1. Liver & Intrahepatic Biliary System
๊ฐ + ๋ด๋ญ + ์ท์ฅ์ ๊ฐ์ ํต๋ก๋ก ์ฐ๊ฒฐ๋์ด ์๋ค (= canalicular system)
๐ข Structure of the liver
- ์ฌ๋ฌ ๊ฒน์ plate๊ฐ ์ธต์ธต์ด ์์ฌ ์๊ณ , ๊ทธ ์ฌ์ด๋ก ํ์ก/๋ด์ฆ์ด ์ง๋๋ค๋.
- ๊ฐ์ธํฌ ํ๋ํ๋ ์ฌ์ด์ ์์ฃผ ์์ ๊ด(canaliculi)์ด ์กด์ฌํด์ ๋ด์ฆ์ด ์ด๋ํจ.
๊ฐ์ ๊ธฐ๋ฅ์ ๋จ์๋ฅผ hepatic lobule์ด๋ผ๊ณ ํ๋ค. (๊ฐ์ ๊ธฐ๋ฅ์ ์ํด ์ต์ํ ์ก๊ฐํ ๊ตฌ์กฐ ํ๋๊ฐ ํ์)

ํ ์ฝ(hepatic lobule) ์ ์ค์์ central vein, ๊ผญ์ง์ ๋ถ๋ถ์ portal triad๊ฐ ์๋ค.
- Portal triad (Portal vein, hepatic artery, bile duct) : ๊ฐ์ ํ์ก ๊ณต๊ธ์ ๋ด๋น(portal vein๋ ๋๋งฅ์ฑ ํ๊ด์ด๋ค)
- Central vein : ๋ค์ด์๋ ํ์ก์ด ๋ค์ ํ๋ฌ๋๊ฐ
- Hepatic sinusoid : ์ธํฌ ์ค๊ณผ ์ค ์ฌ์ด์ ์กด์ฌํ๋ ๊ณต๊ฐ, ํ์ก๋ค์ด ์ค๊ฐ๋ ํต๋ก. ํ๊ด๋ดํผ์ธํฌ๋ก ๋๋ฌ์ธ์ธ ํ๊ด์ด๋ค!
- Space of Disse : ๊ฐ์ธํฌ ์ค๊ณผ sinusoid ์ฌ์ด์ ๊ณต๊ฐ, stellate cell(=๊ฐ์ ์๋ fibroblast)๊ฐ ์กด์ฌํ๋ ๊ณณ.
๊ฐ์ dual blood supply
- Portal vein์ ํตํด์ ๋ค์ด์ค๋ 75% ์ ํ์ก์ ์ฅ์ ๊ฑฐ์ณ์ ์ค๋, ์์๋ถ์ด ํ๋ถํ ํ์ก.
- Hepatic artery๋ฅผ ํตํด ๋ค์ด์ค๋ 25% ์ ํ์ก์ ์ฌ์ฅ์์ ์ค๋, ์๋์ ์ผ๋ก ์ฐ์๊ฐ ํ๋ถํ ํ์ก

- Portal triad ์ชฝ์์ ํ์ก์ด ๊ณต๊ธ๋๊ธฐ ๋๋ฌธ์, ์ค์ฌ๋ถ๋ก ์ฌ์๋ก ์ฐ์/์์๋ถ ๋๋๊ฐ ๋ฎ์์ง๋ค.
- ๋ฐ๋๋ก ๋์ฌ๋ central vein ์ชฝ์์ ๋๋ถ๋ถ ๋ด๋นํ๋ฏ๋ก, ๋ ์์ ์ํ ๊ดด์ฌ๋ central vein ์ชฝ์์ ๋ ์ ๋ํ๋๋ค.
๐ข Functions of the Liver
๊ฐ์ ๊ธฐ๋ฅ์ ๋งค์ฐ ์ค์. ํต์ผ๋ก ์ธ์ฐ๋ ๊ฑธ ์ถ์ฒ! ํ์์์ ์ด๋ค ๋ฌธ์ ๊ฐ ์์ ๋ โ๊ฐ์ ๋ฌธ์ ์ผ ์ ์๊ฒ ๊ตฌ๋โ ์๊ฐํ ์ ์๋ค.
- Metabolism
- Carbohydrates : glucose๋ฅผ glycogen ํํ๋ก ์ ์ฅ, gluconeogenesis
- Lipids : cholesterol, triglycerides, lipoprotein ํฉ์ฑ (โ bile production)
- Proteins : ์๋ถ๋ฏผ, ์๊ณ ์ธ์๋ฅผ ๋ง๋ ๋ค (์ค์ฌ, ๋ถ์ข , ์๊ณ ์ฅ์ ๋ฑ์ ์ผ์ด ๊ฐ์ ๋ฌธ์ ์ผ ์ ์๋ค?!)
- Detoxification
- Ammonia๋ฅผ urea๋ก ๋ฐ๊พผ๋ค
- ++Cytochrom P450++ ํจ์๋ก ์ฝ๋ฌผ, ํธ๋ฅด๋ชฌ, ๋ ์๋ฅผ ๋์ฌ (central vein์ชฝ์์ activity๊ฐ ๊ฐ์ฅ ๋์)
- Bile Production
- ์ฝ๋ ์คํ ๋กค๋ก๋ถํฐ ๋ด์ฆ ํฉ์ฑ
- bilirubin ๋ถ๋น
- Storage
- Glycogen, vitamins (A, D, B12), iron, and copper
- Immune Function
- Kupffer cells(๊ฐ์ ์๋ ๋์์ธํฌ)๊ฐ 1์ฐจ์ ์ผ๋ก ์ ๊ฑฐ
- ์ฅ๋ด์์๋ถํฐ ๋ค์ด์จ antigen, pathogen์ ๊ฑธ๋ฌ๋ด๋ filter ์ญํ .
- ๋ฉด์ญ๊ด์ฉ
Bile Flow
- Hepatocytes๊ฐ bile์ canaliculi๋ก ๋ถ๋นํ๋ค.
- Flow : canaliculi โ bile ductules โ hepatic ducts โ common bile duct
- ๋ด์ฆ์ด ์ ์ฒด๋๋ฉด ์ ์ฑ์ด ์ฌ๋ผ๊ฐ โ ํฉ๋ฌ ๋ฐ์ํ ์ ์์
2. Injury Responses
- Hepatocytes are vulnerable to hypoxia : ๊ฐ์ ํ์ก ๊ณต๊ธ์ด ๋ง์ ์ ์ฒด์ ์ผ๋ก๋ ํํ์ ๋ ์ทจ์ฝํ ํธ์ด์ง๋ง, ์ธํฌ ์์ค์์๋ ํํ์ฑ ์์์ ์ทจ์ฝํ๋ค. (ํ๊ด ๊ณต๊ธ์์ ๋จผ ๋ถ์์ ๊ฐ์ธํฌ๋ค์ด ์ทจ์ฝ)
๐ข Histologic Patterns
- Steatosis : hepatocytes์ lipid droplet์ด ์นจ์ฐฉ๋ ๊ฒ - ์ด ํํ์ ๊ฝค ๋ฒ์๊ฐ ๋์ ๋ ์.
