์ ์๋๋ก ๊ฐ๋ฅํ ๋งฅ๋ฝ์ ์ด๋ ค ์ ๋ฆฌํ๋ ค ํ์ต๋๋ค. ํต์ฌ ์์ฝ์ ๊ฐ์ ํด๋ณด๋ ๊ฑธ๋ก!
๊ฐ์๊ณํ์
- Mechanisms of Cellular Injury
- Cellular Adaptations & Intracellular Accumulations
- Vascular Disorders & Thrombosis
- Inflammation 1 - Acute Inflammation
- Inflammation 2 - Chronic Inflammation & Healing
- Mechanisms of Microbial Infections
- Disease of Immunity 1 - Hypersensitivity
- Disease of Immunity 2 - Autoimmunity & Immunodeficiency
- Neoplasia 1 - Concepts & Nomenclature
- Neoplasia 2 - Molecular & Biological Behavior
- Alimentary system 1 - Oral cavity & Esophagus
- Alimentary system 2 - Stomach and Intestines
- Hepatobiliary system 1 - Liver & Biliary Tract
- Exocrine Pancreas & Review
๊ฐ๊ด์ ๋ฌธ์ ๋ ๋ต 1๊ฐ or 2๊ฐ ์ฌ์ง ๋ฌธ์ (5๋ถ ๋ก์)
- ์ด๋ค ๋ฐฉ๋ฒ์ผ๋ก ๊ฒ์ฌํ๊ณ , ์์ธ์ฒด๋ ๋ฌด์์ด๋ฉฐ ๊ทธ ์์ธ์ฒด๊ฐ ์ผ์ผํฌ ์ ์๋ ๋ณ์ ๋ฌด์์ธ์ง
- ์ด๋ค ์ฌ์ฅ ๊ธฐํ, ํ์ถ์์ ๋ํ๋๋ ์์ ์ฆ์, ํ์ฒญํ์ ์ฆ์ ์ค์ต ๋ฌธ์ ๋ ๋๋ถ๋ถ ๋ก์, ํํํ์ ์ง๋จ๋ช , ํธ๋ฐ ํ์ข , ์ํ ๋ฑ์ ์์ ๋กญ๊ฒ ๊ธฐ์
[1] Mechanisms and Morphology of Cellular Injury, Adaptation, and Death
1. The Normal Cells
| Basic Features of the Normal Cell | |
|---|---|
![]() ์ฌ์ง ์ค๋ฅ : ๋ชจ๋ eukaryotic cell์ ER์ด ํ๋๋ก ์ฐ๊ฒฐ๋์ด ์๋ค. ์ ๋ ๋์ด์ ธ์ ์กด์ฌํ์ง ์๋๋ค. | - ํ ๊ฐ์ฒด๋ ์ฌ๋ฌ ๊ฐ์ system์ผ๋ก ๋๋ ์ ์๊ณ , ๊ฐ system์ ์ฌ๋ฌ ๊ฐ์ organ์ผ๋ก ๊ตฌ์ฑ๋์ด ์๋ค. - Organ์ ๊ฒฐ๊ตญ ์ธํฌ๋ก ๊ตฌ์ฑ๋์ด ์์ผ๋ฏ๋ก, ์ ์ ์ธํฌ์ ๊ตฌ์กฐ๋ฅผ ์๊ณ ์๋ ๊ฒ์ ์ค์ํ๋ค. - ์ธํฌ๋ ํ ์๋ช ์ฒด์ ๊ตฌ์กฐ์ , ๊ธฐ๋ฅ์ ๋จ์์ด๋ค. - ๋ชจ๋ ์ธํฌ๋ ํญ์์ฑ(Homeostasis) - ์๊ทน์ ๋์ํ๋ ๊ธฐ์ ์ ๊ฐ์ง๋ค. ๊ทธ๋ฌ๋ ์๊ทน์ด ์ค๋ ์ง์๋๋ฉด โ๋ณ๋ณโ (๋น์ ์์ ์ํ)์ด ๋๋ค. - ๊ฐ ์ธํฌ ์๊ธฐ๊ด๋ค์ ํน์ ํ ๊ธฐ๋ฅ์ ์ํํ๋ค. ์ธํฌ ์๊ธฐ๊ด์ ๋ฌธ์ ๋ก ๋ํ๋๋ ์ง๋ณ๋ ๋ง์ผ๋ฏ๋ก ๊ฐ ์ธํฌ์๊ธฐ๊ด์ ๊ธฐ๋ฅ์ ์๋ ๊ฒ๋ ์ค์ํ๋ค. |
1) Nucleus
- ๊ตฌ์ฑ : DNA(์ ์ ๋ฌผ์ง), nucleolus(ํต์ธ; ribosome ํฉ์ฑ)
- ํต๋ง๊ณผ ER์ ์ฐ๊ฒฐ๋์ด ์์.
