๊ธฐ๋ณธ ์ ๋ณด
- ์ ํ๋ช ::
- ๋ถ๋ฅ :: ์ฝ๋ฆฐ์ฑ ์์ฉ์ > ๊ฐ์ ์์ฉ์ฑ (Acetylcholinesterase inhibitor)
- ํน์ง ::
- ์์ ::
๊ด๋ จ ๋ฌธ์
- ์ฝ๋ฆฌ1(A) - Ch.4-5 ์ฝ๋ฆฐ์ฑ ์์ฉ์ ์ ๊ธธํญ์
- ๊ฐ์ ์์ฉ์ฑ ์ฝ๋ฆฐ์ฑ ์์ฉ์ ๋ ์์ธํธ์ฝ๋ฆฐ์ ๋ถํดํ๋ ํจ์ AChE(Acetylcholinesterase)๋ฅผ ์ต์ ํจ์ผ๋ก์จ ์ฝ๋ฆฐ์ฑ ๋ด๋ฐ์ ์ด์ง์ํค๋ ์์ฉ์ ๋ํ๋ธ๋ค. ๊ฐ์ญ์ ํญ์ฝ๋ฆฐ์์คํฐ๋ผ์์ ์ ๋น๊ฐ์ญ์ ํญ์ฝ๋ฆฐ์์คํฐ๋ผ์์ ๊ฐ ์๋ค.
- ๊ฐ์ญ์ ํญ์ฝ๋ฆฐ์์คํฐ๋ผ์์ (anticholinesterases)๋ AChE์ ์ต์ ์ ๋ก์ ACh์ ๋ถํด๋ฅผ ๋ง์ ACh๋ฅผ ์ถ์ ์ํจ๋ฉฐ, ๋ชจ๋ ์ฝ๋ฆฐ์ฑ ์์ฉ์ฒด์ ๋ฐ์์ ์ผ์ผํจ๋ค. Edrophonium(์๋๋กํฌ๋), physostigmine(ํผ์ฃ ์คํฐ๊ทธ๋ฏผ), neostigmine(๋ค์ค์คํฐ๊ทธ๋ฏผ) ๋ฑ์ด ์๋ค.
๊ด๋ จ ์์ ๋ด์ฉ
Diagnosis
- P/E (๊ตฌํ ๋ณด๋ค ํ ์ถ)
- X-ray (ํ์ ์์ด ์๋ํ์ฅ๋ง ์๋ ๊ฑด์ง ํ์ธ)
- Fluoroscopy (gastroesophageal reflux ํ์ธ)
- ์๋ ํญ๋ชฉ๋ค๋ก ๊ฒ์ฌ ๊ฐ๋ฅ, ๋ค ๋ฐฐ์ ๋๋ฉด idiopathic
์ง๋จ ๊ฒ์ฌ R/O Acetylcholine receptor antibodies titration
(MG : AchE receptor์ ํญ์ฒด๊ฐ ๋ถ์ด ์์ธํธ์ฝ๋ฆฐ ๋ฐ์ ์ ํ)โ ๋ฉด์ญ๋งค๊ฐ์ฑ myasthenia gravis * Tensilon test : ์์์ฑ ๊ฐ๋ฅ์ฑ ๋๋ ๋น์ฉ ๋ถ๋ด์ผ๋ก ์ธํด ์น๋ฃ ๋ชฉ์ ์ ์ง๋จ์ ํ๊ณ ์ถ๋ค๋ฉด. < Resting serum cortisol โ Occult hypoadrenocorticism Electromyography โ Generalized neuropathies / myopathies Dysautonomia (์์จ์ ๊ฒฝ๊ณ ์ด์์ฆ ๊ฒ์ฌ) โ Dysautonomia Thyroid panel
๊ฐ์์ ๊ธฐ๋ฅ์ ํ์ฆ์ด๋ฉด โ negative feedback์ผ๋ก TSH ๊ณ์ ๋ถ๋น.
