์นผ์ & ๋ถ๊ฐ์์ ์ด์์ฆ
Background knowledgement
Calcium
- ์ฃผ๋ก ํ๋ํ๋ ๊ฒ์ Ionized calcium (55%).
- 99%๋ Bone์, 1%๋ ECF(์ธํฌ์ธ์ก, extracellular fluid) + soft tissue์ ์กด์ฌ.
- ๋ถ๊ฐ์์ ์์ ๋ถ๋น๋๋ PTH(Parathyroid hormone), vitamin D, PTH-related protein
Parathyroid gland
- External glands
- Internal glands
PTH (Parathyroid hormone)
PTH (Parathyroid hormone, ๋ถ๊ฐ์์ ํธ๋ฅด๋ชฌ)
1) Regulation of serum calcium (์นผ์ ๋๋ ์กฐ์ )
- Bone Ca reabsorption (๋ผ์ ์นผ์ ์ฌํก์ ์ด์ง; ๋ผ์์ ๋๊ฐ)
- Tubular Ca reabsorption of kidney (์ฝฉํฅ์ ์นผ์ ์ฌํก์ ์ฆ๊ฐ; ์นผ์์์ ๋๊ฐ)
- Ca absorption in the intestine by increasing the production of calcitriol (์ฅ์์ ์์์ผ๋ก๋ถํฐ ์นผ์ ํก์ ์ฆ๊ฐ)
- โ serum calcium โ (๋ฐ๋ผ์ ์ ์นผ์ํ์ฆ์ผ ๋ PTH๊ฐ ์ฆ๊ฐํ์ฌ ์์ฉํจ)
2) Regulation of serum phosphate (์ธ์ฐ์ผ ๋๋ ์กฐ์ )
- Inhibition of the reabsorption of phosphate from the tubular fluid (=excretion โ) (์ธ๋จ๊ด์์ ์ธ์ฐ์ผ ์ฌํก์ ์ต์ ; ์๋ณ์ผ๋ก ๋ฐฐ์ถ)
- Increase in uptake of phosphate from the intestine and bones (=absorption โ) into the blood (์ฅ๊ณผ ๋ผ์์ ์ธ์ฐ์ผ ํก์ ์ฆ๊ฐ)
3) Vitamin D synthesis (๋นํ๋ฏผD ํฉ์ฑ)
Link to original
- Stimulation of the conversion of
25-hydroxy vitamin Dinto1,25-dihydroxy vitamin D(calcitriol) โ ์ฝฉํ์ ๋นํ๋ฏผD ํก์ ์ด์ง
- Calcitriol : ์ฅ์์ ์นผ์ ์ฆ๊ฐ, ์ธ ์ฆ๊ฐ
- CKD ํ์์ฒ๋ผ ์ ์ฅ ๊ธฐ๋ฅ ๊ฐ์ โ calcitriol์ด ๊ฒฐํ๋์ด ์นผ์ ๊ฐ์
Ca & P metabolism
์นผ์๊ณผ ์ธ์ ์กฐ์ ํ๋ ํธ๋ฅด๋ชฌ
- PTH
- Calcitriol (1,25-dihydroxycholecalciferol) : ์นผ์&์ธ ์ฆ๊ฐ
- FGF-23 (Fibroblast growth factor-23) : ์ธ ๊ฐ์, ๊ณ ์์ด CKD ์ํ ํ๊ฐ
- Calcitonin : calcitriol๊ณผ ๋ฐ๋, ์นผ์&์ธ ๊ฐ์
๊ด๋ฆฌ๊ฐ ์ ์ ๋์ด ์นผ์ ์์น๊ฐ ๋ฎ์์ง๋ฉด..