- ๋ชจ๋ ์ ์ฌ๋ ํต ๋ด์์ ์ผ์ด๋จ.
- ํต, ํต์ธ์ด ์ผ๋ง๋ ๋๋ ทํ๊ฒ ๋ํ๋๋์ง - ์ข ์ ํ๋จ์ ์ค์.
- ํต์ ์์์ ๋น๊ฐ์ญ
2) Cytoplasm & Organelles
- Lysosomes & peroxisomes : ์ํ ๊ธฐ๋ฅ ๋ด๋น. ์ธ๋ถ ์ธ์๋ฅผ ์ ๊ฑฐํ๋ ์ญํ . โ ์ด ๋ถ์์ ๋ฌธ์ ๊ฐ ์๊ธฐ๋ฉด ์ ๊ฒฝ ๋ณ์ฆ.
- ํธ์ผ์ฑ์ ๋ ๋ ์ธํฌ๋ ER์ด ๋ง๊ธฐ ๋๋ฌธ.
- ์ธํฌ ๊ธฐ๋ฅ์ ๋ฐ์ํจ โ ex.'''''' Plasma cell์๋ RER์ด ๋ง๋ค.
| Organelles | |
|---|---|
| Mitochondria | ATP ํฉ์ฑ, apoptosis ์กฐ์ |
| ER (Endoplasmic Reticulum) | RER โ ๋จ๋ฐฑ์ง ํฉ์ฑ |
| Golgi apparatus | ๋จ๋ฐฑ์ง ์ด๋ฐ |
| Lysosomes & Peroxisomes | ์ฐ๊บผ๊ธฐ, ๋ ์ ์ ๊ฑฐ |
3) Plasma Membrane
- ์ธํฌ์ ์ธ์ง์ง ์ด์ค์ธต์๋ ์ฌ๋ฌ ๊ฐ์ง ๋จ๋ฐฑ์ง/๋น๋จ๋ฐฑ์ง์ด ๋ฐํ ์๋ค.
- ํ๋์ ์ธํฌ๋ 100๋ง ๊ฐ ์ ๋์ proteins & glycoproteins๋ฅผ ๊ฐ์ง๋ค.
- ๋น์ฐํ ์ธํฌ ํ๋ฉด์ ์ด ํด์๋ก ๋จ๋ฐฑ์ง์ ๋ง์ด ๊ฐ์ง๋๋ฐ, ์ด๋ฐ ์ธํฌ๋ก๋ ๋ด๋ฐ์ด๋ ๊ทผ์ก์ธํฌ๊ฐ ๋ํ์ ์ด๋ค. (์์ ๋๊ธฐ๊ฐ ๊ธด ๋ด๋ฐ์๋ channel protein์ด๋ receptor๊ฐ ๋ง๋ค.)
- Plasma membrane์ ์กด์ฌํ๋ ๋จ๋ฐฑ์ง๋ค์ marker, channel, enzymes ๋ฑ ๊ฐ๊ฐ์ ๊ธฐ๋ฅ์ ๊ฐ์ง๋ค.
4) Cellular Homeostasis
- Hypertrophy : ์ธํฌ์ ํฌ๊ธฐ๊ฐ ์ปค์ง.
- Hyperplasia : ์ธํฌ์ ์๊ฐ ๋ง์์ง.
- Adaption์ด ์ง์๋์ด injury๋ฅผ ์ ๋ฐํ๋ฉฐ, ์์์ ๊ฐ์ญ์ ์ด๊ฑฐ๋ ๋น๊ฐ์ญ์ ์ผ ์ ์๋ค.
2. Causes of Cell Injury
- Irreversible injury
- Necrosis ๊ฐ์์ค๋ฌ์ด ์ฃฝ์.
- Apoptosis ๊ณํ๋ ์ฃฝ์, signal์ ์ ์ ์ถํ์ง ์์
- Irreparable DNA damage : repair ๋ถ๊ฐ๋ฅํ๋ค๊ณ ํ๋จ
- Apoptosis
๋น๊ฐ์ญ์ ๋ณํ โ ์ข ์์ผ๋ก ๊ฐ ๊ฒ์ด๋? ์ผ์ฆ์ผ๋ก ๊ฐ ๊ฒ์ด๋?
