
1. Normal Structure
์ฌ์ฅ๋ฒฝ์ ํฌ๊ฒ ์ธ ์ธต์ผ๋ก ๊ตฌ์ฑ๋์ด ์๋ค.
| Heart wall | |
|---|---|
| Endocardium (์์ชฝ) | endothelial cells, valve and Purkinje fibers |
| Myocardium | cardiac myocytes (*dead end cells) |
| Epicardium (๋ฐ๊นฅ์ชฝ) | visceral pericardium, parietal pericardium |
- (์์ชฝ) Endocardium : ํ๋ง๋ ์ฌ๊ธฐ์ ํฌํจ๋๋ค๋ ์ ! ๊ทธ๋์ ํ๋ง์ ์๊ธด ์ผ์ฆ์ endocarditis๋ผ๊ณ ํ๋ค.
- Myocardium
- cardiac myocytes๋ dead end cells โ ์ฑ์ฒด์์ ์ฌ๊ทผ์ธํฌ๋ ์ฌ์๋์ง ์๋๋ค.
- ๋ ์, ๊ฐ์ผ์ฑ ์์ธ์ฒด ๋ฑ์ ์ํด ์ฌ๊ทผ์ผ, ์ฌ๊ทผ ๊ดด์ฌ๊ฐ ์๊ธฐ๋ฉด โ (๋ค๋ฅธ ๋ชจ๋ ์ฅ๊ธฐ์๋ ์ฅ๊ธฐ ํน์ด์ ์ธ ์ค๊ธฐ์ธํฌ๊ฐ ์์์ ์ฑ์์ฃผ๋๋ฐ,) ๋ฌด์กฐ๊ฑด fibrosis๋ก๋ง ๋์ฒด๋๋ค.
- (๋ฐ๊นฅ์ชฝ) Epicardium : ์ฅ๋ง๋ฉด, 2์ธต์ pericardium์ผ๋ก ๊ตฌ์ฑ
- Visceral pericardium (์ฌ์ฅ ์ชฝ)
- Parietal pericardium (๋ฒฝ ์ชฝ)
Structure of the Wall of the Heart. ๋ด์ฅ ์ชฝ pericardium๊ณผ ๋ฒฝ ์ชฝ pericardium์ ๊ทธ๋ฆผ์ผ๋ก ์ดํดํด๋ณด์.

-
์ฌ์ฅ์ ํ์ก์ ๋ณด๋ด๋ ์ฅ๊ธฐ์ง๋ง, ์ฌ์ฅ ์์ฒด๋ ์ด๋ํ๊ธฐ ์ํด ํ์ก ๊ณต๊ธ์ด ํ์ โ coronary arteries(๊ด์๋๋งฅ)์ด ๋ด๋น. aortic arch โ ๋๋งฅ๊ถ์ด ๋์ค์๋ง์ ์ฒ์ ๋ถ์งํ๋ ํ๊ด์ด ๊ด์๋๋งฅ์ด๋ค.
-
์ฌ์ฅ์ ์๋์ฑ์ ์ ์งํด์ฃผ๋ conduction system
- SA node(sinoatrial node)์์ ์ ๊ธฐ์ ์๊ทน์ด ์ถ๋ฐ
- โ AV node(atrioventricular node)๋ฅผ ๊ฑฐ์น๊ณ
- โ AV bundle(atrioventricular bundle, Bundle of His)์ ๊ฑฐ์ณ์
- โ Purkinje fiber๋ก ๋๋ฌ (: endocardium์ ํด๋น) ํด์ ์ฌ์ฅ์ ๋ฐ๋ํ๊ฒ ๋ง๋ ๋ค.
์ฌ์ฅ์ ๋ฐ๋ํ๊ฒ ๋ง๋๋ ์ค์ํ 2๊ฐ์ง๋ (1) Conducting system, (2) ๋ ๋์ค์ ํ ๊ฒ์ < ๋ผ๊ณ ํ๋๋ด ์ด๊ฑฐ๋ง์ํ์ จ์ด? ๋ด๊ฐ ๋ น๊ฐ์ ์๋ค์ด์,,
Coronary Circulation
- ๊ด์๋๋งฅ์ ์ฌ์ฅ์ ํ์ก์ ๊ณต๊ธํ๋ค.