- Zonal necrosis
- Centrilobular (toxic/hypoxic) : anemia, RHF(์ฐ์ฌ๋ถ์ )
(์ฐ์ฌ์์ ํ๋ก ํ์ก์ด ๋๊ฐ์ง ๋ชปํ๋ฉด ์ ์ ํ์ก์ด ๋ค ์ ์ฒด๋๋๋ฐ, ์ด๋ฏธ ์ฐ์๊ฐ ์๋ชจ๋ ํ์ก์ด๊ธฐ ๋๋ฌธ์ ์ข์ฌ๋ถ์ ๋ณด๋ค ์ํฅ์ด ๋ ์ฌ๊ฐํ๋ค. ์ ์ฐ์์ฑ ๋นํ!) - Paracentral/periacinar :
- Midzonal : aflatoxin ๊ณฐํก์ด ๊ฐ์ผ
- Periportal : ๋์ฌ๊ฐ ํ์ ์์ด, ๋ค์ด์ค์๋ง์ ๋ ์ฑ์ ์ผ์ผํค๋ toxin
- Centrilobular (toxic/hypoxic) : anemia, RHF(์ฐ์ฌ๋ถ์ )
- Fibrosis (โ stellate cell) :
- ๊ฐ์ ์ ์ด๋ถํฐ ๋ถ์ด์ ๋ง์ด ํ๊ณ , ์ฌ์์ ์ ํ๋ ์ฅ๊ธฐ โ ์ ์์ ์ผ๋ก ํต์ด ์ฌ๋ฌ ๊ฐ์ธ ์ธํฌ๊ฐ ์์ ์ ์๋ค. (์ข ์์ธํฌ์ ์ฆ๊ฑฐ๋ผ๊ณ ๋ณผ ์ ์์.)
- ๊ทธ๋ผ์๋ ์ฌ์์ด ์ ๋๋ค๋ฉด.. ๊ฒฐํฉ์กฐ์ง์ผ๋ก ๋์ฒด๋จ. (๊ตฌ์กฐ์ ๋์ฒด O / ๊ธฐ๋ฅ์ ๋์ฒด X)
- Regeneration
- mitotic activity
- nodular hyperplasia ; ๋์ด๋ ๊ฐ์ฒด์์ ํน์ด์ ์ผ๋ก ๊ด์ฐฐ๋จ.
๐ข ๊ฐ์ ๊ดด์ฌ ํจํด

* Clostridium piliforme ์ ์ํ ๋ง์ Tyzzerโs disease๋ ๋งค์ฐ ๋น์ถ!!

๐ข ๊ฐ์ ์ผ์ฆ ๋ฐ์
| Inflammatory hepatic disease (Hepatitis) | < |
|---|---|
| Acute hepatitis | - ๊ธ์ฑ ๊ฐ์ผ์ ์์ธ์ฒด๋ ์ฃผ๋ก ๋ฐํ
๋ฆฌ์/์์ถฉ. - ๊ธ์ฑ ์ผ์ฆ = neutrophil ์นจ์ค์ด ๋ํ๋๋ค! - ๊ฐ์ผ์ฑ ์์ธ์ฒด๊ฐ ํ๊ด์ ํ๊ณ ๋ค์ด์ด(embolic localization) โ ์ผ์ฆ์ธํฌ์ ์นจ์ค์ด random pattern |
| Viral hepatitis | ๊ฐ์ ๋ฐ์ด๋ฌ์ค ๊ฐ์ผ ์ ์ผ์ฆ ๋ฐ์์ด ์ ๋ค!! ์๋ํ๋ฉด.. (1) ์ฅ์ ์ฌ๋ฌ ํญ์์ ํญ์ ๋ ธ์ถ๋์ด ์๋ ๊ฐ์ ๋ฉด์ญ๊ด์ฉ์ ์ฑ๊ฒฉ์ ๊ฐ์ง๋ค. (์ ์ฒ์ฑ ๋ฉด์ญ์ด ํ๋ฐํ์ง ์์) (2) ๋ฐ์ด๋ฌ์ค๋ ์ธํฌ์ ๊ดด์ฌ๋ณด๋ค๋ ์ฌ๋ฉธ์ ์ ๋ฐํ๋ค. (3) ๋ฐ์ด๋ฌ์ค๋ TCR์ ๊ฐ์ง๋ CD8+ cell(CTL)์ด ์ฃผ๋ก ๊ณต๊ฒฉํ๋ค. (4) ๊ฐ์ Kupffer cell์ ์ผ์ฆ์ ์ต์ ํ๋(anti-inflammatory) cytokine์ ์ ๋ฐํํ๋ค. |
| (vs. ์ธ๊ท /์์ถฉ์ TLR(PRR์ ์ผ์ข )์ ๋งค๊ฐ๋ก ํ๊ธฐ ๋๋ฌธ์ ์ ์ฒ์ฑ ๋ฉด์ญ ๋ฐ์(์ผ์ฆ ๋ฐ์, ํธ์ค๊ตฌ ์นจ์ค)์ด ํ๋ฐํ ๋์๋๋ค. | |
| Chronic hepatitis | ๋ง์ฑ ์ผ์ฆ = fibrosis !! - ์ก์์ข ์ฑ ์ผ์ฆ (๊ฒฐ์ ํํ) ๋ง์ ++Chronic suppurative++ (ํ๋์ฑ์ด ๋ง์ฑ์ผ๋ก ์งํ๋๋ฉด abscess๋ผ๊ณ ํ๋ค) - ์ก์์ข ์ ๋์์ธํฌ์ ๋ฆผํ๊ตฌ๋ฅผ ๊ฒฐํฉ์กฐ์ง์ด ๋๋ฌ์ธ๊ณ ์๋ค๋ฉด, ๋์์ ํธ์ค๊ตฌ์ ๊ดด์ฌ๋ ์ธํฌ๋ค์ด ๊ฒฐํฉ์กฐ์ง์ ๋๋ฌ์ธ์ฌ ์๋ ๊ฒ (ํผ์ ธ๋๊ฐ์ง ๋ชปํ๋๋ก) |
| End-stage liver | - ๋ง์ฑ ์ผ์ฆ์ด ํด์๋์ง ์๊ณ ๊ธธ์ด์ง๋ฉด (end-stage) โ liver failure |

๐ข Hepatobiliary diseas
๊ฐ-๋ด-์ท : ํต๋ก๋ฅผ ํ๊ณ ์ ํ๋ ์ ์๋ค.
- Cholangitis : ๋ด๊ด์ ์๊ธด ์ผ์ฆ
- Cholangiohepatitis : ๋ด๊ด์ ์๊ธด ์ผ์ฆ์ ์ฃผ๋ณ ๊ฐ ์ค์ง๋ก ํ๊ธ๋ ์ ์์.
- ํญ์ ๊ด์ฐฐ๋๋ ๋ณ๋ณ : Biliary hyperplasia (ductular reaction) = ์ผ์ฆ ๋ฌผ์ง์ด bile duct์ ์ฆ์์ ์ ๋ํ์ฌ ๋ด๊ด์ ๊ฐ์๊ฐ ๋์ด๋๋ ๊ฒ.
