์ด์ ๋ถํฐ ๊ฐ๋ก ์ ๋๋ค
[9-2์ฃผ์ฐจ : introduction]
- ์ ์ ์กฐ์งํ์ /ํด๋ถํ์ ๊ตฌ์กฐ์ ๊ธฐ๋ฅ์ ์ดํด๋ณด๊ณ
- ์๋ฆฌํ์ ๋ฉด์ญํ์ ๋ด์ฉ๋ ์ดํด๋ณด๊ณ
- ๋น์ ์์ ๋ด์ฉ์ผ๋ก
- ์ ์ฒ์
- ์ข ์
- ๋ฉด์ญ
- idiopathic - ์ ์ผ ์ด๋ ค์
- ๋ฐ๋ ค๋๋ฌผ/์ฐ์ ๋๋ฌผ์ ๋๋ฃจ
- ๋น๋๊ฐ ๋๊ณ ์์ฃผ ๋ณผ ์งํ ์์ฃผ๋ก
- ๊ฐ๋ก ์ด ๋ ์ด๋ ต์ต๋๋ค~
1. Digestive System Overview
- ์ ๋ง ๊ตฌ์กฐ๊ฐ ์ฌ์ค์ ์ธ๋ถ์ ๋ ธ์ถ๋ ๊ตฌ์กฐ์.
- ๊ฐ์ฅ ๋ ธ์ถ๋ ๋ง๊ณ ์์๋ ๋ง๋ค.

| ์ ๋ง์ธต | ๊ตฌ๊ฐ & ์๋ | ์ | ์์ฅ(duodenum) | colon |
|---|---|---|---|---|
| ์ํผ์ธํฌ | ์ค์ธตํธํ์ํผ(stratified squamous epithelium) | ์์กฐ์ง (๋จ์ธต์์ฃผ์ํผ) | < | < |
| ํน์ง | villi ์กด์ฌ |
- ์ ๋ง์ธต ์๋๋ก ์ ๋งํ์ธต(submucosa, ๊ฒฐํฉ์กฐ์ง)๊ณผ ๊ทผ์ก์ธต(๋๊บผ์)์ด ์์.
- ์ ๋ง์์ ์๊ธด ์ข ์, ์ผ์ฆ์ด ๊ทผ์ก์ธต์ ๋ซ๊ณ ๋ณต๊ฐ์ผ๋ก ์ ์ถ๋๊ธฐ๋ ๋งค์ฐ ์ด๋ ต๋ค.
- ์ฐ๋ฆฌ๊ฐ ๋ณด๋ ๋๋ถ๋ถ์ ๋ณ๋ณ์ ์ ๋ง์ ๊ตญ์์ ์ผ๋ก ์กด์ฌ.
- ์์กฐ์ง์ ํน์ง์ ์์๋์.
- Brunnerโs glands : (์์ฅ ์ค์์๋) duodenum์๋ง ํน์ง์ ์ผ๋ก ์กด์ฌ
- Peyerโs patch : lymphoid follicle์ด ๋ง์ด ๋ชจ์ฌ์๊ณ , ๋ฉด์ญ๊ณผ ํญ์์ฑ์ ์กฐ์
- Crypt of Lieberkuhn : crypt๋ ์ค๊ธฐ์ธํฌ(stem cell)๋ฅผ ๋ง์ด ๊ฐ์ง. โ ์ ๋ง villi์ ์ธํฌ๋ค์ ์ฌ์์ ๋ด๋น
์ฅ๊ธฐ๋ณ ์กฐ์งํ ํ ์ ๋ฆฌ
| ๐ ์ํ๊ณ ์ฅ๊ธฐ๋ณ ์กฐ์งํ | < |
|---|---|
| Oral cavity | - ์ค์ธตํธํ์ํผ๋ก ๋์ด์์. = ๋ฌผ๋ฆฌ์ ์ผ๋ก ํผํผํด์ ์ ์์๋์ง ์๊ธฐ ๋๋ฌธ. - ๋๋ฌผ๋ง๋ค ์๋ชธ, ๋ณผ ์ชฝ ์ํผ์ธํฌ์ธต์ ๋๊ป๊ฐ ๋ค๋ฆ. (์ฆ์์ฑ ๋ณ๋ณ์ธ์ง, ์ ์์ธ์ง ๋ถ๊ฐ ํ์) - Major ์นจ์(ํฑ์, ๊ท๋ฐ์, ํ๋ฐ์) ์ธ์๋ ์๋ชธ์ minor ์นจ์์ด ์กด์ฌํด์ ์ํ๋ฅผ ๋์. |
| Esophagus | - ๊ตฌ๊ฐ์์ ์๋๊น์ง๋ ๋ค ์ค์ธตํธํ์ํผ (stratified squamous epithelium) - ๊ตฌ๊ฐ์ ์ํ๋ฌผ/์์๋ฌผ์ ์๋ก ๋ด๋ ค๋ณด๋ด๊ธฐ ์ํ ์ฐ๋์์ฉ์ ์ํด ๊ทผ์ก์ธต์ด ๋ฐ๋ฌ. |
| Stomach | * ํฌ์ ๋๋ฌผ์ ์ = ๋ฐ์ถ๋๋ฌผ์ 4์(abomasum)![]() - ์์ชฝ(๋ด๊ฐ์ชฝ) โ ์ ์ก ๋ถ๋น / ์์ชฝ(๋ฒฝ์ชฝ) โ ์ํ์ก ๋ถ๋น - ์์ชฝ ์ธํฌ๋ค์ turnover time์ด ์งง์ (๋นจ๋ฆฌ ์์๋๊ณ ๋นจ๋ฆฌ ์ฌ์๋จ) |
| Small & Large Intestines | ![]() - ์์ฅ์ ํน์ง์ ์ธ ๊ตฌ์กฐ๋ villi : ํ๋ฉด์ ์ ๋ํ ์ํ๋ฅผ ๋์. - ์๋์ชฝ์๋ ์ค๊ธฐ์ธํฌ์ธต (crypts of Lieberkรผhn) ์ด ์์ด ์ธํฌ๋ฅผ ๊ณ์ ๋ง๋ค์ด๋ด๊ณ , ๋ถ์ด์์ด ๋น๋ฒํจ. - ์์ชฝ ์ธํฌ๋ค์ ๋ถ์ด๋ณด๋ค๋ ๊ธฐ๋ฅ (์ ์ก ๋ถ๋น, ์ํํจ์ ๋ถ๋น, ํก์) * villi, crypt๋ฅผ ์์์ํค๋ ๋ฐ์ด๋ฌ์ค์ฑ ์งํ โ villi๊ฐ ์งง์์ง. |
| Peritoneum, Omentum, Mesentery | - ๋ชจ๋ ์ํ์ฅ๊ธฐ๋ค์ ๋ฎ๊ณ ์๋ ๊ตฌ์กฐ : ๊ฒน์ณ์์ง๋ง ๊ฐ๊ฐ ๊ตฌ๋ถํ์ฌ ์๊ธฐ ใ- Peritoneum : ์ฅ๋ง๋ฉด (A serous membrane lining the abdominal cavity) ใ- Omentum : ๋๋ฌ์ธ๋ ์ง๋ฐฉ์กฐ์ง (Fatty apron protecting abdominal organs) ใ- Mesentery : ์ง๋ฐฉ์กฐ์ง์ ์กด์ฌํ๊ณ ์์ผ๋ ํ๊ด๊ณผ ๋ฆผํ๊ด์ด ์ง๋๊ฐ (Supports intestines and contains blood vessels and lymphatics) |
2. Disorders in the Digestive System
๐ข Gastrointestinal Aging
- Aging : ์๋ก์ด ์ธํฌ๋ฅผ ๋ง๋๋ ๊ณผ์ ์ด ๋์ด๊ฐ ๋ค์๋ก ๊ฐํดํจ.
- ์ฅ๊ธฐ ํน์ด์ ์ธ ์ค๊ธฐ์ธํฌ๊ฐ ๋ถ์ด์ ์ ๋ชปํ๋ ์ํ๊ฐ ๋๊ณ ์๋ ๊ฒ.
- Aging์ ๋ณํ๊ฐ ๊ฐ์์ ์ ๋ํ๋ ์๋ค.
