Recurrent epithelial erosion = SCCED (Spontaneous chronic corneal epithelial defect)
- non-healing ulcer, indolent ulcer, boxer ulcer ๋ฑ์ผ๋ก ๋ถ๋ฆผ.
- Epithelium์ด stroma์ ์ ์ฅ์ฐฉ๋์ง ์์ผ๋ฉด์ ๋ฐ์
- ์ฌ๋, ๊ฐ์์ ์ฃผ๋ก ๋ฐ์. ๊ณ ์์ด์์๋ ๋ฐ์X. ํํผ์ค์ ์ํด ๋น์ทํ๊ฒ๋ ๋ฐ์
- (1) hemidesmosome์ population?์ด ์ ์ โ ์ ๋ฏ๊ฒจ๋๊ฐ๊ธฐ ์ฌ์.
- (2) epithelial dystrophy -
- vesi.. ์์ฝ์ ๊ณผ๋ํ๊ฒ ์ฒ๋ฐฉํด์ epithelium ์์
- ๋ฐฑ๋ด์ฅ์ ๊ธฐ๋ณธ์ ์ผ๋ก 5๊ฐ ์ฝ์ฏค ์. ์ฅ๊ธฐ๊ฐ ์ฐ๋ฉด benzene.. ? ๋ณด์กด์ ๋๋ฌธ์ anchoring fibrils๊ฐ ์์.
- ๊ณ ์์ด์์๋ ์์. indolent corneal ulcer ์์ฒด๋ FHV์ ์ํด ์ํผ์ธํฌ๊ฐ ์์๋์ด ๋ฐ์ ๊ฐ๋ฅ.
- Burmese, Persian cat : ๋จ๋์ข ๊ณ ์์ด์์ ํนํ. herpes ๊ฐ์ผ์ ๋๊ตฌ๋ ์ ๋์ง๋ง, indolent ulcer๋ ๋จ๋์ข ์์ ์ ๋ณด์.
- ๊ณ ์์ด ์น๋ฃ์์๋ Grid ์ฌ์ฉํ๋ฉด ์ ๋จ. (sequestrum ์์)
- Deibridement๋ฅผ ๋ฐ๊นฅ์ชฝ์ผ๋ก ์ํํ๋ฉด virus์ seeding

- ์ด๋ ๊ฒ debridement(๊น์์) ์น๋ฃํด์ค, ์จ์ด์๋ ์ธํฌ๋ฅผ ์ต๋ํ ์์ ๊ณ .
์น๋ฃ : Debridement plus a grid keratotomy (GK)

- ํ๋ด์ผ ํ๋ค.
- ๊ต์๋์ ๊ถค์ ๋ฐ๊นฅ์ชฝ์ผ๋ก ์ํผ๋ฅผ ๊ธ์ด๋ด๋ ํธ. ์ํผ๋ ์ด์ฐจํผ ์ ์๋ผ๊ธฐ ๋๋ฌธ์, ์ ์ ์ํผ๊ฐ ๋์ฌ ๋๊น์ง ํํค์นจ. ์ํน ํ์ด๊ฒ ๋์ง๋ง, ๊ธ๋ฐฉ ๋ซ๋๋ค.
- ์ฝ๋ฌผ์ฒ์น
- ํญ์์ ์์ฝ - ์๋ฐฉ์ ์ฒ์น
- ์์ฝ์ผ๋ก NSAIDs, steroids๋ ์ฐ์ง ์๋๋ค. (Steroids ๋จน๋ ์ฝ์ผ๋ก๋ X)
- Atropine (๊ณ ์์ด์์ ์ฐ๊ณ ๋ก ์ฌ์ฉ) - ์ฐ๋์์ผ์ ํต์ฆ ๊ฐ์ (์ด์ ์ ๋ง์ถ๋ ๋ชจ์์ฒด๋ ์๋ ๋์์์ด ์์ง์ด๋๋ฐ, ์ผ์ฆ์ด ์๊ธฐ๋ ์ํ. โ ๋ถ๊ต๊ฐ์ ๊ฒฝ์ ์ฐจ๋จํด ์ด์์์ผ๋ฒ๋ฆผ)
- ์ฅ๊ธฐ๊ฐ ์ฌ์ฉํ๋ฉด ์๋จ(14์ผ ์ด์ X, ๋ณดํต 5-7์ผ๋ง). ๋ถ๊ต๊ฐ ์ ๊ฒฝ ์ฐจ๋จ์ ์ด๋ฏ๋ก, ๋๋ฌผ์ด ์ฐจ๋จ๋์ด ์๊ตฌ๊ฑด์กฐ์ฆ ์ ๋ฐ.
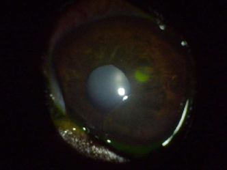
case
- ์ฝ๋ฌผ์น๋ฃ : ํญ์์ (chlorampenicol ๋ฑ), ์ธ๊ณต๋๋ฌผ,
Chronic blepharospasm, conjunctival hyperemia
- contact lense ๋ผ์ .. ์น๋ฃ
- ๋๋ฌผ์ด contact lens ์์ ๊ณ ์ฌ ๊ฐ๋ง ๋ถ์ข ์ ์ผ์ผํด.
- ๊ฐ๋ง ๋ถ์ข ์ ์๋ฐฉ์์ ์ํด์๋ง ์๊ธด๋ค? (X)
์ด๋ฐ ์์ผ๋ก ์ด์์ด ์๊น.