1๏ธโฃ Hypocalcemia (์ ์นผ์ํ์ฆ)
| Hypocalcemia | |
|---|---|
| Introduction | - ์ปจ๋์
์ ์ข์ ํ์๋ค์๊ฒ์๋ ํํ ๋ฐ์ํจ. - PTH๊ฐ ์ฃผ๋ก ๊ด์ฌํ์ง๋ง, ๋ผ/์ ์ฅ/์์ฅ๊ด ์ชฝ ์ด์์ ์ํด์๋ ๋ฐ์. > 1) ์๊ตฌ๋์ด ๋ง์์ง๋ ๊ฒฝ์ฐ (๋๋ฌด ๋ง์ด ์จ์ ์ค์ด๋ฆ) : ์์ ํ์ ๋(์ฐ์๊ธฐ) : ์นผ์์ด ๋๋ฌด ๋น ์ ธ ๋๊ฐ์ ๊ฐ์ง ์ฆ์ > 2) Increased precipitation-chelation : ์นผ์์ด ๋ค๋ฅธ ๋ฌผ์ง๊ณผ ๊ฒฐํฉ๋์ด ์นจ์ Acute onset of hyperphosphatemia : ์ธ์ฐ๊ณผ ๋ง์ด ๊ฒฐํฉ |
| Causes | - Hypoalbuminemia (์ ์๋ถ๋ฏผํ์ฆ) : protein-bound calcium ๊ฐ์ - Acute/chronic kidney disease - Critical illness - Sepsis, SIRS(systemic inflammatory response syndrome) - Acute pancreatitis (๊ธ์ฑ ์ท์ฅ์ผ) : ์ท์ฅ ํจ์ ์ฆ๊ฐ โ ์ง๋ฐฉ์ฐ ์ฆ๊ฐ โ ์นผ์๊ณผ chelation ์ฆ๊ฐ - Puerperal tetany (์ฐ์๊ธฐ ๊ฐ์ง) > ๊ทธ ์ธ์.. - Primary hypoparathyroidism, Ethylene glycol intoxication, Hyperphosphatemia, Iatrogenic, Intestinal malabsorption, Severe starvation |
| Clinical features | - TCa < 6 mg/dL or iCa(ionized) < 0.8 mmol/L ๋ถํฐ ํ์ฐํ ์์ ์ฆ์ ๋ํ๋จ. - ๊ธฐ๋ ฅ ์ ํ, ์์ ๋ถ์ง, ์ฌํ๊ฒ ์ผ๊ตด์ ๋ฌธ์ง๋ฆ, panting - ๊ตญ์์ ๊ทผ์ก ๊ฒฝ๋ จ/๋จ๋ฆผ, ๊ทผ์ก ๊ฒฝ๋ จ, ๋ปฃ๋ปฃํ ๊ฑธ์๊ฑธ์ด - ๋ฐ์, ์ด์กฐ, ํผ๋, ๋นํ๊ฑฐ๋ฆผ, ๋น๊ณผ ์๋ฆฌ์ ๊ณผ๋ฏผ ๋ฐ์ - ๋ฐ์ด, ํ์ฝ, ๊ตฌํ , ์ฝํ ๋งฅ๋ฐ (๋น๋งฅ=์ฌ์ฅ์ด ์ถฉ๋ถํ pumping ๋ชปํด์ ๋นจ๋ฆฌ ๋=๋ง์ด ๋งฅ๋ฐ์ ์ฝํจ) - ๊ธ์ฌ : TCa < 4 ์ผ ๋ ๊ฐ๋ฅ์ฑ |
| Diagnosis | - Signalment, History taking, Physical examination - Electrocardiography (์ฌ์ ๋) - CBC, Serum biochemical profiles - Urinalysis - Imaging : Radiographs, Ultrasonography - Pancreatitis tests : TCa (Total Calcium) | iCa (ionized Calcium) | PTH (Parathyroid hormone) - Ionized Magnesium : ์ ๋ง๊ทธ๋ค์ํ์ฆ โ PTH ๋ถ๋น ๊ฐ์ |