| Aging | |
|---|---|
| ๊ตฌ๊ฐ | - Plaque : ์น์์ด ๋ง์ด ๋. (plaque๋ฅผ ์ ๊ฑฐํ๋ ๊ฒ์ด ์ค์ผ์ผ๋ง) - ์น์์ ์ ์ ๊ฑฐํด์ฃผ์ง ์์ผ๋ฉด ์น์ฃผ์ผ(periodontitis)์ผ๋ก ์งํ. |
| ์ํ๊ด | - ํ์ก ๋ถ๋น ๊ฐ์, ์์ฐ ๋ถ๋น ๊ฐ์ - ๋ณดํธ์ ์ํ์ ๊ธฐ๋ฅ์ด ๊ฐ์ํจ - crypt์ ๊ธฐ๋ฅ์ด ๋จ์ด์ง๋ฉด์ villi๊ฐ ์งง์์ง. - ์์ ์ฐ๋์ด๋(gastric emptying)์ด ๋๋ ค์ง. |
๐ข ์ฅ๊ธฐ๋ณ Disorders
| Disorders | |
|---|---|
| ๊ตฌ๊ฐ | - Thrush : ์์ฌ๊ท ์ธ Candida spp. ๊ฐ ๊ณผ์ฆ์ํ์ฌ ๋ฐ์. ์์ธ) ๋ฉด์ญ ์ ํ, ์คํ ๋ก์ด๋์ ๊ณ์๋ ์ฌ์ฉ. - Periodontitis (์น์ฃผ์ผ) : ๊ตฌ๊ฐ๋ด์ผ์ฆ |
| ์๋ | Rapid healing (turnovertime์ด 5-8์ผ๋ก ๋น ๋ฅด๋ค) - Squamous cell carcinoma : ๋ง์์ ์ ์๊น, ์ ์ด๋ ์ ๋จ. |
| (๋ฐ์ถ๋ฅ์ ์ ์) : ์ํํจ์ ๋ถ๋นX : ํธํ์ํผ | ๋ฏธ์๋ฌผ์ด์ ํตํด ๊ณ์ ๋ฐํจ์์ฉ - ์ ์ ๋ฏธ์๋ฌผ์ด์ ๊ต๋ โ ์ ์์ ์ธ ๋ฐํจ๋ ์ํ์ ์ ํ. ๋ฐ์ถ๋ฅ์ 1-3์์์๋ ์ฒ๊ณต์ด ์ ๋ฐ์ํจ. |
| ์ | Parietal cells โ HCl ๋ถ๋น Chief cells โ pepsin ๋ถ๋น - ์์ฐ ๋ถ๋น์ ์ ํ, ์ํํจ์ ๋ถ๋น ์ ํ |
| ์์ฅ | Boxer colitis, Johneโs disease, lymphoma |
| Innervation | Dysautonomia, Agangliosis - Botulinum toxin : |
Diarrhea (์ค์ฌ)
- Noninflammatory (๋น์ผ์ฆ์ฑ) : ์ผ๋ถ toxin์ ์ผ์ฆ์ ์ ๋ฐX, ์ฅ์ ๋ง์ ์์์ํด. (ETEC, Cryptosporidium parvum)
- Inflammatory (์ผ์ฆ์ฑ) : ์ฅ๊ธฐ๋ฅ์ ๋จ์ด๋จ๋ฆฌ๊ณ ์ํ๋ฅผ ๋ฐฉํด (Salmonella, Lawsonia)
Peritoneal Disorders
| Ascites | (๋ณต์) |
| - ๋ณต๊ฐ๋ด์ fluid ์ถ์ - lypmhatic blockage(๊ฐ์ง์ก ํก์ ๋ถ๊ฐ), hypoproteinemia ๋ก ์ธํด | |
| Fat necrosis | (์ง๋ฐฉ์กฐ์ง ๊ดด์ฌ) |
| - ์์์ฑ, ์ท์ฅ ๋ฌธ์ > ์ธ์์ฑ(์ง๋ฐฉ๊ดด์ฌ๋ณด๋ค๋ ๋ค๋ฅธ ์ฅ๊ธฐ์ ๋ฌธ์ ๋ ๊ฒ), ํน๋ฐ์ฑ - ์ท์ฅ ๋ฌธ์ : ์ํ๊ธฐ๋ ๋๊บผ์ด ๊ฒฐํฉ์กฐ์ง๊ณผ ๊ทผ์ก์ธต์ผ๋ก ๋๋ฌ์์ฌ ์์. ๊ทธ๋ฐ๋ฐ ์ท์ฅ์ ๋ณต๊ฐ๋ด ๊ทธ๋๋ก ๋ ธ์ถ๋์ด ์์. โ ์ท์ฅ ์์์ด๋ ์ด์ โ ์ท์ฅ์ธํฌ๊ฐ ๊ฐ์ง๊ณ ์๋ ์๋ง์ ์ํํจ์๋ฅผ ๋ฐ์ผ๋ก ๋ ธ์ถ์ํด. - saponification ; ๊ดด์ฌ ํ ์๊ฐ์ด ์ง๋ ๋จ๋จํ ๋น๋์ฒ๋ผ ๋๋ ๊ฒ - ์ง๋ฐฉ์ธํฌ์ ๊ดด์ฌ๊ฐ ๊ด๋ฒ์ํ๊ฒ ์ผ์ด๋๋ฉด ์นผ์์ ๋น๋กฏํ ์ํํจ์, โฆ | |
| Peritonitis | (๋ณต๋ง์ผ) |
| Pneumoperitoneum | (๋ณต๊ฐ ๋ด ๊ณต๊ธฐ) |
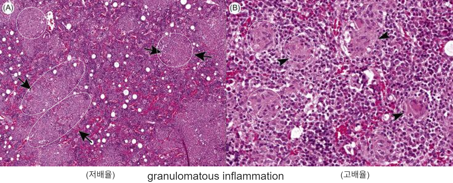
FIP (Feline Infectious Peritonitis) (์ฐธ๊ณ : ๋ณธ3-1 ๋จ๋ด - FIP)
- wet-form : ๋ณต๊ฐ์ ์ฌํ ๋ณต์
- dry-form : ๋ณต์๋ฅผ ํ์ฑํ์ง ์์
- ์ฅ๋ง๋ฉด์ด ์๋๋ผ ์ฅ์ ๊ฐ์ฅ ๋ฐ๊นฅ๋ฉด์ ์ผ์ฆ์ด ์๊น. ๊ทธ๋์ ์ผ์ฆ์ด ์๊ธธ ์๋ ์ ์๊ธธ ์๋.
- Coronavirus๋ก ์ธํด ์๊ธฐ์ง๋ง, ๊ธฐ์์ถฉ์ผ ์๋, ์ธ๊ท ์ฑ์ผ ์๋. 3๊ฐ์ง ํํ์ ์ผ์ฆ ๋ชจ๋ ๊ฐ๋ฅ. ์์ธ์ฒด์ ์ํฅ์ ๋ฐ๊ธฐ๋ ํ๊ณ , ํ์ถ์ ์ํ์ ๋ฐ๋ผ ๋ค๋ฅด๊ธฐ๋ ํจ. ์์ธ์ฒด์ ์ง์ ๋งค์นญ๋๋ ๊ฑด X
- suppurative : ํธ์ค๊ตฌ๊ฐ ๋ง์
- firinous : ์ฌ์ ์๊ฐ ๋ง์
- granulomatous : ๋์์ธํฌ๊ฐ ๋ง์
๐ข ์ํ๊ธฐ Dysfunction์ผ๋ก ๋ํ๋๋ ์์์ ๊ฒฐ๊ณผ
- Dehydration (ํ์) : Fluid์ ๊ฐ์ (์ํํ๋ ํ์ก๋ ๊ฐ์), ๋ฐ๋ผ์..
- ์กฐ์ง ๊ด๋ฅ ๊ฐ์ โ Hypovolemia*
- Electrolyte imbalance (์ ํด์ง ๋ถ๊ท ํ) : hypokalemia, metabolic acidosis
- Shock : ์ฌํด์ง๋ฉด ๋ฐ๋ก shock, MOF ์ผ์ด๋ ์ ์์
3. Defense Mechanisms
๐ข Alimentary System์ Defense Mechanisms
- Mechanical (physical) : ๋๊บผ์ด ์ธต โ ์ํ๊ธฐ ๋ด๋ถ์ ๋ฌธ์ ๊ฐ ๋ฐ์ผ๋ก ๋๊ฐ์ง ์๊ฒ ํจ. / ์กฐ์๊ทผ โ barrier (์์ ๋ฌธ์ ๊ฐ ๊ธ๊ฒฉํ ์์ฅ์ผ๋ก ๋์ด๊ฐ์ง x)
- Biochemical : enzymes โ ์์๋ฌผ๋ฟ๋ง ์๋๋ผ ๊ฐ์ผ์ฑ ์์ธ์ฒด๋ฅผ ๋ น์ด๊ธฐ๋ ํจ / pH ์กฐ์ โ ์์ฅ๊ณผ ์์ pH๊ฐ ๋ฌ๋ผ์ ์ด ์ ์๋ ์ธ๊ท ์ด ๋ค๋ฆ
- Immunologic : GALT, immune cells ์ ์์ธ๊ท ์ด์ ๋ฉด์ญ ์ธํฌ๊ฐ ๊ฑด๋๋ฆฌ์ง ์๋๋ฐ,
| ์ํ๊ธฐ์ ๋ฐฉ์ด ๊ธฐ์ |
|---|
| Mechanical Barriers (physical structures) |
| โข Epithelial barrier |
| โข Mucus layer |
| โข Peristalsis : ํ ๊ณณ์ ๋จธ๋ฌด๋ฅด์ง ์๊ฒ ํจ |
| Biochemical Barriers |
| โข Saliva |
| โข Gastric acid |
| โข Antimicrobial peptides |
| Immunologic Barriers |
| โข GALT : lymphoic follicle์ ํฌํจ |
| โข Secretory IgA : ํ์์์๋ ์ฐ๋ฆฌ ๋ชธ์ ์งํค๋ ์ค์ํ ์ญํ . |
| โข Peyerโs patches |
| Cellular Defense Mechanisms * Stem cell์์ enterocyte, paneth cell, M cell, goblet cell, neuroendocrine cell ๋ค ๋ง๋ฆ. |
| โข Enterocyte : ํก์, APC ์ญํ |
| โข Panneth cell : ์ํผ์ธํฌ์ด์ง๋ง ์ผ์ฆ ์ฐ๊ด. antimicrobial peptide ๋ถ๋น. |
| โข M cells : ์ฐ๋ฆฌ ๋ชธ์ ๋ค์ด์จ antigen์ ๋ฉด์ญ์ฒด๊ณ๋ก ์ ๋ฌํ๋ ๊ฐ์ฅ ์ค์ํ ์ธํฌ. |
- microbiome : ํ์์ ๋ฉด์ญ๋ฐ์์ tone์ ์กฐ์ ํจ.
| ๋ณ์์ฒด์ ํํผ ๊ธฐ์ | |
|---|---|
| Salmonella spp. | ์ํผ์ธํฌ ์์ผ๋ก ์จ๋๋ค. |
![]() | |
| Escherichia coli | ์๋ ์ฐ๋ฆฌ ๋ชธ์ ๋ฉด์ญ์ฒด๊ณ๋ ์ ์ก์ธต์ผ๋ก ๊ฐ์ผ์ฒด๋ฅผ ๋ถ์ก์์ ์ฐ๋์ผ๋ก ํ๋ ค๋ณด๋. E. coli ๋ fimbriae๋ฅผ ํตํด ์ ์ก์ ๊ทน๋ณตํ๊ณ ์ธํฌ์ ๋ฌ๋ผ๋ถ๋๋ค. |
![]() | |
| BVDV (Bovine Viral Diarrhea Virus) | Lymphoid tissue๋ฅผ ๋ง๊ฐ๋จ๋ฆฐ๋ค. |
![]() |
์ด์ฒ๋ผ ๊ธฐ์กด ์ธํฌ์ ์จ๊ฑฐ๋, ๋ ์ ๋ฌ๋ผ๋ถ๊ฑฐ๋, ๋ฉด์ญ์ธํฌ๋ฅผ ํ๊ดดํจ์ผ๋ก์จ ๊ทน๋ณต.