- ์ด๋ด๊ด(common bile duct)๋ ์ญ์ด์ง์ฅ ๊ทผ์๋ถ๋ก ๊ฐ๊ตฌํ๋ฏ๋ก, ์ญ์ด์ง์ฅ ๊ทผ์๋ถ์ ์ผ์ฆ์ด ๊ฐ/๋ด/์ท๋ก ์ฌ๋ผ์ค๊ธฐ๋ ํ๋ค. (a

- scending bacterial infection)
- 1์ฐจ์ ์ผ๋ก ์ฅ์ผ์ ์ ๋ฐํ์ง๋ง ๊ฐ์ผ๋ก ์ด์ด์ง ์ ์๋ ์ธ๊ท - Escherichia coli or Enterococcus, Bacteroides, Streptococcus, or Clostridium spp
- ๋ด์ฆ :
- Hyperbilirubinemia
- ๊ณผ๋ํ ์ฉํ๋ก ๋น๋ฆฌ๋ฃจ๋น์ด ๋ง์ด ๋ง๋ค์ด์ง๋ฉด preheaptic (โต Babesia ๋ฑ ์ฉํ์ฑ ๊ธฐ์์ถฉ, IMHA ๋ฑ)
- ๋์ฌ๋ฅผ ๋ชปํด์ ํ์ค์ ๋ ๋์๋๋๋ฉด intrahepatic
- ์ฅ์์ ๋ฐฐ์ค๋์ง ๋ชปํด์ extrahepatic
- ๋ด์ฆ์ ์ ์ฒด = incrus, jaundice (ํฉ๋ฌ)
Icterus vs. Jaundice
๊ฑฐ์ ๋ณ์ฉํ๋ ํํ! ์์ธ
- (1) Prehepatic
- (2) Hepatic
- (3) Posthepatic
- Bilirubin์ conjugation์ผ๋ก๋ ์ง์ ๊ฐ๋ฅ
๋ด์ฆ ์ ์ฒด๊ฐ ๋ง์ฑ์ผ๋ก ์ด์ด์ง๋ฉด?
- bile duct์ ์ฆ์์ฑ ๋ณ๋ณ
- ๊ฐ๊ณผ ๋ด๊ด ๋ ๋ค๋ก ๋ถํ๋ ์ ์๋ ์ค๊ธฐ์ธํฌ (oval cell) โ oval cell์ด ๋ง์ด ์ฆ์ํจ
- ์ฌ์ ํ๊ฐ ์ด์ํ ํฌํ๋ผ๋ฆฌ ์ด์ด์ง (bridging fibrosis)
- ํ๋ณต ๋ถ๊ฐ๋ฅํ ์ํ๋ก ์งํ๋๋ฉด cirrhosis
Oval cell์ ๋ ๋ค๋ก ๋ถํ ๊ฐ๋ฅํด์ ์ผ๋ถ ๊ฐ์ธํฌ๊ฐ ์์ฌ์ ๊ด์ฐฐ๋ ์ ์์
๊ฐ์ธํฌ๊ฐ ์ค์ค๋ก ์ฆ์์ ๋ชปํด์ oval cell์ ์์กดํ๋ฉด, ์กฐ๊ทธ๋ง ๊ด๋ค์ด ๋ง์ด ๊ด์ฐฐ๋ ์ ์๋ค bile duct ์์ฒด์ ๋ฌธ์ ๋ผ๋ฉด ๋๋ ทํ ๊ด ๊ตฌ์กฐ
ductular reaction์ ๋ณด๋ฉด ๊ฐ์ด ์์ธ์ธ์ง, ๋ด๊ด์ด ์์ธ์ธ์ง ํ์ธํ ์ ์๋ค.
| Fibrosis | Cirrosis |
|---|---|
| ํ๋ณต ๋ถ๊ฐ๋ฅํ ์ํ | |
| ๋ค ์ด์ด์ ธ ์์ | |
| (fibrosis๊ฐ ์๊ฒผ๋๋ฐ ์์ ๋ถ์) | |
| ๊ฐ์ญ์ | ๋น๊ฐ์ญ์ |
๋ง์ฑ cirrhosis
- ํ๊ด์ด ์ข์์ง๊ณ ํ์ฑ์ด ์ค์ด๋ค์ด ํ์ก ์ ์ฒด๊ฐ ์๊น
- Portal hypertension โ ํ๊ด์ ์๋ก๋ง๋ฆ(shunting), ascites
๊ฐ์ด ์์์ง๋ ๊ฒฝ์ฐ๋ ์ฌ๋งํ๋ฉด 2๊ฐ์ง๋ฐ์.
- Cirrhosis - ๋์ด ๋ง์ ๊ฐ
- PSS (ํ์ก๊ณต๊ธ ์ ๋ชป ๋ฐ์) - ๋์ด ์ด๋ฆฐ ๊ฐ
๊ฐ์ ๊ฐ์ญ์ฑ (Fibrosis Resolution)
cirrhosis ์ ์๋ ์์์ด ๊ฐ๋ฅํ๊ฐ?
- ์์์ ๋ฐ๋ ๋์ ํ์ฑํ๋์ด ์๋ stellate cell๋ค์ด
- ๋๋ถ๋ถ ์ฃฝ๊ฑฐ๋ ๋นํ์ฑํ ๋๋ฉด์ ์๋ stellate cell, ์ ์ ๊ฐ์ผ๋ก ๋์๊ฐ๋๋ผ
cirrhosis ์ค๊ธฐ ์ ๊น์ง ๊ฐ์ญ์ ๋ณํ!
Liver failure
- ๊ฐ์ end-stage : 7-80%์ functional unit์ด ๊ธฐ๋ฅ์ ๋ชปํ ๋.
Hepatic Encephalopathy (๊ฐ์ฑ ๋์ฆ)
- ๊ฐ์ ๋ถ์ > ๊ฐ์ฑ ๋ ์ฑ?, ๋๋ณ์ฆ ์๊ธธ ์ ์์.
- ์๋ชจ๋์ : BBB๋ฅผ ์ ํต๊ณผํจ.
Hepatocutaneous syndrome (= SND, superficial necrolytic dermatitis)
- ๊ณผ๊ฐํ์ฆ์ ์์ผ์ผํด.
- ๊ฐ๊ธฐ๋ฅ ๋ถ์ > ์๋ฏธ๋ ธ์ฐ ํฉ์ฑ์ด ๋ถ์ , ์๋ชจ๋์ ์ถ์
- Parakeratosis, epidermal necrosis, crusting
- parakeratosis : ํต์ ๊ฐ์ง๊ณ ์๋ ์ผ๋ผํด์ ๊ณผ์ฆ์ (โ orthokeratosis, ์๋ ๋ฌดํต ์ผ๋ผํด์ธต์ด ์ ์)
Ddx :
- zinc-responsive dermatosis (์์ฐ ๋ฐ์์ฑ)
- pemphigus foliaceus, lupus erythematosus (โ)
- distemper
- SND (hepatocutaneous syndrome)
- ๋ฐ๋ฐ๋ฅ ์์ชฝ์ ๋ค๋ฐ์ฑ, ์ผ๋ฐ์ ์ธ ์น๋ฃ์ ๋ฐ์ํ์ง ์๋๋ค๋ฉด distemper์ SND๊ฐ ์ ์ผ ์ ๋ ฅ, ์น๋ฃ๋ฒ ์์ ํ ๋ฌ๋ผ์ง
- ํ์ข ํน์ด์ ์ผ๋ก๋ ๋ํ๋ ์ ์์.
