Urinary tract infections (๋น๋จ๊ธฐ๊ณ ๊ฐ์ผ์ฆ)
1. Introduction
Urinary tract (๋น๋จ๊ธฐ๊ณ)
Urinary tract(๋น๋จ๊ธฐ๊ณ)์ ๊ตฌ์ฑ
Link to original
- Kidney (์ฝฉํฅ, ์ ์ฅ) : ์๋ณ ์์ฑ
- Ureter (์๊ด) : ์ ์ฅ์์ ์์ฑ๋ ์๋ณ์ ๋ฐฉ๊ด์ผ๋ก ์ด๋ฐ
- Bladder (๋ฐฉ๊ด) : ์๋ณ ์ ์ฅ
- Urethra (์๋) : ์๋ณ์ ์ธ๋ถ๋ก ๋ฐฐ์ถํ๋ ๋ง์ง๋ง ๊ฒฝ๋ก
(1) Defense mechanisms of urinary tract
| Defense mechanism | |
|---|---|
| Normal urination | - Adequate flow - Complete, frequent voiding (๋ฐฐ๋จ) : ์ธ๊ท ์ ์ฒด ์์ด ์ ๊ฑฐ |
| Anatomical structures | - Length of urethra - Urethral high pressure zone : ์๋๊ทผ์๋ถ ์ฃผ๋ฆ ํฝ์ฐฝ์ผ๋ก ์๋ ฅ ์์น - Urethral peristalsis |
| Antimicrobial urine | - High urea content - Low urine pH : ๊ท ์ฑ์ฅ ์ต์ - Osmolarity - Organic acids - Tamm-Horsfall protein |
| Mucosal defence barrier | - Balanced distal urethra microflora - Surface IgA antibodies - Glycosaminoglycan layer - Exfoliation of urothelial cells |
- ์ด๋ฌํ ๋ฐฉ์ด ์ฒด๊ณ๊ฐ ๊นจ์ง๋ฉด ๊ฐ์ผ์ ์ทจ์ฝํด์ง.
(2) Definition
- ์ธ๋ถ ํ๊ฒฝ์์ bacteria๊ฐ urethra(์๋)๋ก ๋ค์ด๊ฐ, ์ ์ฒด์ ๋ฉด์ญ ๋ฐฉ์ด ์ฒด๊ณ๋ฅผ ๊นจ๋จ๋ฆฌ๊ณ uniray tract(๋น๋จ๊ธฐ๊ณ)์ ๊ฐ์ผ์ ์ ๋ฐํ ์ํ.
(Conditions that happen when bacteria from the external environment enter the urethra, evade the bodyโs immune defenses and cause urinary tract infection)

| UPPER urinary tract infection (์๊ด) | |
|---|---|
| Kidney infection | Pyelonephritis (์ ์ฐ์ ์ผ) |
| Ureter infection : ๋จ๋ ๋ฐ์ ์ ์ | Ureteritis (์๊ด์ผ) |
| LOWER urinary tract infection (์๋) | |
|---|---|
| Bladder infection : ์๋์ ์ผ๋ก ๋ง์ | Cystitis (๋ฐฉ๊ด์ผ) |
| Urethra infection : ๋จ๋ ๋ฐ์ ์ ์ | Urethritis (์๋์ผ) |
(3) Predisposition, incidence, risk factor
- ๊ฐ์์๋ 5-27% ๋ก ํํจ / ๊ณ ์์ด์์๋ <2%
| ๊ฐ์์์ predisposition & incidence |
|---|
| Female > Male |
| 2์ด ์ดํ๋ 6์ด ์ด์์์ ๋ง์ด ๋ฐ์ |
| ํธ๋ฐ ํ์ข ์ ๋ฐ๋ก ์์ |
| DM(Diabetes mellitus) ๋๋ hyperadrenocorticism ํ์์ 41.6%์์ |
| Long-term glucocorticoids ์ ์ฉ ์ 18-39%์์ |
| ๊ณ ์์ด์์๋.. |
| 10์ด ์ด์์์ ๋ง์ด ๋ฐ์ |
| Risk factor : Persian ํ์ข , females, ๋์ด๋ฆ, ์ฒด์ค ๊ฐ์ |
| ํน์ ์ด๋ฆฐ ๋์ด์๋ ์๋ก๊ณ ์๊ทน์ด ์ง์๋๋ฉด ๋ฐ๋ณ ๊ฐ๋ฅ (์์นดํ ํฐ, ์์ ๋ฑ) |
| CKD์ 17-30%, DM์ 12-13%, Hyperthyroidism์ 12-22%์์ |
Uropathogens (๊ฐ์ผ์ฒด)
- ์๋ 10๊ฐ์ง๊ฐ ๊ฐ์์ UTI ๊ฐ์ผ์ 95-97%๋ฅผ ์ฐจ์ง
- Escherichia coli (50%)
- Staphylococcus, Streptococcus, Enterococcus : ๊ทธ๋์์ฑ๊ท
- Proteus, Klebsiella, Pasteurella, Enterobacter, Pseudomonas
- Mycoplasma
- ๊ณ ์์ด์์๋..