โ๏ธ Thyroxine ๋ฎ๊ณ (serum thyroxine, free thyroxine โ)
โ๏ธ TSH (thyroid-stimulating hormone) ๋์ผ๋ฉด ๊ฐ๊ธฐ์ ํ์ง.โ Hypothyroidism (dogs) Tensilon test (edrophonium test)
- Edrophonium์ 5-10๋ถ ์ ๋ ์งง๊ฒ ์ ์ง๋๋ ์ฃผ์ฌ์ .
- ๊ณผ๋ํ ์ด๋์ผ๋ก ํ๋ ฅ ์ํ๋ฅผ ์ ๋ฐํ ๋ค, ์ฝ๋ฌผ์ ์จ์ ๊ทธ ์ฆ์์ด ์ฌ๋ผ์ง๋ฉด MG๋ก ์ง๋จ.
- ํน์ Focal MG์์ ๊ฒฝ์ฐ ์ผ์์ ์ผ๋ก ๊ฑฐ๋์๋์ฆ์ด ์ํ๋จ.
Link to originalDysautonomia (๐ 1.10 ์์จ์ ๊ฒฝ๊ณ ์ด์์ฆ)
- ๊ต๊ฐ์ ๊ฒฝ & ๋ถ๊ต๊ฐ ์ ๊ฒฝ์ ๋ชจ๋ ์ด์์ด ๋ฐ์ but ์ฃผ๋ก ๋ถ๊ต๊ฐ ์ ๊ฒฝ์ ๋ฌธ์
- dilated colon, dry nose, dilated pupils, keratoconjunctivitis sicca, bradycardia
- ์ฆ์๋ ์ฃผ๋ก ๋ถ๊ต๊ฐ ์ ๊ฒฝ (์ถ๋, ์ฅ๊ธฐ ์ฐ์ถ ์ด๋, ์๋งฅ ์ ๋ฐ, ๋๋ฌผ) ๊ด๋ จ
: ์ฐ๋, ์ฅ๊ธฐ ๋์ด๋จ, ๊ฑด์ฑ ๊ฐ๊ฒฐ๋ง์ผ ๋ฑ- ๋จ ๊ต๊ฐ ์ ๊ฒฝ๋ ๊ฐ์ด ์ ํ๋๋ฉด์ ๋น๋งฅ์ด ์๋ ์๋งฅ์ด ์ฐพ์์ด.
Treatment
Link to original
Localized myasthenia (Focal MG ์น๋ฃ)
- Anticholinesterase (edrophonium, pyridostigmine, neostigmine)
- Pyridostigmine์ ๊ฒฝ๊ตฌ์ ๋ก ๊ฐ๋ฅํ๊ณ 8์๊ฐ ์ ๋ ์ง์. ์น๋ฃ ๋ชฉ์ ์ผ๋ก ์ ์ฌ์ฉ.
- ๋ถ์กฑํ acetylcholine์ ์ฑ์์ฃผ๊ธฐ ์ํด ๊ณ์ ๊ฒฝ๊ตฌ์ ๋ก ๋ณต์ฉ
- ๋ฉด์ญ์ต์ ์ ์น๋ฃ (azathioprine, prednisolone) : ๊ทผ๋ณธ์ ์ธ ๋ฌธ์ ํด๊ฒฐ ์๋
Gastroesophageal reflux (์ญ๋ฅ๋ก ์ธํ ์๋ ์์ ๋ฐฉ์ง)
- Prokinetic (cisapride 0.25mg/kg) : ์๋ ์ด๋์ฑ์ ๋์ฌ ์ ์ฒด๋์ง ์๋๋ก
- Antacid (์ ์ฐ์ , omeprazole 1-2mg/kg) : ๊ฐํ ์ฐ์ฑ์ ์คํ. ํญํ์คํ๋ฏผ์ ๋ณด๋ค PPi๊ฐ ํจ๊ณผ ์ข์.
Idiopathic โ conservative dietary therapy (์๋จ ์กฐ์ ์ด ์ ์ผ. ์์ ๋ฐฅ์ ๋จน์ด๊ฑฐ๋ ์ญ๋ฅ๋ฅผ ์ค์ด๋..)