Photosensitizatoin (๊ด๊ณผ๋ฏผ์ฆ)
์ด๊ฒ๋ ๊ฐ์ ๋ฌธ์ ๋๋ฌธ
Aging Changes in the Liver
- ์ฌ์ ํ๋ฅผ ๋๋ฐํ์ง ์์ ๊ฐ์ ์ฆ์
- ๋ ธ๋ น์ฑ, ์์ ์ฆ์์ ์ ๋ฐํ์ง ์์.
- nodular hyperplasia ; ๊ฐ์ฅ ํํจ. ๊ฒฐ์ ์ฑ ๋ณ๋ณ์ผ๋ก ๋ํ๋จ. ์ข ์์ผ๋ก ์ฃ๋ถ๋ฆฌ ์ง๋จ X
3. ๊ฐ์ ์๊ธฐ๋ ๊ธฐํ - Developmental and Congenital Anomalies
| Portosystemic shunts (PSS) | - portal : ๊ฐ์ ํ์ก ๊ณต๊ธํด์ฃผ๋ ์ฃผ ๊ฒฝ๋ก. - systemic circulation๊ณผ ์ฐ๊ฒฐ์ด ์ ๋๋ก ์๋๋ฉด.. โ ์ฐ์์ ์์ ๊ณต๊ธ์ ์ ๋๋กX - ํฌ๊ฒ 2๊ฐ์ง. - Extrahepatic (๊ฐ ์ธ๋ถ ๋ฌธ์ ) : ์ฃผ๋ก ์ํ๊ฒฌ. - Intrahepatic (๊ฐ ๋ด๋ถ ๋ฌธ์ ) : ์ฃผ๋ก ๋ํ๊ฒฌ. - ํด๋ ์์ฉ์ ์ ๋ชป ํ๋ค. ํ๊ด๋ค์ ์๋ก ๋ง๋ค์ง๋ง, ์๋ ํ๊ด๋งํผ ๊ธฐ๋ฅํ์ง ๋ชปํจ. |
| Ductal Plate Malformations | - cyst ์ฃผ๋ณ์ portal fibrosis ์๊ธธ ์ ์์. - ๋ด์ฆ ์ ์ฒด๊ฐ ์ผ์ด๋๋ฉด portal์ ๋ฌธ์ ๊ฐ ์๊ธธ ์ ์๋๋ฐ, - portal์ ๋ฌธ์ ๊ฐ ์๊ฒฉ๋ ๋ด์ฆ์ ๋ฌธ์ ๊ฐ ์๊ธธ ์ ์๋ค. |
| Congenital Hepatic Fibrosis | - ductal plate malformation = ๊ฐ์ ์ฌ๋ฌ cyst๋ฅผ ๋ง๋ฆ - ์ด๋๋ฌธ์ ๊ฐ๊ฒฝํ๊น์ง ์ด์ด์ง ์ ์์ โ Congenital Hepatic Fibrosis - ductal plate๊ฐ duct๋ฅผ ์ ๋๋ก ํ์ฑ๋์ง ์๊ฑฐ๋, ๋น์ ์์ ์ผ๋ก ์๋ก์ด ๊ด์ ๋ง๋ค์ด์. - bridging fibrosis ํจํด์ด ๋ํ๋๋ค. - ๊ฐ ๊ธฐ๋ฅ์ ์ด๋ ์ ๋ ์ ์. ์ค์ง์ ์ผ๋ก ๋ฌธ์ ๊ฐ ๋ฐ์ํ์ง ์์. |
| Polycystic Liver Disease | |
| Biliary Atresia (๋ด๊ด ํ์ฐฉ | - bile duct๊ฐ ํ์ฑ๋์ง ์๊ฑฐ๋, ์์ฃผ ์ข์ ๋ด๊ฐ์ผ๋ก ํ์ฑ๋จ. - ์ง์๋๋ฉด ๋ด๊ด์ด ๋งํ๋ฏ๋ก โ ์ง์์ ์ธ ๋ด์ฆ ์ ์ฒด๋ก ์ธํ fibrosis โ ๊ฐ๊ฒฝํ๋ก ์ด์ด์ง. - ๋๋ฌผ๊ฒ ์ผ์ด๋์ง๋ง, ํ์ด๋์๋ง์ ๊ธ์ฌํ๋ ์ฃผ์ ์์ธ ์ค ํ๋. |
Portals of Entry
- ํํ์ฑ
- Retrograde biliary infection (์ญ์ด์ง์ฅ์์ ascending์ผ๋ก ์ฌ๋ผ์ค๋ ๊ฒ)
- Direct extension (์ง์ ์ ์ ํ) : ์๊ณผ ๋ฐ์์ / ์ด๊ธฐ ๋ณ๋ณ์ ๋ฐ๊นฅ capsule ์ชฝ์์ ๊ด์ฐฐ๋จ
- Penetrating wounds or parasite
Pathways of Spread
- ๊ฐ์ค์ง์ ํ๊ดดํด ๊ฐ๋ฉด์ ์ ํ๋๋ ํํ๋ ์์.
- transcoelomic : ๋ณต๊ฐ ๋ด์์ ์ง์ ์ ์ผ๋ก ์ ์ด.
๊ฐ๋ด๊ด ๊ณํต์ Defense Mechanism
- Kupffer cell : ํ์ก๋ด ์์ธ์ฒด, ์ด๋ฌผ์ 1์ฐจ์ ์ผ๋ก ํ์
- Biliary epithelium : ์ํผ์ธํฌ๊ฐ ๋ค๋ฅ๋ค๋ฅ ๋ถ์ด์ ๋ชธ ๋ด๋ถ๋ก ์ด๋ฌผ์ง์ด ๋ค์ด์ค์ง ์๋๋ก ํจ.
- Dual blood supply : ํ์ก์ ๋ ๊ณณ์์ ๋ฐ์์ ํ ์ชฝ์ด ๋งํ๋ ์์์ ๋ฐฉ์งํจ.
Cellular & Molecular Barriers
- PRR (pattern recognition receptors)
- TNF-ฮฑ, IL-6, MCP-1, ๋ฑ
- ๊ฐ์ธํฌ์์๋ ์ธ์์ ํ์ง๋ง ํ์์ ๋ชป ํจ.
Multispecies Hepatic Infectious Disease
- Leptospirosis : ํฉ๋ฌ์ ์ผ์ผํค๋ ๊ฒ์ด ํน์ง์ . / Multispecies (๊ฐ, ๋ผ์ง, ์)
- ํ๊ด์ ๋ฌธ์ ๋ฅผ ์ผ์ผํด (begin as vascular leptospirosis) : ํํ์ด ๋ง์ ์ฅ๊ธฐ๋ค์ ํ๊ฒ์ผ๋ก ํผ์ง ์ ์๋ฐ (์ ์ฅ, ๊ฐ, ํ, ์ฌํ๊ด๊ณ)
- ๊ฐ๊ดด์ฌ์ ์ํ ๊ฑด? random pattern์ด๋ค.