- Escherichia coli (47%)
- Staphylococcus (18%)
- Streptococcus (13%)
- Klebsiella (4%)
- ๋จ์ผ ๊ฐ์ผ์ด ๊ฐ์ฅ ํํจ(75%)
- female dogs์์ multiple organism infection์ด ํํ ๊ด์ฐฐ๋จ.
2. ๋ถ๋ฅ
(1) Classification of Bacterial cystitis (์ธ๊ท ์ฑ ๋ฐฉ๊ด์ผ์ ๋ถ๋ฅ)
- Uncomplicated UTI = Sporadic bacterial cystitis (์ฐ๋ฐ์ฑ ์ธ๊ท ์ฑ ๋ฐฉ๊ด์ผ) : ๊ฑด๊ฐํ ๊ฐ์ฒด์์ ์ฐ๋ฐ์ /์ผ์์ ์ผ๋ก ๋ฐ์
- Complicated UTI : ์ง์์ , ์ฌ๋ฐ์ฑ ๊ฐ์ผ, ์น๋ฃ ์คํจ๋ก ์ด์ด์ง ์ ์์.
- Recurrent UTI : 1๋ ๋์ 3ํ ์ด์ ์ฌ๋ฐ
- ==Relapsing (์ฌ๋ฐ) : ์์ ํ ์น๋ฃ๋์๋๋ฐ, ๋๊ฐ์ ๊ฐ์ผ์ฒด์ ์ํด ์ฌ๋ฐ (๊ฐ์ผ์์ ์์กด)==
- Persistent (์ง์๊ฐ์ผ) : ์น๋ฃํ์ผ๋, ์ง์์ ์ผ๋ก ์ธ๊ท ๊ด์ฐฐ๋จ (์์ฃผ ๋ฉด์ญ ๋ฌธ์ , ํญ์์ ๋ด์ฑ๊ท )
- Reinfection (์ฌ๊ฐ์ผ) : ์๋ก์ด ๊ฐ์ผ์ฒด์ ์ํด ์ ๋ฐ
- Refractory : ์น๋ฃ ๋ฐ์ ์์ - ์ฆ์ ๊ฐ์ X, ์ธ๊ท ์ฌ๋ฉธ X
- Subclinical bacteriuria (asymptomatic bacteriuria) : ์์์ฆ์(LUTS, lower urinary tract signs)์ ์์ง๋ง ๊ท ๊ฒ์ถ
Complicated UTI์ ์์ธ
- ํด๋ถํ์ ์์ธ : ectopic ureters(์ด์์ฑ ์๊ด), ureteroceles(์๊ด๋ฅ)
- ์ ์ ์งํ : DM, hyperthyroidism, HAC(๋ถ์ ํผ์ง๊ธฐ๋ฅํญ์ง์ฆ), systemic neoplasia, immunocompromised(๋ฉด์ญ์ ํ)
- ๋น๋จ๊ธฐ๊ณ ์์ฒด ๋ฌธ์ : urolithiasis(์๋ก๊ฒฐ์), cystic neoplasia(๋ฐฉ๊ด์ข ์), deep seated bacterial cystitis(์ฌ์ธต ์ธ๊ท ์ฑ ๋ฐฉ๊ด์ผ)
๐ก Pyelonephritis (์ ์ฐ์ ์ผ)
- Acute pyelonephritis (APN) : ๋ณดํต ์ธ๊ท ์ด ํ๋ถ ์๋ก์์ ์ฝฉํฅ๊น๋๊ธฐ(renal pelvis), ์ฝฉํฅ ์ค์ง(parenchyma)๋ก ์ฌ๋ผ๊ฐ๋ฉด์ ๋ฐ์. ๋ฉฐ์น ~๋ช ์ฃผ ๋ด๋ก ๋ฐ๋ณ. ๊ฐ๋ ํํ์ฑ(hematogenous)์ผ๋ก๋ ๋ฐ์ํจ.
- Complicated APN : DM, ์ข ์, ๋ฉด์ญ์ ํ, ํด๋ถํ์ ๋ฌธ์ ๋ฑ ์ ์ ์งํ๊ณผ ํจ๊ป ๋ํ๋๋ ๊ฒฝ์ฐ
- Noncomplicated APN

๐ก Bacterial prostatitis (์ธ๊ท ์ฑ ์ ๋ฆฝ์ ์ผ)
- ์ฑ์ํ ์์ปท ๊ฐ์์ ์ฃผ๋ก ๋ฐ์ํ๋ฉฐ, ๋ง์ฑ ๋๋ ๊ธ์ฑ์ผ๋ก ๋ํ๋จ.
- Bacterial cystitis๋ ํจ๊ป ๋๋ฐํ ๋๊ฐ ๋ง์.
- ์ ๋ฆฝ์ ๋์์ผ๋ก ์งํ๋๋ฉด ํ์ด๊ณผ ๊ฐ์ ์ฌ๊ฐํ ์ง๋ณ์ ์ด๋ํ ์ ์์.