Gastrostomy tubes : ์ฌํ ๋ ์ ์ฉํ ์ ์์ง๋ง, ํ์ง๋ง ๋ง์ทจ์ ์ํ reflux ์ฆ๊ฐ ๋๋ฌธ์ ์ํ
Neuromuscular junction disorder
- ์ ๊ฒฝ์ ๋ฌ๋ฌผ์ง (acetylcholine ๋ฑ) : nerve ending์์ muscle๋ก ์ ํธ ์ ๋ฌ, ์ ์ผ๋ฉด ๋ชธ์ ํ์ด ์์ด ๋์ด์ง๊ณ , ๋ง์ผ๋ฉด ๊ทผ์ก ๊ฐ์ง ๋ฑ
- ์ค์ฆ๊ทผ๋ฌด๋ ฅ์ฆ โ ๋ฐ์ด๋ค๋๋ค๊ฐ ๊ฐ์๊ธฐ ์ฐ๋ฌ์ง
- ์ ์ฒ์ฑ ์ค์ฆ ๊ทผ๋ฌด๋ ฅ์ฆ : acetylcholine ์์ฉ์ฒด๊ฐ ๋ถ์กฑํ๊ฒ ํ์ด๋จ.
- Acquired myasthenia gravis (ํ์ฒ์ฑ ์ค์ฆ ๊ทผ๋ฌด๋ ฅ์ฆ) : acetylcholine receptor์ ๋ํ antibody๊ฐ ํ์ฑ๋์ด ๋์ ๋ถ์. โ ๋ง๋น
- ์ง๋จํ๋ ค๋ฉด Ach receptor Ab๋ฅผ ๊ฒ์ฌํ๋ฉด ๋จ.
- Acetylcholinesterase inhibitor (edrophonium, neostigmine, pyridostigmine) โ Ach ๋ถํด๋ฅผ ์ต์ , ์ค์ฆ๊ทผ๋ฌด๋ ฅ์ฆ ์น๋ฃ
- ๋ถ์์ฉ : ์ํ๊ธฐ๊ณ์ ๊ณผ๋ํ ์ด๋์ผ๋ก ์ค์ฌ๋ฅผ ์ ๋ฐํ ์ ์์
- Tensilon (edrophonium) test ๋ฅผ ํตํด ์ค์ฆ๊ทผ๋ฌด๋ ฅ์ฆ์ ํ ์คํธํจ. (์น๋ฃ์ ์ง๋จ)
- ๊ตญ์์ ๋๋ ์ ์ ์ ์ผ๋ก ์ค๋ motility disorder.
Megaesophagus๋ฅผ ์ ๋ฐํ๋ ์์ธ
- Myasthenia gravis
- Esophagitis
- Endocrine disease (๋ด๋ถ๋น ์งํ)
- hypothyroidism, Addisonโs disease
- SLE, polymyopathies (๋ค๋ฐ์ฑ ๊ทผ์ผ)
- Idiopathic
- Thymoma (thymus์ ์๊ธด cancer)
- Botulism (์์ ์๋ชป ๋จน์ด์ ๋ ์ ๋ฐ์)
Further examination
- Ach receptor antibody test
- ANA test : SLE ๊ฐ๋ณ
- Thyroid profile (T4, fT4, TSH, Thyroid Ab)
- ACTH stimulation test : Cushing, Addison ๊ฐ๋ณ
๐ Case 2 : Acquired MG
Case) 12yrs, YT, 2.7kg, Regurgitation ๊ฒฝ๋ถ X-ray
- ๊ฒฝ๋ถ esophagus๊ฐ ํ์ฅ๋๊ณ , ๊ณต๊ธฐ๊ฐ ์ฐจ ์์ (๊ฒ์์)
- ์ด๋ฌผ์ง, ์ข ์ ์์ฌ ์๊ฒฌ์ ์ ๋ณด์
- ์๋์ motility์ ๋ฌธ์ ๊ฐ ์๊ธด ๊ฒ์ผ๋ก ์์ฌ, ์กฐ์์
(์ด์ ๋ ๊ธฐ์ ์ด ๋ฐ์ ํด fluoroscopy ์ดฌ์ํ๋ฉด ๋จ)๋ฐ๋ฅจ ์กฐ์์ X-ray
- 5๋ถ ๋ด๋ก ์๋์์ ๋ฐ๋ฅจ ์ ๋ณด์ฌ์ผ ์ ์.