- ์ฌ๋์์๋ ๊ด์๋๋งฅ์ฑ ์งํ (๋๋งฅ๊ฒฝํ ๋ฑ) ์ด ํํ ๋ฐ๋ฉด, ๊ฐ์์๋ ๊ด์๋๋งฅ์ ๋๋งฅ๊ฒฝํ๋ ์ ์๋ค. (์ด์ ๋ ๋ชจ๋ฆ)
- ๊ด์๋๋งฅ์ ๋ถ์ง๋ ์๊ณ ์๋๋ก ํ์.
์ฌ์ฅ์ ๋ฐ์ ๋จ๊ณ๋ถํฐ ์๋ ๊ฒ์ด ์ค์ํ ์ฅ๊ธฐ. (๊ธฐํ๊ณผ ์ฐ๊ด)

- ์ด๊ธฐ์๋ ์ข์ฌ๊ณผ ์ฐ์ฌ์ ์ฌ์ค/์ฌ๋ฐฉ์ด ์์ ํ ๋ซํ ์์ง ์๋ค.
- ๋ฐ์ ๋จ๊ณ์ ๋ฐ๋ผ IVS(Interventricular septum)์ด ์๋์์ ์๋ก ์ฌ๋ผ๊ฐ๋ฉด์ ์ฌ์ค ์ฌ์ด์ ๋ฒฝ์ ๋ง๋ ๋ค.
- ์ฌ๋ฐฉ์ ์ค๊ฒฉ์ 2๊ฐ์ ๋ง์ผ๋ก ๋์ด ์๋๋ฐ, ๋ง์ด ๊ฐ๊ฐ ์๋์์ ์๋ก, ์์์ ์๋๋ก ์๋ผ๋ฉด์ ๊ฐ์ด๋ฐ ํ(foramen ovale)์ ํ์ฑํ๋ค.
- ํ์๊ธฐ์๋ foramen ovale๊ฐ ์กด์ฌํด ์ข์ฌ๊ณผ ์ฐ์ฌ์ ํ์ก์ด ๊ต์ฐจ ๊ฐ๋ฅํ๋ค.
- ํ์ด๋ ๋ค์๋ ์์ ํ ๋ซํ์ผ ์ ์. foramen ovale๊ฐ ๋ซํ์ง ์๊ณ ๊ณ์ ์ด๋ ค ์์ผ๋ฉด ๊ฐ์กด์ฆ.

ํ์ก ์ํ ๋ชจ์๋. [์ข์ฌ์ค โ ์ ์ ์ํ (๊ฐ, ์ํ๊ธฐ, ๋น๋จ๊ธฐ.. ๋จ๊ณ๋ณ๋ก ๋ถ์ง) โ ์ฐ์ฌ๋ฐฉ โ ์ฐ์ฌ์ค โ ํ โ ์ข์ฌ๋ฐฉ โ ์ข์ฌ์ค .. ] ๋ก ๋ฐ๋ณต๋๋ ๊ณผ์ ์ ๋ณต์ตํ์. ๋๋๋งฅ์์ ๊ฐ ์ฅ๊ธฐ๋ก ๋ถ์ง๋๋ ํ๊ด์ ๊ธฐ์ตํด๋๋ฉด ์ข๋ค.
2. Response to Injury
Myocardium
- ์ฌ๊ทผ์ ๋ฌธ์ ๋ 2๊ฐ์ง๋ก ํ์ธํ๋ค: Dilation(๊ณต๊ฐ์ด ๋์ด์ง) & Hypertrophy(์ฆ์, ์ฌ๊ทผ์ด ๋๊บผ์์ง)

์ฌ๊ทผ์ ์์์ ์ฃผ๋ ์์ธ!