๐ข Barrier Failure์ ์์์ ์๋ฏธ
Barrier๊ฐ ํ๊ดด๋๋ฉด..
- ๊ณ์๋ ์ผ์ฆ๊ณผ ์ค์ฌ๋ก ๋ ์์
- ๊ธฐํ๊ฐ์ผ(Opportunistic infections)์ด ๋ฐ์ํ ์ ์์.
Clinical examples
- IBD (Inflammatory bowel disease, ์ผ์ฆ์ฑ ์ฅ์งํ)
- ๋ฐ์ถ๋ฅ์์ mycobacterium์ ์ํ Johneโs disease
๐ข ์น๋ฃ ์ ๋ต (Therapeutic Strategies)
4. Portals of Entry
์ํ๊ธฐ๋ก ๋ค์ด์ค๋ ํต๋ก๋ ํฌ๊ฒ 4๊ฐ์ง.
- ๋จน๊ฑฐ๋ (ingestion)
- ๊ธฐ์นจ์ผ๋ก ์ธํ ์ ์ (cough-induced ingestion)
- ํ์ค์ผ๋ก ์ ์ ์ฑ (systemic spread via bloodstream) : ๊ฐ์ฅ ์ฌ๊ฐ
- ๊ธฐ์์ถฉ ์ ์ (parasite migration)
| ์ํ๊ธฐ ์ ์ ๊ฒฝ๋ก |
|---|
| (1) Ingestion |
| - ๊ฐ์ฅ common ๋ฃจํธ, ์ค์ผ๋ ์์๊ณผ ๋ฌผ์ด ๋ฌธ์ . - E. coli, Salmonella spp. : ์ ์ผ๋ก ๋จน์ด์ ์ํ๊ธฐ ์ฆ์ ์ ๋ฐ - ์์ฐ ๋ถ๋น ๊ฐ์, ํจ์ ๊ฐ์ |
| (2) Cough-Induced Ingestion |
| - ํธํก๊ธฐ๋ฅผ ํตํด ๋ค์ด์ด - Rhodococcus equi : ๋ง์์ ํธํก๊ธฐ ์ฆ์์ ๋จผ์ ์ ๋ฐ. ๊ธฐ์นจ์ผ๋ก ์ธํด ํธํก๊ธฐ๊ท ์ด ์ํ๊ธฐ๋ก ๋์ด๊ฐ. |
| (3) Systemic Spread : Blood-Borne Infections |
| - Clostridium perfringes : ํ์ค์ผ๋ก ๋งค์ฐ ์ ํผ์ง |
| (4) Mucosal Breach |
| ์์ ๋ง์ ํตํด ๋ค์ด์ด > ๊ฐ์ผ ๊ฒฝ๋ก๋ฅผ ํน์ ํ ์ ์์. |
| (5) Oral Cavity |
| ์น์ ๊ด๋ฆฌ ์ค์, ์น์ฃผ์ผ ์ ๋ฐํ ์ ์์ ๊ตฌ๊ฐ ์ฒญ๊ฒฐ |
- Tonsil์ ์ญํ
- Tonsil์ afferent lymphatic vessels๊ฐ ์์: tonsil์ ๋ค์ด์ค๋ ๊ฒฝ๋ก๋ ์๊ณ , ๋ง๋ค์ด์ ๋ด๋ณด๋ด๊ธฐ๋ง ํ๋ค.
- Tonsilโํ๊ด์ ํตํด ๋ค์ด์๋คโ ๊ฐ ๋ง๋ ์ค๋ช .
- Feline Parvovirus : tonsil์ ์ ์ฆ์.
- BVDV : tonsil์ ํตํด ์ ์ ํ๋ฅ๋ก ํผ์ ธ๋๊ฐ.
์ง๋จ์ ๋ฌด์์ผ๋ก?
- ํ์ก ์ํ
- ์๊ฒ (์กฐ์งํ์ ๊ฒ์ฌ)
5. Response to Injury
์ด๋ค ๋ณ์์ฒด๊ฐ ์ฃผ๋ก ์ผ์ฆ, ํน์ ๊ดด์ฌ,
1๏ธโฃ Inflammation
- Acute inflammation
- ๊ธ์ฑ ์ผ์ฆ์ ์ ๋ฐํ๋ ๋ํ์ ์ธ ๊ฐ์ผ์: Salmonella, E. coli
- ๋ถ์ข , ์ถฉํ, ํ๊ด ์์ ๋ฑ์ด ์ ๋ฐ๋๋ค
- Chronic inflmmation
- ๋ํ์ ์ผ๋ก Johneโs disease

2๏ธโฃ Necrosis
- ๊ฐ์ผ์ฑ ์์ธ์ฒด์ ์ํ ์ฃฝ์์ apoptosis(๊ณํ๋ ์ฃฝ์)์ด ์๋๋ผ necrosis์ด๋ค.
- ์์ฅ ์ธต์์ ์์ชฝ์๋ crypt(์ค๊ธฐ์ธํฌ), ์์๋ villi๊ฐ ์์.
- Ulcer : crypt์์ villi๊น์ง ์ ์ธต์ด ๋ค ์์๋ ๊ฒ.
- Erosion (๋ฏธ๋) : ์ผ๋ถ ์ธต๋ง ์์
- ์ ๋ง์ด ์์๋์๋ค๋ ๊ฑด barrier๊ฐ ๊นจ์ก๋ค๋ ๊ฒ.
- lymphoid tissue๊ฐ ํ๊ดด๋๋ฉด ๋ฉด์ญ ๋ฐ์์ด ๊ณ ์ฅ.
- villi๊ฐ ์์๋ถ์ ํก์ํด์ผ ํ๋๋ฐ ์ ๋ง์ด ์์๋๋ฉด ์์๋ถ ํก์๊ฐ ์ ํด๋จ.
(์ด๋ฏธ ๋ฐฐ์ ์ฃ ?)
3๏ธโฃ Lymphangiectasia & PLE
- ๊ด ๊ตฌ์กฐ๋ก ๋ ์ฅ๊ธฐ๋ ํ์์ด ์ผ์ด๋๋ฉด
- ๋ฆผํ๊ด ์ฃผ๋ณ์ lymphoma๋ chronic inflammation โ ๋ฆผํ๊ด์ ๋ฌผ๋ฆฌ์ ์๋ฐ โ ํ์ โ ์ดํ ๋ฆผํ๊ด์ด ํ์ฅ๋๋ค.
- ๊ฐํ์๋ค ๋ณด๋ฉด ํฌ๊ณผ์ฑ ๋ณํ๋ฅผ ์ ๋ํด์ ์ฃผ๋ณ ๋ด๊ฐ์ผ๋ก ์์ด๋๊ฐ๊ฒ ๋๋ค.
- ์์ ์ฆ์ : ์ค์ฌ, ์ฒด์ค ๊ฐ์, protein-losing enteropathy
- ๊ฐ๋ถ์ ์ผ ๋, ์ฅ์ ๋ฌธ์ ๊ฐ ์์ ๋ ์ ๊ด์ฐฐ๋จ.
4๏ธโฃ Innervation disorders
- Dysautonomia (์ฐธ๊ณ : ๋ณธ3-1 ๊น๋ด)
- ์ ๊ฒฝ ๋ฌธ์ :
- ์ ๊ฒฝ๊ต๋ ๋ฌผ์ง (botulinum toxin)
- ์ ์ฒ์ฑ ์งํ : ํ์ด๋ ๋๋ถํฐ ์๋ ๊ตฌ์กฐ๋ฌผ๋ก ์ธํด ์๋ฐ
5๏ธโฃ Diarrhea
-
์ ์ : Abnormally fluid feces accompanied by increased volume and frequency
-
Inflammatory (์ผ์ฆ์ฑ) : ์ง์ ์ ์ผ๋ก cytokine์ ๋ถ๋นํด ์ผ์ฆ์ ์ ๋ฐํ๋ ๊ฒฝ์ฐ
- Salmonella, Lawsonia ๋ฑ
-
Non-inflammatory (๋น์ผ์ฆ์ฑ) : ์ผ์ฆ์ ์ ๋ฐํ์ง ์๋ ์ธํฌ๋ฅผ ์ง์ ์ ์ผ๋ก ํ๊ดด, ์ธํฌ๊ฐ ๊ฐ์ง ๊ฒ์ ์ด์ฉํด์ ์ค์ฌ๋ฅผ ์ ๋ฐํจ
-
์์ธ
- ๊ฐ์ผ์ฑ ์์ธ์ฒด
- ํธํก๊ธฐ ๊ฐ์ผ ์์ธ์ฒด๊ฐ ๊ธฐ์นจ์ ํตํด ์ํ๊ธฐ๋ก ์ฌ๋ฐ์ ๋ ์๋ ์์
- ์์ฐ ๋ถ๋น ๊ฐ์
- ์ฅ ์ด๋ ๋ฅ๋ ฅ : ์ฅ ์ด๋ ์๋๋ณด๋ค ๋๋ ค์ ธ๋, ๋นจ๋ผ์ ธ๋ ์์ ์ฆ์์ผ๋ก ์ค์ฌ๊ฐ ๋ฐ์ํ ์ ์๋ค.
