1. Upper Airway
Brachycephalic syndrome
| Brachycephalic syndrome |
|---|
| ๋จ๋์ข
- English bulldog, Pug, Pekingese, French Bulldog, Bonston Terrier.. ์์ธ - Skull์ base๊ฐ ์ ์ ์ ์ผ๋ก ์งง์ - ๊ตฌ์กฐ์ ์ผ๋ก ์ผ๊ตด์ด ์งง์ ๊ตฌ์กฐ๊ฐ ๊ณผ๋ฐ๋จ Complex - stenotic nares (๋น๊ณตํ์ฐฉ) - soft palate edema & elongation (์ฐ๊ตฌ๊ฐ๋ ธ์ฅ) - laryngeal edema, saccules, collapase, paralysis - (dynamic) pharyngeal collapse GI complication - Hiatal hernia - gastroesophageal reflux (์ญ๋ฅ์ฑ ์๋์ผ) |
![]() ![]() ![]() |
| Pharyngeal collapse : ํธ๊ธฐ ๋ ์ข์์ง - ์ฆ์์ ํก๊ธฐ์์ ๋ ์ฌํจ (ํก๊ธฐ์ฑ ํธํก๊ณค๋) ![]() ![]() |
| Hiatal hernia (์ ํํ) : ์๊ฐ ํ๊ฐ์ผ๋ก ๋น ์ง Gastro-esophageal reflux (GERD) ![]() |
| ๋ค๋ฅธ ์์ธ |
|---|
![]() |
![]() |
2. Trachea
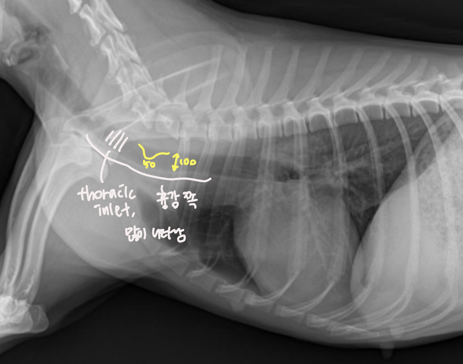
Tracheal diameter ์ฌ๋ ๋ฒ๋ฒ
- Thoracic inlet๊ณผ์ ๋น์จ๋ก ๋ํ๋ธ๋ค.
![]() | - T1์ ๋๋ถ๋ถ์์, 1๋ฒ sternum์ ๊ฐ์ฅ ์ค๋ชฉํ ๋ถ๋ถ (Thoracic inlet)์ ์ ์ผ๋ก ์๊ณ ๊ธธ์ด๋ฅผ ์ฐ๋ค. - Trachea์ ๊ธธ์ด๋ฅผ ์ฐ๋ค. - ๋น์จ์ ๋ณดํต 0.2 ์ ๋. ![]() (๋จ๋์ข ์์๋ ์ ์์ ์ผ๋ก ๋ ์๋ค.) |
Tracheal hypoplasia
| Tracheal hypoplasia |
|---|
| ๊ธฐ๊ด ์ง๊ฒฝ์ ๊ฐ์, ๋จ๋์ข
์์ ํํจ - Bulldog์ ์๋ ์์์ 9% ์ดํ๋ถํฐ ์ด์ ์๊ฒฌ - ๊ธฐ๊ด์งํ๋ ด(Bronchopneumonia) ๋ค๋ฐ - ๋ค๋ฅธ ์ ์ฒ์ ์ด์, ์ฌ๋ฐ๋ ํํจ - ๊ธฐ๊ด์ด ๋ง๋ ค๋ค์ด๊ฐ๋ฉด์ ์ข์์ง๊ธฐ ๋๋ฌธ์ cilia ๊ธฐ๋ฅ X, ๊ธฐ๋ฅ์ ์ผ๋ก๋ ๋ง์ด ๋จ์ด์ง |
![]() |
Tracheal Collapse (TC, ๊ธฐ๊ด ํํ)
| Tracheal collapse | |
|---|---|
| ์์ธ : ์ฃผ๋ก ์ฐ๊ณจ์ฐํ์ฆ(chondromalacia) ์ฆ์ : Goose-honking sound (grade 3 ์ด์์์) ์น๋ฃ : 1) ์ฒด์ค ๊ฐ๋ - 2) ์ฝ๋ฌผ - 3) stent ์ฅ์ฐฉ | ![]() |
| Static : ์ฃผ๊ธฐ ์๊ด์์ด ๊ณ์ ๋ฌด๋์ ธ ์์ Dynamic : ํธ๊ธฐ/ํก๊ธฐ์ ๋ฐ๋ผ ๋ฌ๋ผ์ง | |
| ๋ง์ด ๋ฌด๋์ง๋ ์์น Cervical : ํก๊ธฐ์๋ ๊ฒฝ์ถ ์ชฝ์ด ๋ง์ด ๋ฌด๋์ง (thoracic inlet) Intrathoracic : ํธ๊ธฐ์๋ ํ๊ฐ ์๋ ฅ์ด ์ฆ๊ฐํ์ฌ ํ๊ฐ ์ชฝ์ด ๋ฌด๋์ง | ![]() |
| TC - pitfalls (์ค์ง ์ ์) |
|---|
![]() |
| Tracheal mineralization (์ฐ๊ณจ ๊ฒฝํ) |
|---|
![]() - ๋ ธํ, ํธ๋ฅด๋ชฌ ์งํ(Cushing ๋ฑ) |
| Tracheal rupture |
|---|
![]() |
3. Lung
- ์ฐ 4์ฝ, ์ข 2์ฝ์ผ๋ก ์ด 6์ฝ์ด๋ค.