DDx for Bacterial prostatitis
- Prostatic neoplasia (์ ๋ฆฝ์ ์ข ์)
- Prostatic cyst (์ ๋ฆฝ์ฑ ๋ญ์ข )
- Prostatic hyperplasia (์ ๋ฆฝ์ ๋น๋์ฆ)
- Perirectal mass (์ง์ฅ์ฃผ์ ์ข ์)
- Periprostatic mass (์ ๋ฆฝ์ ์ฃผ์ ์ข ์)
- Disease causing tenesmus (์ด๊ธํ์ฆ; ํญ๋ฌธ ๋ถ์์ ๋ฐฐ๋ณ๊ฐ ์ ๋ฐ ์งํ)
- e.g) large intestinal disease
3. ์์์ ํน์ง
- ๋ฐฉ๊ด์ผ์์ ์ผ๋ฐ์ ์ธ ์ฆ์
- Typical LUTS (lower urinary tract signs) : stranguria(ํต์ฆ๋ฐฐ๋จ), hematuria(ํ๋จ), pollakuira(๋น๋จ), periuria(์ด์๋ฐฐ๋จ; ๋ค๋ฅธ ๊ณณ์ ์๋ณ), dysuria(๋ฐฐ๋จํต)
- ์ด๋ฆฐ ๊ณ ์์ด์ ๊ฒฝ์ฐ feline idiopathic cystitis ๋จผ์ ์์ฌ
- Excessive licking (๊ณผ๋ํ ํฅ์)
- ๊ธ์ฑ ์ ์ฐ์ ์ผ(APN)์์ ์ ๋ํ๋๋ ์ฆ์
- ๋ฐ์ด, ์์๋ถ์ง, ๊ธฐ๋ ฅ์ ํ, ๊ตฌํ + PUPD(๋ค์๋ค๋จ)
- ๊ธ์ฑ ์ ๋ฆฝ์ ์ผ(acute prostatitis)์์ ์ ๋ํ๋๋ ์ฆ์
- Purulent/hemorrhagic urethral disharge (ํ๋์ฑ, ์ถํ์ฑ ์๋ ๋ถ๋น๋ฌผ)
- ๋ฐ์ด, ์์๋ถ์ง, ๊ธฐ๋ ฅ์ ํ, ๊ตฌํ + preputial edema, hindlimb edema, tenesmus(์ด๊ธํ์ฆ)
- Abdominal pain(๋ณต๋ถ ํต์ฆ)๋ ๋ํ๋ ์ ์์
4. ์ง๋จ
| ๊ธฐ์ค | |
|---|---|
| Signalment | - APN(๊ธ์ฑ์ ์ฐ์ ์ผ) : Boxer - Prostatitis(์ ๋ฆฝ์ ์ฝ) : ์ฑ์ ์์ปท, ํ๊ท 7-11์ธ |
| ๋ฌธ์ง ์ฒญ์ทจ | ๊ธฐ์ ์งํ ์ ๋ฌด, ์ฌ๋ฐ ์ฌ๋ถ ๋ฑ |
| ์ ์ฒด ๊ฒ์ฌ | ๋ณต๋ถ ์ด์ง, ์ง์ฅ ์ด์ง, ํผ๋ถ ๊ฒ์ฌ, digital vaginal ๊ฒ์ฌ (์ง, ์ธ์๋ถ ๊ฐ์ผ ์๋์ง) |
| - cycstitis (๋ฐฉ๊ด์ผ) | - ์๊ณ , ๋น ๋ฐฉ๊ด / ๋ฐฉ๊ด๋ฒฝ ๋นํ (*๋๋ฌผ๊ฒ ๊ฒฐ์, ์ข
์ ๋ฑ์ผ๋ก ๋ฐฉ๊ด ๋น๋) - caudal abdominal or lumpar pain |
| - APN (๊ธ์ฑ ์ ์ฐ์ ์ผ) | - flank, abdominal, sublumbar pain - kidney failure(์ ๋ถ์ )์ผ๋ก ๋ฐ์ ํ ๊ฐ๋ฅ์ฑ |
| - Prostatitis (์ ๋ฆฝ์ ์ผ) | - ์ ๋ฆฝ์ ์ ๋น๋์นญ ํ์ฅ, ๊ณ ํต (*๋๋ฌผ๊ฒ ์์ธก์ฑ, ๋น๋๋์ง ์์ ์ ์์) - preputial, hindlimb edema |
| Urinalysis | |
|---|---|
| ๋ฌผ๋ฆฌ์ ๊ฒ์ฌ | - ํ๋จ and/or ๋๋จ - USG(์๋น์ค)์ variation์ด ํผ ![]() |
| ํํ์ ๋ถ์ | - Dip-stick์์ ํ๋จ, ๋จ๋ฐฑ๋จ |
| UPC ratio | - ์ฌํ ๋จ๋ฐฑ๋จ๊ฐ ํ์ธ๋ ๊ฒฝ์ฐ ์ ํ์ ์ผ๋ก |