- Fasciola hepatica :
๋ฐ๋ท๊ฐ ๊ทผ์ฒ์์ ๋น๊ต์ ํํจ. (์์ต๊ด๊ณผ ๊ด๋ จ๋ ๋์)
Pathogenesis
- Acute phase
- liver capsule์ ํตํด capsule๋ก ๋ค์ด๊ฐ๋ค.
- ๊ฐ์ธํฌ ๊ดด์ฌ, ์ถํ ๋ฑ
- ์ฌํ ๊ฒฝ์ฐ ๊ธ์ฌํจ : ๋ฐ์์ ๋ซ๊ณ ๋ค์ด์์ ๊ฐ ํ๋ฉด์ด ํฐ์ ธ ์์ (hepatic rupture),
- Chronic phase
- Ascending์ผ๋ก ์ฌ๋ผ์ค๋ ๊ฒฝ์ฐ.
- ์ฌํ fibrosis๋ฅผ ๋๋ฐ.
- ๋ด์ฆ ์ ์ฒด๋ก ์ธํ .. ์ฒด์ค ๊ฐ์๋ฑ
- ์ค์ Complicationos & Co-infection
- Bacillary Hemoglobinuria : ๊ฐ์ค์ง์ ํ๊ดด ์ดํ ๋ฐ์ํ๊ธฐ ์ฝ๋ค.
2์ฐจ์ ์ธ ๊ฐ์ผ์ ์ผ์ผํฌ ์ ์๋ค๋ ์ ์์ ์ค์๋ ๋์.
Fasciola hepatica์ ์ฐ๊ด๋ ๋์ ์ธ๊ท 2๊ฐ.
- Clostridium hemolyticum :
- ํ๊ฒฝ์์ spore ์ญ์ทจโ spore ํํ๋ก ๋ค์ด์์ ์์ฅ์ M cell์ ์จ์ด๋ฒ๋ฆผ. ์จ์ ์ฑ๋ก ๊ฐ์ผ๋ก ๊ฐ.
- ๊ทธ๋ฐ๋ฐ fluke์ ์ํ ๊ฐ ์์์ด ์์ผ๋ฉด(๊ฐ์ธํฌ ํํ์ ์ํ ๊ตญ์์ hypoxia ์ํ์ ์์ผ๋ฉด; ํ๊ธฐ์ฑ ์ธ๊ท ์ด๋ฏ๋ก) โ toxin์ ์ ๋ฐํ๋ค.
- ์ฉํ์ ๋ง๋ค์ด์ Bacillary hemoglobinuria๋ฅผ ์ ๋ฐํ๊ณ , mortality๊ฐ ๋๋ค (1-2์ผ ์ด๋ด).
- ํ๋จ๊ฐ ์ฃผ ์ฆ์.
- ๊ตญ์์ ์ธ ๊ฐ ๊ดด์ฌ ์ ๋ฐ : alpha toxin ๋๋ฌธ. (๊ตญ์์ ์ ์ฐ์์ฆ ์ํ์ฌ์ผ ๊ฐ๊ดด์ฌ๋ฅผ ์ ๋ฐํจ)
- (1) Intravascular hemolysis (hemoglobinuria)
- (2) hepatic necrosis
- (3)
- Clostiridium novyi :
- ํ๋จ๊ฐ ์๋ ๊ฒ์ด ๊ฐ์ฅ ํฐ ์ฐจ์ด์ .
- Local hepatic necrosis : fasciola์ ์ํด ์๊ธด ๊ตญ์์ ์ ์ฐ์์ฆ ์ํ์์ ๊ฐ๊ดด์ฌ๋ฅผ ์ ๋ฐํจ
Disease
Infectious Canine Hepatitis
-
Canine Adenovirus Type 1 (CAV-1) ์ ์ํจ.
-
๊ฐ, ์ ์ฅ, ๋, ํ๊ด๋ดํผ์ธํฌ
-
wild canid์์ ๋ณผ ์ผ ๋ง์.
-
tonsil์์ ์ฃผ๋ก ์ฆ์ํ๋ค. ์ผ์ ๊ธฐ๊ฐ ์ ๋ณต๊ธฐ๋ฅผ ๊ฐ์ง๋ค viremia
-
Pathogenesis
- ํ๊ด โ ์ ์ ์ฑ
- ๊ฐ์ธํฌ๋ฅผ ์์์์ผ hepatic necrosis โ ํ๊ด์ ํ๊ณ widespread vasculitis
-
Clinical signs
- ํฉ๋ฌ์ด ์์ผ๋ ์ฌํ์ง ์๋ค
- Conjunctivitis (โ Acute corneal edema), blue eye๋ผ๊ณ ๋ ํจ. ๋๋์๊ฐ ํผํํ๊ณ ๋ญ๊ฐ ์ฐจ ์๋ ๊ฒ ๊ฐ๊ณ ํ๋์์ด๋ฉด ์ด๊ฑฐ ๊ผญ ์์ฌ.
- Leukopenia
- DIC (ํ๊ด ์ชฝ ํ๊ฒํ๊ธฐ ๋๋ฌธ)
- ์ฌํ ๊ฒฝ์ฐ ์ฃฝ์ ์๋ ์๋ค.
12/2
๊ฐ๋ง์ ์์ชฝ์ ๋๋ฌ์ธ๋ ํ๊ด๋ดํผ์ธํฌ - ์ด ๋ฐ์ด๋ฌ์ค๋? ํ๊ด๋ดํผ์ธํฌ์ ์ ๋ฌ๋ผ๋ถ๋๋ค โ ๊ฑฐ๊ธฐ๋ถํฐ ์ผ์ฆ์ด ์๊ธด๋ค.
์๋ ๊ฑด์กฐํ๊ฒ ์ ์ง๋๋ ๊ฐ๋ง ์์ชฝ / ์๋ฐฉ์๊ฐ stroma ๋ด๋ก ์ ์ค๋ฉฐ๋ค์ด๊ฐ๋ค. ๊ฐ์ผ 7-10์ผ ํ ๋ํ๋จ.
Immune complex๊ฐ ๋ง๋ค์ด์ ธ ์ถ์ ๋๋ ๊ฒ์ด blue eye์ ์์ธ. immune complex์ ์ํ ๊ตญ์์ ์ธ type โ ข hypersensitivity ๊ฐ๋ง ๋ค์ชฝ์ ๋๋ฌ์ธ๋ ํ๊ด๋ดํผ์ธํฌ๊ฐ์์ โ ์๋ฐฉ์๊ฐ ์ค๋ฉฐ๋ค์ด๊ฐ๋ฉฐ corneal edema โ blue eye
7-10์ด๋ฉด.. ํ์ง๋ง ์ ๊ฐ์ ๋์ ์๋ณ์ผ๋ก ๊ณ์ shedding ์ ์ฅ์ธ๋จ๊ด ์์ โ ์๋ถ๋ฏผ ์ฌํก์๊ฐ ์ ๋์ง ์์ โ proteinuria
-
๊ฐ์์ : ์ ์์ถํ, necrotic foci, ์ ์ ๋ด๋ญ๋ณด๋ค ๋ฒฝ์ด ๋ง๋ํ๊ฒ ๋ํผํด์ง(๊ฐ์ด๋ ๋ด๋ญ์ ๋ถ์ข ์ ์ ์ผ์ผํด)
-
focal liver necrosis
-
hepatocyte์์ ๋ง์ด ๊ด์ฐฐ๋จ.