- ๊ฐ์ผ์ฑ ์์ธ์ฒด
์ค์ฌ์ ๋ณ๋ฆฌ ๊ธฐ์
- ์ผํฌ์ฑ ์ค์ฌ : ํก์๊ฐ ์ ์ ๋ ๋
- ํ๊ด๋ด ์ผํฌ๊ฐ ๋จ์ด์ง๋ฉด ํ๊ด์ fluid๊ฐ ์ฒด์ธ ๊ณต๊ฐ์ผ๋ก ๋น ์ ธ๋๊ฐ > ์ฒด์ธ ๊ณต๊ฐ์ fluid๊ฐ ๋ง์์ง๋ฉด์ ์ค์ฌ
- ๋ฐฐ์ถ์ฑ ์ค์ฌ : ๋ฐฐ์ถ์ ๋๋ฌด ๋ง์ด ํ ๋
- (Toxin์ด channel์ ํตํด..) Chloride๋ฅผ ํผ๋ด๋ฉด์ ๋ฌผ์ด ๊ฐ์ด ๋๊ฐ, ๋ฅ๋์ ํํ
๊ณผ๋ํ ์ด๋ : ํก์ํ ์๊ฐ์ ์ ํ : ์ผํฌ์ฑ ์ค์ฌ
Infectious Agents
- Lawsonia intracellularis : ์ฅ๋ฒฝ์ ๋๊ป๊ฒ ํ๋ ๊ฒ์ด ํน์ง. ๋ผ์ง์์ ์ ๋ณผ ์ ์์.
- Crypt์ ์ฆ์์ ์ ๋ฐ. ์ก์์ ์ผ๋ก๋ ์ธํ๋ถํํด์ง.

- Crypt์ ์ฆ์์ ์ ๋ฐ. ์ก์์ ์ผ๋ก๋ ์ธํ๋ถํํด์ง.
๋ฉด์ญ ๋ฐ์๊ณผ ์ผ์ฆ
- ์ฅ์์ ์ผ์ฆ ์ค์ฌ โ IL-8์ด ํ์ฑํ๋์ด? ๋์์ธํฌ๋ฅผ ๋์ํจ.
- T๋ฆผํ๊ตฌ โ villi ์์ถ์ ์ ๋ฐ.
- ์ผ์ฆ์ฑ cytokine๋ค์ด ๋์ค๋ฉด ์ธํฌ์ ์ฆ์์ ์ ๋ฐํ ์ ์์. ์๋ cell cycle์ด ๋์๊ฐ๋ ์ ๋ค์์ ๊ณผ๋ํ ์ฆ์์ ์ ๋ฐํจ. ์ฌ๋ฌ ์ผ์ฆ์ฑ ์ฅ์งํ์์ ์ ๋ง ์ ์ฒด๋ฅผ ํก์์ธํฌ, ~~
- ์๋ถ ๊ตํ, ์์ ๊ตํ์ด ์ ์ ์ด๋ฃจ์ด์ง = crypt๊ฐ ๋์ด๋์๋ค(๊ธฐ๋ฅX ์ธํฌ๊ฐ ๋ง๋ค)
Nonintestinal Causes
- ๊ณ ์์ด์์ Hyperthyroidism์ด ์์ ๋, ~~
- ์ท์ฅ ๋ฌธ์ โ ์ํ ํก์ ๋ถ์ : pancreatic insufficiency, pancreatitis
- ์ ์ฅ ๋ฌธ์ : chronic renal failure(๋ณธ2-2 ํ๋ด) (์ ์ฅ ๋ฌธ์ ๋ก ์ธํ ์ ํด์ง ๋ถ๊ท ํ โ ์ผํฌ์ฑ ์ค์ฌ ์ ๋ฐ)
๊ฒฐ๊ณผ
- dehydration, hypovolemia
- ๊ทธ๋์ ์์ธ์ ์ฐพ์ง ๋ชปํ ๋ ์๋ถ ๋ถ๊ท ํ, ์ ํด์ง ๋ถ๊ท ํ ๊ต์ ํ์
- hypoglycemia โ ketoacidosis, acidosis
โ ก. ์ฅ๊ธฐ๋ณ disorders
[Oral Cavity]
- Stomatitis (๊ตฌ๋ด์ผ) : ๋ณผ ์ชฝ, ํ ์ฃผ๋ณ ๊ตฌ๊ฐ ์ ๋ง์ ์ผ์ฆ
- Gingivitis (์น์ฃผ์ผ) : ์๋ชธ์ ๊ตฌ์ฑํ๋ ์ ๋ง์ ์ผ์ฆ
- Eosinophilic Stomatitides : ๊ณ ์์ด์์ ํํ๊ฒ ๊ด์ฐฐ, ํธ์ฐ๊ตฌ ์นจ์ค์ด ์ฌํ ์ก์์ข
- Lymphoplasmacytic Stomatitis : ๋ง์ฑ ๊ฐ์ผ์ ์ํจ
- Oral Mucosal Hyperplasia :
- Neoplasms
- Odontogeic fibroma (fibromatous epulis)
- Acanthomatous ameloblastoma
- Squamous cell carcinoma
- Melalnoma
[Esophagus]
-
Congenital & Acquired Megaesophagus : ๊ฐ์ฅ ์ค์ํ ๊ฑฐ๋์๋์ฆ
-
Esophagitis : ์คํธ๋ ์ค์ฑ, ์ ๊ฒฝ์ฑ ์๋์ผ (๊ฐ์ผ์ฑ, ์ด๋ฌผ, ์ญ๋ฅ๋ก ์ธํ ์์ก ๋ ธ์ถ)
-
Foreign Body Obstruction : ์ด๋ฌผ์ ์ํ ํ์; ๋ค๋ฅธ ์๋ ์งํ์ ์์ธ์ด ๋ ๋๊ฐ ๋ง๋ค
-
Neoplasia & Parasitic Infestations : ๊ธฐ์์ถฉ์ ์ํ ๋ง์ฑ ์ผ์ฆ โ ์ข ์ ๋ฐ์
- ๋ง์ฑ ์ผ์ฆ์ด ์ธํฌ์ ์ฆ์ ์ ๋ฐ : ์๋ ์ฆ์๋ฅ์ ๊ฐ์ง ์ธํฌ๊ฐ ์ ์ฆ์ํจ โ ์ข ์ ๋ฐ์ ํ๋ฅ ์ฆ๊ฐ
-
- Acid Reflux/ Infectious / Foreign body obstruction
-
Spirocerca lupi infestation (Parasite)
[Stomach]
-
uremia๊ฐ ๋ง์ด ๋ง๋ค์ด์ง > ๋์ฌ๋์ด ์ง์์ฐํ๋ฌผ์ด ๋ง์ด ์๊น. ์ง์์ฐํ๋ฌผ์ ํ๊ด์ ์ ๊ณต๊ฒฉํจ. ๊ทธ๋์ ์๊ธฐ๋ ์ผ์ฆ์ uremic gastritis
- ํ๊ด๋ดํผ์ธํฌ, ์์กฐ์ง ์ธํฌ๊ฐ ๋ง์ด ์ฃฝ์ โ ์ธํฌ๊ฐ ๊ดด์ฌ๋ ์๋ฆฌ์ ์นผ์์ด ์นจ์ฐฉ๋์ด mineralization
-
gastric neoplasia : ๊ฐ์์ leiomyoma, ๊ณ ์์ด์์ lymphoma / ์ํ๊ด ๋ด๊ฐ์ ์ขํ0๋ค โ ์๋ฐ ์์น์์ ๋ฌธ์ ๋ฅผ ์ ๋ฐ.
๋ฐ์ถ๋๋ฌผ์ Abdomasal Displacement
- LDA
- RDA
๋ฐ์ถ๋๋ฌผ์ ์ ์งํ ํน์ง
[Intestine]
๋๋ถ๋ถ ๊ฐ์ผ์ผ๋ก ์ธํ ์ผ์ฆ, ์ํ ํก์ ๋ถ์ , ์ข ์์ฑ ์งํ.
์๋์์๋ถํฐ R C P
Viral Enteritis in Pigs and Ruminants
- TGEV
- villi๊ฐ ๋ ์๊ฐ์ ํก์๋ถ์ ์ด ์๊ธด๋ค.
- BVDV (cattle)
- ๋ฆผํ ์กฐ์ง์ ์ ํ๊ฒํ๋ ๋ฐ์ด๋ฌ์ค. ๊ทธ๋์ ๊ตฌ๊ฐ์์๋ ํธ๋์ ์ ๊ฐ์ผ๋๊ณ ,
- ์ฅ์์๋ Peyerโs patches ์ ์ ๊ฐ์ผ
- Rotavirus, Coronavirus
- ์ฃผ๋ก ์ด๋ฆฐ ๋๋ฌผ์์ ์ํฅ์ ๋ฏธ์น๋ค.
- villi ํ๊ดด โ ํก์ํ๋ ์ธํฌ์ ์ ๊ฐ์ โ ์ํํก์ ๋ถ์
-
Salmonella enterica (ruminants & pigs)
- M cell์ ํตํด์ ๋ค์ด์ด. fibrinonecrotic enteritis๋ฅผ ์ผ์ผํด.
- Fibrin ์นจ์ฐฉ์ ์ด๊ธฐ ๋ฐ์ > ๊ธ์ฑ ๊ฐ์ผ์ ํํ
-
GIST : ์ํผ์ธํฌ ์ ๋๊ฐ ์๋๋ผ ๊ฐ์ฝ์ธํฌ ์ ๋ ์ข ์.