- ์ธ์ธก์์ ๊ฒน์ณ ๋ณด์ฌ ์ ํธ๋์ง ์๊ณ , DV๋ VD - ํนํ VD๊ฐ ์ ํธ๋๋ค.
- DV : ์์ ๋ ์์ธ, ๊ธฐํ ์ดฌ์
- VD : ํ์ ์ดฌ์
- ํธํก๊ณค๋, ๊ธฐํ ์์ฌ๋ ๋๋ DV ์ดฌ์ (์์ธ ๋ค์ง์ผ๋ฉด ํ๋ค์ดํจ)
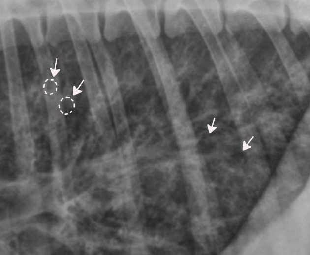
| โณ๏ธ Bronchial pattern (๊ธฐ๊ด์ง ํจํด) | |
|---|---|
| ์ผ์ฆ ์ธํฌ ์นจ์ค์ผ๋ก ๊ธฐ๊ด์ง๋ฒฝ ๋๊บผ์์ง - Doughnut sign : end-on - Tramline sing : side-on ์์ธ - Bronchitis (๋ง์ฑ) - Allergic (Feline asthma, ์๋ฌ์ง์ฑ ํ๋ ด) - Immune-mediated (PIE) ์ฃผ์ - ๋ณด์ธ๋ค๊ณ ํด์ ๋ฌด์กฐ๊ฑด ์ง๋ณ์ X - ๋ง๋จ์์ ๋ค์ ๊ด์ฐฐ๋๋ฉด ์ง๋ณ ๊ฐ๋ฅ์ฑ โ | ![]() ![]() |
| ๊ด๋ จ ์ง๋ณ 1) CCB (Canine Chronic Bronchitis) - ๋ง์ฑ์ ์ธ dry cough - ๋ด๊ฐ์ด ์ข์์ ธ ํธํก ๊ณค๋ | |
| ๊ด๋ จ ์ง๋ณ 2) Bronchiectasis - ๊ธฐ๊ด์ง๊ฐ ํ์ฅ๋๋ค๊ฐ ํ๋ ฅ์ ์๊ณ ํ๋ฌผํด์ง - ๋ง์ฑ์ ์ด๋ฉฐ, ์๊ตฌ์ . ์น๋ฃ ๋ถ๊ฐ. - ํ๋ ด ๋ฐ์ํ๊ธฐ ์ฌ์, ์น๋ช ์ . | ![]() |
| ๊ด๋ จ ์ง๋ณ 3) Asthma [Feline Asthma] - Hyperlucent lung fields; โair-trappingโ (๊น๋ง ํ) - Tenting diaphragm - Bronchial patterns (๊ธฐ๊ด์ง ๋๊บผ์์ง, ์ผ์ฆ โ) |
| โณ๏ธ Alveolar pattern |
|---|
| Fluid, blood, cell ๋ฑ์ด ๊ท ์งํ๊ฒ ์ฐจ ์์ * interstitial pattern์ ๋นํด ์งํ๊ณ ๊ท ์งํจ. |
| Radiographic sign - Consolidation (ํ๊ฒฝํ; ๊ณต๊ธฐ ์ธ ๋ค๋ฅธ ๊ฒ ์ฐธ) - Lobar sign (์ฝ๊ณผ ์ฝ ์ฌ์ด ๊ฒฝ๊ณ๊ฐ ๋๋ฌ๋จ) - Air bronchogram; โTrees in the fogโ (ํ์ฝ์ด ์ฐจ์ ๊ธฐ๊ด์ง๊ฐ ๋๋ฌ๋จ) - Cardiac effacement |
| DDx Pneumonia Edema Pulmonary hemorrhage Atelectasis (๋ฌด๊ธฐํ) Mass Torsion, infarct |
| โณ๏ธ Interstitial pattern |
|---|
๋ฒฝ์ด ๋๊บผ์์ง๊ณ ๊ณต๊ธฐ๊ฐ ์ฐจ๋ฉด์ ์ง์ ๋ถํ๊ฒ ๋ํ๋๋ ๋ชจ์.![]() |
| + Nodular (๊ตฌ์กฐ์ฑ ๊ฐ์ง ํจํด) : ํ๊ฒฐ์ |
![]() ![]() |
| โณ๏ธ Vascular pattern |
|---|
| ํ๊ด์ด ์ปค์ ธ์ ํ๊ฐ ์ง์ ๋ถํด ๋ณด์ด๋ ๋ชจ์ |
| 1) Pulmonary hypertention - HW infection (์ฌ์ฅ์ฌ์์ถฉ) |
![]() |
(๋ค ๋ชป ์ฑ์ด ๋ถ๋ถ๋ ์์..)