| Oxygen Deprivation (ํํ์ฑ ์์) | - Hypoxia - Ischemia - ๋, ์ฌ์ฅ, ์ ์ฅ ๋ฑ์ ํนํ ์ทจ์ฝ(vulnerable) - ์ ์ฅ์ ๋ค์ด๊ฐ๋ ๋๋งฅ์ด ํ๋์ฌ์, ์ฐํ ๊ฒฝ๋ก๊ฐ ์์. ํํ ์ํฉ์์ ๋น ๋ฅด๊ฒ ์ํฅ ๋ฐ์. + ATP ์๋ชจ๊ฐ ์ปค์ ์ฐ์๊ฐ ๋ถ์กฑํ๋ฉด ๋น ๋ฅด๊ฒ ์ํฅ. |
| Infections/ Immune Causes | - ๋ชจ๋ ์์ธ์ฒด๊ฐ ์์์ ์ ๋ฐํ ์ ์๋ค. - Pattern recognition - ๊ฐ์ผ์ฑ ์์ธ์ฒด์ ์ํ ์์ - ์ด์ ๋์๋ innate immunity์ ์ํด ๊ฐ์ ์์์ ๋ฐ์ ์๋. - ์ธํฌ์ ์ธํฌ ์ฌ์ด ์ฐ๊ฒฐ(junction)์ด ๋๊ธฐ๋ฉด ์ฝ๊ฒ ์ฃฝ์ผ๋ ค๊ณ ํจ. ์ด๋ฐ ๋ถ๋ถ์ ์๊ฐ๋ฉด์ญ์ด ์๊ธฐ๋ฉด |
| Physical/ Chemical Agents | |
| Nutritional/ Genetic Factors | - ๋ผ์ง์ฌ๊ทผ๋ณ์ฆ - ์์ ๋ถ์กฑ ์ ์ ๊ฒฝ์ด ์ํฅ ๋ง์ด ๋ฐ์. Ex) Lysosomal storage diseases |
![]() |
3. Reversible Cell Injury
- ์์์ ์ด๊ธฐ ๋จ๊ณ์์๋ ๋ค์ recovery ๊ฐ๋ฅํจ.
- Morphologic features
- Swelling (=hydropic change, hydropic degeneration) : ๊ฐ์ฅ ๋ํ์ .
- ์ธํฌ ์์ ๋ฌผ์ด ๋ง์์ง, ์ด์จ๊ตฌ๋ฐฐ๊ฐ ์ ๋ง์ Na-K channel ์ด์. ๋ฌผ์ด ๊ณ์ ๋ค์ด์์ ๋ชจ๋ ์ธํฌ ์๊ธฐ๊ด๊น์ง ๋ถํ๊ฒ ๋จ.
- Vacuolization (๊ณตํฌ๊ฐ ๋ง์์ง.)
- Swelling (=hydropic change, hydropic degeneration) : ๊ฐ์ฅ ๋ํ์ .
| Biochemical Features |
| - Anaerobic glycolysis : ๋ํ์ |
| Functional Consequences |
| - ์นผ์ ์นจ์ฐฉ์ ์ข์ ์งํ. - |
![]() ![]() |
- Stress ์ ๊ฑฐ๋๋ฉด โ full recovery ๊ฐ๋ฅ
- Prolonged injury โ irreversible damage๋ก ์ ํ๋ ์ ์์.
4. Oncotic Necrosis (Cell Death by Oncosis)
๋ณ๋ฆฌํ์ ์ผ๋ก ๊ฐ์ฅ ํํ๊ฒ ๊ด์ฐฐํ ์ ์๋ ๋ณํ๋ก, onco=hydropic (swelling) ์ด๋ผ ์๊ฐํ๋ฉด ๋๋ค.

- ์ ์(ํ๋์ ํ์ดํ)์ผ๋ก ๊ฐ์ง ์๊ณ ์ฃฝ๋๋ค๋ฉด(๋นจ๊ฐ์ ํ์ดํ), ์ด๋ฐ ๋ณํ๊ฐ ๋ํ๋ ์ ์๋ค.
Calcium influx์ ์ํด ์ฃฝ๋๋ค mineralization, calcification
Injury โ degeneration โ oncotic necrosis ATP ๊ฒฐํ, ์ด์จ๊ตฌ๋ฐฐ ๋ง๊ฐ์ง, ๋ฌผ์ด ๋ค์ด์ค๊ณ , ์นผ์ ์นจ์ฐฉ, ํ๋ณต๋์ง ๋ชปํ๊ณ ์ฃฝ๋๋ค.