| Treatment | - ์ท์ฅ์ผ์ด๋, TCa๋ง ๋์์ง ๊ฒฝ์ฐ ์๊ฐ์ด ์ง๋๋ฉด ํ๋ณต - ์ ์นผ์ํ์ฆ ์ฆ์์ด๋, ์ฌ๊ฐํ ์์ค์ผ ๋(TCa < 7.5), ๋น ๋ฅด๊ฒ ์งํ๋ ๋๋ ์น๋ฃ ํ์ |
| - ์นผ์ ์ฃผ์ฌ (1-1.5 ml/kg 10% calcium gluconate IV slowly (1 ml/min)) : ์ฒ์ฒํ ์ฃผ์
ํ๋ฉฐ ๊ฒฝ๊ณผ ์ง์ผ๋ณด๊ธฐ - Monitoring : ์ ์ฒด ์ฆ์, ์นผ์ ๊ฐ์ ์ฌ๋ถ | |
| Maintenance | - ๋ช ๋ฌ๊ฐ ์ง์, ๊ฒฝ๊ตฌ์ ์ ์ด์ฉ - Calcium ๊ณต๊ธ : calcium carbonate - ์นผ์ ์ฒ๋ฐฉํ๋๋ฐ ์ํ๋ ๋งํผ ํจ๊ณผ๊ฐ ์ ๋ํ๋ ๋ Vitamin D ๋ณ์ฉ - Vitamin D ๊ณต๊ธ : Calcitriol (1,25-dihydroxyvitamin D) ์ฐ์ ์ฒ๋ฐฉ |
| Laboratory tests | |
|---|---|
| TCa (Total Calcium) | = [ionized Ca] + [protein-bound Ca] + [Ca complexes] |
| - ์นผ์ ์ด์ ์ โ ๋ถ๊ฐ์์ ๊ณผ ๊ฐ๋ณ. (๋ถ๊ฐ์์ ์ ๊ธฐ๋ฅ / ๋ถ๋น์ ์ด์ ์ ๋ฌด) - ์ ์์ด๋ผ๋ฉด ๋ถ๊ฐ์์ ์ PTH๋ฅผ ๋๊ฒ ๋ถ๋น. ์ ์นผ์ ํ์์์ PTH ๋์ผ๋ฉด ๋ถ๊ฐ์์ ์ ์ ๋๋ก ๊ธฐ๋ฅ, but ๋ค๋ฅธ ์ฅ๊ธฐ ์ด์. | |
| iCa (Ionized calcium, Ca2+) | ๋จ๋ฐฑ์ง์ ์ํฅ์ ๋ฐ์ง ์๊ณ ์นผ์ ๋์ฌ์ ๊ฐ์ฅ ์ฐ๊ด๋์ด ๊ฒ์ฌ |
| - Refernece range (dogs) : 1.2-1.5 mmol/L - Reference range (cats) : 1.1-1.4 mmol/L ![]() | |
| Parathyroid hormone | |
| - intact PTH | - Refernece range (dogs) : 0.5-5.8 pmol/L - Reference range (cats) : 0-4 pmol/L |
| - N-terminal PTH | - Refernece range (dogs) : 5-55 pg/mol/L - Reference range (cats) : 0-4 pmol/L |
| Ionized magnesium | ์ ๋ถ์ ์ด์์์ ๋ง๊ทธ๋ค์ ๋ถ์กฑ ๋ง์. ๋ถ์กฑํ๋ฉด โ PTH ๋ถ๋น ์ ๋ชปํจ. |
2๏ธโฃ Renal secondary hyperparathyroidisam
์ ์ฅ์งํ์ ์ํด ๋ฐ์ํ ๋ถ๊ฐ์์ ํญ์ง์ฆ
- ๊ณ ์ธ์ฐํ์ฆ(Hyperphosphatemia) : ์กฐ์ ์๋๋ณด๋ค ์์ด๋ ์๋๊ฐ ๋นจ๋ผ์ง๋ฉด ๊ฐ์ ๋๊ธฐ ์ด๋ ค์