| ์นจ์ ๋ฌผ ๊ฒ์ฌ (์์นจ์ฌ ๊ฒ์ฌ) | - ์ผ์ฆ ์ธํฌ : >5 WBC/400๋ฐฐ ์์ผ - ์ธ๊ท ํ์ธ : ์, ๋ชจ์, intra/extracellular, phagocytosis ํ์ธ ๋ฑ - Wet ๊ฒ์ฌ โ ๊ฒฐ์, dry์์ ํ์ธ๋์ง ์์ ์ด์ ์ธํฌ, RBC ์ฐ์ฌ ์ ๋ ![]() |
| Urine culture | * ๋ฐฐ์ ์๋ขฐ ์ 3-5์ผ๊ฐ ํญ์์ ์ฒ์น ์ค๋จ |
|---|---|
| Indications (๊ถ์ฅ๋๋ ์ํฉ) | - ๊ฒฝํ์ (empiric) ์น๋ฃ๋ก ๊ฐ์ ๋์ง ์์ - ์ฌ๋ฐ์ฑ(recurrent) UTIs - ๊ธ์ฑ ์ ์ฐ์ ์ผ(APN) : Nephropyelocentesis(์ ์ฐ์ฒ์), blood culture ๊ณ ๋ ค - ๊ธ์ฑ ์ ๋ฆฝ์ ์ผ : Prostate culture ๊ณ ๋ ค (๋๋ถ๋ถ ๋ฐฉ๊ด์ฒ์์์ ์ฐพ์์ง๊ธด ํจ) |
| Urine sampling & handling (์๋ณ์ ์ฑ์ทจ์ ์ทจ๊ธ) | - ๊ฐ์ฅ ์ด์์ ์ธ ์ฑ์ทจ : cystocentesis (๋ฐฉ๊ด ์ฒ์) - ๋๋ฌผ๊ฒ urethral catheterization(์นดํ ํฐ ์ฌ์ฉ)์ผ๋ก ๋์ฒด - ์ด์์ ์ธ ๋ณด๊ด : UTT (urine culture transport tubes) + preservative (๋ณด์กด์ ) - 24์๊ฐ ๋ด ์คํ์ค ์์ก ๊ถ์ฅ (๋ณด์กด์ ์์ด๋ <48H) - ๊ธฐ๋ณธ ์๊ฒ์ฌ๋ ๋ณด์กด์ ์์ด syringe ๋ณด๊ดํด๋ ๋จ. |
| Susceptibility testing (ํญ์์ ๊ฐ์์ฑ ๊ฒ์ฌ) | - โํ์ฒญ ํญ์์ ๋๋โ๊ฐ ๊ธฐ์ค (โ์๋ณ ํญ์์ ๋๋โ์๋ ์์ดํ ์ ์์) - ๋ ๊ฐ์ง ์ด์์ด ๋์ค๋ฉด ๊ฐ ์ธ๊ท ์ ๋ํ ํ ์คํธ ๋ค์ ์ค์ - ์๋ณ์ผ๋ก ์ฃผ๋ก ๋ฐฐ์ค๋๋ ํญ์์ ์ ๊ฒฝ์ฐ, ๋ด์ฑ์ด ์๋๋ผ๋ ํจ๊ณผ ์์ ์ ์์ โ ํญ์์ ์ฝ๋ฌผ์ ๋์ฌ ๊ฒฝ๋ก์ ๋ฐ๋ผ UTI์ ๋ง๋ ํญ์์ ๋ฅผ ์ฌ์ฉํ ์๋ ์์ |
| ๊ฒฐ๊ณผ ํด์ | - Susceptible : ํญ์์ ์น๋ฃ ๊ฐ๋ฅ - Intermittent : ๊ฐ๋ฅํ ์๋ ์์ (๋์ ๋ฒ์๋ก๋ resistant ํด๋น) - Resistant : ์น๋ฃ ํจ๊ณผ ์์ ๊ฒ โป ๋จ, ์คํ์ค ๊ฒ์ฌ(in vitro culture)์ ์์ ๊ฒฐ๊ณผ(in vivo efficacy)๋ ๋ค๋ฅผ ์ ์์! |
| Routine laboratory tests | |
|---|---|
| CBC | - Leukocytosis (Neutrophilic leukocytosis with a left shift) - uncomplicated(์๋ฐ์ฑ)์ ๋ฌ๋ฆฌ, complicated UTI์์๋ ํ์กํ์ ๋ณํ ๊ฐ๋ฅ์ฑ - ๊ธฐ์ ์งํ, ํญ์์น๋ฃ, ๋ฉด์ญ๋ ฅ ์ ํ ๋ฑ์ผ๋ก ์ธํด - ๋๋ ์ ์ฐ์ ์ผ/์ ๋ฆฝ์ ์ผ์ ๋๋ฐํ ๋, ์ ์ ๊ฐ์ผ์ผ ๋ |
| Serum biochemical profile | - Renal azotemia - ๋ง์ฑ ์ ์ฐ์ ์ผ์ ์ ์ฅ์ ์์์ํด โ azotemia, ๊ณ ์ธ์ฐํ์ฆ ๋ฑ |
Imaging (์์ ์ง๋จ)
| Radiographs _Cystitis | |
|---|---|
![]() | - ์์ ํฌ๊ธฐ์ ๋ฐฉ๊ด - ๋ฐฉ๊ด๋ฒฝ์ ๋นํ(thickening), irregularity |
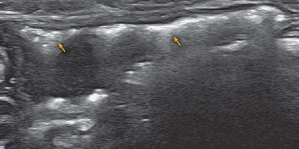
| Ultrasonography (Abd) _Cystitis | |