- (1) ํํ (Disturbances of Circulation) - ํ์ก ๋ฐ ์ฐ์ ๊ณต๊ธ ์คํจ
- ๊ณผ๋ํ ์ถํ, ํ์ , ์์ (๋ ๋์๋ค๋๋ ํ์ ) ๋ฑ
- (2) ์ฌ๊ทผ์ ๋น์ ์์ ํ์ฑ (Disturbances of Growth)
- ์์ถ (โ ์ฌ์ค ๊ณต๊ฐ์ dilation)
- Hypertrophy
- Agenesis (์์ด ํ์ด๋จ - ๋ฐ์ ๋จ๊ณ์ ์ฐ๊ด), hypoplasia (๊ฐ์ผ์ฑ ์์ธ์ฒด์ ์ํด ์๊ธธ ์ ์์)
- Dysplasia (valve์์ ์ค์!)
- Neoplasia (์ด๋ก ์, ์ค์ ๋ก ๋ณธ ์ X)
- (3) ์ฌ๊ทผ์ ๊ดด์ฌ (Degeneration & Death)
- ์ฌ๊ทผ ์ธํฌ๊ฐ ์ฃฝ๋ ๋ฐฉ์์ ๋ฐ๋ผ ์ด๋ฆ์ด ๋ค๋ฅผ ๋ฟ.
- Oncotic necrosis / Apoptosis / Myofibrillar, Hydropic, Fatty degeneration
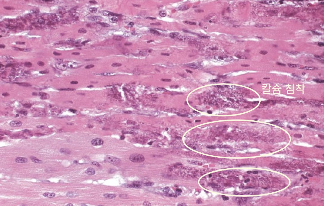
- Mineralization (์ฌ๊ทผ ์ฌ์ด์ ์นผ์ ์นจ์ฐฉ) : ์ฌ๊ทผ ๊ดด์ฌ ๋๋ฌธ์ผ ์๋ ์๊ณ , ํ์ค ์นผ์ ๋๋ ๋์์ ์๊ธธ ์๋ O
- (4) ์ผ์ฆ (Inflammation)
- Myocarditis; ์ฌ๋ฌ ๊ฐ์ผ์ฑ ์์ธ์ฒด ํน์ ํน๋ฐ์ฑ
Myocardial necrosis & minelization. ์ฌ๊ทผ์ธํฌ์ ๊ดด์ฌ๋ก ์ธํด ์๊ธด ์นผ์ ์นจ์ฐฉ์ด๋ค.
Acute Myocarditis. ํธ์ค๊ตฌ๊ฐ ๋ง๊ธฐ ๋๋ฌธ์ ์ธ๊ท ๊ฐ์ผ์ ์์ฌํ ์ ์์ง๋ง, ํ์ง์ ์์ธ์ฒด ๊ฒ์ฌ๋ฅผ ํตํด ๊ฐ๋ฅํ๋ค.
Endocardium & Valves
- ๊ฐ์ฅ ๋๋๋ฌ์ง ๋ณํ๊ฐ ์ผ์ด๋๋ ๊ฒ์ valve.
- valve๋ ํ๊ด์ด ์๋ ๊ตฌ์กฐ(avascular structure) โ ํ๋ณต์ด ์ ์ผ์ด๋์ง ์์.
- Endocardiosis (์ฌ๋ด๋ง์ฆ) = myxomatous degeneration, ํ๋ง์ด ์ ์ก์ฑ ๋ฌผ์ง๋ก ๋์ฒด๋จ. MMVD
- ๋์ด๋ ๊ฐ์์ ๊ฐ์ฅ ํํ๊ฒ ๋ณผ ์ ์๋ ๋ด๋ง์ ๋ณํ.
- ์ ์ก์ด ์ฐจ๋ฉด์ ๋๊ธ๋๊ธ ๋ถํ์ด์ค๋ฆ. โ ์ผ์ฃผ์ ๋ชจ์ ๋ณํ : ๊ฒฐํฉ์กฐ์ง์ผ๋ก ์ด๋ฃจ์ด์ ธ์ผ ํ ๋ด๋ง ๊ตฌ์กฐ์ ์ ์ก์ฑ ๋ฌผ์ง์ด ์ฑ์์ ธ ๋ถํผ๊ฐ ์ปค์ง.