| Morphologic Features |
- ์์ถ โfragmentation โ ์ฌ๋ผ์ง![]() - ํต์ด ์์ด์ ธ ghost-like๋ผ๋ ํํ์ ์ด๋ค. |
![]() |
Apoptosis

| Necrosis | Apoptosis |
|---|---|
| ๋ณ๋ฆฌํ์ ๋ฐ์ | ์๋ฆฌํ์ ๋ฐ์ (๊ณํ๋ ์ฃฝ์) (embryonic digit seperation, thymic involution) * ๋ฌผ๋ก ๋ณ๋ฆฌํ์ ์ํฉ์์๋ ์ผ์ด๋ ์ ์๋ค: radiation์ ์ํ DNA damage, ๋ฐ์ด๋ฌ์ค ๊ฐ์ผ ๋ฑ * ์์ธํฌ = ํต์ ๋ถ๊ฐ๋ฅํ ์ฆ์ ์ํ. Apoptosis๊ฐ ์ ๋๋ก ์๋ํ์ง ์๋ ๊ฒ. |
| ์ผ์ฆ ๋ฐ์์ด ๋ฐ๋ฅธ๋ค. | ์ผ์ฆ ๋ฐ์ ์์ด ๋ฐ๋ก ํ์๋๋ค. |
| pyknosis, karyorrhexis ๋ฑ์ ๊ณตํต์ . | |
| ์ธํฌ๋ง์ blebbing์ ๋์ผํ์ง๋ง, ๋ปฅ ํฐ์ง์ง ์๋๋ค. |
ํ์ ์ด ํด์ถํ๋ ๊ณผ์ ๋ apoptosis๊ฐ ๊ด์ฌ.

Patterns of Necrosis
์ฐธ๊ณ ๋ก Apoptosis๋ pattern์ด ํฌ๊ฒ ์๋ค. ๊ณํ์ ์ผ๋ก ์ด๋ฃจ์ด์ง.
| Patterns | |
|---|---|
| ์๊ณ ๊ดด์ฌ (Coagulative) | - ์๋์ ๊ตฌ์กฐ๊ฐ ๋จ์์๋ค. - Ischemia(ํํ) - Ghost cell์ ํต์ด ๋ค ์ชผ๊ฐ์ง karyolysis ์ํ๋ก, ์๊ณ ๊ดด์ฌ ํจํด์์๋ง ๋ํ๋๋ค. - ์ฌ์ฅ, ์ ์ฅ, ๋น์ฅ์์ ์ ๊ด์ฐฐ๋จ. ๊ตญ์์ ํํ๋ก ์ธํด ์์์ ์ ๋ฐ๋ ์ฅ๊ธฐ๋ค. ![]() |
| ์น์ฆ์ ๊ดด์ฌ (Caseous) | - fibrosis ๋๋ฌธ์ ๊ฒฐ์ ์ ๊ฐ์ฅ์๋ฆฌ๊ฐ ์ํน ๊บผ์ ธ์ ์ธํ๋ถํํด ๋ณด์. - granulomatous inflammation์์ ์ ๋ํ๋จ (: macrophages, epitheliod cells, giant cells๋ก ๋๋ฌ์ธ์) - ๊ตฌ์กฐ๋ฅผ ์์ด๋ฒ๋ฆฌ๊ณ , macrophage ๋์์ด ๋ง๋ค. ![]() |
| ์กํ ๊ดด์ฌ (Liquefactive) | - ์ ๊ฒฝ์์ ๋ง์ด ๊ด์ฐฐ๋จ. (CNS infarction - ๋ ์ฒ์ ์ชฝ, ์ค์ถ์ ๊ฒฝ ์ชฝ) - ๋น ๊ณต๊ฐ์ด ๋ง์๋ณด์. |
