โ… . Digestive System Overview

1. Structure of Digestive System

๊ตฌ๊ฐ• - ์‹๋„ - ์œ„ - ์†Œ์žฅ - ๋Œ€์žฅ - ํ•ญ๋ฌธ

  • ์†Œํ™”๊ธฐ๊ณ„๋Š” โ€˜๊ด€์ƒ ๊ตฌ์กฐโ€™๋กœ ๋˜์–ด ์žˆ๋‹ค. (๊ทธ๋ž˜์„œ ์œ„๋ถ€ํ„ฐ ํ•ญ๋ฌธ๊นŒ์ง€๋ฅผ โ€˜Gastrointestinal Tractโ€™๋ผ๊ณ  ํ‘œํ˜„ํ•œ๋‹ค.)
  • ๊ฐ€์žฅ ์•ˆ์ชฝ์˜ ์ ๋ง‰ ๊ตฌ์กฐ๋Š” ์‹ค์ œ๋กœ๋Š” ์™ธ๋ถ€์™€ ๋…ธ์ถœ๋œ ์…ˆ์ด๋‹ค. ๊ทธ๋ž˜์„œ ๊ฐ€์žฅ ๋…ธ์ถœ๋„ ๋งŽ๊ณ , ์†์ƒ๋„ ๋งŽ์€ ์žฅ๊ธฐ์ด๋‹ค.


์†Œํ™”๊ธฐ๊ณ„์˜ ๋ถ€์œ„๋ณ„ ์ธต ๊ตฌ์กฐ๋ฅผ ๋‚˜ํƒ€๋‚œ ๋ชจ์‹๋„.</๋…€sup>

์†Œํ™”๊ณ„๋Š” ์กฐ์งํ•™์ ์œผ๋กœ 4์ธต์œผ๋กœ ๊ตฌ๋ถ„๋œ๋‹ค.

  • ์ ๋ง‰์ธต (mucosa)
  • ์ ๋ง‰ํ•˜์ธต(submucosa)
  • ๊ทผ์œก์ธต(Muscularis)
  • ์žฅ๋ง‰(Serosa)/๋ฐ”๊นฅ๋ง‰(Adventitia)
  1. ์ ๋ง‰์ธต
  • ์ ๋ง‰์ธต์€ ์ƒํ”ผ์„ธํฌ(epithelium), ์ ๋ง‰๊ณ ์œ ์ธต(lamina propria), ์ ๋ง‰๊ทผ์œก์ธต(muscularis mucosae)์œผ๋กœ ์ด๋ฃจ์–ด์ ธ ์žˆ๋‹ค.
  • ์ ๋ง‰์ธต์˜ ์ƒํ”ผ์„ธํฌ ๊ตฌ์„ฑ์€ ์žฅ๊ธฐ๋ณ„ ๊ธฐ๋Šฅ์— ๋”ฐ๋ผ ๋‹ค๋ฅด๋‹ค.
    • ์™ธ๋ถ€ ๋ฌผ์งˆ์— ๊ณ„์† ๋…ธ์ถœ๋˜๋Š” ๊ตฌ๊ฐ•๋ถ€ํ„ฐ ์‹๋„๊นŒ์ง€๋Š” ์ค‘์ธตํŽธํ‰์ƒํ”ผ(stratified squamous epithelium)๋กœ,
    • ์œ„๋ถ€ํ„ฐ๋Š” ์ญ‰ ๋‹จ์ธต์›์ฃผ์ƒํ”ผ(simple columna epithelium)๋กœ ์ด๋ฃจ์–ด์ง„๋‹ค.
  • ์ ๋ง‰๊ณ ์œ ์ธต์—๋Š” collagen fiber, elastic fiber๊ฐ€ ์žˆ๋‹ค.
  1. ์ ๋ง‰ํ•˜์ธต

์ ๋ง‰์ธต ์•„๋ž˜์— ์žˆ๋Š” ์ ๋ง‰ํ•˜์ธต(submucosa, ๊ฒฐํ•ฉ์กฐ์ง)์—๋Š” ์ƒ˜์กฐ์ง์ด ๋ถ„ํฌํ•ด ์žˆ๋‹ค.