- ์ผ์ ๋ง์ด ํ๋ ์ฅ๊ธฐ๋ค์ด ํฌ๊ธฐ๊ฐ ์ปค์ง: ๋ถ๊ฐ์์ ์ปค์ง๋ฉฐ PTH ๋ถ๋น ์์น
- +) Calcitriol ํฉ์ฑ โ
![]() | ๊ณ ์ธ์ฐํ์ฆ(Hyperphosphatemia) โ FGF-23 secretion โ โ Calcitriol synthesis โ (์นผ์ ๊ฐ์, ์ธ ๊ฐ์) โ Ionized hypocalcemia โ PTH โ โ ๋ถ๊ฐ์์์ diffuse hyperplasia (= renal secondary hyperparathyroidism) |
1) ์ง๋จ
- TCa, iCa, Phosphorus
- Parathyroid hormone (PTH) : ์ฒ์์๋ ๋ถ๊ฐ์์ ํธ๋ฅด๋ชฌ๋ง ๋ฎ๊ฒ ์ธก์
- Azotemia : BUN, creatinine, SDMA ์ฆ๊ฐ

- 1์ฐจ ๋ถ๊ฐ๊ธฐํญ : PTH ๋์ โ ๋ฐ๋ผ์ ์นผ์๋ ๋์
- 2์ฐจ ๋ถ๊ฐ๊ธฐํญ : Phoshate ๋์(๊ณ ์ธ์ฐํ์ฆ) โ Calcium ๊ฐ์ โ PTH ๋์์ง โ Calcium ์ ์์ผ๋ก ํ๋ณต
- 3์ฐจ ๋ถ๊ฐ๊ธฐํญ : ๋ง์น ์ข ์์ฒ๋ผ ๊ทธ๋ฅ PTH๋ฅผ ๊ณผ๋ค ๋ถ๋น. ๋ค ๋์ ์ํ, ์นผ์/์ธ ๋์ฌ๊ฐ ๊ฑฐ์ ๋ง๊ฐ์ง ์์ค. ์ํ๊ฐ ์ ์ข์ ๋ง๊ธฐ ์ํ๋ก, ๋๋ฌธ ์ผ์ด์ค.
| Imaging | |
|---|---|
| Renal osteodystrophy (์ ์ฑ ๊ณจ์ดํ์ฑ) | - ๋ผ์์ ์นผ์์ด ๊ณผ๋ํ๊ฒ ๋น ์ ธ๋์ ๊ณจ๋ฐ๋ ๊ฐ์ - ์ฑ์ฅ๊ธฐ(6-12๊ฐ์) โ ์คํ๋ ค ๋ผ ๋๊บผ์์ง ์ ์์ - ๋ ธ๋ น, CKD โ Rubber jaw : ์ฝ๊ฐ ๊ณ ๋ฌด์ฒ๋ผ ๋ฌผ๋ ํด์ง |
![]() | - ์์ , ํ์ , ์น์ฃผ๊ณจ์์ ์นผ์ ๊ฐ์, ๋ผ ๋ฐ๋ ๊ฐ์ |
| | - ์ ์ฅ ๊ธฐ๋ฅ ์ ํ |
| | - ๋ถ๊ฐ์์ ๋น๋ |
2) ๊ด๋ฆฌ
- CKD๋ ์์น๊ฐ ์ด๋ ค์ฐ๋ฏ๋ก ๊ด๋ฆฌ ์์ฃผ.
- Rubber jaw ์ํ โ 2-3๋ฌ ์์ ์ฌ๋ง (์น์ง ๋ชปํด์)
- Phosphorus restriction therapy
- ์ธ ํก์ฐฉ์ ๋ณ์ฉ (mineralization ์ํ ์ฃผ์)
- Low-phosphate ์์ด
- Calcitriol : ๊ณ ์ธ์ฐํ์ฆ์ด ์๋ ๊ฒฝ์ฐ, ๊ณต๋ณต์ ์ฃผ์
ํ์ฌ ์ธ ํก์๋ฅผ ์ต์ํ
- Initial dose : CKD IRIS stage 2์์๋ 2.5-3.5ng/kg PO SID
CKD IRIS stage 3&4์์๋ 2-2.5ng/kg PO SID
- Initial dose : CKD IRIS stage 2์์๋ 2.5-3.5ng/kg PO SID
CKD๋ณด๋ค ๋ถ๊ฐ๊ธฐํญ ๋๋ฌธ์ ์ฃฝ๋ ๊ฒฝ์ฐ๋ ๋ง์ (ํนํ rubber jaw). ํ์์ ๋ฐ๋ผ ์ฐ์ ์์๋ฅผ ๋๊ณ ๊ด๋ฆฌ.