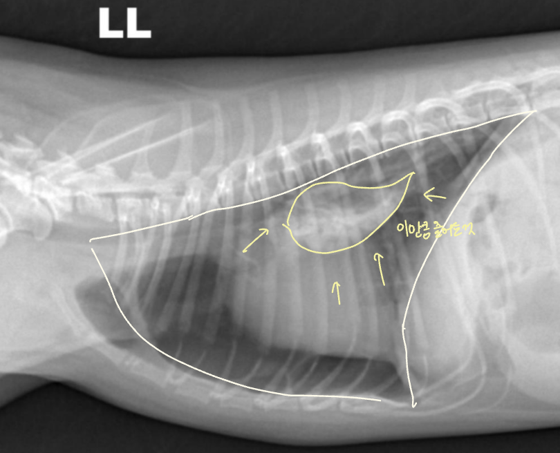
4. Pleural Space
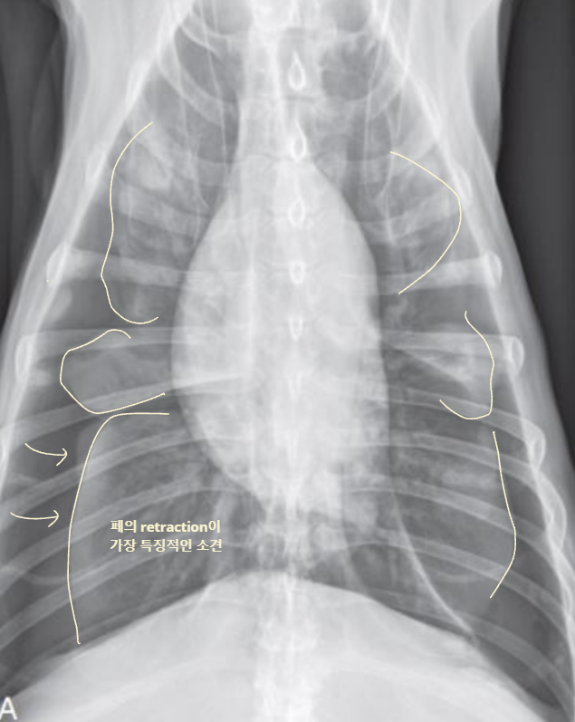
| Pleural effusion (ํ์) | Pneumothorax (๊ธฐํ) | |
|---|---|---|
| ํ๊ฐ(pleural cavity)์ ๋ฌผ์ด ์ฐฌ ๊ฒ (ํ์ ์ฐจ๋ฉด โ ํ์์ข ) | ํ๊ฐ์ ๊ณต๊ธฐ๊ฐ ์ฐฌ ๊ฒ (ํ์ ์ฐจ๋ฉด โ ํ๊ธฐ์ข ) | |
| Radiographic signs interlobar fissure ๋๊ป๊ฒ ๊ด์ฐฐ๋๊ณ , ํ๋ฒฝ์ด ๋จ์ด์ ธ ๋๊ฐ ๊ฒ์ฒ๋ผ ๋ณด์ | Radiographic signs ์ฌ์ฅ์ด ๋ ์๊ณ , ํ๊ฐ ์ชผ๊ทธ๋ผ๋ฆ | |
| - Interlobar fissure widening - Lung retraction - Pleural wall thickening - Scallop sign - Cardiac effacement - Blunt angle | - Retraction of pleural surface - Collapsed lung (โ opacity ์ฆ๊ฐ) | |
![]() | ![]() | |
![]() ![]() | ![]() ![]() | |
![]() | ![]() | |
![]() |