  • Ileum์— ์žˆ๋Š” Peyerโ€™s patch๋Š” lymphoid follicle์ด ๋งŽ์ด ๋ชจ์—ฌ ์žˆ์–ด ๋ฉด์—ญ๊ณผ ํ•ญ์ƒ์„ฑ์„ ์กฐ์ ˆํ•˜๋Š” ๊ตฌ์กฐ๋‹ค.
  • Dueodenum์—๋งŒ ํŠน์ง•์ ์œผ๋กœ ์กด์žฌํ•˜๋Š” Brunnerโ€™s glands๋Š”
  1. ๊ทผ์œก์ธต

์ ๋ง‰์ธต๊ณผ ์ ๋ง‰ํ•˜์ธต ์•„๋ž˜๋ฅผ ๋‘๊ป๊ฒŒ ๋ฐ›์น˜๊ณ  ์žˆ๋‹ค. ๊ทธ๋ž˜์„œ ์ ๋ง‰์—์„œ ์ƒ๊ธด ์ข…์–‘, ์—ผ์ฆ์ด ๊ทผ์œก์ธต์„ ๋šซ๊ณ  ๋ณต๊ฐ•์œผ๋กœ ์œ ์ถœ๋˜๊ธฐ๋Š” ๋งค์šฐ ์–ด๋ ต๋‹ค. ์šฐ๋ฆฌ๊ฐ€ ๋ณด๋Š” ๋Œ€๋ถ€๋ถ„์˜ ๋ณ‘๋ณ€์€ ์ ๋ง‰์— ๊ตญ์†Œ์ ์œผ๋กœ ์กด์žฌํ•œ๋‹ค.

  • ๋‘ฅ๊ธ€๊ฒŒ ๊ฐ์‹ธ๋Š” inner circular layer
  • ์žฅ๊ด€์„ ๋”ฐ๋ผ ๋‚˜๋ž€ํžˆ ๋‹ฌ๋ฆฌ๋Š” outer longitudinal layer (์ƒํ”ผ์„ธํฌ ๊ตฌ์„ฑ๊ณผ ์ฃผ์š” ํŠน์ง• ์œ„์ฃผ๋กœ ํ•œ๋ฒˆ์— ์ •๋ฆฌํ•œ ๊ทธ๋ฆผ ๋งŒ๋“ค๊ธฐ/โ†‘ ๊ทธ๋ฆผ ํ™œ์šฉ)
  1. ๋ฐ”๊นฅ์ธต

์žฅ๊ธฐ๋ณ„ ์กฐ์ง ํŠน์ง•์„ ์ข€ ๋” ์‚ดํŽด๋ณด์ž.

Summary
Oral cavity- stratified squamous epithelium
- major & minor salivary glands
Esophagus- stratified squamous epithelium
- muscular layers
Stomach- simple columnar epithelium
Intestine- simple columnar epithelium
- (small intestine) villi, microvilli
  1. Oral cavity
    • ๋ฌผ๋ฆฌ์ ์œผ๋กœ ํŠผํŠผํ•ด์„œ ์†์ƒ์— ๊ฐ•ํ•œ ์ค‘์ธตํŽธํ‰์ƒํ”ผ(stratified squamous epithelium)๋กœ ๋˜์–ด ์žˆ๋‹ค.
    • ์ด๋นจ, ํ˜€, ์นจ์ƒ˜์„ ํฌํ•จํ•œ๋‹ค.
      • Major salivary glands : ํ„ฑ์ƒ˜, ๊ท€๋ฐ‘์ƒ˜, ํ˜€๋ฐ‘์ƒ˜
      • ๊ทธ ์™ธ์—๋„ ์ž‡๋ชธ์— ๋งŽ์€ minor salivary glands๊ฐ€ ์กด์žฌํ•ด์„œ ์†Œํ™”๋ฅผ ๋•๋Š”๋‹ค.