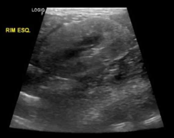
Case 1 (Shih Tzu, 12Y4M, IF, 2.1 kg)
- CC : intermittent vomitting 2๋ ์งธ, 2์ฃผ ์ ์ rubber jaw ๋ฐ์.
- ์ ์ฒด ๊ฒ์ฌ : BCS 2/9, ํ์, rubber jaw, ์ฌ์ก์
- ํ์ก ๊ฒ์ฌ ๊ฒฐ๊ณผ
- CBC) anemia
- S/C, electrolytes) azotemia
- urinalysis (์๊ฒ์ฌ)
- ๋จ๋ฐฑ๋จ๊ฐ ์ฌํ ๋ฒํํ ๊ทธ๋ ์ง ์์ =์ฌ๊ตฌ์ฒด ์์์ด ์๊ฐ๋ณด๋ค ์ฌํ์ง ์๊ฑฐ๋, ์ ์ฅ ๊ธฐ๋ฅ์ด ๋๋ฌด ๋ง๊ธฐ๋ผ ๋จ๋ฐฑ์ง์ด ์ ๋น ์ ธ๋์ค์ง ์๊ฑฐ๋
- ๋ฐฉ์ฌ์ ๊ฒ์ฌ
ํ์ ๋ผ ์์ค, ์ด๋นจ ์์ค, ์ฒ์ถ ๋ผ ๋ฐ๋ ๊ฐ์,
- ์ด์ํ ๊ฒ์ฌ
ํผ์ง, ์์ง ๊ฒฝ๊ณ๊ฐ ์์, hyperechoic
- ๋ถ๊ฐ๊ธฐํญ ์์ฌ๋์ด PTH panel ๊ฒ์ฌ ์๋ขฐ
- CKD IRIS stage 4 ์ง๋จ
- ์ ํ์ ์ธ renal secondary hyperparathyroidism
- 3๊ฐ์ ์ ๋ ๊ด๋ฆฌ ๋ฐ๋ค๊ฐ, ์ ๋ถ์ ์ ํ๋ก ์๋ฝ์ฌ.
- rubber jaw๋ก ์์ ๋๋ ๋ณดํต ์ํ๊ฐ ์ ์ข๋ค๋ ๊ฑฐ,,
- ์กฐ๊ธฐ ์ง๋จํ์ฌ ๋ ์งํ๋์ง ์๋๋ก ๊ด๋ฆฌํ๋ ๊ฒ ์ค์.