์ฐ์ ๋๋ฌผ์์ Enteritis
- Salmonellosis
- ๋ผ์ง์์ salmonella ๊ฐ์ผ์ฆ โ button ulcers,
- Clostridial Enteritis
- Clostridium perfringens Type C
- Clostridium difficile Toxin A & B
- ์ถํ์ฑ, ์ฌ์ ์๊ดด์ฌ์ฑ
- crypt๋ฅผ ํ๊ฒ์ผ๋ก ํจ โ ์ ๋ง์ ์ฌ์์ด ์ด๋ ค์. ํ๋ณต ๋ฅ๋ ฅ ๊ฐ์.
- Parasitic Enteritis
- Cryptosporidium parvum
- villi๋ ๊ฑฐ์ ์ ๋ณด์ด๊ณ , crypt๊ฐ์ด ์๊ธด ์ธํฌ๋ง ๋ง์.
- Coccidiosis
- Johneโs Disease
- Mycobacterium avium subsp.
- ๋ง์ฑ ์๋ชจ์ฑ ์งํ
- ๋์๊ตฌ๊ฐ ๋ง์ด ๊ด์ฐฐ๋๋ ์ก์์ข ์ฑ ์ผ์ฆ
- ๋์๊ตฌ๊ฐ mycobacterium์ ํ์ํ๋ ๋ชจ์ต๋ ๋ณผ ์ ์์.
[Peritoneum & Mesentery
์๋ ์์ธ์ฒด๋ค์ด peritonitis๋ง ์ผ์ผํค์ง๋ ์๋๋ค. ๊ทธ๋ฌ๋ ์ฒด๋ด๊ฐ ์๋ ๋ณต๊ฐ๋ด์์๋ ์ผ์ฆ์ ์ผ์ผํฌ ์ ์๋ ๊ฒ.
- FIP (Feline Infectious Peritonitis)
- Bacterial peritonitis : Escherichia coli, Actinobacillus spp., Trueperella pyogenes
- Parasitic peritonitis : Echinococcus granulosus, Setaria spp.
- Fat necrosis : ๋ณต๊ฐ ์ง๋ฐฉ์ด ๊ดด์ฌ๋จ. Selenin(๋นํ๋ฏผE) ๊ฒฐํ, ์ท์ฅ ๋ฌธ์ , ์ธ์์ฑ
- ์ด์ฐจ์ ์ผ๋ก ascites (๋ณต์) : ๋ง์ transudate, ์ผ์ฆ์ฑ ์ฐ๋ฌผ์ด ๋์ถ๋๋ exudate
- Mesothelioma :
- Intestinal Volvulus and Torsion
Intestinal Volvulus and Torsion
- ๊ณผ๋ํ ๋ฐํจ๋ก ๊ฐ์ค๊ฐ ์ฐจ๋ฉด์ ๊ผฌ์
Horse, colon ์ฌ์ง ์ค๋ช
- ์ฅ๊ฐ๋ง์ ์๊ธด ๊ฒ์ด๋ ๋ฆผํฌ๋ง
- ๊ฒฐ์ ํํ > ์ก์์ข
์ฑ์ผ์ฆ
- ๋จ๋ฉด์ ์๋๋๋ฐ ๋จ๋จํ์ผ๋ฉด ์ก์์ข ์ฑ ์ผ์ฆ (๊ฒฐํฉ์กฐ์ง ๋ง์ผ๋ฏ๋ก)
- ๋จ๋ฉด์ ์๋๋๋ฐ ๋์ด ๋ง์ผ๋ฉด, ๊ฐ์ฅ์๋ฆฌ๋ ์ฌ์ ์๊ฐ ์ ๋๋ฌ์ผ ํ๋์ก์์ข ์ฑ ์ผ์ฆ
- Rhodococcus equi. / ๊ณฐํก์ด / Mycobacterium
1. Oral cavity
| ๐ ์งํ๋ณ ๋ด์ฉ | < | < |
|---|---|---|
| ์ผ์ฆ์ฑ ๋ณ๋ณ (Stomatitis and Gingivitis) | < | < |
| ์ ์ | - ์๋ชธ(gums)์ ์ผ์ฆ์ด๋ฉด gingivitis (์น์ฃผ์ผ) - ์๋ชธ์ ์ ์ธํ ๊ตฌ๊ฐ ์ ๋ง(oral mucosa)์ ์ผ์ฆ์ด๋ฉด stomatitis (๊ตฌ๋ด์ผ) | < |
| ์์ธ | - ๊ฐ์ผ์ฑ ์์ธ์ฒด / ์ธ์, ์ด๋ฌผ, ๊ตฌ๊ฐ ์ฒญ๊ฒฐ ๋ฌธ์ (๋ ํํจ) - ์๋ก ๋ณ๊ฐ์ ์์ธ X, ๋ฌผ๋ฆฌ์ ์์์ด ๊ฐ์ผ&์ผ์ฆ์ผ๋ก ์ด์ด์ง๊ธฐ๋ ํจ.) | < |
| ๋ณ๋ฆฌ | - ๊ฐ์ผ์ฑ ์์ธ์ฒด์ ๊ฒฝ๋ก๋ (1) ์ธ๋ถ ์ ์
๋ ์์ง๋ง, (2) ์์ฌ๊ท (biofilms)์ ์ฒด๋ด ์ ์
(์ ๋ง ๋ฐโ ์)๋ ์์. - ์ผ์ฆ โ periodontal ligament์ ์์ โ ์ฌํ๋ฉด ๋ฐ์น ํ์ํ ์๋. | < |
| ์๊ฒฌ | - (์ก์์) Red, swollen gums / ulceration of oral mucosa / pus formation โช ๋นจ๊ฐ๊ณ ๋ถ์ด์ค๋ฅธ ์๋ชธ (=์ผ์ฆ sign), ํน์ ๊ถค์ / ์ฌํ๋ฉด ๋์ด ์ฐธ - (ํ๋ฏธ๊ฒฝ) Inflammatory cell infiltration / Degeneration of connective tissue โช ์ผ์ฆ์ธํฌ ๅค, ๊ฒฐํฉ์กฐ์ง์ด ๋ น์์์ (์ผ์ฆ์ธํฌ๊ฐ ๋ถ๋นํ๋ ๋ฌผ์ง์ด collagen์ ๋ น์ด๊ธฐ ๋๋ฌธ) | < |
| Stomatitis | < | ๋ํ์ ์ธ ์์ธ์ฒด โช Bacterial : Fusobacterium spp., Porphyromonas spp. โช Fungal : Candida spp. โช Viral : Feline Calicivirus (cats), Herpesvirus |
| FCGS (Feline Chronic Gingivostomatitis) | < | - ์๋ชธ๊ณผ ๊ตฌ๊ฐ ์ ๋ง์ ๋ค๋ฐ์ฑ์ผ๋ก ๋ฐ์ (ํธ๋ฐ : oropharynx, oral cavity์ ๊ฒฝ๊ณ๋ถ) - ํต์ฆ์ผ๋ก ์ ๋จน์ง ๋ชปํจ (ํต์ฆ, ์ฐํ๊ณค๋, ์์๋ถ์ง, ์ฒด์ค๊ฐ์) - Feline calicivirus, Pasteurella ๊ฐ์ผ ๋ฑ, 1์ฐจ ์งํ์ ์ํ ๋ฉด์ญ ์ ํ๋ก ๋ง์ด ๋ฐ์ |
| Vesicular Stomatitides | < | (์ฐ์ ๋๋ฌผ ์์ฃผ: ์๋ BOX ์ฐธ๊ณ ) |
| Eosinophilic Stomatitides | < | - ๊ณ ์์ด์์ ๋น๋ฒํ๊ฒ ๊ด์ฐฐ๋๋ ๊ตฌ๊ฐ ์งํ (oral eosinophilic granuloma = ํธ์ฐ๊ตฌ ์นจ์ค์ด ์ฌํ granuloma) - ๋ฉด์ญ๋งค๊ฐ์ฑ์ผ๋ก ์๋ ค์ง (์์ธ์ hypersensitivity โ ํ, ์ฆ ์๋ฌ์ง ๋ฐ์์ผ๋ก ์ถ์ธก) - philtrum ๊ทผ์ฒ์ gingiva, hard/soft palates, tongue, pharynx ์ ๋ถํฌ! - ํ๋ฏธ๊ฒฝ ์๊ฒฌ : ์ก์์ข +ํธ์ฐ๊ตฌ+์ฝ๋ผ๊ฒ ๋ค๋ฐ์ด ๋์ด์ง (collagenolysis + eosinophilic inflmmation + multinucleated giant cell) ![]() |
| Lymphoplasmacytic Stomatitis | < | -๊ณ ์์ด์์ ๋ง์ด ๋ณด์ด๋ ๋ง์ฑ ์งํ, lymphocyte์ plasma cell์ด ๋ง์ ๊ตฌ๊ฐ ์ผ์ฆ - ์ธ๊ท (pasturella), FCV, FeLV, FIV ๊ฐ์ผ์ด ๋ง์ฑ์ ์ผ๋ก ์งํ๋ ๊ฒฝ์ฐ |
| ์ฆ์์ฑ/์ข ์์ฑ ๋ณ๋ณ (๋ณธ3-1 ๊น๋ด) | < | < |