๋™๋ฌผ๋ณ„ ์ž‡๋ชธ(palatal)๊ณผ ๋ณผ(buccal) ์ชฝ oral epithelium. ๋™๋ฌผ๋งˆ๋‹ค ์ƒํ”ผ์„ธํฌ์ธต์˜ ๋‘๊ป˜๊ฐ€ ๋‹ค๋ฅด๊ธฐ ๋•Œ๋ฌธ์— ์ฆ์‹์„ฑ ๋ณ‘๋ณ€์ธ์ง€, ์ •์ƒ์ธ์ง€ ํŒ๋ณ„ํ•˜๊ธฐ ์œ„ํ•ด ๋‘๊ป˜๋ฅผ ์•Œ์•„๋†“์œผ๋ฉด ์ข‹๋‹ค.

  1. Esophagus

    • ๊ตฌ๊ฐ•์— ์ด์–ด ์ค‘์ธตํŽธํ‰์ƒํ”ผ(stratified squamous epithelium)๋กœ ๋˜์–ด ์žˆ๋‹ค.
    • ๊ตฌ๊ฐ•์˜ ์†Œํ™”๋ฌผ/์Œ์‹๋ฌผ์„ ์œ„๋กœ ๋‚ด๋ ค๋ณด๋‚ด๊ธฐ ์œ„ํ•œ ์—ฐ๋™์ž‘์šฉ์„ ์œ„ํ•ด ๊ทผ์œก์ธต(muscular layers)์ด ๋ฐœ๋‹ฌ๋˜์–ด ์žˆ๋‹ค.
      • ๊ฐœ : ์ „์ฒด๊ฐ€ striated muscle
      • ๊ณ ์–‘์ด : ์•ž 1/3์€ striated muscle, ๋‚˜๋จธ์ง€๋Š” smooth muscle
        ์‹๋„์˜ ์กฐ์งํ•™์  ๊ตฌ์กฐ.
  2. Stomach and Forestomach

    • ํฌ์œ ๋™๋ฌผ : ์œ„์‚ฐ๊ณผ ํšจ์†Œ๋ฅผ ๋ถ„๋น„ํ•˜๋Š” gastric glands๋กœ ์ด๋ฃจ์–ด์ง„ ๋‹จ์œ„(simple stomach)๋ฅผ ๊ฐ€์ง„๋‹ค.
    • ๋ฐ˜์ถ”๋™๋ฌผ : ์ „์œ„(forestomachs; rumen, reticulum, omasum)๋Š” ์…€๋ฃฐ๋กœ์Šค์˜ ๋ฐœํšจ๋ฅผ ๋‹ด๋‹นํ•˜๊ณ , ์ œ4์œ„(abomasum)๊ฐ€ ํฌ์œ ๋™๋ฌผ์˜ ์œ„์™€ ๊ฐ™์€ ๊ธฐ๋Šฅ์„ ํ•œ๋‹ค. (ํšจ์†Œ๋ฅผ ํ†ตํ•œ ์†Œํ™”)


๋‹จ์œ„๋™๋ฌผ(monogastric animals)์˜ ์œ„. ์ฃผ์š” ๊ตฌ์„ฑ ์„ธํฌ๋Š” chief cell๊ณผ parietal cell์ด๋‹ค.

  • ์œ„์ชฝ(๋‚ด๊ฐ• ์ชฝ) ์„ธํฌ๋Š” ์ ์•ก์„ ๋ถ„๋น„ํ•˜๊ณ , ์•ˆ์ชฝ(๋ฒฝ ์ชฝ) ์„ธํฌ๋Š” ์†Œํ™”์•ก์„ ๋ถ„๋น„ํ•œ๋‹ค.
  • ๋‚ด๊ฐ• ์ชฝ ์„ธํฌ๋“ค์˜ turnover time์ด ์งง์•„, ๋นจ๋ฆฌ ์†์ƒ๋˜๊ณ  ๋นจ๋ฆฌ ์žฌ์ƒ๋œ๋‹ค.
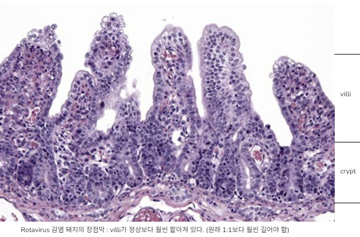
  1. Small & Large Intestines
    • ์†Œ์žฅ์€ ํŠน์ง•์ ์œผ๋กœ villi๋ฅผ ๊ฐ€์ง„๋‹ค โ†’ ํ‘œ๋ฉด์ ์„ ๋„“ํ˜€ ์†Œํ™”๋ฅผ ๋•๋Š”๋‹ค.