| ๊ดด์ ์ฑ ๊ดด์ฌ (Gangrenous) | - dry form : ํํ์ด ์์ธ - wet form : ์ธ๊ท ๊ฐ์ผ์ด ์์ธ - ์ฌ์ง ๋ง๋จ, ์ ์ฒด ๋ง๋จ ๋ถ์์์ ๋ง์ด ๋ฐ์. - ์ฌ์ฅ์์ ๊ฐ์ฅ ๋จผ ๋ถ์์์, ํํ๋ก ์ธํด ๋ฐ์ |
| ์ง๋ฐฉ ๊ดด์ฌ (Fat) | - lipase๊ฐ ์ง๋ฐฉ์กฐ์ง์ ๋ค ๋
น์ โ soap formation - ์ง๋ฐฉ ์กฐ์ง ๊ดด์ฌ๊ฐ ๊ฐ์ฅ ํํ๊ฒ ๊ด์ฐฐ๋ ์ ์์ ๋๊ฐ ์ท์ฅ์ผ. - ์ท์ฅ์ธํฌ์ ๊ดด์ฌ โ ๋ณต๊ฐ๋ด ์ ์ถ โ ๊ทธ ์ํํจ์๋ค์ด ์ท์ฅ ๊ทผ์ฒ ์ง๋ฐฉ์กฐ์ง์ ์น ๋ น์. (ํนํ ๊ธ์ฑ ์๊ฒฌ์ผ ๋ ์ ๋ณด์ธ๋ค) ![]() |
5. Cellular Adaptations oto Stress
Hypertrophy
Pulmonary stenosis: ํ๋๋งฅ์ผ๋ก ๋๊ฐ๋ ํ๊ด์ด ๋งํ โ ํจ์ฌ ์ผ ํ์ผ๋ก ๋ฐ์ด์ค โ Hypertrohy ์ธํฌ์ ๊ทผ์ฌ์ ๊ฐ ์ใ ๋ฅด ์ปค์ง
Hyperplasia ํ ์ธต์ ์ธํฌ๋ก ๋๋ฌ์ธ์ฌ์ผ ํ ์กฐ์ง์ด hyperplasia๋ก ์ธํด
| Hypertrophy | |
| Hyperplasia | - ์ง์์ ์ธ ์ธํฌ์ ์ฆ์์ ์ ์๋ฌผ(neoplasia)์ ํ์ฑํ ์ ์๋ค. |
| Atrophy | - ๋์ด์ ๊ฐ์ฅ ์ฐ๊ด์ฑ์ด ํฌ๋ค. - ๊ฐ์์ ๊ธฐ๋ฅ์ ํ์ฆ โ ๊ฐ์์ ์ ์ผ์ฆ์ - ์ง๋ฐฉ์กฐ์ง์ผ๋ก ๋์ฒด๋จ. - ์์กฐ์ง ์ธํฌ์ ์๊ฐ ์ ์ด์ง. |
| Metaplasia | - ์๋ ์๋ ์ฅ๊ธฐ์์ ์ง์์ ์ธ ์๊ทน์ผ๋ก ์ธํด ๋ฐฉ์ด ๊ธฐ์ ์ด์ง๋ง, ์๋ ํด์ผ ํ ๊ธฐ๋ฅ์ ๋ชป ํ๊ฒ ๋๋ ๋ณํ๋ ์๋ค. - Metaplasia๊ฐ ์์ผ๋ก ์งํ๋๋ค. ์ ์๋ณ๋ณ. |

Intracellular Accumulations
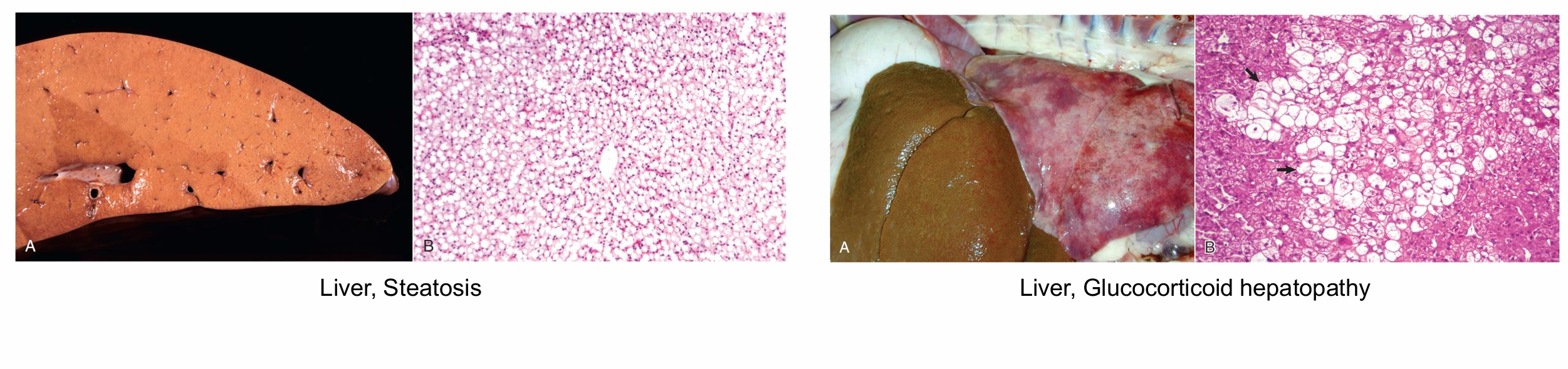
์ธํฌ ์์ ๋ญ๊ฐ ์์ด๋ ์ํฉ์ ๋ณด์. ์ง๋ฐฉ๊ณผ glycogen์ด ์ ์์ธ๋ค.
๋ํ์ ์ผ๋ก ์ง๋ฐฉ๊ฐ์ด ์๋ค. ๋๋ถ๋ถ์ ์ธํฌ์ ๊ณตํฌ๊ฐ ํ์ฑ๋์ด ์๋ค. ์ธํฌ๋ด์ ์ง๋ฐฉ ์ฑ๋ถ์ ์ฌ๋ผ์ด๋๋ฅผ ๋ง๋๋ ๊ณผ์ ์ค์ ์ป๊ฒจ๋ด๋ ค๊ฐ๊ธฐ ๋๋ฌธ์, ๋น์ด ๋ณด์ธ๋ค.