|---|---|
![]() | - ๋ฐฉ๊ด๋ฒฝ ๋นํ, ์ฐ๋ํฌ๋(โต์ข
์, polyp) - ๋ฐฉ๊ด ๋ด๊ฐ์ Echogenic sediment ![]() + Cystocopy(๋ฐฉ๊ด๋ด์๊ฒฝ) : ์๋ โ ๋ฐฉ๊ด ๋ด๋ถ ๊ฐ์ผ ํ๋ฅ ์กด์ฌ |
| Emphysematous cystitis (๊ธฐ์ข ์ฑ ๋ฐฉ๊ด์ผ) ![]() | - Complicatted UTI, ๋น๋จ ํ์์์ ์ข
์ข
๋ฐ๋ณ - gas-producing bacteria๊ฐ ๋ฐฉ๊ด ๋ฒฝ&๋ด๊ฐ์ gas accumulation - E. coli, Clostridium ๋ฑ - DM ํ์์์ 33, ์ ๊ฒฝ ์งํ ํ์์์ 26%, ๋ถ์ ์งํ ํ์์์ 19% ๋ฐ์ |
| Contrast radiography _Pyelonephritis | (contrast = ์กฐ์์ ์ฌ์ฉ) |
|---|---|
![]() | - Mild to moderate pyelectasia (์ ์ฐํ์ฅ) - Distortion of renal pelvis (์ ์ฐ ๋ณํ) |
| Ultrasonography (Abd) | _Pyelonephritis |
|---|---|
![]() | - ๋ํ์ ์ผ๋ก ์ผ์์ ์ธ ์ฝฉํฅ ๋น๋ (renal pelvic dilation) - Ureteral dilation (์๊ด ํ์ฅ) - Blunting of the renal papilla (์ฝฉํฅ์ ๋์ ๋ํ) - Echogenic debris (๋ด๋ถ์ ๊ณ ์์ฝ์ฑ ์ํด) * ์ ์ฐ์ ์ผ์ธ๋ฐ ์ฝฉํฅ์ด ์ถ์๋์ด ์์ผ๋ฉด, CKD๋ ๋ง์ฑ ์ ์ฐ์ ์ผ์ ์์ฌํด๋ณด์. + Bacterial culture : pyelocentesis(์ ์ฐ์ฒ์)๋ ์ค์ง์ ๊ฑด๋๋ฆด ์ ์์ผ๋, ๋ฐฉ๊ด sampling๋ถํฐ ์๋ |
| Contrast radiographs _Prostatitis | |
|---|---|
![]() | - ์ ๋ฆฝ์ ๋น๋ - ๋์ - ๋ฐฐ๋จ๊ณค๋ |
| Ultrasonography (Abd) | _Prostatitis |
|---|---|
![]() | - ์ ๋ฆฝ์ ์ ๋น๋์ mildํ hyperechogenecity๋ถํฐ, - ์ฌ๊ฐํ ๋น๋์ mottled hyperechoic~hypoechoic pattern (์ผ๋ฃฉ๋๋ฃฉํ ํจํด) ๊น์ง ๋ค์ํจ. - mottled sign โ ๊ฐ์ผ, ์ข ์ ์์ ๋ |
5. ์น๋ฃ
- ๋ฐฉ๊ด ์ข ์, ํธ๋ฅด๋ชฌ ์งํ ๋ฑ ๊ธฐ์ ์งํ์ ๋ฐฐ์ ํ๊ณ ์์. (ํน์ ๊ฐ์ด ๊ด๋ฆฌ)
- ์คํ ๋ก์ด๋/๋ฉด์ญ์ต์ ์ฝ๋ฌผ์ ์ฌ์ฉํ๋ ํ์์์, ๋น๋จ๊ธฐ๊ณ์ ํผ๋ถ ๊ฐ์ผ์ ์ทจ์ฝ.
- ํญ์์ ๊ฐ์์ฑ ๊ฒ์ฌ ํ์ ์ฒ๋ฐฉํ๋ ๊ฒ์ด ๋ฐ๋์ง.
- ์ด๊ธฐ์๋ ํญ์์ ๋ณด๋ค ์งํต์ ์ฒ๋ฐฉ ๊ถ์ฅ
- e.g. NSAIDs - ๋จ ์ ๋ ์ฑ ์กด์ฌ, ์ ์ํด์ ์ฒ๋ฐฉ.
โ Subclinical bacteriuria
- ์์ ์ฆ์์ ์์ง๋ง ๊ท ์ด ๋ฐฉ์ถ๋จ. ์๋์ ๊ฐ์ ๊ฒฝ์ฐ ์ ๋ํ๋จ.
- ๊ธฐ์ ์งํ์ด ์๋ ๊ฒฝ์ฐ - ๋ด๋ถ๋น ์งํ, ์ ์ฅ ์งํ, ๋ฐฐ๋จ ์ฅ์ (micturition disorders) ๋ฑ
- gluticorticoids, immunosuppressive ์ฝ๋ฌผ ๋ณต์ฉ ์
- ํ์๋ถ ์๋ ์ ๊ฐ์ (perineal urethrostomies) ์ค์ โ ์๋ ์งง์์ ธ ๊ฐ์ผ๋ฅ ๋์์ง.