  • ์•„๋ž˜์ชฝ์—์„œ๋Š” ์ค„๊ธฐ์„ธํฌ์ธต(crypts of Lieberkรผhn)์ด ์žˆ์–ด ์„ธํฌ๋ฅผ ๊ณ„์† ๋งŒ๋“ค์–ด๋‚ด๊ณ , ๋ถ„์—ด์ƒ์ด ๋นˆ๋ฒˆํ•˜๋‹ค.
  • ์œ„์ชฝ ์„ธํฌ๋“ค์€ ๋ถ„์—ด๋ณด๋‹จ ์ ์•ก ๋ถ„๋น„, ์†Œํ™”ํšจ์†Œ ๋ถ„๋น„, ํก์ˆ˜ ๋“ฑ์˜ ๊ธฐ๋Šฅ์„ ํ•œ๋‹ค.
  • villi๋‚˜ crypt๋ฅผ ์†์ƒ์‹œํ‚ค๋Š” ๋ฐ”์ด๋Ÿฌ์Šค์„ฑ ์งˆํ™˜์„ ์•“์„ ๊ฒฝ์šฐ villi๊ฐ€ ์งง์•„์งˆ ์ˆ˜ ์žˆ๋‹ค.
  1. Peritoneum, Omentum, Mesentery
  • ๋ชจ๋‘ ์†Œํ™”์žฅ๊ธฐ๋“ค์„ ๋ฎ๊ณ ์žˆ๋Š” ๊ตฌ์กฐ : ๊ฒน์ณ์žˆ์ง€๋งŒ ๊ฐ๊ฐ ๊ตฌ๋ถ„ํ•˜์—ฌ ์•Œ์•„์•ผ ํ•œ๋‹ค.
    • Peritoneum : ์žฅ๋ง‰๋ฉด (A serous membrane lining the abdominal cavity)
    • Omentum : ๋‘˜๋Ÿฌ์‹ธ๋Š” ์ง€๋ฐฉ์กฐ์ง (Fatty apron protecting abdominal organs)
    • Mesentery : ์ง€๋ฐฉ์กฐ์ง์— ์กด์žฌํ•˜๊ณ  ์žˆ์œผ๋‚˜ ํ˜ˆ๊ด€๊ณผ ๋ฆผํ”„๊ด€์ด ์ง€๋‚˜๊ฐ (Supports intestines and contains blood vessels and lymphatics)

2. Disorders in the Digestive System

์†Œํ™”๊ธฐ์—์„œ ์ฃผ๋กœ ์ผ์–ด๋‚˜๋Š” ์ด์ƒ์„ ๋ณด์ž.

  1. Gastrointestinal aging

๋จผ์ € ๋…ธํ™”์— ๋”ฐ๋ผ ์ •์ƒ์ ์œผ๋กœ ๋‚˜ํƒ€๋‚˜๋Š” ๋ณ€ํ™”๊ฐ€ ์žˆ๋‹ค. ๋…ธํ™” โ†’ ์žฅ๊ธฐํŠน์ด์ ์ธ ์ค„๊ธฐ์„ธํฌ๋“ค์ด ์ ์  ๋ถ„์—ด์„ ์ž˜ ๋ชปํ•˜๋Š” ์ƒํƒœ. โ†’ ์ƒˆ๋กœ์šด ์„ธํฌ๋ฅผ ๋งŒ๋“œ๋Š” ๊ณผ์ •์ด ๋‚˜์ด๊ฐ€ ๋“ค์ˆ˜๋ก ๊ฐํ‡ดํ•œ๋‹ค.