์์ธ : ๊ฐ๋ ์ฑ ๋ฌผ์ง(์ฌ์ผํํ์), ํํ, ๋น๋จ, ๋น๋ง ๋ฑ ๋ค์
๊ฐ์ด ํผ์ก๋ค๋ ๊ฑด ์ด๋ป๊ฒ ์ก์์ ์ ํ์ธํ ๊น. ๋ชจ์๋ฆฌ๊ฐ sharp โ blunt ํด์ง.
* ํฌ๊ณ ๊ฐ์ฅ์๋ฆฌ๊ฐ ๋๋ ทํ ๊ณตํฌ๋ผ๋ฉด ์ง๋ฐฉ, ๊ณตํฌ์ ํฌ๊ธฐ๊ฐ ์๊ณ ๊ฐ์ฅ์๋ฆฌ๊ฐ ๋ถ๋ถ๋ช ํ๋ฉด glycogen์ผ๋ก ๊ตฌ๋ถํจ.
(์ผ) ์ ํ์ ์ธ ์ง๋ฐฉ๊ฐ - ๋๋ฆฌ๋ผ๋ฆฌํ๊ฒ ์ง๋ฐฉ์ด ์์, ๋๋ถ๋ถ์ ๊ฐ์ธํฌ์ ๊ณตํฌ ํ์ฑ / (์ค) ๊ณผ๋ํ gluticorticoid ์ฌ์ฉ์ผ๋ก ์ธํด glycogen (~lipid) ์นจ์ฐฉ
์ ํ์ ์ธ glycogen ์นจ์ฐฉ
- PAS ์ผ์ โ glycogen์ ํน์ด์ ์ผ๋ก ์ผ์. ์ข ๋ ์งํ ๋นจ๊ฐ์์ด glycogen.

- ์ผ๋ฐ์ ์ธ H/E ์ผ์์์๋ ๊ตฌ๋ฉ์ด ๋ฝ๋ฝ ๋ซ๋ฆฐ ๋ชจ์ต.
๋จ๋ฐฑ์ง ์นจ์ฐฉ

- ์ ์ฅ์์ ๊ด์ฐฐ๋ ์ ์๋ ๋ณํ
- ์ธํฌ์ง ๋ด์ ๋๊ธ๋๊ธํ ๊ณผ๋ฆฝ - ๊ณผ๋ฆฝ ํ๋ํ๋๊ฐ ๊ต์ฅํ ํฌ๊ณ ๋๋ ท.
- ์ด๋ฐ ์๊ฒฌ์ ๊ณผ๋ํ ๊ณผ๋ํ ๋จ๋ฐฑ์ง์ฑ ์งํ์ด๋
- PLE(protein-losing enteropathy) โ ์ ์ฅ์์ ์ฌํก์ํ๋ ค๊ณ ๋ ธ๋ ฅํ๊ธฐ ๋๋ฌธ์ ๋จ๋ฐฑ์ง ๊ณผ๋ฆฝ์ด ์ธ๋จ๊ด ๊ณณ๊ณณ์์ ๊ด์ฐฐ๋ ์ ์๋ค.
์์ ์นจ์ฐฉ
๊ฐ์ ๊ณผ๋ฆฝ์ด ๊ณณ๊ณณ์ ์กด์ฌ.
์ถฉํ : ํ๊ด ์์ RBC๊ฐ ๋ง์ด ์ฐจ ์๋ ๊ฒ. ์ถํ : ํ๊ด ๋ฐ์ผ๋ก RBC๊ฐ ๋์์๋ ๊ฒ. ๊ฐ์ ๊ณผ๋ฆฝ : hemosiderosis Hemosiderosis์ ๋ฐ๋ผ ์ถํ์ด ์์๋์ง ์์๋์ง ํ๋จํ๋ ๊ธฐ์ค์ด ๋จ.
๊ฐ๊ณ ์์ด๋ ์๋ฉด ๊ฐ์ ๊ฒ์ ์ด๊ธฐใ ฃ ์์์นจ์ฐฉ์ ์๊น์ด๋ ํจํด์ ๋ฐ๋ผ ์์ธ์ ํ๋จ
Pathologic Calcification
- ์นผ์ ์นจ์ฐฉ์ ๋งค์ฐ ์ค์ํ๋ค.
- ๊ณจ์กฐ์ง์์ ์ ๋ํ osteosarcoma
- ์ก์์ ์ผ๋ก ํ์ ๊ฒฐ์ ํํ๋ก ๋ณด์ผ ์ ์๋ค โ ์นผ์ ์นจ์ฐฉ์ธ์ง, ์นผ์์ด ํ๋ถํ ์กฐ์ง์ด ๋น์ ์์ ์ผ๋ก ์๋ฆฌํ ๊ฒ์ธ์ง ๊ตฌ๋ถํด์ผ ํ๋ค.