- ๋ถํ์ด ์์ผ๋ฉด ์ด๋ฆฌ๊ณ ๋ซํ๋ ๊ธฐ๋ฅ์ ๋ฌธ์ ๊ฐ ๋ ์ ์์. โ ์ฌ๋ถ์ ์ ์ํฅ์ ์ค ์ ์์.
- Valvular dysplasia : ๋ฐ์ํ์ ๋ฌธ์ . endocardial cushion ํ์ฑ ๋ถ์ . ํ๋ง์ ๋ซํ๊ณผ ์ด๋ฆผ์ด ์ ์์ ์ผ๋ก ์ด๋ฃจ์ด์ง์ง ์์.
- Mineralization (์นผ์ ์นจ์ฐฉ) : ํ์ค ์นผ์ ๋๋๊ฐ ๋์์ง๋ ์ ์ ์ ๋ฌธ์ ๋ก ์ธํด.
- Endocarditis : ์ธ๊ท ์ฑ ๊ฐ์ผ or ํ์ (thrombi)์ ์ํ
- bacterial โ ํ์ ๋ฐ์ ํ ๊ด๋ จ. ํ๋ก ํ๊ธ๋ ์๋ ์๊ณ , ํ์์ 2์ฐจ์ ์ผ๋ก ๋ค์ด์ฌ ์๋.
- ๋ฐํ ๋ฆฌ์์ฑ ์ฌ๋ด๋ง์ผ โ ํ์ก์ ๋ฐ๋ผ ๋ค๋ฅธ ์ฅ๊ธฐ๋ก์ ํ๊ธ์ด ๋น๋ฒํ๊ฒ ์ผ์ด๋จ.
- thrombotic โ ๋ค๋ฅธ ๋ฐ์ ์๊ธด ํ์ ์ด ์ฌ์ฅ์ผ๋ก ๋ค์ด์ค๋ฉด์ ์ ๋ฐ.
- bacterial โ ํ์ ๋ฐ์ ํ ๊ด๋ จ. ํ๋ก ํ๊ธ๋ ์๋ ์๊ณ , ํ์์ 2์ฐจ์ ์ผ๋ก ๋ค์ด์ฌ ์๋.
(์ฌ์ง)
- ์์ชฝ์ด ์ฌ๋ด๊ฐ
- ํ๋ง์ ์์ ์ฝ๋ผ๊ฒ์ฑ
- ์์ชฝ์ผ๋ก ๋์ถ๋์ด ์์.
(์ฌ์ง2)
- (์ฝ๊ฐ ๋ถ๊ทธ์ค๋ฆํ) ํธ์ฐ์ฑ ๋ถ์, eosinophilic (์๋ ํ๋ง ์๊ฐ)
- (ํธ๋ฅด๋ฉ๋ฉ) basophilic, ์ ์ก์ฑ ๋ฌผ์ง์ด ์ฐฌ ๊ฒ, ์ ์ก์ฑ ๋ฌผ์ง์ ์ํด ์ธํฌ ๊ฐ ๊ฑฐ๋ฆฌ๊ฐ ๋ฉ์ด์ง
valve๋ ์ฌ๋ด๋ง์ ํด๋นํ๊ธฐ ๋๋ฌธ์ endocarditis๋ผ๊ณ ํ๋ค. ๊ฐ์ฅ ๊ฐ๋ฅ์ฑ์ด ๋์ ๊ฒ์ ๋ ธ๋ น์ฑ ๋ณํ. ํน์ ํ ๊ธฐ์ ์งํ์ด๋ ์์ธ์ด ์์ด๋ ๋ ธ๋ น์ฑ์ผ๋ก ์ธํด ์ด๋ฐ ๋ฌธ์ ๊ฐ ๋ฐ์ํ ์ ์๋ค. (ํฌ๊ฒ ๋ฌธ์ ๊ฐ ์๋ ์๋ ์๋ค)
๊ณ ์์ด๊ธฐํ
Pericardium & Epicardium
- Effusions (์ผ์ถ์ก) : ๊ฐ์ฅ ํํ ๋ฌธ์ . ์ฌ์ฅ๊ณผ ์ฌ๋ญ ์ฌ์ด์ ์ผ์ถ์ก์ด ์กด์ฌ.