| Oral Mucosal Hyperplasia | < | (= Fibrous hyperplasia, Gingival hyperplasia) - ์ ๋งํ์ ๊ฒฐํฉ์กฐ์ง์ด ๊ณผ์ฆ์ โ ์๋ชธ์ด ์์ฒญ๋๊ฒ ๋ถํ์ด์ค๋ฆ - ์ฆ ์ฝ๋ผ๊ฒ์ ๊ณผ์ฆ์์ฑ ๋ณ๋ณ (fibroma/fibrosarcoma๊ฐ ์๋์๋) - ์ ๋ง ์์์ผ๋ก ์ผ์ฆ์ด ๋๋ฐ๋ ์ ์์ (1์ฐจ์ ์ผ๋ก ์ผ์ฆ์ฑ ๋ณ๋ณ์ ์๋) - ์น๋ฃ ๋ฐฉ๋ฒ์ด ์๊ณ ์ญ์ทจ๊ฐ ์์ ๋ถ๊ฐ๋ฅ โ ์ ์ ๋ฌธ์ ๋ก ์ด์ด์ง (์๋ฝ์ฌํ ์ผ์ด์ค๋..) |
| + | Odontogeic fibroma (fibromatous epulis) | - ๊ฒฐํฉ์กฐ์ง์ ๋ง์ด ๋ง๋๋ ์ข
์. fibroma๋ฅผ ๋ฎ์์ง๋ง ๊ตฌ๊ฐ์ ์๊ธด ๊ฒฝ์ฐ. - ๋จ๋จํ๊ณ , ์น์ ์ฃผ๋ณ ์กฐ์ง์ ์ฆ์์ฑ ๋ณ๋ณ(periodontal growth)์ ๋ณด์ |
| + | Acanthomatous ameloblastoma | - ์์ฑ ์ข
์์์๋ locally invasive (์๋ผ๋ฉด์ ์ฃผ๋ณ ์น์, ๋ผ๋ฅผ ํ๊ดดํจ; ๊ณจ์ตํด) - ์์ฑ์ด์ง๋ง ์์ ๋ ์ด๋ ต๊ณ ์ํ๊ฐ ์ข์ง ์์ - ํ๋ฏธ๊ฒฝ ์๊ฒฌ : ์ธํฌ์ ์ธํฌ ์ฌ์ด ๊ฐ๊ฒฉ(bridge)์ด ๋งค์ฐ ๋ฐ๋ฌ |
| Squamous cell carcinoma | < | - ๊ตฌ๊ฐ ์ ๋ง์ ํธํ์ํผ์ธํฌ์ ์ข ์์ฑ ์ฆ์. ๋์ด๋ ๊ณ ์์ด์์ ๋น๊ต์ ๋ง๋ค. |
| Melanoma | < | - ์ ์ฑ๋๊ฐ ๋๊ณ , ๋จผ ์ฅ๊ธฐ๋ก๋ ์ ์ด๊ฐ ์ ๋จ. ๋๊ธ๋๊ธํ๊ฑฐ๋ ์์ ๋ค๊ฐํ ๋ชจ์์ผ๋ก ๊ด์ฐฐ. |
Vesicular Stomatides (์ฐ์ ๋๋ฌผ์ ์ํฌ์ฑ ์งํ)
โ์์ธ์ฒด, ๋ณ๋ณ์ ๋ถํฌ, ์ ํ ๋ฐฉ์โ
- ๋๋ถ๋ถ ์ํฌ์ฑ์ผ๋ก ์ฆ์์ด ๋ํ๋จ (์ํฌ=์ธํฌ ์ธต๊ณผ ์ธต ์ฌ์ด์ fluid๊ฐ ์ฐจ๋ ๊ฒ)
- ์กฐ์งํ์ ์์๋ ์ ์ฌ โ ์ธํฌ ์ฌ์ด์ฌ์ด neutrophils & fluids๋ก ๊ฐ๋ ์ฐจ ์์. (ํธํ์ํผ์ธํฌ์ 2~3๋ฒ์งธ ์ธต ์ฌ์ด)
โญํ ์๊ธฐโญ
Foot-and-mouth disease, Vesicular stomatitis, Vesicular exanthema of swine, Swine vesicular disease
- ๋ผ์ง๋ ๋ค ๊ฑธ๋ฆด ์ ์์, ํ์ฌ์จ์ FMD๊ฐ ๊ฐ์ฅ ๋์
- ๊ณต์ค๋ณด๊ฑดํ์ ์ผ๋ก โ๊ณ ๊ธฐ๋ฅผ ๋จน์ด๋ ๋๋์งโ ๋ ์ค์.
- FMD : ๋๋์ก, ์ ์ ํ์์ ์์กด
- Vesicular Exanthema of swine : ๊ณ ๊ธฐ์์ ์์กด
- Swine Vesicular Disease : ์ผ์ฅ์ก์์ ์ค๋ ์์กด
- Vesicular Stomatitis : ๋ณด๊ณ ๋ ๋ฐ ์์
- FMD (Foot-and-Mouth Disease) : Aphthovirus (Picornaviridae)
- ์ํผ์ธํฌ์์ ๋น ๋ฅธ ์ฆ์
- ๊ตฌ๊ฐ, ๋ฐ, ์ ๋(teats)์ ์ํฌ โ lameness (๋ณดํ์ ์ซ์ดํจ)
- ๋ถํฌ : ์ ์ , ํ์ ๋ฑ์ชฝ๋ฉด, ์ฐ๊ตฌ๊ฐ / coronary band (๋ฐ๊ตฝ๊ณผ ํผ๋ถ ๊ฒฝ๊ณ) / ์ง๊ฐ(๋ฐ๊ฐ๋ฝ ์ฌ์ด) / ํธ์ด ์๋ ๋ถ์
- ์ด๋ฆฐ ๋๋ฌผ์์ ์ฌ๊ทผ์ผ์ ์ ๋ฐํ ์ ์๋ค. (โ tiger heart๋ผ๊ณ ํจ.)
- VSV (Vesicular Stomatitis Virus) : Vesiculovirus (Rhabdoviridae)
- insect vector์ ์ํด ์ ํ
- ๋ถํฌ : ํ, ์ ์ , coronary bands (FMD์ ์ ์ฌ)
- ๋ณ๋ณ์ ๋ถํฌ๋ฅผ ํตํด ์์ฌ ์งํ์ ์ถ๋ฆฐ ๋ค ํ์ก๊ฒ์ฌ๋ก ์์ธ์ฒด ํ์ธ
- SVD (Swine Vesicular Disease) : Enterovirus (Picornaviridae)
- ์ค์ผ๋ ์์, ์ ์ด์ ์ํด ์ ํ
- ๋ถํฌ : ์ฃผ๋ฅ์ด(snout), ์ ์ , ๋ฐ๊ตฝ(hooves)
2. Esophageal Disorder
์ํ๊ธฐ๋ ๋ชธ์ ์ธ๋ถ์ด๊ธฐ ๋๋ฌธ์, ์ฒ๊ณต(์๋์ฒ๊ณต, ์์ฒ๊ณต, ์ฅ์ฒ๊ณต) โ ์ด๋ฌผ์ ๋ณต๊ฐ๋ด ์ ์ โ ๋ณต๋ง์ผ์ ์ ๋ฐํ ์ ์๋ค.
| ๐ ์งํ๋ณ ๋ด์ฉ | < |
|---|---|
| Megaesophagus (๊ฑฐ๋์๋์ฆ) | - (breeds) German Shepherds, Irish Setters, Greyhounds - ์ ์ฒ์ ์ผ๋ก PRA (right aortic arch๊ฐ ์์กดํด์ ์๋๋ฅผ ์๋ฐ) - ํ์ฒ์ ์ผ๋ก ใโช ๊ทผ๋ฌด๋ ฅ์ฆ(myasthenia gravis)์ ์ํ ์ฐ๋์ด๋ ์ ํ ใโช thyroid hormone์ ์ ํ (hypothyroidism) โ ๊ทผ์ก ์ด๋ ์ ํ ใโช ๊ทผ์ก์ ์กฐ์ ํ๋ ์ ๊ฒฝ ๋ฌธ์ (vagal nerve disorders) |
| Acid Reflux Esophagitis (์ญ๋ฅ์ฑ ์๋์ผ) | - ๊ฐ์ ๋ง์์ ํํ๊ณ , ๋ง์ทจ ํ์๋ ๋ฐ์ํ ์ ์๋ค - ์์ฐ์ผ๋ก ์์๋์ด ๊ถค์(์ ๋งํ์ธต๊น์ง) ๋๋ ๋ฏธ๋(์ ๋ง์ํผ์ธต) : ์ ๋ง์ด ๋นจ๊ฐ๊ฒ ๋ณด์ - ๋ณด์์ฑ ๊ณผ์ฆ์(hyperplasia) & fibrosis : ํ์๊ฒ ๋ณด์ |
| Infectious Esophagitis | - BVDV (Bovine Viral Diarrhea Virus) : ์์์ ์ค์, ๋ค์ํ ์ฅ๊ธฐ์์ ์ผ์ฆ ์ ๋ฐ, ์ ์ฐ ์ ๋ฐ - Candida ๊ฐ์ผ์ฆ : ๋ฉด์ญ์ ํ ์ํ์์ ๊ธฐํ๊ฐ์ผ์ผ๋ก ๋ฐ์ ใโชCandida์ฆ์ ํ๋ฏธ๊ฒฝ ์๊ฒฌ : budding yeast ํํ ๊ด์ฐฐ, pseudohyphae (๋๊ทธ๋๊ฒ๋, ๋ง๋๊ธฐ ๋ชจ์์ผ๋ก๋ ๋ณด์) |
| Foreign Body Obstruction | - ์ด๋ฌผ์ด ์๋ ์ค๊ฐ์ ๋งํ์ ํ์์ ์ ๋ฐ - ์ค๋ ์ง์๋๋ฉด ์ ๋ง ์์์ ์ ๋ฐํ ์ ์์ (โ perforation; ์ฒ๊ณต) (* ์ํ๊ธฐ ์ฒ๊ณต = ์ธ๋ถ ๋ฌผ์ง ์ ์ , ๋ณต๋ง์ผ ์ ๋ฐ) |
| Esophageal Neoplasia | - ๊ฐ์ฅ ์์ชฝ ์ ๋ง, ํธํ์ํผ์ธํฌ์ ์ข
์ : squamous cell carcinoma ใโช ์ํผ์ธํฌ ์ ๋ โ ์ ๋ฐฉํ, ๋ค๊ฐํ ๋ชจ์ +keratin pearl (squamous cell์ด ๋นฝ๋นฝํ๊ฒ ๋ชจ์ด๋ฉด squamous cell์ด ๋ง๋ keratin์ด ์์ชฝ ํ๊ฐ์ด๋ฐ ๋ชฐ๋ฆผ) - ๋ฐ๊นฅ์ชฝ ๊ทผ์ก์ธต, ํํ๊ทผ์ ์ข ์ : leiomyoma / leiomayosarcoma ใโช ๊ฐ์ฝ์ธํฌ ์ ๋ โ ๋ฐฉ์ถํ, ๊ธธ์ญ๊ธธ์ญํ ๋ชจ์ (spindle-shaped) - ์ข ์์ด ์ ๋ฐํ๋ 1์ฐจ์ ๋ฌธ์ ๋ ๋ฌผ๋ฆฌ์ ํ์ (๊ฑฐ๋์๋์ฆ์ผ๋ก ์ด์ด์ง ์ ์์) |