- ์ธํฌ ์์ ์นผ์์ด ์ ์ถ๋์ด ์๋ฆฌํ ์๋ ์๊ณ , ํ์ค ์นผ์ ๋๋๊ฐ ๊ณผ๋ํ๊ฒ ๋์ ๋ฐฐ์ถ๋์ง ๋ชปํ๊ณ ์ฒด๋ด์ ์์ด๋ ๊ฒฝ์ฐ๊ฐ ์๋ค. (์ ์นจ์ฐฉ๋๋ ์์น : )
- ํ๋ฏธ๊ฒฝ์ ์๊ฒฌ ; ํธ์ผ์ฑ, ๊ฑฐ์น ํ๊ณ ๊น๋ํ ๋๋
Metastatic calcification
- ์๋ ์นผ์์ด ๋ง์ด ์กด์ฌํ๋ ๋ถ์๊ฐ ์๋๋ฐ ๋ค๋ฅธ ๋ถ์์ ๋์ ์นผ์ ๋๋ ๋๋ฌธ์ ๋น์ ์์ ์ผ๋ก ์์ธ ๊ฒ
- ๊ฐ์ฅ ๋ํ์ ์ธ ์์ธ์ hypercalcemia
- ์ด์ ์์ธ์ ๋ค์ ํ์ ํด์ผ ํ๋ค : hyperparathyroidism, vitamin D toxicity, renal failure, bone destruction(๊ณจ์ ์ฌํก์๊ฐ ์ผ์ด๋๋ฉด..)
- ์นผ์์ด ์ ์นจ์ฐฉ๋๋ common sites๋ ์์ ๋ง, ์ ์ฅ, ํ, ๋๋งฅ ์ฃผ๋ณ. ํ์ค ์นผ์ ๋๋๊ฐ ๋์์ง๋ฉด ํ๊ด ์ฃผ๋ณ์ ํ์ฐ์ ์ผ๋ก ๋ํ๋๋ค.
- Microscopy : interstitial basophilic deposits (Intracellular X - ์ธํฌ ์์ด ์๋๋ผ ์ฌ์ด์ฌ์ด์ ์์.)
Cellular Aging
- ๊ณ ๊ณณ์ ์ฅ๊ธฐ ํน์ด์ ์ธ ์ค๊ธฐ์ธํฌ๊ฐ ์๋๋ฐ, ๊ณ์ ๋ถ์ดํ์ฌ ์๋ก์ด ์ธํฌ๋ฅผ ๋ง๋ค์ด๋.
- ์ฅ๊ธฐ ํน์ด์ ์ค๊ธฐ์ธํฌ์ aging์ด ์๊ธฐ๋ฉด ์ธํฌ ์ฆ์๋ฅ์ด ํ์ ํ๊ฒ ๋จ์ด์ ธ, ์๋ก์ด ์ธํฌ๋ฅผ ๋ง๋ค์ด๋ด์ง ๋ชปํ๋ค. ์ฌ์ ๋ฅ๋ ฅ์ด ๋จ์ด์ง๋ ๊ฒ. ๋์ด ์ ๋ณด์ด๊ณ , ๊ท๊ฐ ์ ๋ค๋ฆฌ๋ ๋ฑ์ ๋ ธํ๊ฐ ์ด๋ ๊ธฐ ๋๋ฌธ. DNA repair์ ๊ฒฐํจ,
Genetic Basis of Disease
1) General Concepts
- ๋ชจ๋ ์ง๋ณ์ ์ ์ ์์ธ์ด ์๋ค๊ณ ๋งํ ์ ์์ ๋งํผ ์ค์ํ์ง๋ง, ์ด๋ค ํ๊ฒฝ์ ๋ ธ์ถ๋์ด ์๋์ง๊ฐ ๋ฐํ์ ๋ง์ด ๊ฒฐ์ ํ๋ค.
- ํ๊ฒฝ์ ์์ธ์ด ์ํํ ์ด์ ๋ ์๋ช ์ฒด์ DNA๋ฅผ ์์์ํค๊ณ , ์ด๊ฒ์ด ๋์ ๋์ด mutation์ ์ ๋ฐํ ์ ์๊ธฐ ๋๋ฌธ์ด๋ค.
- Mutation : ๊ณ์๋ inbreeding์ผ๋ก ์ธํด ์๊ธฐ๋ ๋ฌธ์ ์ . ์ฐ๋ฆฌ๊ฐ ๋ณด๋ ๋ง์ ๊ฐ๋ค์ inbreeding์ ๊ฑฐ์ณค๊ธฐ ๋๋ฌธ์ ํ์ข ํน์ด์ ์ ์ ์งํ์ ๊ฐ์ง๋ค.