  • ๊ตฌ๊ฐ• : plaque(์น˜์„)์ด ๋งŽ์ด ๋‚€๋‹ค. (์น˜์„์„ ์ž˜ ์ œ๊ฑฐํ•ด์ฃผ์ง€ ์•Š์œผ๋ฉด periodontitis(์น˜์ฃผ์—ผ)์œผ๋กœ ์ง„ํ–‰)
  • ์†Œํ™”๊ด€ :
    • ํƒ€์•ก ๋ถ„๋น„, ์œ„์‚ฐ ๋ถ„๋น„๊ฐ€ ๊ฐ์†Œํ•œ๋‹ค.
    • ๋ณดํ˜ธ ๊ธฐ๋Šฅ, ์†Œํ™” ๊ธฐ๋Šฅ์ด ๊ฐ์†Œํ•œ๋‹ค.
    • Crypt์˜ ๊ธฐ๋Šฅ์ด ๋–จ์–ด์ง„๋‹ค โ†’ villi๊ฐ€ ์งง์•„์ง„๋‹ค.
    • ์œ„์˜ ์—ฐ๋™์šด๋™(gastric emptying)์ด ๋А๋ ค์ง„๋‹ค.
  1. ์žฅ๊ธฐ๋ณ„ ๋‚˜ํƒ€๋‚  ์ˆ˜ ์žˆ๋Š” ์ด์ƒ์œผ๋กœ๋Š”
  • ๊ตฌ๊ฐ• : thrush, ์น˜์ฃผ์—ผ
  • ์‹๋„ : squamous cell carcinoma
  • ์œ„ :
  • ์†Œ์žฅ : Boxerโ€™s colitis, Johneโ€™s disease, lymphoma
  • ๋ณต๋ง‰ : ๋ณต์ˆ˜(ascites), ์ง€๋ฐฉ์กฐ์ง ๊ดด์‚ฌ(fat necrosis), ๋ณต๋ง‰์—ผ(peritonitis), ๋ณต๊ฐ• ๋‚ด ๊ณต๊ธฐ(pneumo peritoneum)
  • ์‹ ๊ฒฝ(innervation) : dysautonomia, agangliosis
๊ตฌ๊ฐ•thrush, ์น˜์ฃผ์—ผ,
์‹๋„SCC
์œ„
์†Œ์žฅBoxerโ€™s colitis, Johneโ€™s disease, lymphoma
ํ•ญ๋ฌธ

1) Gastrointestinal Aging

2) ์žฅ๊ธฐ๋ณ„ Disorders

์†Œํ™”๊ธฐ์— ์ด๋Ÿฌํ•œ ๊ธฐ๋Šฅ์ €ํ•˜(dysfunction)๊ฐ€ ๋‚˜ํƒ€๋‚˜๋ฉด, ์ž„์ƒ์ ์œผ๋กœ๋Š”

  • ํƒˆ์ˆ˜
  • ์ €ํ˜ˆ๋Ÿ‰์ฆ
  • ์ „ํ•ด์งˆ ๋ถˆ๊ท ํ˜•
  • ์‡ผํฌ ๊ฐ€ ๋‚˜ํƒ€๋‚œ๋‹ค.

3. Defense Mechanisms

์™ธ๋ถ€ ๋…ธ์ถœ์ด ์žฆ์€ ์†Œํ™”๊ธฐ๋Š” ๋ฌผ๋ฆฌ์ , ์ƒํ™”ํ•™์ , ๋ฉด์—ญ, ์„ธํฌ์„ฑ ๋ฐฉ์–ด ๊ธฐ์ „์ด ์žˆ๋‹ค.

์ด๋Ÿฌํ•œ ๋ฐฉ์–ด ๊ธฐ์ „์„ ํšŒํ”ผํ•˜๊ธฐ ์œ„ํ•œ ๋ณ‘์›์ฒด์˜ ํšŒํ”ผ ๊ธฐ์ „๋„ ์žˆ๋‹ค. ๋Œ€ํ‘œ์ ์œผ๋กœ

๋ฐฐ๋ฆฌ์–ด๊ฐ€ ๋ง๊ฐ€์ง€๋ฉด ์–ด๋–ป๊ฒŒ ๋ ๊นŒ?

  • ๊ณ„์†๋œ ์—ผ์ฆ๊ณผ ์„ค์‚ฌ๋กœ ์†์ƒ์ด ์•…ํ™”๋  ๊ฒƒ์ด๋‹ค.
  • ๊ธฐํšŒ๊ฐ์—ผ๋„ ๋ฐœ์ƒํ•˜๊ธฐ ์‰ฝ๋‹ค.
  • Clinical examples : IBD(์—ผ์ฆ์„ฑ ์žฅ์งˆํ™˜), ..