3๏ธโฃ Hypercalcemia (๊ณ ์นผ์ํ์ฆ)
| Hypercalcemia | |
|---|---|
| Introduction | - ๊ฐ์ ๊ณ ์์ด์์ ๋น๊ต์ ํํจ - ๋ถ๊ฐ์์ ์์กด์ฑ์ธ์ง, ๋น์์กด์ฑ์ธ์ง ํ๋จ (๋ถ๊ฐ์์์ PTH ์์ฑ ์ด์ โ PTH ๋๊ณ , ์นผ์ ๋ฎ์ / ๋ค๋ฅธ ์์ธ โ PTH ๋ฎ์, ์นผ์ ๋์) |
| Causes | - Primary hyperparathyroidism - Renal failure - Idiopathic hypercalcemia : ๊ณ ์์ด์์๋ ํน๋ฐ์ฑ์ผ๋ก๋ ๋ง์ด ๋ฐ์ - ๊ณ ์งํ์ฆ - ์ด๋ฆฐ ๊ฐ์ฒด์์๋ ๋๊ฒ ๋ํ๋๋ ๊ฒฝํฅ์ด ์์ |
| - Primary hyperparathyroidism - Renal failure - Idiopathic hypercalcemia : ๊ณ ์์ด์์๋ ํน๋ฐ์ฑ์ผ๋ก๋ ๋ง์ด ๋ฐ์ - ๊ณ ์งํ์ฆ - ์ด๋ฆฐ ๊ฐ์ฒด์์๋ ๋๊ฒ ๋ํ๋๋ ๊ฒฝํฅ์ด ์์ | |
| Clinical features | (=์ ์นผ์ํ์ฆ ์น๋ฃ ๋ถ์์ฉ) |
| - ์ผ์ ์์น ์ด์์ด์ด์ผ ๋ช
ํํ๊ฒ ๋ํ๋จ. - ๊ตฌํ , ๋ฐ์ - ๊ธ์ฌ์ ๊ฐ๋ฅ์ฑ๋ ์กด์ฌ (> 18~19) - ์๊ฒฐ์ ๊ด์ฐฐ๋๊ธฐ๋ ํจ | |
| Diagnosis | - TCa, iCa, PTH, PTHrP, Vitamin D 5๊ฐ์ง |
| Treatment | |
| Maintenance |
1) Causes
- Primary hyperparathyroidism
- Renal failure
- Idiopathic hypercalcemia : ๊ณ ์์ด์์๋ ํน๋ฐ์ฑ์ผ๋ก๋ ๋ง์ด ๋ฐ์
- ๊ณ ์งํ์ฆ
- ์ด๋ฆฐ ๊ฐ์ฒด์์๋ ๋๊ฒ ๋ํ๋๋ ๊ฒฝํฅ์ด ์์
2) ์์ ์ฆ์ (= ์ ์นผ์ํ์ฆ ์น๋ฃ ๋ถ์์ฉ)
- ์ผ์ ์์น ์ด์์ด์ด์ผ ๋ช ํํ๊ฒ ๋ํ๋จ.
- ๊ตฌํ , ๋ฐ์
- ๊ธ์ฌ์ ๊ฐ๋ฅ์ฑ๋ ์กด์ฌ
- ์๊ฒฐ์ ๊ด์ฐฐ๋๊ธฐ๋ ํจ
3) ์ง๋จ
- ๋ ๋ง์ ์งํ๋ค๊ณผ ๊ฐ๋ณ ํ์, Top 5 ์ฐ์ ๊ฐ๋ณ
- TCa, iCa, PTH
Laboratory tests

-
Calcium-phophorus product = [total Ca] X [Phosphorase]
-
If > 60-80mg/dL โ mineralization ๋ฐ์ ๊ฐ๋ฅ์ฑ์ด ๋ ๋์.
-
์นผ์ ๋๊ณ ์ธ ์์น ๋ฎ์ผ๋ฉด ์์ฌํด๋ณผ ์ ์์.
-
์นผ์, ์ธ ๋ณ๋ํญ์ ๋ฐ๋ผ ์งํ ์ ์ถ ๊ฐ๋ฅ.
-
PTHrP

- ๋ถ๊ฐ์์ ์ ์ ์ ํ ์ผ ์์ด์ ์์ถ.. PTH ๊ฐ์
Hypercalcemia of malignancy
| Dogs | |
|---|---|
| Lymphoma | |
| Apocrine gland |
- hypercalcemia๊ฐ ๋ฐ์ํ๋ lymphoma๋ ์ข ๋ ์ํ๊ฐ ์ ์ข์.