- ์ ์ ์์ธ์ โ์์ธโ์ผ ๋ฟ, ํญ์ ๊ฒฐ๊ณผ๋ก ์ด์ด์ง์ง๋ ์๋๋ค. ํ๊ฒฝ์ ์๊ทน์ด๋ ์ถ๊ฐ ์กฐ๊ฑด์ด ๋ฐํ ์ฌ๋ถ, ๋ฐํ ํํ์ ์ํฅ์ ์ค๋ค.
- inherited = ๋ถ๋ชจ๋ก๋ถํฐ ๋ฌผ๋ ค๋ฐ์ ์์ธ / acquired = ํ๊ฒฝ์ ์์ธ (์ํ ์์ ๋ฑ)
- Mutation์ 1๊ฐ์ ์ ์ ์, ์ฌ๋ฌ ๊ฐ์ ์ ์ ์, ํน์ ์ผ์์ฒด ์์ฒด์๋ ์์ ์ ์๋ค. (X-linked โ ์ผ์์ฒด ์์ฒด์ ๋ฌธ์ )
- ์ ์ ์ ๊ฒฐํจ์ ํญ์ ์์์ด๋ ๊ธฐ๋ฅ ์ด์์ผ๋ก ๋ํ๋์ง๋ ์๋๋ค. (can predispose)
2) Types of genetic mutations
์ด๋ค mutation์ด ์ด๋ค ์ง๋ณ์ ์ ๋ฐํ ์ ์๋์ง๋ ์์๋์ผ ํจ. ํน์ ์ ์ ์์ธ๊ณผ ๊ด๋ จ๋ ์ง๋ณ์ ์์๋ ํ์๊ฐ ์๋ค.
| Point mutations | single nucleotide changes โ missense, nonsense |
| Insertions/deletions | frameshifts altering reading frame |
| Trinucleotide repeat expansions | e.g., Huntingtonโs, fragile X. |
| Chromosomal abnormalities | deletions, duplications, translocations |
germline mutation : ํ์ด๋ ๋๋ถํฐ ์ด๋ฏธ ๋ฐ์ ๊ฒ. somatic mutation : ํ์ด๋ ์ดํ์ ์ป์ด์ง ๊ฒ. ํํํ ๋ฐํ ๋น๋์ ์ฐจ์ด๊ฐ ๋จ.
| Single-Gene Disorders | - Enzyme defects : lysosomal storage diseases - Receptor๊ฐ ์ ๋๋ก ์๋ํ์ง ์๊ฑฐ๋(receptor defects) โ familial hypercholesterolemia - ์ด์จ ์ฑ๋ถ์ ์ฃผ๊ณ ๋ฐ๋ channel์ ๋ฌธ์ ๊ฐ ์๊ฒผ์ ๋ (channel defects) โ ion channelopathies |
| Multifactorial Disorders | * ์ ์ ์์ธ + ํ๊ฒฝ - Hip dysplasia : ์ ์ ์์ธ์ด ์์ผ๋ฉฐ, ํ๋์ ์ด๊ฑฐ๋ ๊ณจ๋ฐ์ ์ถฉ๊ฒฉ์ด ๋ง์ด ๊ฐ๋ ํ๊ฒฝ์ ์์ผ๋ฉด ๋์ ํ๋ฅ ๋ก ๋ฐํ๋จ. - Diabetes melitus : - Cancer predisposition : ์์ ์ค๋ ์๊ฐ์ ์ถ์ ์ผ๋ก ๋ฐํ๋จ, ํ๊ฒฝ ์์ธ์ด ๋ง์ ์ํฅ์ ๋ฏธ์นจ. |
| Chromosomal & Mitochondrial Abnormalities |
| Genetic Disorders by Species | Breeds |
|---|---|
| Dog | |
| Amyloidosis | Shar-Pei, Beagle |
| Muscular dystrophy | Golden Retriever, Irish Terrier |
| Copper toxicosis | Bedlington Terrier, Labrador Retriever |
| Osteogenesis imperfecta | Beagle, Dachshund |
| Cat | |
| Polycystic kidney disease | Persian, related breeds |
| Mucopolysaccharidosis VI | Siamese, Domestic Shorthair |
| GM1 gangliosidosis | Korats |
| Hypokalemic polymyopathy | Burmese |
| Pig | |
| Porcine stress syndrome (malignant hyperthermia) | Landrace, Pietrain |
| Splay leg | Various breeds |
| Horse | |
| Hyperkalemic periodic paralysis (HYPP) | Quarter Horse |
| Glycogen branching enzyme deficiency | Quarter Horse, Paint Horse |
| Severe combined immunodeficiency (SCID) | Arabian |
| Overo lethal white foal syndrome | Paint Horse |
| Cattle | |
| BLAD (Bovine leukocyte adhesion deficiency) | Holstein |
| Deficiency of uridine monophosphate synthase (DUMPS) | Holstein |
| Complex vertebral malformation (CVM) | Holstein |
| Bovine citrullinemia | Holstein |