4. Portals of Entry

5. Response to Injury

์†Œํ™”๊ณ„๊ฐ€ ์†์ƒ์— ๋Œ€ํ•ด ๋ฐ˜์‘ํ•˜๋Š” ๋ฐฉ์‹์€ ์ฃผ๋กœ ์—ผ์ฆ ํ˜น์€ ๊ดด์‚ฌ.

์„ค์‚ฌ

์†์ƒ์— ๋Œ€ํ•œ ๋ฐ˜์‘
Inflammation
Necrosis
Lymphangiectasia & PLE
Innervation disorders
Diarrhea

โœ… Diarrhea

โ…ก. ์†Œํ™”๊ธฐ ์งˆํ™˜ ์ •๋ฆฌ

* ์งˆ๋ณ‘ ํŽ˜์ด์ง€ = ์†Œ๋™๋ฌผ ์ž„์ƒ(๊ฐœ, ๊ณ ์–‘์ด) ์œ„์ฃผ * ๋Œ€๋™๋ฌผ ๋‚ด์šฉ์€ ๋ณด๋ผ์ƒ‰ ๋ฐ•์Šค ์ฐธ๊ณ 

์ฐจ๋ก€

  1. Stomatitis

Oral cavity

  • Stomatitis (๊ตฌ๋‚ด์—ผ) : ๋ณผ ์ชฝ, ํ˜€ ์ฃผ๋ณ€ ๊ตฌ๊ฐ• ์ ๋ง‰์˜ ์—ผ์ฆ
  • Gingivitis (์น˜์ฃผ์—ผ) : ์ž‡๋ชธ์„ ๊ตฌ์„ฑํ•˜๋Š” ์ ๋ง‰์˜ ์—ผ์ฆ
  • Eosinophilic Stomatitides : ๊ณ ์–‘์ด์—์„œ ํ”ํ•˜๊ฒŒ ๊ด€์ฐฐ, ํ˜ธ์‚ฐ๊ตฌ ์นจ์œค์ด ์‹ฌํ•œ ์œก์•„์ข…
  • Lymphoplasmacytic Stomatitis : ๋งŒ์„ฑ ๊ฐ์—ผ์— ์˜ํ•จ
  • Oral Mucosal Hyperplasia :
  • [[

Esophagus

Stomach

  • Gastric ulcers

  • GDV

  • Infectious Gastritis

  • uremic gastritis

  • uremia๊ฐ€ ๋งŽ์ด ๋งŒ๋“ค์–ด์ง > ๋Œ€์‚ฌ๋˜์–ด ์งˆ์†Œ์‚ฐํ™”๋ฌผ์ด ๋งŽ์ด ์ƒ๊น€. ์งˆ์†Œ์‚ฐํ™”๋ฌผ์€ ํ˜ˆ๊ด€์„ ์ž˜ ๊ณต๊ฒฉํ•จ. ๊ทธ๋ž˜์„œ ์ƒ๊ธฐ๋Š” ์—ผ์ฆ์„ uremic gastritis

    • ํ˜ˆ๊ด€๋‚ดํ”ผ์„ธํฌ, ์ƒ˜์กฐ์ง ์„ธํฌ๊ฐ€ ๋งŽ์ด ์ฃฝ์Œ โ†’ ์„ธํฌ๊ฐ€ ๊ดด์‚ฌ๋œ ์ž๋ฆฌ์— ์นผ์Š˜์ด ์นจ์ฐฉ๋˜์–ด mineralization
  • Pyloric stenosis

  • gastric neoplasia : ๊ฐœ์—์„œ leiomyoma, ๊ณ ์–‘์ด์—์„œ lymphoma / ์†Œํ™”๊ด€ ๋‚ด๊ฐ•์„ ์ขํžŒ0๋‹ค โ‡’ ์›๋ฐœ ์œ„์น˜์—์„œ ๋ฌธ์ œ๋ฅผ ์œ ๋ฐœ.