Paraneoplastic syndrome (PNS) : ์ํX
- indicator
- ~ ์ ์ฐ์ ์ ์ผ๋ก ์๋น,
- ์ข ์์ด ํฌ๋๋น์ ์๋ชจํด์ ๋ํ๋ ์๋
- ๋ถ์ ํผ์ง ํธ๋ฅด๋ชฌ์ด ๊ณผํ๊ฒ ๋ถ๋น๋๊ฑฐ๋
- sertoli cell tumor์์ estrogen ๋ถ๋น๊ฐ ๊ณผ๋ํ๊ฒ ๋ํ๋๊ฑฐ๋
Vitamin D
- ์นผ์์ด ํ์ํ ๋๋ ์ ์ฅ์์ ์ ํ
- vitamin D ์ค๋ ์ ๋ ๋ค ์ฆ๊ฐํ ์๋ ์๊ณ ..

- TCa ๋จผ์ ์ธก์
- ๋์ผ๋ฉด โ PTH ์ธก์ (๋ถ๊ฐ์์ ์ด ๊ธฐ๋ฅํ๊ณ ์์ผ๋ฉด PTH ๋ฎ๊ฒ ๋์์ผํจ)
- normal iCa โ ๋ค์ ๊ฒ์ฌํด๋ณด์
- iCa ๋์ผ๋ฉด โ cnrk rjatk
- PTH ๋์ผ๋ฉด ๋ถ๊ฐ์์ ๊ธฐ๋ฅ ์ด์ ์์ฌ
- ๋์ผ๋ฉด โ PTH ์ธก์ (๋ถ๊ฐ์์ ์ด ๊ธฐ๋ฅํ๊ณ ์์ผ๋ฉด PTH ๋ฎ๊ฒ ๋์์ผํจ)
์น๋ฃ
First-line
- ์์ก ์ฒ์น(fluid therapy) : ์นผ์ ์ด๋จ๊ฐ ๋ฐ์
- Physiologic saline diuresis
- Corticosteroids
- ๋ฆผํ์ข ์ง๋จ ์์ด ์คํ ๋ก์ด๋ ์ฐ๋ฉด ์๋จ,,
- ์์ธ์ด ํ์คํ ๊ฐ๋ณ๋์ง ์์ ์ด์ ์คํ ๋ก์ด๋ ๋จ๋ฐ X
Second-line
- ์คํ
๋ก์ด๋ ์กฐ์ฌ์ค๋ฌ์ธ ๋, Calcitonin ๋จผ์ ์ฃผ์ฌ (์นผ์ ๋จ์ด๋จ๋ฆฌ๋ ์ญํ )
- ๋๋ผ๋งํฑํ ํจ๊ณผX, ๋ช ๋ฒ ์ฐ๋ฉด ๋ด์ฑ์ด ์๊น โ ์ต๊ทผ์๋ X
- ๋์ Pamidronate
- ์๋ ํ์ก์ ์นผ์์ ๋ผ๋ก ๋ฃ์ด ๊ณจ๋ค๊ณต์ฆ ์น๋ฃ์ ์ฐ์ด๋ ์ฝ๋ฌผ
- ํ์ก ๋ด ์นผ์ ๋๋๋ฅผ ์ค์ด๋ ๋ชฉ์ ์ผ๋ก ์ฌ์ฉ
4๏ธโฃ Primary hyperparathyroidism (PHP)
- ๋ถ๊ฐ์์ ์ ์ด์์ด ์๊ฒจ, ๋ถ๊ฐ์์ ์์ PTH๊ฐ ํญ๋ฐ์ ์ผ๋ก ๋ถ๋น
- ๊ฐ๋ ๊ณ ์์ด์์ ๋๋ฌผ๊ฒ ๋ฐ์
- PTH๊ฐ ๋์์ง๋ฉด ๊ณ ์นผ์/์ ์ธ์ฐํ์ฆ์ด ๋ฐ์
- ๋๋ถ๋ถ์ ํธ๋ฅด๋ชฌ ์งํ(์ฟ ์ฑ, ๊ฐ๊ธฐํญ ๋ฑ)๋ ์ข ์ ๋๋ฌธ์ ๋ง์ด ๋ฐ์. ๋ง์ฐฌ๊ฐ์ง๋ก ๋ถ๊ฐ์์ ์ข ์์ด๋ ๋น๋ ๋๋ฌธ์ ๋ง์ด ๋ฐ์.