-
intranuclear inclusion body(ํต๋ด๋ด์ ์ฒด)
| Infectious Canine Hepatitis | |
|---|---|
| Clinical signs | |
| Microscopic |
Tyzzerโs disease
-
Clostridium piliforme
-
๋ฉด์ญ์ ํ ๋๋ฌผ์์ ์ ๋ฐ์
-
spore ์ญ์ทจ โ portal vein์ ํตํด ๊ฐ์ผ๋ก ๋ค์ด์จ๋ค.
-
Infectious canine hepatitis
-
Tyzzerโs disease
-
์์ถฉ ๊ฐ์ผ
- Leishmaniasis
- Toxoplasmosis
-
๊ธฐ์์ถฉ ๊ฐ์ผ
- Blastomycosis
- Histoplasmosis (Histoplasma capsulatum)
- Candidiasiss
- Aspergillosis
-
๋์ฌ์ฑ ์งํ
- Copper-Associated Chronic Hepatitis
- Fatty Liver Syndrome : ๊ฐ์์ ๊ณผ๋ํ ์๋์ง๋ฅผ ์ธ ๋. ๊ฐ์ด ์ปค์ง๊ณ , ๋๋ฆฌ๋ผ๋ฆฌํด์ง๊ณ , ์ ๋ฐ์ค๋ฌ์ง (enlarged, yellow, friable) / ๊ฐ์ ๊ณตํฌ๊ฐ ์๊ธฐ๋ฉด ์ง๋ฐฉ or ๊ธ๋ฆฌ์ฝ์ .
- Steroid Hepatopathy :
Neoplasia & Hyperplasia
Table 8.3 Differentiation of Nodular Lesions in the Liver
โญโญ ์๊ธฐํ์ธ์ โญโญ
nodular hyperplasia : ํ์์ ๊ฐ๋ณต์ ์์ ๋ฐ๊ฒฌ๋์ด ์ข ์์ธ ์ค ์์๋๋ฐ ์๋ ์ ์๋ ์์ธ. / ์๋ nodule์ ํํ๋ฅผ ๊ฑฐ์ ์ ์ง. regenerative cirrhosis ๋ฑ์ด ์ฌํ ๋ / fibrosis ์ฌํ๊ฒ ๋๋ฐ๋์ด ๊ฒ์ด ์ฌํ๊ฒ ์ธํ๋ถํ
๊ฑฐ์ ํํ ์์: ํ๋ ์ ๋์ ํฌํ์ด ์๊ฑฐ๋, ์๊ฑฐ๋. ์ธํฌ๊ฐ ๋ง์ ๋ณด์ด์ง๋ง ๊ธฐ๋ฅ์ ๊ฑฐ์ ๋ชปํจ.
| Lesion | Species Affected | Gross Appearance | Histologic Appearance |
|---|---|---|---|
| Nodular hyperplasia | Mainly older dogs, occasionally cats | Often multiple Friable Well-demarcated Compressive Adjacent liver is normal ํฌ๊ธฐ๊ฐ ํฐ ๋ค๋ฐ์ฑ ๊ฒฐ์ (๊ฒฐ์ ๋ค์ ํฌ๊ธฐ ๋น์ทํ๊ฒ ๋ค ํผ) | Contains all elements of normal lobule Fewer portal tracts and central veins than normal liver Hepatocytes often vacuolated Not encapsulated ๊ฐ์๋ ์ข ์ ์ง๋ง ๊ฒฐ์ ๋ด๋ถ์ ์ ์ ๊ตฌ์กฐ ์ ์ง๋จ ์ฃผ๋ณ์ ์๋ฐํ๋ฉด์ ์๋ |
| Regenerative nodules | Mainly dogs, not age-related | Multiple Rest of liver is abnormal (fibrotic) ์ฌ์ ํ๊ฐ ์ฌํ๊ณ ๋ค๋ฐ์ฑ ๊ฒฐ์ , ์ ๋ฐ์ ์ผ๋ก ๊ฐ ํฌ๊ธฐ๊ฐ ์์์ง | Arise in an injured liver, most often with severe fibrosis Lack lobular organization Usually only contain a single portal tract or isolated vessels ๊ฒฐ์ ๋ด๋ถ์ ์ ์ ๊ตฌ์กฐ(portal vein ๋ฑ) ์์ |
| Hepatocellular adenoma | All species | Usually single ๊ตญ์์ , ๋จ๋ฐ์ฑ์ ํฐ ๊ฒฐ์ Often unencapsulated ๊ฒฐํฉ์กฐ์ง์ผ๋ก ๋๋ฌ์ธ์ฌ ์์ ์๋ ์์ Compressive Red-brown Adjacent liver is normal | Loss of lobular architecture No or few portal tracts or central veins (๊ธฐ๋ฅ์ ๊ฑฐ์ ๋ชปํจ) Well-differentiated hepatocytes Plates 2 or 3 cells thick ๊ฒฐ์ ์ด ์ฌ๋ฌ ์ธต์ผ๋ก ๋ฐฐ์ด๋์ด ์๋ค portal/central vein ๋ฑ์ด ๊ฑฐ์ ์๋ค |
| Hepatocellular carcinoma | All species | Usually single Can be large (can involve entire lobe) Intrahepatic metastases may be present Friable White-gray to yellow-brown Subdivided by fibrous bands ์ฃผ๋ณ ์กฐ์ง๊ณผ์ ๊ฒฝ๊ณ๊ฐ ๋ถ๋ถ๋ช (์นจ์ต์ฑ) ๋จ๋ฐ์ฑ ํฐ ๊ฒฐ์ ์ฃผ๋ณ์ผ๋ก ํฌ๊ณ ์์ ๋ค๋ฐ์ฑ ๊ฒฐ์ (์ ์ด) | Loss of lobular architecture No or few portal tracts or central veins Irregular plates >3 cells thick Hepatocytes can be bizarre Invasion at margins ์ฃผ๋ณ์ผ๋ก ์นจ์ตํ๋ ํน์ง์ด ์์ด margin์ด ์ธํ๋ถํํ๊ณ ๋ถ๋ถ๋ณ |
| Cholangiocellular adenoma (bile duct ์ ๋) | Most common in cats | Discrete Firm Gray-white Can be cystic Compressive ๋จ๋ฐ์ฑ ํฐ ๊ฒฐ์ (์กฐ์งํ์ ์ผ๋ก ํ์ง ํ์) | Well-differentiated biliary epithelium forming tubules Can be cystic Well-developed fibrous stroma |
| Cholangiocellular carcinoma (bile duct ์ ๋) | All species | Large single mass or multiple nodules Often central depression (umbilicated: ๊ฐ์ด๋ฐ๊ฐ ์ํน ๊บผ์ง) Gray-tan Unencapsulated Often see metastasis in other tissues ์ฌ์ ํ๊ฐ ๋ ์ฌํจ | Well-differentiated, have tubular or acinar arrangement Poorly differentiated, have solid masses of cells Abundant fibrous stroma Multiple sites of invasion at margins ์ข ์์ธํฌ์ ๋ฐฐ์ด์ ๊ฐ์ธํฌ ์ ๋์๋ ๋ค๋ฆ |
- gall bladder mucocele : ๋ง์ ๊ฐ์ ๋ด๋ญ์ ๊ด์ฐฐํด๋ณด๋ฉด mucocele์ด ์์
- cystic mucinous hyperplasia ; cyst๋ฅผ ํ์ฑํ๋ ๋ฐฉ์์ผ๋ก ์ ์ก์ ๋ถ๋นํ๋ ์ธํฌ๊ฐ ๊ณผ์ฆ์๋์๋ค
- ๋ด์ฆ ์ ์ฒด๋ฅผ ์ผ์ผํฌ ์ ์์
- ๋น์ข ์์ฑ ๊ณผ์ฆ์
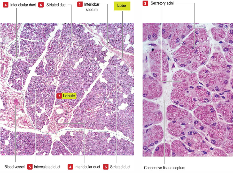
โ ก. Exocrine Pancreas
์ท์ฅ์ ์ํํจ์๊ฐ ๋ณต๊ฐ๋ด๋ก ์ ์ถ๋๊ธฐ ์ฌ์. โ ๋ฌธ์ ๊ฐ ์๊ธฐ๋ฉด ์์ ์ฆ์์ด ํฌ๊ฒ ๋ํ๋๋ ์ฅ๊ธฐ ์ค ํ๋.