๋ฐ˜์ถ”๋™๋ฌผ์˜ Abdomasal Displacement

  • LDA
  • RDA

Intestine

๋Œ€๋ถ€๋ถ„ ๊ฐ์—ผ์œผ๋กœ ์ธํ•œ ์—ผ์ฆ, ์†Œํ™” ํก์ˆ˜ ๋ถ€์ „, ์ข…์–‘์„ฑ ์งˆํ™˜.

์•„๋ž˜์—์„œ๋ถ€ํ„ฐ R C P

  • Parvoviral enteritis

  • ETEC

  • Salmonella enterica (ruminants & pigs)

    • M cell์„ ํ†ตํ•ด์„œ ๋“ค์–ด์˜ด. fibrinonecrotic enteritis๋ฅผ ์ผ์œผํ‚ด.
    • Fibrin ์นจ์ฐฉ์€ ์ดˆ๊ธฐ ๋ฐ˜์‘ > ๊ธ‰์„ฑ ๊ฐ์—ผ์˜ ํ˜•ํƒœ
  • Boxer colitis

  • Intestinal Lymphma

  • Intestinal Adenocarcinoma

  • GIST : ์ƒํ”ผ์„ธํฌ ์œ ๋ž˜๊ฐ€ ์•„๋‹ˆ๋ผ ๊ฐ„์—ฝ์„ธํฌ ์œ ๋ž˜ ์ข…์–‘.

Peritoneum & Mesentery

์•„๋ž˜ ์›์ธ์ฒด๋“ค์ด peritonitis๋งŒ ์ผ์œผํ‚ค์ง€๋Š” ์•Š๋Š”๋‹ค. ๊ทธ๋Ÿฌ๋‚˜ ์ฒด๋‚ด๊ฐ€ ์•„๋‹Œ ๋ณต๊ฐ•๋‚ด์—์„œ๋„ ์—ผ์ฆ์„ ์ผ์œผํ‚ฌ ์ˆ˜ ์žˆ๋Š” ๊ฒƒ.

  • FIP (Feline Infectious Peritonitis)
  • Bacterial peritonitis : Escherichia coli, Actinobacillus spp., Trueperella pyogenes
  • Parasitic peritonitis : Echinococcus granulosus, Setaria spp.
  • Fat necrosis : ๋ณต๊ฐ• ์ง€๋ฐฉ์ด ๊ดด์‚ฌ๋จ. Selenin(๋น„ํƒ€๋ฏผE) ๊ฒฐํ•, ์ทŒ์žฅ ๋ฌธ์ œ, ์™ธ์ƒ์„ฑ
  • ์ด์ฐจ์ ์œผ๋กœ ascites (๋ณต์ˆ˜) : ๋ง‘์€ transudate, ์—ผ์ฆ์„ฑ ์‚ฐ๋ฌผ์ด ๋ˆ„์ถœ๋˜๋Š” exudate
  • Mesothelioma :
  • Intestinal Volvulus and Torsion

Horse, colon ์‚ฌ์ง„ ์„ค๋ช…

  • ์žฅ๊ฐ„๋ง‰์— ์ƒ๊ธด ๊ฒƒ์ด๋‹ˆ ๋ฆผํฌ๋งˆ
  • ๊ฒฐ์ ˆ ํ˜•ํƒœ > ์œก์•„์ข…์„ฑ์—ผ์ฆ
    • ๋‹จ๋ฉด์„ ์ž˜๋ž๋Š”๋ฐ ๋‹จ๋‹จํ–ˆ์œผ๋ฉด ์œก์•„์ข…์„ฑ ์—ผ์ฆ (๊ฒฐํ•ฉ์กฐ์ง ๋งŽ์œผ๋ฏ€๋กœ)
    • ๋‹จ๋ฉด์„ ์ž˜๋ž๋Š”๋ฐ ๋†์ด ๋งŽ์œผ๋ฉด, ๊ฐ€์žฅ์ž๋ฆฌ๋Š” ์„ฌ์œ ์†Œ๊ฐ€ ์ž˜ ๋‘˜๋Ÿฌ์‹ผ ํ™”๋†์œก์•„์ข…์„ฑ ์—ผ์ฆ
    • Rhodococcus equi. / ๊ณฐํŒก์ด / Mycobacterium