- ๋ถํ์ํ ํญ์์ ์ฒ๋ฐฉ๋ณด๋ค๋, ๋ชจ๋ํฐ๋ง์ด ๊ถ์ฅ๋จ.
โ Uncomplicate UTI
- ISCAID ๊ฐ์ด๋๋ผ์ธ : 5-7์ผ ํญ์์ ์น๋ฃ
- ์ ํฉํ ํญ์์ ๋ฅผ ์ฒ๋ฐฉํ๋ฉด ์ดํ ์์ ์ฆ์์ด ๊ฐ์ ๋จ.
- ์๋ณ ๋ด์์์ ์ธ๊ท ๊ฐ์ ๋ 3-5์ผ ๋ด์ ์ด๋ฃจ์ด์ง.
- ์ด ๊ฐ์ ์ด ๋ณด์ด์ง ์์ผ๋ฉด complicate UTI๊ฑฐ๋, ํญ์์ ๋ฅผ ์๋ชป ์ผ๊ฑฐ๋.
- ๋ฐฉ๊ด์ผ ํ์์์ ํ๋ฃจ 1๋ฒ ์ฝ์ ๋จน์ด๋ ๊ฒฝ์ฐ, ์ ๋
์ ๋จน์ด๋ ๊ฒ์ ๊ถ์ฅํจ. (์๋ฉด ์๊ฐ ๋์ ์ถฉ๋ถํ ์ฝ๋ฌผ ์์ฉํ ์ ์๋๋ก)
- ๊ฒฝํ์ ํญ์์ ๋ฅผ ์ฐ์ ์ฒ๋ฐฉํด์ผ ํ๋ ์ํฉ๋ ์์. (ํญ์์ ๋ด์ฑ ๊ฒ์ฌ๋ฅผ ๊ฑฐ๋ถํ ๋)
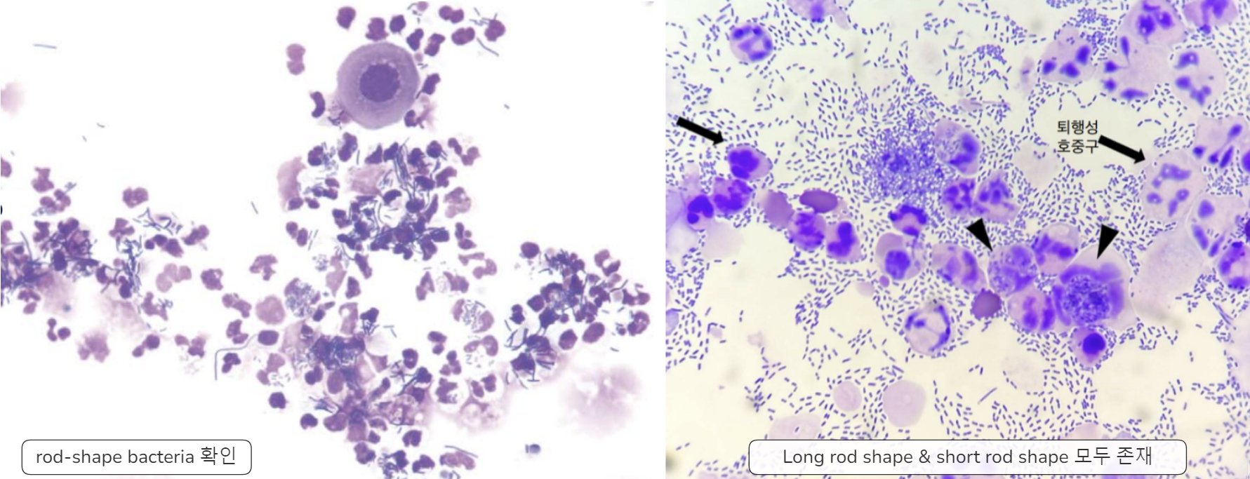
- Cytology โ ๊ฐ๊ท , ๋จ๊ฐ๊ท ์ด ๋ค์ ๊ด์ฐฐ๋๋ค
| Cytology | |||
|---|---|---|---|
| Gram (-) ๊ฐ๊ท (rod), ๋จ๊ฐ๊ท (bacillus) | ![]() | Cephalosporins ์ฐ์ ์ ์ผ๋ก ๊ณ ๋ ค | ==E. coli, Enterobacter, Klebsiella, Proteus==, etc. |
| Gram (+) ๊ตฌ๊ท (cocci) | ![]() | Amoxicillin, Cephalospotin ์ฐ์ ์ ์ผ๋ก ๊ณ ๋ ค | Staphylococcus, Streptococcus, Enterococcus, etc. |
| ์ฝ๋ฌผ ์ฒ๋ฐฉ | |
|---|---|
| Amoxicillin (11-15mg/kg PO TID) | - ์ ์ฌ์ฉํ๋ ์ฝ๋ฌผ |
| Trimethoprim-sulfamethoxazole (15mg/kg PO BID) | |
| Amoxicillin clavulanate (12.5-25mg/kg PO BID-TID) | |
| Cephalexin (15-30mg/kg PO BID) | - ์ฌ๊ธฐ๊น์ง 4๊ฐ์ ์ฝ๋ค์ Time-dependent. |
| Enrofloxacin (5-20mg/kg PO SID dogs, 5mg/kg PO SID cats) | ์๊ฐ๋ณด๋ค๋ Dose-dependent, ํ๋ฃจ 1๋ฒ ๋ณต์ฉ. - ๊ณ ์์ด์์๋ ๋ ์ฑ์ด ์์ด ๊ณ ๋๋ ์ฌ์ฉ X - ์นจํฌ๋ ฅ์ด ๋ฐ์ด๋จ โ ์ฌ๋ฐ์ฑ ๋ฐฉ๊ด์ผ์์ ํด๋๋ก ์ ์ถ์ฒ. ๋จ ๋ด์ฑ์ด ์ ์๊ธฐ๋, ๊ผญ ํ์ํ ๋๋ง. |
โ Recurrent & Complicated Bacterial cystitis (์ฌ๋ฐ์ฑ ๋ฐฉ๊ด์ผ)
- ๊ธฐ์ ์งํ ํ์ธ์ด ๊ฐ์ฅ ์ค์. 2์ฃผ ์ ๋ ์ง์ผ๋ณด๋ฉฐ ์ฐ๊ณ , ์น๋ฃ ๊ธฐ๊ฐ์ 4์ฃผ๊น์ง ์ก์.