- ์ด ํ์๋ 30๋ถ์ด ์ง๋๋ ์๋์์ ๋ฐ๋ฅจ ๋ณด์.
- ์, ์ฅ์์๋ ์ ์ด๋ํ๊ณ ์์.
โ ์๋์ ์ด๋์ฑ ์ ํ (esophageal hypomotility)
- Neuromuscular dz๋ ๋ถ์๋ณ๋ก ๋ค๋ฅด๊ฒ ๋ํ๋ ์ ์์.
- ์๋ ๋ฌด๊ธด์ฅ์ฆ โ ์ฐ๋์ด๋ ๋ถ๊ฐ๋ก ์ธํ ์ญ๋ฅ
*๋ฌด๊ธด์ฅ์ฆ(atony) : ๊ทผ์ก์ ๊ธด์ฅ์ด ๊ฐํด ๋๋ ์์ค๋ ์ํ
*์ atony โ ์ฅ์ผ๋ก ๋ด์ฉ๋ฌผ ์ด๋ ๋ถ๊ฐ
- ์๋ ์ ์ฒด ๋ง๋น๊ฐ ์๋, ์๋ถ ์๋ ๋ถ๊ทผ์๋ง ๋ถ๋ถ์ ์ผ๋ก ๋ง๋น๊ฐ ์จ ์ผ์ด์ค.
โ ์ค์ฆ ๊ทผ๋ฌด๋ ฅ์ฆ ์ด๊ธฐNeostigmine ํฌ์ฌ (tensilon test)
- Ach-esterase inhibitor ์ฌ์ฉ
โ ์๋ ๊ทผ์ก์ ์ด๋์ฑ์ด ํ๋ณต๋์ด ์กฐ์์ ๋ด๋ ค๊ฐ
- AchE inhibitor๋ ์ํ๊ธฐ๊ณ์ ๊ณผ๋ํ ์ด๋์ผ๋ก ์ค์ฌ ์ ๋ฐ ์นด๊ณต
- ์ ๊ฒฝ๊ทผ ๋ฌธ์ ์ ๋ํ์ ์ธ ์์์ฆ์์ ๊ตฌํ
(๐ ํญ๊ตฌํ ์ (antiemetics) : metronidazole, ondansetron, maropitant)
- ์ง๋จ ์์ด ๊ตฌํ ์ ๋ํ ๋์ฆ์น๋ฃ๋ง?
โ ์ฌ์ฅ๊ทผ ๋ฌธ์ ๋ก ์งํ๋์ด ์ฌ์ฅ๋ง๋น๋ก ์ฌ๋งํ ์ ์์.- Ach receptor Ab ์์ฑ
โ Dx : Acquired focal Myasthenia gravis
๐ pyridostigmine (1mg/kg BID PO) : AchE inhibitor
๐ mosapride (1.5mg/kg BID PO) : Prokinetics๐ Case 3 : Thymoma-induced MG
S
Schnauzer / 8Y / IM / CC : Vomiting, Regurgitation, Hypersalivation (1์ฃผ ์
O
X-ray ์ดฌ์
Fluoroscopy โ ์๋ ์ด๋์ฑ ๊ฐ์ / ํ๋ถ ์๋ ๊ด์ฝ๊ทผ ๊ธด์ฅ๋ ๊ฐ์ / ์์์ ์ญ๋ฅ(regurgitation)
Serum Ach receptor Ab ์์ฑ (2.93nmol/L)
A & P
โ Acquired myasthenia gravis (focal form)
Progress note
- 1์ฐจ ์ฝ๋ฌผ ์น๋ฃ | mosapride (1.5mg/kg BID), standing position after feeding
- 1์ฃผ ๋ค | ์์ ์ฆ์ ๊ฐ์ (vomiting, regurgitation, hypersalivation), but ์ฝ์ ๋์ผ๋ฉด 8์๊ฐ ํ ์ฌ๋ฐ
- 2์ฐจ ์ฝ๋ฌผ ์น๋ฃ | ๊ณ์ ์ฆ์ ์ฌ๋ฐ, ์น๋ฃ๊ฐ ์ ๋์ด ์ฝ ์ฉ๋ ๋๋ฆผ โ mosapride (BID โ TID)
- ๋ถ๋ถ์ ์ผ๋ก ๋ฐ์, ์๋์์ ์ ์ ๋ด๋ ค๊ฐ (Partial improvement - ์๋ ์ด๋์ฑ ๊ฐ์, ํ๋ถ ์๋ ๊ด์ฝ๊ทผ ๊ธด์ฅ๋ ๊ฐ์, mildํ ์ญ๋ฅ
- 10์ฃผ ๋ค | ์์ ์ฆ์ ์ ํ (intermittent hypersalivation) : MG ์น๋ฃ๋ฅผ 10์ฃผ ํ๋๋ฐ๋ ํฌํํ๊ฒ ์ ๋์.