Structure

- acinar cell๋ก ๊ตฌ์ฑ๋์ด ์์. (chief cell๊ณผ ๋งค์ฐ ๋น์ทํ ์ฑ์ง)
- acinus์์ ๋์จ ์ํํจ์๋ค์ด duct system์ ํตํด ์ด๋ด๊ด์ผ๋ก ๋ฐฐ์ถ๋จ.
- ๋ฐ๋ฅ์ด ๋์ ์ฌ๋ค๋ฆฌ๊ผด์ฒ๋ผ ์๊ธฐ๊ณ , ํต์ ๋ฐ๋ฅ ์ชฝ์ ๊น๋ ค์์ (basally oriented nuclei)
- acinar cell์ zymogens(์ํํจ์) ๋ถ๋น
- ์ํํจ์๊ฐ ๋๊ฐ๋ ๊ฒฝ๋ก : acini โ intercalated ducts โ intralobular ducts โ pancreatic duct
- lobule์ ์ด๋ฃจ๊ณ ์์. lobule์ ์ด๋ฃจ๋ acini์์ ์ํํจ์๋ฅผ ๋ถ๋นํ๊ณ โฆ
์ท์ฅ์ ๊ธฐ๋ฅ
- ์ํํจ์ ๋ถ๋น: trypsinogen, chymotrypsinogen, lipases, amylase
- ๋๋ถ๋ถ inactiveํ๊ฒ ๋์์, ์์ฅ์์ activation (๋ณต๊ฐ์ผ๋ก ์๋ชป ๋์ถ๋ผ๋ ํ์ฑํ๋ ์ ์์ด์ ์ํ)
- ์ ๊ฒฝ, ํธ๋ฅด๋ชฌ์ ์ํด ์กฐ์ ๋จ
Pathophysiology
- injury โ enzyme leakage, autodigestion โ pancreatitis
- (autodigestion : ๋ณต๊ฐ ์ง๋ฐฉ์กฐ์ง์ ๋ น์ฌ์ ์นผ์์นจ์ฐฉ์ ์ผ์ผํค๋ฉฐ ๋น๋์ ๊ถค์ฌ๊ฐ ๋ํ๋๋ ๊ฒ)
- Acute = inflammation, necrosis
- Chronic = fibrosis, atrophy, exocrine pancreatic insufficiency (EPI)
- ๋ ธํ : ์ํํจ์ ๋ถ๋น ๊ฐ์, nodular hyperplasia (๊ธฐ๋ฅ์ ๋ณ๋ก ํ์ง ์๊ธฐ ๋๋ฌธ์ ์์์ ์ค์๋ X)
(29๋ฌธ์ - 22 ๊ฐ๊ด์, 23-28 ์ฌ์ง ๊ฐ๊ด์, 29 ์ฃผ๊ด์) (๋ต์ 1or2๊ฐ)
Histologic Patterns
- ์ค์ง์ด ์ค์ด๋๋ ๊ฒ์ด ๊ณตํต์ .
- ๊ธ์ฑ : ์ค์ด๋ค๊ณ ์๋ ๊ฒ์ด ๋ณด์ / ๋ง์ฑ : ์ด๋ฏธ ๋ค ์ค์ด๋ค์ด์, ๊ฒฐํฉ์กฐ์ง์ผ๋ก ๋์ฒด๋์ด ์์.
Portals of Entry
- ํํ์ฑ
- ์ท์ฅ๊ด์ผ๋ก
- ๋ณต๊ฐ์์ ๋ฐ๋ก ๋ค์ด์ฌ ์๋ ์์
Defense Mechanisms
- ๊ณ์๋ ํ๋ฆ
- Enzyme๋ค์ด inactiveํ๊ฒ ์ ์ฅ๋์ด ์์
Disorders
- ์ผ์ฆ์ด๊ฑฐ๋, .. (pancreatitis, hyperplasia, neoplasia, parasitism)
- ํํ ์์์ฆ์ : ๊ตฌํ , ์ค์ฌ, ๋ณตํต, EPI(์ธ๋ถ๋น์ท์ฅ ๊ธฐ๋ฅ๋ถ์ )
- ๊ธฐํ
- duct anomalies (์ท์ฅ๊ด์ด ์ ์๊ธฐ์ง ์์)
- ecttopic pancreatic tissue (์ท์ฅ ๋ฐ๊นฅ์ pancreatic tissue๊ฐ ์๊น)
- choristoma
- cystic duct dilation
- pseudocysts
- ๋ฐ๋์ ์์ ์ฆ์์ ์ ๋ฐํ๋ ๊ฒ์ผ ๋์ธ๋ค ?
Acute Pancreatitis
- ์์ธ : ์ํ ๋ฌธ์ , ์ธ์์ฑ, ๋ ์ฑ, ๊ธฐ์์ถฉ (์ค-๋๋๋ฌผ์์ ๊ธฐ์์ถฉ์ผ๋ก ์ธํ ๊ฒฝ์ฐ ๋ง์)
- ์ธํฌ ๋ด์์ ํจ์๊ฐ ์๋์ผ๋ก activation โ ๊ธ์น

Lesions
- fat necrosis ๊ฐ ๊ฐ์ฅ ํํจ.
- saponification (
- ๊ดด์ฌ๋ ์ธํฌ, ์ผ์ฆ์ธํฌ, ์นผ์ ๋ค์์ฌ ์์
- ํธ์ค๊ตฌ ์นจ์ค์ด ํน์ด์ .
- ๋ณต๊ฐ์ ๋ ธ์ถ๋์ด ์์ โ ์ฝ๊ฒ ๋ณต๋ง์ผ์ด๋ DIC๋ก ์งํ๋ ์ ์๋ค. (์ด๋ด๊ด์ ํตํด ascending์ผ๋ก ํ๊ธ โ ๋ด๋ญ, ๊ฐ๊น์ง ์ํฅ์ด ๊ฐ ์ ์๋ค.)