- ํด๋๋ก ๊ณ์ด ์ฝ๋ฌผ์ด ์กฐ์ง ์นจํฌ๊ฐ ์ ๋จ โ ์ ์ฐ์ ์ผ, ์ ๋ฆฝ์ ์ผ์ ํจ๊ณผ ์ข์. but ๋ด์ฑ ์ฃผ์ํ์ฌ ๋จ์ฉํ์ง ์๋๋ก ํ๋ค.
- ์ฌ๋ฐ์ฑ โ ์ ํญ์ฑ ๊ณ ๋ คํ์ฌ, monitoring ์๊ธฐ๋ ์น๋ฃ ๋ฐ์ ๊ธฐ๊ฐ์ ๊ธธ๊ฒ ๋ณผ ํ์๊ฐ ์์.
- ํญ์์ ์น๋ฃ ์์ ํ 7์ผ, ํญ์์ ์น๋ฃ ์ข ๋ฃ ํ 7์ผ, montly basis (3๋ฒ ์ ๋)
- ํญ์์ ๋ง์ผ๋ก ์ ์ ๋ฃ๋ ๊ฒฝ์ฐ, ๋ณด์กฐ ์๋ฒ์ ์ฌ์ฉํ ์ ์์.
- โ๋ณด์กฐ ์๋ฒโ์ธ ๋งํผ, ๋จ๋ ์ผ๋ก ์น๋ฃํ๊ธฐ์ ์ ์ ํ์ง ์๋ค.
๋ณด์กฐ์ : Methenamine
- Methenamine mandelate, methenamine hippurate
- cyclic hydrocarbon์ผ๋ก, ๊ฐ์๋ถํด๋์ด ammonia์ formaldehyde ์์ฑ
- ๋จ๋ฅผ ์ฐ์ฑํํ์ฌ ์ธ๊ท ์ฆ์์ด ์ด๋ ต๊ฒ ํ๋ค.
- ๋จ, ์๋ณ์ด ์ฐ์ฑํ๋๋ฉด ํญ์์ ํจ๊ณผ๊ฐ ๊ฐ์ํ ์ ์๋ค
: Fluoroquinolones, aminoglycoside (gentamycin, amikacin)
๋ณด์กฐ์ : Cranberry proanthocyanidins (PACs)
- ๊ฐ๋ ๊ณ ์์ด๊ฐ ํฌ๋๋ฒ ๋ฆฌ ๋ง์ ์ข์ํ์ง ์์, ํ์ฐ๋ ์ ์ ๋ก ์ฌ์ฉ
- ๋ฐฉ๊ด์ ๋์ฅ๊ท ์ด ๋ถ์ฐฉํ๋ ๊ฒ์ ์ต์ ํ๋ ํจ๊ณผ๊ฐ ์๋ค.
โ Treatment failure
์น๋ฃ ์คํจ์ ์ด์
- ๋ถ์ ์ ํ ์น๋ฃ
- Impaired action of drugs (๋ณดํธ์๊ฐ ์ฝ์ ์ ๋จน์ด์ง ์์์)
- ์ ์ด๋ ค์ฐ๋ฉด 2์ฃผ ์ ๋ ๊ฐ๋ ์ฃผ์ฌ ์ ์ ๋ก ๊ต์ฒด ๋ฑ
- ๋ด์ฑ ๊ท ์ฃผ, ๊ธฐ์ ์งํ, ์์ฅ๊ด ์งํ ๋ฑ
- AMR (antimicrobial resistance) : ํญ์์ ์ ํญ์ฑ ์ฌ๊ฐ
- MDR (Multidrug-resistant) bacteria : 3๊ฐ ์ด์์ ํญ์์ ๊ณ์ด์์ ๊ฐ์์ฑ ์์. (ํด๋๋ก ์ ์ ๋ฑ)
- XDR (Extensively drug-resistant) bacteria : ๊ทธ๋ณด๋ค ๋ด์ฑ ํจํด์ด ๋ ๊ฐํจ. 1-2๊ฐ ๊ณ์ด์์ ๊ฐ์์ฑ.