- serous(์ฅ์ก์ฑ), fibrinous(์ฌ์ ์์ฑ), hemorrhageic(์ถํ์ฑ)
- Serous atrophy of fat : ์ฌ์ฅ ํ๋ฉด์ ์์ถ (ํ๋ฉด์ ์ง๋ฐฉ์ด ๋์ง๋์ง ๋ถ์ด์ ๊ธฐ๋ฅ์ ๋จ์ด๋จ๋ฆผ, rare)
- Pericarditis (์ฌ์ธ๋ง์ผ) : ์ธ๊ท ์ฑ, ์ธ์์ฑ(๋ ์นด๋ก์ด ๋ฌผ์ง์ ์ํ ์ฒ๊ณต/ํ์ด), ํน๋ฐ์ฑ
3. Heart Failure
์ด๋ฐ ๋ณ๋ณ๋ค์ด ๋ฌด์์ ์ ๋ฐํ๋๊ฐ? โ ๊ฒฐ๊ตญ ๊ธฐ๋ฅ ๋ถ์ , ์ฆ ์ฌ๋ถ์ ์ด ๋ฌธ์ ๊ฐ ๋๋ค.
์ฌ๋ถ์ ์ด ์ผ์ด๋๋ ๊ธฐ์ (๋ฌธ์ )
์ฌ๋ถ์ ์ด๋? ์ํ๋ถ์ . ์ฌ์ฅ์์ ๋๊ฐ์ผ ํ ํ์ก์ ์์ด ์ถฉ๋ถํ ๋๊ฐ์ง ์์ ๋์์ค๋ ํ์ก๋๋ ์ค์ด๋ฆ.
(1) Obstruction - ๋๊ฐ๋ ๊ฒฝ๋ก๊ฐ ๋ฌผ๋ฆฌ์ ์ผ๋ก ๋งํ์๊ฑฐ๋ (pulmonary stenosis, aortic stenosis..) (2) ์์ชฝ์ ํ๋ฆ์ ์ ์ฒด๊ฐ ์ผ์ด๋์ (์๋ ฅ์ด ๋์์) (โ ์ฌํ๋ฉด ๋๋์์ด)
- Pump failure : ์ข์ฌ โ ์ ์ ์ํ โ ์ฐ์ฌ โ ํ์ํ์ ํํ์ง ๊ณผ์ ์ด ์ ๋๋ก X
- ์ด์ ๋ ํฌ๊ฒ 2๊ฐ์ง.
- (1) ์ฌ๊ทผ ์์ฒด์ ๋ฌธ์ ๋ก ์์ถ์ด ์ ๋๋ก X (contractility โ)
- (2) ๋ค์ด์ค๋ ํ์ก์ด ์ถฉ๋ถํ์ง X โ ์ฌ๊ทผ ๋ถ๋ด โ (chamber filling โ)
- Obstruction : ํ์ก์ด ๋๊ฐ๋ ๊ตฌ๊ฐ์ด ๋งํ
- (1) Stenosis - ๋๊ฐ์ผ ํ ํต๋ก๊ฐ ๋ฌผ๋ฆฌ์ ์ผ๋ก ํต๋ก ์ข์์ง
- (2) Hypertension - ๋ชฉํ ์ง์ ์ ํ์์ด ๋์์ ธ ์์ด์ ํ์ด ๋ ๋ง์ด ํ์
- ex. Pulmonary hypertension : ๊ฐ์ง์ฑ ํ๋ ด โ ํ๊ธฐ์ง์ fibrosis โ ๋ชจ์ธํ๊ด๋ค์ด ์ข์์ง โ hypertension
- Regurgitation : ์ฐ์ฌ๋ฐฉ-์ฐ์ฌ์ค๋ก ๊ฐ์ผ ํ ํ์ก์ด ์ญ๋ฐฉํฅ์ผ๋ก ๋๋์์ด. โ ๋ด๋ณด๋ผ ํ์ก๋์ด ์ฆ๊ฐ.