| Spirocerca lupi (parasitic infestation) | - ๊ธฐ์์ถฉ์ ํ๊ด/๋ฆผํ๊ด์ ๋ฐ๋ผ ์์ง์ธ๋ค. ์ข
์์ ๋นํด ๊ฒฝ๋ก์ ํฌ๊ฒ ๊ตฌ์ ๋ฐ์ง ์์. - ์ โ ๋๋๋งฅ โ ์๋์ ์ ๋งํ ์กฐ์ง๊น์ง ์ํฅ - ๊ธฐ์์ถฉ์ด ๊ธ๊ณ ์ง๋๊ฐ ๊ฒฝ๋ก์์ ์ผ์ฆ ๋ฐ์ โ ๋ง์ฑํ โ fibroblast๋ค์ด ์ฆ์ํ์ฌ fibrosarcoma ์ ๋ฐ ![]() |
| Hiatal Hernia | - ๊ตฌ๋ฉ์ ํตํด ์ ๊ทผ์๋ถ ์ ๋ง์ด ํก๊ฒฉ๋ง ์์ชฝ์ผ๋ก ๋ฐ๋ ค์ฌ๋ผ์ด (protrusion of the stomach into the thoracic cavity through the diaphragm) - ์ฐ์ฑํ, ์ญ๋ฅ(regurgitation) ์ ๋ฐ โ ์ค์ฐ์ฑ ํ๋ ด(aspiration pneumonia) ์ ๋ฐ (์ํ๋ฌผ์ด ์ฝ๋ฅผ ํตํด ํธํก๊ธฐ๋ก ์ญ๋ฅ) - ๋ง์ฑ ์ผ์ฆ, ์ฌ์ ํ ๋ฐ์ (๊ตฌ๋ฉ์ด ๋ ์ข์์ง๋ฉฐ ์์๋ฌผ์ด ์ ๋ด๋ ค๊ฐ์ง ๋ชปํจ) |
3. Stomach & Abomasum
๋ฐ์ถ๋๋ฌผ์ 4์(Abomasum)๊ฐ ๋จ์๋๋ฌผ์ ์์ ๊ตฌ์กฐ์ ์ผ๋ก๋, ๊ธฐ๋ฅ์ ์ผ๋ก๋ ๋น์ทํจ.
| ๐ ์งํ๋ณ ๋ด์ฉ | < |
|---|---|
| Gastric Ulcers (์ ๊ถค์) | - ๊ถค์์ ๋ฏธ๋๊ณผ ๋ฌ๋ฆฌ ์ ๋ง์ ๋งจ ์์ธต๋ถํฐ ๋ฐ๋ฅ๊น์ง ๋ค ์์. - ์กฐ์งํ์ ์ผ๋ก ์ ๋ง์ ์ฐ๊ฒฐ์ฑ์ด ๋์ด์ง ๋ถ๋ถ์ ๋ณผ ์ ์๋ค. - ์์ธ ใโช ํญ์์ , NSAIDs ๋ฑ ์ฝ๋ฌผ์ ์ฐ๋ฉด ์๊ถค์์ด ์ ์๊ธด๋ค. (์์ ์ก์ ๋ง๋๋ prostaglandins๋ฅผ ์ต์ ํ๊ธฐ ๋๋ฌธ) ใโช Helicobacter spp. ๊ฐ์ผ - ๊ฐ/๊ณ ์์ด์์๋ ๋๋ฌผ๋ค. ใโช ์คํธ๋ ์ค, ๊ฐ์์ค๋ฌ์ด ์์ด ๋ณํ - ๊ถค์, ๋ฏธ๋ โ ํ์ฐ์ ์ผ๋ก ์ฃผ๋ณ์ ์ผ์ฆ์ธํฌ๊ฐ ๋์๋์ด ์๋ค. (์์ผ๋ฉด ๊ทธ๋ฅ artifact) - ๊ถค์์ ์ฒ๊ณต, ์ถํ์ ์์ฃผ ๋๋ฐํ๋ค. ์ ๋ด๊ฐ์ ์ํ๋ฌผ+์ถํ์๊ฐ ์์ฌ ์์. |
| Abomasal Displacement | - RDA (Right displaced abomasum) : ์ค๋ฅธ์ชฝ์ผ๋ก ๋ ๋ volvulus ์ ์ํ์ด ๋ ํผ. - LDA (Left displaced abomasum) : ๋ ํํจ, gas ์ถ์ - ๋ถ๋ง ํ ๊ณผ๋ํ ์๋์ง๊ฐ ํ์ํ ๋ ๋ ์ ์ผ์ด๋๋ค. - ์ด๋์ฑ ์ ํ(hypomobility), hypocalcemia |
| GDV (Gastric Dilation & Volvulus) | - ํ๊ณฝ์ด ๊น์ ์ข
: Great Danes, German Shepherds ์์ ์ ๋ฐ์ - ๊ธ๊ฒฉํ ์ด๋, ๊ณผ๋ํ ๊ธ์ด ์ ์ ์ ๋ฐ์ โ ์์๋ฌผ์ด ๊ณ์ ์ถ์ ๋๋ฉฐ ๋ฐํจ, ์์๋ฌผ๊ณผ gas, fluid๊ฐ ์์ฌ ์๊ฐ ๋ถํ๊ณ , ํ์ก์ด ์ ์ฒด๋๋ค. (โ ํ์ , ๊ดด์ฌ, ์ถํ) โ ์ก์ ์๊ฒฌ : ์๋ฒฝ์ด ์์์ง + displacement (์ ์) + ํ๊ด์ ๋ ธ์ฅ - ์์๋ฌผ๊ณผ gas๊ฐ ๋ด๋ ค๊ฐ์ง ๋ชปํ๊ณ ๊ฑฐ๊พธ๋ก ๊ธฐ๋๋ก ๋์ด์ ์ค์ฐ์ฑ ํ๋ ด์ ์ผ์ผํฌ ์ ์๋ค. - ๋ฌด์กฐ๊ฑด ์๊ธ ์์ |
| Infectious Gastritis | [์ธ๊ท ์ฑ] - Helicobacter : ์ผ์ฆ์ ์ผ์ผํค์ง๋ง ๋น๋๋ ๋ฎ์. ๋ง์ฑ ์์ผ๊ณผ ๊ถค์ ์ ๋ฐ. - Clostridium perfringens : ํ๊ฒฝ ์์ฌ๊ท ์ผ๋ก ์ญ์ทจ ๋น๋๊ฐ ๋์. ๊ดด์ฌ์ฑ ์์ผ, ๊ถค์ ์ ๋ฐ - Bovine herpesvirus-1 (Infectious Bovine Rhinotracheitis๋ฅผ ์ ๋ฐ) : ํธํก๊ธฐ ์์ธ์ฒด๊ฐ ์ํ๊ธฐ ์งํ๋ ์ ๋ฐํ ์ ์์. |
| ^ | [๊ธฐ์์ถฉ์ฑ] : ๊ดด์ฌ๋ฅผ ์ ๋ฐํ๋ ํน์ง (necrotizing gastritis) - ๋๊ป๊ฐ ์์์ง๋ ๊ฒ ์๋๋ผ ์๋ฒฝ์ด ๋ํผํด์ง๋ ๊ฒ์ด ํน์ง์ . - ๋ฐ์ถ๋ฅ - Ostertagia ostertagi (4์์์ ์ผ์ฆ ์ ๋ฐ) / ๋ผ์ง - Hyostrongylus rubidus - ํ๋ฏธ๊ฒฝ ์๊ฒฌ : glandular hyperplasia (์, ๋ฆผํ์กฐ์ง์ ์ฆ์์ผ๋ก ๋ณผ๋ก๋ณผ๋ก ๊ฒฐ์ ํ์ฑ), eosinophilic inflammation (๊ธฐ์์ถฉ ๊ฐ์ผ โ ๋น์ฐํ ํธ์ฐ๊ตฌ!) |
| Uremic Gastritis | - ์ ์ฅ์ด ๊ธฐ๋ฅ์ ์ ๋๋ก ๋ชปํ๋ฉด uremia๊ฐ ์ถ์ ๋์ด mineralization ์ ๋ฐ - ์ ์ฅ ๋ฐฐ์ค ๋ฅ๋ ฅ์ด ๋จ์ด์ง๋ฉด โ uremia๊ฐ ๋ง์ด ๋ง๋ค์ด์ง โ ๋์ฌ๋๋ฉด์ ์ง์์ฐํ๋ฌผ(NOS) ๋ฐ์ - ์ง์ ์ฐํ๋ฌผ์ ํ๊ด ๊ณต๊ฒฉ์ฑ์ด ๊ฐํจ โ ํ๊ด๊ณผ ์์กฐ์ง์ mineralization (์ง์ ์ฐํ๋ฌผ์ ๊ณต๊ฒฉ๋ฐ์ ์ฃฝ์ ์ํผ์ธํฌ๋ค์ ์๋ฆฌ์ ์นผ์์ด ์นจ์ฐฉ) |
| Pyloric stenosis | - Pyloric sphincter muscle (์ โ ์ญ์ด์ง์ฅ ์์น)์ด ๊ธฐ๋ฅ์ ํ์ง ๋ชปํ ๋. - ์ฌ์ ํ(๊ฒฝํ) ๋๋ฌธ์ ํ๋ ฅ์ ์๊ณ ์ด์/์์ถ์ ์ ๋๋ก ๋ชปํจ. - ๊ฐ์ ๋จ๋์ข (brachycephalic), ์ด๊ณ ์์ด(Siamese), ๋ง์์ ๋น๊ต์ ํํจ. - ์ด์ ํ(weaned) ๋ฐฅ์ ๋จน์ ๋, ๋ฐ๋ณต์ ์ธ ๊ตฌํ ์ ์์ฌํด๋ณผ ๊ฒ. - ํ๋ฏธ๊ฒฝ ์๊ฒฌ : ๊ทผ์ก ๋น๋(muscular hypertrophy), edema, ํ๊ด ํ์ฅ(vascular ectasia), ์ ๊ฒฝ(mesenteric ganglion cell)์ ๋ฌธ์ |
| Gastric Neoplasia | - ์์์๋ leiomyoma๊ฐ ์ ์๊น. (ํํ๊ทผ ์ธํฌ์์ ์๊ธด ์์ฑ ์ข
์) ๊ฐ์์ leiomyoma, ๊ณ ์์ด์์ lymphoma / ์ํ๊ด ๋ด๊ฐ์ ์ขํ๋ค โ ์๋ฐ ์์น์์ ๋ฌธ์ ๋ฅผ ์ ๋ฐ. |
4. Intestine
๋๋ถ๋ถ ๊ฐ์ผ์ผ๋ก ์ธํ ์ผ์ฆ, ์ํ ํก์ ๋ถ์ , ์ข ์์ฑ ์งํ.