Chronic Pancreatitis
-
ductular hyperplasia
-
์ค์ง์ธํฌ์ ์๊ฐ ๊ฐ์
-
์๋ ์ท์ฅ์ ๊ฒฐํฉ์กฐ์ง์ด ์๊ณ , ์์ฝํ โ ๋ง์ฑํ๋๋ฉด์ ์ค์ง์ ์ค์ด๋ค๊ณ , ์ค์ด๋ ๋ถ๋ถ์ ๊ฒฐํฉ์กฐ์ง์ด ๋์ฒดํ๊ณ ์์.
-
Spaniels, Boxers, Colies, Cats์์ ํํฉ
-
์ง์๋๋ฉด EPI ๋๋ DM์ผ๋ก ์งํ๋ ์ ์์.
-
๊ณ ์์ด์์๋ fibrosis๋ ์ฌํ์ง๋ง ์ผ์ฆ์ ๋ณ๋ก ์ฌํ์ง ์๋ค.
-
์์์๋ necrosis๊ฐ ์ผ์ด๋๊ณ ๋์, zinc toxicosis์ ์ํด ๋ง์ด ์ผ์ด๋ ์ ์์.
-
Parasites : Opisthorchiidae, Dicrocoeliidae
-
๊ด์ด ๋งํ๊ณ , ์ผ์ฆ ๋ฐ ์ฌ์ ํ (duct obstruction, inflammation, fibrosis)
-
๊ณ ์์ด์์ ascending์ผ๋ก ์ธ๊ท ๊ฐ์ผ์ด ๋ฒ์ ธ ํ๋์ฑ ์ท์ฅ์ผ
-
IBD๋ก ์์ โ ์ด๋ด๊ด์ ํ๊ณ ๊ฑฐ๊พธ๋ก ์ฌ๋ผ์์ cholangitis (์ ์ด ๊ฐ์ด ๋ณ๋ฐ: triaditis)
- IBD ํ์๋ฅผ ๋ฐ์ ๋, ๋ด๊ด์ด๋ ์ท์ฅ์ผ๋ก ํ๊ธ๋์ง ์์๋์ง ํ์ธ ํ์

Pancreatic Neoplasia
-
Pancreatic adenocarcinoma : ๋๋ฌผ์ง๋ง ๊ณต๊ฒฉ์
-
Pancreatic adenoma : ๋งค์ฐ ๋๋ฌผ๋ค ์ ์ฑ์ข ์ : ๊ฒฝ๊ณ๊ฐ ๋ถ๋ถ๋ช ํ๊ณ ์นจ์ต์ (์ฌ๋์์๋ ๊ฐ์ฅ ๋ฆ๊ฒ ๋ฐ๊ฒฌ๋๋ ๊ฒฝ์ฐ๊ฐ ๋ง์)
-
cutaneous paraneoplastic syndrome : ๋ํ์ ์ผ๋ก pancreatic adenocarcinoma / cholangiocarcinoma 2๊ฐ. (์ท์ฅ์, )
- ํ๋ชจ๋ฅผ ๋ณด์ด๋๋ฐ ์์ธ์ ์ฐพ์ ์ ์๊ณ ์ ๋ซ์ง ์๋๋ค๋ฉด ๋ฐ๋์ ์ด ๋ ์ข ์์ ํ์ธ.
- ๊ตญ์์ ์ผ๋ก ์๊ธฐ์ง ์์, ๋์นญ์ ์ด๊ณ ๋ณต์ธก์ ์๊น, ๋ฐ์ง๊ฑฐ๋ฆฌ๋ ์ธํ(glistening)
Endocrine tumors
- ฮฒ-cell tumor :
- ์ง๋จ (Whippleโs Triad) : ์ฆ์์ด ์์ด์ผ + glucose ๋ฎ์์ผ + glucose ์ฒ์น ์ ์ฆ์์ด ๊ฐ์
Others
- Exocrine pancreatic atrophy (Juvenile pancreatic atrophy)
- german shepherd, collies ์์ ์ข ํน์ด์ ์ผ๋ก ์ด๋ฆฐ ๋์ด์ ์ท์ฅ์ด ์์ถ๋์ด ์์ ์ ์๋ค
- ์ธ๋ถ๋น ์ท์ฅ์ธํฌ์ ์์ถ
- Fat infiltration in obese cat
- ์ง๋ฐฉ์ธํฌ๊ฐ ์ฌ์ด์ฌ์ด ๊ปด์๋ค
- Pacinian corpuscles : ์ ์์ ์ผ๋ก ๊ณ ์์ด ์ท์ฅ์ ์๋ ๊ตฌ์กฐ, mechanoreceptor(๋ฌผ๋ฆฌ์ ๋ณํ๋ฅผ ๊ฐ์ง)

in Ruminants
- ๋ฐ์ถ๋๋ฌผ์์ EPI ๊ด๋ จ๋ ๊ธฐ๋ฅ๋ถ์ ์ ์ ์์.
- ๋๋ถ๋ถ์ ๋ณ๋ณ์ incidental / ์ด๋ฐ ๋ณ๋ณ์ด ์๋ค๊ณ ํด์ ? ๋ํ๋์ง ์๋๋ค!
Pancreatic Hypoplasia
-
๋ฐ์ถ๋ฅ์์ ๊ด์ฐฐ
-
Exocrine pancreatitis
-
์ธํฌ๋ ์ ์์ธ๋ฐ, ์ธํฌ์ ๋ค์ด์๋ ์ํํจ์๊ฐ ์ ์ ์ ์๋ค?
-
acinar cell ์์ฒด๊ฐ ๋ง๊ฐ์ ธ ์๊ฑฐ๋, zymogen granule์ด ๊ฑฐ์ ์๋ค
-
Nodular Hyperplasia
- ๋์ด๋ ๊ฐ, ์
- zymogen granule์ด ์๊ฑฐ๋ ์ ์ ์ ์๋ค
- ํ๋ฏธ๊ฒฝ์ adenoma์ ๋ฎ์์๋ค
- ์ข ์๊ณผ ๊ฐ๋ณ์ด ๋ฐ๋์ ํ์ํ
-
๊ฒฐ์ (pancreatolithiasis)
- ์์์ ์ข ์ข ๋ฐ์, ๋์ถ ๊ณผ์ ์์ ์ฐ์ฐํ ๋ฐ๊ฒฌ๋ ๋ โ
-
Parasitic Disease
- Eurytrema
- segmental pancreatitis๋ฅผ ์ ๋ฐํ ์ ์๋ค: ์ง๋๊ฐ ๊ฒฝ๋ก์๋ง ์ํฅ์ ์ค์.
-
Stromal Fat Cell : ๊ธฐ๋ฅ์ ํ์ง ์๋ ์ง๋ฐฉ์ธํฌ๊ฐ ๋์ฒด but ๊ธฐ๋ฅ์ ์ผ๋ก ํฐ ๋ฌธ์ ๋ ์์
-
Chronic Pancreatitis in Ruminants :
-
Other Lesions
- ์ค์ํ ๊ฑด ํฌ๊ฒ ์๋ค, hypoplasia ์ ๋?