- Shunts : ์ค๊ฒฉ์ด ๋ซ๋ฆผ. ์ข์ฌ์ผ๋ก ๋๊ฐ์ผ ํ ํ์ก ์ผ๋ถ๊ฐ ์ฐ์ฌ์ผ๋ก ๋ค์ด๊ฐ. (์ขโ ์ฐ๋ก ์) โ ๋ด๋ณด๋ผ ํ์ก๋์ด ์ฆ๊ฐ.
- Rupture : ๋ฌผ๋ฆฌ์ ํ์ด
๋ณด์์ฑ ๊ธฐ์ (๋ฐ์ถ๋์ ๋๋ฆฌ๋ ค๋ ๊ธฐ์ โ ์ง์ ์ ์ฌ๋ถ์ ๋ฐ์)
์ฌ์ฅ์ ๋ฐ์ถ๋์ ๋ง์ถฐ์ผ ํจ! ์ ํด์ง ํ์ก๋๋งํผ ๋ชป ๋ฟ์ด๋ด์ โ ๋ฟ์ด๋ด๊ธฐ ์ํ ๋ ธ๋ ฅ.
- Concentric hypertrophy : ๋ฒฝ์ด ๋๊บผ์์ง. (๋ชธ์ง์ ํค์ฐ๋ ๋ฐฉ์, ์์ผ๋ก ๋์ด์ง)
- pressure overload๊ฐ ๊ฑธ๋ ธ์ ๋. aorta๋ก ๋๊ฐ๋ ๊ตฌ๋ฉ์ด ์ข์์ ธ ์์ผ๋ฉด โ ๋ฒฝ์ ๋๊ป๊ฒ ํจ.
- Eccentric hypertrophy : Chamber size๊ฐ ์ปค์ง. (ํค๊ฐ ์ปค์ง๋ ๋ฐฉ์, ์ฌ๊ทผ์ธํฌ๊ฐ ๊ธธ์ด๋ฅผ ๋๋ ค์ ์์ถ๋ ฅ์ ๋๋ฆผ)
- volume overload๊ฐ ๊ฑธ๋ ธ์ ๋. (regurgitation๊ณผ ์ฐ๊ด) ๊ณต๊ฐ์ ๋ํ์ผ๋ก์จ ํ์ก์ ์์ฉํ๋ ค๊ณ ํจ.
- Neuroendocrine activation : ๋ฐ๋์ ๋น ๋ฅด๊ฒ ํจ.
- RAAS โ ๋ง์ดํ๊ด์ ์ง๊ฒฝ์ ์ค์ด๊ฑฐ๋(vasocontriction)
- ๊ต๊ฐ์ ๊ฒฝ ํญ์ง โ ๋ ๋นจ๋ฆฌ ๋ฐ๊ฒ ํจ.
- ์ด๋ฐ ๋ณด์์ฑ ๋ ธ๋ ฅ์ด ๊ณ์๋ ๊ฒฝ์ฐ, myocardial remodeling์ด ์ผ์ด๋จ. (remodeling์ ๋น๊ฐ์ญ์ . ๋์ฆ์น๋ฃ๋ฅผ ํ์ง, ์ฌ๋ถ์ ์์ฒด๋ฅผ ๊ต์ ํ๊ธฐ๋ ์ด๋ ค์.)
โ์ํ ๋ถ์ โ(Circulatory Failure)์ ์๋ฏธ
- ์ฌ์ฅ ๋ฐ์ถ๋์ ๊ฒฐ์ ํ๋ 2๊ฐ์ง๋ stroke volume & heart rate.
- ๊ธ์ฑ์ผ๋ก ๋นจ๋ฆฌ ๋๋ ์๋, ๋ง์ฑ์ผ๋ก ์งํ๋ ์๋.
- compensatory mechanism์ ์ ํ๋๋ ๊ฑธ ๋ง์ ๋ฟ์ด๋ค(ํ์ ๋์) โ ๊ฒฐ๊ตญ exhausted.