์๋์์๋ถํฐ R C P
Viral Enteritis in Pigs and Ruminants
- TGEV
- villi๊ฐ ๋ ์๊ฐ์ ํก์๋ถ์ ์ด ์๊ธด๋ค.
- BVDV (cattle)
- ๋ฆผํ ์กฐ์ง์ ์ ํ๊ฒํ๋ ๋ฐ์ด๋ฌ์ค. ๊ทธ๋์ ๊ตฌ๊ฐ์์๋ ํธ๋์ ์ ๊ฐ์ผ๋๊ณ ,
- ์ฅ์์๋ Peyerโs patches ์ ์ ๊ฐ์ผ
- Rotavirus, Coronavirus
- ์ฃผ๋ก ์ด๋ฆฐ ๋๋ฌผ์์ ์ํฅ์ ๋ฏธ์น๋ค.
- villi ํ๊ดด โ ํก์ํ๋ ์ธํฌ์ ์ ๊ฐ์ โ ์ํํก์ ๋ถ์
-
Salmonella enterica (ruminants & pigs)
- M cell์ ํตํด์ ๋ค์ด์ด. fibrinonecrotic enteritis๋ฅผ ์ผ์ผํด.
- Fibrin ์นจ์ฐฉ์ ์ด๊ธฐ ๋ฐ์ > ๊ธ์ฑ ๊ฐ์ผ์ ํํ
-
GIST : ์ํผ์ธํฌ ์ ๋๊ฐ ์๋๋ผ ๊ฐ์ฝ์ธํฌ ์ ๋ ์ข ์.
| ๐ ์งํ๋ณ ๋ด์ฉ | |
|---|---|
| Parvoviral enteritis | |
| ETEC | - M cell์ ํตํด์ ๋ค์ด์ด. fibrinonecrotic enteritis๋ฅผ ์ผ์ผํด. - Fibrin ์นจ์ฐฉ์ ์ด๊ธฐ ๋ฐ์ > ๊ธ์ฑ ๊ฐ์ผ์ ํํ |
| Salmonella enterica | |
| Boxer Colitis | |
| Intestinal Lymphoma | ๊ณ ์์ด์์ ๊ฐ์ฅ ํํ ์์ฅ ์ข
์. - ๋ง์ฑ ์ผ์ฆ(IBD)๊ฐ ์ง์๋ ๊ฒฝ์ฐ์๋ lymphoma๊ฐ ์๊ธธ ์ ์์. (IBD-related lymphoma) - ํ๋ฏธ๊ฒฝ ์๊ฒฌ : ํ ์ข ๋ฅ์ ๋ฆผํ๊ตฌ๋ก ๊ฐ๋ ์ฐจ ์ ์ ์กฐ์ง์ ๋์ฒดํ๊ณ ์์. (monomorphic lymphoid cell) |
| Intestinal Adenocarcinoma | |
| GIST | ์ํผ์ธํฌ ์ ๋๊ฐ ์๋ ๊ฐ์ฝ์ธํฌ ์ ๋ ์ข ์. |
์ฐ์ ๋๋ฌผ์์ Enteritis
- Salmonellosis
- ๋ผ์ง์์ salmonella ๊ฐ์ผ์ฆ โ button ulcers,
- Clostridial Enteritis
- Clostridium perfringens Type C
- Clostridium difficile Toxin A & B
- ์ถํ์ฑ, ์ฌ์ ์๊ดด์ฌ์ฑ
- crypt๋ฅผ ํ๊ฒ์ผ๋ก ํจ โ ์ ๋ง์ ์ฌ์์ด ์ด๋ ค์. ํ๋ณต ๋ฅ๋ ฅ ๊ฐ์.
- Parasitic Enteritis
- Cryptosporidium parvum
- villi๋ ๊ฑฐ์ ์ ๋ณด์ด๊ณ , crypt๊ฐ์ด ์๊ธด ์ธํฌ๋ง ๋ง์.
- Coccidiosis
- Johneโs Disease
- Mycobacterium avium subsp.
- ๋ง์ฑ ์๋ชจ์ฑ ์งํ
- ๋์๊ตฌ๊ฐ ๋ง์ด ๊ด์ฐฐ๋๋ ์ก์์ข ์ฑ ์ผ์ฆ
- ๋์๊ตฌ๊ฐ mycobacterium์ ํ์ํ๋ ๋ชจ์ต๋ ๋ณผ ์ ์์.
5. Peritoneum & Mesentery
์๋ ์์ธ์ฒด๋ค์ด peritonitis๋ง ์ผ์ผํค์ง๋ ์๋๋ค. ๊ทธ๋ฌ๋ ์ฒด๋ด๊ฐ ์๋ ๋ณต๊ฐ๋ด์์๋ ์ผ์ฆ์ ์ผ์ผํฌ ์ ์๋ ๊ฒ.
| FIP (Feline Infectious Peritonitis) | - Bacterial peritonitis : Escherichia coli, Actinobacillus spp., Trueperella pyogenes - Parasitic peritonitis : Echinococcus granulosus, Setaria spp. |
| Fat necrosis | ๋ณต๊ฐ ์ง๋ฐฉ์ด ๊ดด์ฌ๋จ. - Selenin(๋นํ๋ฏผE) ๊ฒฐํ (โ ์ธํฌ์ ํญ์ฐ์ฑ ์ ์ง ๋ถ๊ฐ, ์ธํฌ์ฌ๋ฉธ) - ์ท์ฅ ๋ฌธ์ ๋ก ์ท์ฅ์ ์ํ ํจ์ ๋์ถ โ ์ง๋ฐฉ ๋ถํด - ์ธ์์ฑ : ๊ตํต์ฌ๊ณ ๋ฑ์ผ๋ก ๋ด์ฅ ์ฅ๊ธฐ์ ์ถํ โ ๋ฌผ๋ฆฌ์ ์ถฉ๊ฒฉ์ผ๋ก ์ง๋ฐฉ์ด ๊ดด์ฌ (๊ธ์ฑ) |
| Ascites | ์ด์ฐจ์ ์ผ๋ก ๋ฐ์, ๋ง์ transudate & ์ผ์ฆ์ฑ ์ฐ๋ฌผ์ด ๋์ถ๋๋ exudate |
| Mesothelioma (์คํผ์ข ) | |
| Intestinal Volvulus and Torsion |
-
FIP (Feline Infectious Peritonitis)
-
Fat necrosis : ๋ณต๊ฐ ์ง๋ฐฉ์ด ๊ดด์ฌ๋จ. Selenin(๋นํ๋ฏผE) ๊ฒฐํ, ์ท์ฅ ๋ฌธ์ , ์ธ์์ฑ
-
์ด์ฐจ์ ์ผ๋ก ascites (๋ณต์) : ๋ง์ transudate, ์ผ์ฆ์ฑ ์ฐ๋ฌผ์ด ๋์ถ๋๋ exudate
Intestinal Volvulus and Torsion
- ๊ณผ๋ํ ๋ฐํจ๋ก ๊ฐ์ค๊ฐ ์ฐจ๋ฉด์ ๊ผฌ์
Horse, colon ์ฌ์ง ์ค๋ช
- ์ฅ๊ฐ๋ง์ ์๊ธด ๊ฒ์ด๋ ๋ฆผํฌ๋ง
- ๊ฒฐ์ ํํ > ์ก์์ข
์ฑ์ผ์ฆ
- ๋จ๋ฉด์ ์๋๋๋ฐ ๋จ๋จํ์ผ๋ฉด ์ก์์ข ์ฑ ์ผ์ฆ (๊ฒฐํฉ์กฐ์ง ๋ง์ผ๋ฏ๋ก)
- ๋จ๋ฉด์ ์๋๋๋ฐ ๋์ด ๋ง์ผ๋ฉด, ๊ฐ์ฅ์๋ฆฌ๋ ์ฌ์ ์๊ฐ ์ ๋๋ฌ์ผ ํ๋์ก์์ข ์ฑ ์ผ์ฆ
- Rhodococcus equi. / ๊ณฐํก์ด / Mycobacterium