- ์ข ์ โ hyperplasia๋ 4๊ฐ๊ฐ ๋ค๊ฐ์ด ์ปค์ง ๋๊ฐ ๋ง์. (ํ๋๊ฐ ์ ๋ํ ํฌ๊ณ )
- ์ฐ์ ์ ์ผ๋ก ๊ณ ๋ ค๋๋ ์งํ์ ์๋.
1) ์์ ์ฆ์
- ์๋ณ ๊ด๋ จ ์ฆ์, ๋ค์ ๋ค๋จ ์ฆ์์ด ๊ฐ์์ ๊ฐ์ฅ ํํจ
- ๊ณ ์์ด์์๋ ์์ ๋ถ์ง, ๊ตฌํ , ๋ชฉ์ ํน
2) ์ง๋จ
- ์ ์ฒด ๊ฒ์ฌ
- ๊ณ ์์ด์์ ๋ชฉ์ ํน์ด ์ ๋ง์ ธ์ง. โ ๊ฐ๊ธฐํญ์ด ์๋์ , ๊ฐ๋ ๋ถ๊ฐ๊ธฐํญ
- ํ ๊ฐ ๋น๋๊ฐ ๋๋ถ๋ถ. 2๊ฐ ๋น๋ : 10%, 3๊ฐ ์ด์ ๊ฑฐ์ ์์
3) ์น๋ฃ
-
hypercalcemia treatment
-
surgical removal : ์์ ํด๋ ์ํ ๋ถ๋
- ๊ฐ์์ ์ ๋ถ์ ๋ถ๊ฐ์์ ์ ์
- ๋๋จธ์ง ๋ถ๊ฐ์์ ์ด ์์ถ๋์ด ์์ ์ ์์ผ๋, ํ๋ณต๋ ๋๊น์ง ์นผ์ ๊ธ์ฌ ๊ณ์
- ์์ ์งํ : ์นผ์ ์๋ฉ ์ฃผ๋ฉด์ hypocalcemia ์ฆ์ ๋ํ๋์ง ์๋๋ก ์นผ์ ๊ณ์ ๋ณต์ฉ
- ํ๋์ ์ฐ์ฑ ์ ํ : ์ฐ์ฑ ์งํ ๊ทผ๊ฐ์ง์ด ๋ํ๋ ์ ์์
-
chemical
-
๋น์นจ์ต์ ์น๋ฃ
- Percutaneous ultrasonography-guided ethanol ablation (with 96% ethanol)
- Percutaneous ultrasonography-guided radiofrequency heat ablation
- ์์ ์ ๋นํด ๋ ์ํ ์ ์์ผ๋, ์ ์ ํ ์กฐ์ง ๊ฒ์ฌ๋ฅผ ๋ณด๋ด์ adenoma, calcinoma, cycoplasma ๋ฑ ์กฐ์ง๋ณ๋ฆฌํ์ ํ๊ฐ๊ฐ ๊ฐ๋ฅํ ๊ฒ๊ณผ ๋ฌ๋ฆฌ ๊ทธ๋ฅ ์์ ๋ฒ๋ ค์ ํ๊ฐ x
- ์ผ๋ฐ์ ์ผ๋ก ์์ ๋ณด๋ค ์์ ๊ถ์ฅ


/../../../../Settings/Attached-files/Pasted-image-20241002111247.png)
/../../../../Settings/Attached-files/Pasted-image-20241002111427.png)



|
|
ํ์
๋ผ ์์ค, ์ด๋นจ ์์ค, ์ฒ์ถ ๋ผ ๋ฐ๋ ๊ฐ์,
ํผ์ง, ์์ง ๊ฒฝ๊ณ๊ฐ ์์, hyperechoic