- ์ด์ ๋ ๋ค์.
์ํ ๋ถ์ ์ ๋ํ ์ ์ฒด ๋ฐ์
- ์ฌ๋ถ์ , ๋ถ์ ๋งฅ ํ์๋ค์ ๊ธฐ์ /์กธ๋(syncope) ๋ฐ์ํ๊ธฐ๊ฐ ๋งค์ฐ ์ฝ๋ค. (๊ธ์ฌ๊น์ง๋ ๊ฐ๋ฅํ)
- ์ฌ๋ถ์ ์ด ์๊ธฐ๋ฉด ํ์ก์ด ๊ณ ์ฌ์์. (์ด๋จ์ ๋ก ๋นผ์ฃผ๊ธฐ๋ ํจ)
๋ณด์ ์์ฉ
- Extrinsic : ์ธ๋ถ์์ ์ฃผ์ด์ง๋ ์๊ทธ๋ (extrinsic)
- Renin-angiotensin-aldosterone system
- ์ฌ๋ฐ์ถ๋์ ์ธ์งํ๋ 2๊ฐ์ baro-receptor (โ ์ ์ฅ์์ RAAS ์กฐ์ ํ๋ ๋ฑ๋ฑ..)
- aortic body baroreceptor : ์ข์ฌ์์ ํ์ก์ด ๋๊ฐ ๋ ์๋ ฅ ์ธก์
- carotid body : ์ ์ฅ์ ์ ์ฌ๊ณผ์จ์ ํตํด ์ํ ํ์ก๋ ์ฒดํฌ
- ํ์ก์ด ๋๊ฐ ๋์, ์ฌ์ฅ์์(์ฌ์ฌ๊ณผ์จ์ ํตํด) ์ธก์
- ๋ฏธ์ฃผ์ ๊ฒฝ์ ์๊ทน โ ํ๊ด ์์ถ, ์๋๋ ๋ ๋ฆฐ ๋ถ๋น ๋ฑ๋ฑ ์ ๊ฒฝ์ฑ์ผ๋ก ์์ฉ
- arteriolar constriction (์๋๋งฅ์ ์ขํ๋ค โ ์์ผ๋ก ์ญ ์ง์ฃผ๋ ๊ฒ)
- ์ฃผ๋ก ๋ง์ด์์ ์ผ์ด๋๋ค
- ๋ง์ด์์ ํ๊ด ์์ถ์ ํตํด ์ ์ฒด๋์ด์๋ ํ์ก ํ๋ฆ์ ๋นจ๋ฆฌ๋นจ๋ฆฌ ๋ด๋ณด๋ด์ค
- ๋ ๋ฑ์ ํ์กํ๋ฆ์ด ๋ถ์กฑ โ ํ๊ด์ ์์ถ์์ผ์๋ผ๋ ํ์ก์ ๋นจ๋ฆฌ ๋ด๋ณด๋ด์ผ ํจ! aortic & carotid body baro-receptors ์์๋ถํฐ ์ ๊ฒฝ์ฑ์ผ๋ก ์ผ์ด๋จ
extrinsic & intrinsic โ ํ๋ฅ๋์ ๋ณด์ํ๋ ค๊ณ ํจ.
๋ถ์กฑํ ๋ถ๋ถ์ ์ฑ์์ฃผ๊ธฐ ์ํ ๋ณด์์์ฉ โ ๋๋ค๋ฅธ ๋ฌธ์ ๋ ์ ๋ฐํ ์ ์์.
- ์ฐ์ฌ์ด ๋ ๋ฏผ๊ฐ. ์ข์ฐ์ ๋ฐ์์ฑ์ด ๋ค๋ฅด๋ค.
๋ต ๊ฐ์ ์์ ํ์์ผ๋ฉด 1๊ฐ 1-20 ๊ฐ๊ด์ 21-30 ๋จ์ด์ ์ด์ธ๋ฆฌ๋ ์ค๋ช 3๊ฐ์ฉ ๊ณ ๋ฅด๊ธฐ 31-37 ์ฌ์ง ๋ฌธ์ 38-40 case ๋ฌธ์