- 3์ฐจ ์ฝ๋ฌผ ์น๋ฃ | ์ฝ๋ฌผ ์ฉ๋ ์ฌ๋ฆผ โ mosapride (1.5 โ 2.5 mg/kg TID)
- Barium ๋ฃ์์ ๋ ๋ค์ ์ ์ฒ๋ผ ์์ฒญ ์ฒ์ฒํ ๋ด๋ ค๊ฐ
- 12์ฃผ ๋ค | ์ฝ๋ฌผ ์ฉ๋์ด ๋ถ์กฑํ๋..? ๊ทผ๋ฐ hypersalivation, ๋น๋งฅ ๋ฑ ๋ถ์์ฉ๋ง ๋ฐ์
(์ง๊ธ๊น์ง ๊ฒ์ฌ์ ์น๋ฃ์๋ง 1500๋ง์ ์ผ๋๋ฐ ์ง๋จ์ด ์ ๋จ..) โ ์์ thymoma๊ฐ ์์ ์ ์์ผ๋ ๊ฒ์ฌ๋ฅผ ํ๋ฒ ๋ ํด๋ณด์.
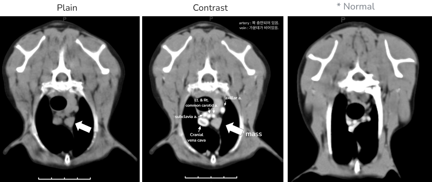
CT ์ดฌ์ - artery๋ ์์ง๋ง ์์ ๋น ๊ณต๊ฐ์ด ์์ด ํ์๋ค (ํ์ก ํ๋ฆ์ด ๋น ๋ฆ)
- vein์ ์ข ๋ ํฌ๊ณ ๊ฐ์ด๋ฐ๊ฐ ๋๋์ฒ๋ผ ๋น์ด ์๋ค (ํ์ก ํ๋ฆ์ด ๋๋ฆผ)
- ๊ทธ๋ฐ๋ฐ artery๋ vein๋ ์๋ ๋ฌด์ธ๊ฐ๊ฐ ์๋ค - ๋๊ฒ ์์์ X-ray์์๋ ๋์ค์ง ์์.โ CT์ ์์ thymoma๊ฐ ๊ด์ฐฐ๋จ.
โ ์์ ์ ์ผ๋ก ์ ๊ฑฐํ๋๋ ์ฝ๋ ํ์ ์์ด ์ฆ์์ด ์น ๋์.โ ์ต์ข ์ง๋จ : Thymoma์ ์ํ ์ค์ฆ ๊ทผ๋ฌด๋ ฅ์ฆ (์ฐ๋ฆฌ๋๋ผ ์ต์ด์ ์ผ์ด์ค) (๊ต๊ณผ์์์๋ thymoma = cranial mediastinum์ ํฐ ์ข ์์ด๋ผ๊ณ ๋์ด, ํ์ง๋ง ์ด๋ ๊ฒ ์์ small size thymoma๋ ์์ ์ ์๋ค. ๊ต๊ณผ์์๋ ์ ํ์ ์ธ ๊ฒ๋ง ์๋ค~!)