- PDR (Pandrug-resistant) bacteria : ๊ฐ์ฅ ์ฌ๊ฐ, ๊ฑฐ์ ๋ชจ๋ ํญ์์ ๊ฐ ํจ๋ฅX (๊ทธ๋๋ ์ฌ๋์์๋งํผ ๋ง์ง๋ ์์)
โ Pyelonephritis
- ์น๋ฃ ๊ธฐ๊ฐ์ 4-6์ฃผ ์ ๋๋ก ์ก์.
- ์กฐ์ง ์นจํฌ๋ ฅ์ด ์ข์ ํญ์์ ์ฌ์ฉ
- Fluoroquinolones : enrofloxacin, marbofloxacin, ciprofloxacin) - ๋ด์ฑ ์ฃผ์
- ๊ทธ ์ธ.. trimethoprim-sulfamethoxazole, amoxicillin, cefovecin ๋ฑ
- ์์ก ์กฐ์น๊ฐ ์น๋ฃ์ ์ข์ (์ด๋จ๋ฅผ ๋์์ฃผ๋ ๊ฒ)
- ์๋ณ ์ฑ์ทจ๋ฅผ ํตํ ๋ชจ๋ํฐ๋ง ํ์ (์น๋ฃ ์์ ํ 14์ผ์งธ, ์น๋ฃ ์ข ๋ฃ ํ 7-14์ผ, ์ดํ ๋ฌ๋ง๋ค 3๋ฒ)
โ Bacterial prostatitis
- ์น๋ฃ ๊ธฐ๊ฐ์ ์ต์ 4์ฃผ.
- ํญ์์ ์ฌ์ฉ: ์ ์ฐ์ ์ผ๋ณด๋ค ์ข ๋ ์กฐ์ง ์นจํฌ ์ ๋๋ ์ฝ๋ฌผ์ด ์๊ตฌ๋จ.
- ์กฐ์ง ์นจํฌ๋ ฅ ์ข๊ณ , ๋จ๋ฐฑ์ง ๊ฒฐํฉ ์ ๊ฒ ๋๊ณ , ์ด์จํ ์ ๋๋ ์ฝ๋ฌผ (์๋ 3๊ฐ์ง๊ฐ ๋ํ์ )
- Fluoroquinolones : enrofloxacin (๊ฐ์ฅ ๋ง์ด ์ฌ์ฉ) - ์ ๋๋ฉด marbofloxacin
- Trimethoprim-sulfamethoxazole
- Chloramphenicol
- ๊ทธ ์ธ.. amoxicillin, ampicillin, cephalosporines(cefovecin)
- ์ ์ (์ค์ฑํ)๊ฐ ๋ ๊ทผ๋ณธ์ ์ธ ์น๋ฃ
- ์ ๋ฆฝ์ ์ก culture ์ ์ค์ง์ด ์์ฌ ์์ ์ ์์ผ๋ฏ๋ก,
6. ์ํ
| + ์ํ ์ธ์ | - ์ํ ์ธ์ | |
|---|---|---|
| Cystitis | - Most uncomplicated UTIs - ์ ์ ํ ์น๋ฃ โ Highly responsive | - Complicated UTIs - ๊ธฐ์ ์์ธ์ ์ฐพ๊ฑฐ๋ ๊ด๋ฆฌ ์ด๋ ค์ธ ๋ |
| Pyelonephritis | (์ผ๋ฐ์ ์ผ๋ก ์ํ ๋์จ) | |
| Bacterial prostatitis | - ํญ์์ ์ ์ฐ๋ฉด ์ํ good - ์ฌ๋ฐ ์๋ฐฉ์ด ์ค์; ์ค์ฑํ ๊ถ์ฅ |
7. ์๋ฐฉ
- Catheterizaiton ์ ์๋ฐฉ์ ํญ์์ /๊ฐ์ผ ๋ชจ๋ํฐ๋ง (์ฌ๋ฐ์ฑ UTI ํ์์์๋ ์นดํ ํฐ ๊ถ์ฅX)
- ์๋ฐฉ์ ํญ์์ ์ฒ๋ฐฉ์ ํจ๊ณผ๊ฐ ๋จ์ด์ง๋ ํธ
- ์ ์ฉ๋ ํญ์์ ๋์ผ๋ฉด ๋ฐ๋ก ์ฌ๋ฐ
- ์ ์ฐ๊ท (probiotics)
- ๋ค๋น๋ฅ - D-mannose : ์ธ๊ท ์ ๋ถ์ฐฉ ์ต์
- ๋ณด์กฐ์ - Cranberry extract, methenamine
- ์ค์ฑํ(castration) : ์ ๋ฆฝ์ ์ผ์ ๊ฒฝ์ฐ ๊ณ ๋ ค