MG ๋ฐ์ ๊ธฐ์
โ๏ธ ์ ์ ์ MG : ๋ง ์ด๋ํ๋ค๊ฐ ๊ฐ์๊ธฐ ํฝ ์ฐ๋ฌ์ง๋ ์ ๋ค, edrophonium ์ฃผ๋ฉด 20์ด ๋ง์ ๋ฒ๋ก ์ผ์ด๋จ.
โ๏ธ Focal MG : ์๋/์/์์ฅ/๋์ฅ์๋ง ๊ตญ์์ ์ผ๋ก ์ค๋ ๊ฒฝ์ฐ, ์ํ๊ธฐ ์ด๋์ฑ์ด ๋จ์ด์ง. โ ์ฆ์์ ์ํ๊ธฐ์ง๋ง ์์ธ์ ์ ๊ฒฝํ์ . ์์ ์ด ์๋๋ผ ์ฝ๋ฌผ๋ก ์น๋ฃํด์ผ ํจ.
์ ๊ฒฝ ์ ๋ฌ ๊ณผ์ choline acetyl transferase์ ์ํด acetyl CoA๊ฐ acetylcholine์ผ๋ก ๋ฐ๋, ์ด ๊ณผ์ ์ ์์ฉํ๋ ๋ฏธ๋ค๋์ด Ca2+.
์ฆ, Ca์ด ์์ด์ผ๋ง acetylcholine์ด ๋ณด์๊ธฐ์ฒ๋ผ ๋ด๊ฒจ, post-synapse๋ก ์ด๋ํ ์ ์์.
- Hypocalcemia : Ach์ด release๋์ง ๋ชปํด ๊ทผ์ก ์ด์ (์ฅ ์ด๋ ์ ํ ๋ฑ)
- Hypercalcemia : ๊ฐ์ง์ฆ, ์ฌ์ฅ ์์ถ๋ ฅ ์ฆ๊ฐ(๋น๋งฅ)
โ Calcium channel blocker - Ach ์ ๊ฒ ๋ถ๋น, ํ๋ถ๊ทน ์ง์ฐ, ์ฌ์ฅ์ ์ฒ์ฒํ ๋ฐ๊ฒ ํจ / ์ด์๊ธฐ ๋ฌธ์ ์ธ HCM ๋ฑ์ ์ ์ฉ (amlodipine, verapamil, diltiazem)Medication
Link to original
- GI tract funcion ๊ฐ์ ์น๋ฃ
- Anticholinesterase therapy
- ํ์ฒ์ฑ(์๊ฐ๋ฉด์ญ์ฑ) โ Immune suppressive therapy : thymoma์ ์ํด ํญ์ฒด๊ฐ ํ์ฑ, ํญ์ฒด๋ฅผ ์ฐจ๋จํ๋ ๋ฉด์ญ์ต์ ์ ํ์ (cyclosporine, MMF, leflunomide)
---4.-Neoplasia--and--Neuromuscular--and--Refractory-cases/../../../../Settings/Attached-files/Pasted-image-20250419075249.png)
---4.-Neoplasia--and--Neuromuscular--and--Refractory-cases/../../../../Settings/Attached-files/Pasted-image-20250419075311.png)
---4.-Neoplasia--and--Neuromuscular--and--Refractory-cases/../../../../Settings/Attached-files/Pasted-image-20250419075333.png)
---4.-Neoplasia--and--Neuromuscular--and--Refractory-cases/../../../../Settings/Attached-files/Pasted-image-20250419082315.png)
---4.-Neoplasia--and--Neuromuscular--and--Refractory-cases/../../../../Settings/Attached-files/Pasted-image-20250419084429.png)
---4.-Neoplasia--and--Neuromuscular--and--Refractory-cases/../../../../Settings/Attached-files/Pasted-image-20250411153515.png)
---4.-Neoplasia--and--Neuromuscular--and--Refractory-cases/../../../../Settings/Attached-files/Pasted-image-20250419150406.png)