Common Immune-Mediated Disease
1) Immune-Mediated Hemolytic Anemia (๋ฉด์ญ ๋งค๊ฐ์ฑ ์ฉํ์ฑ ๋นํ)
Etiology
- ๋ฉด์ญ๋งค๊ฐ ๊ธฐ์ ์ ์ํ RBC์ ๊ธ๊ฒฉํ ํ๊ดด๋ก ๋ฐ์ํ ๋นํ (์ด๋ฆ ๊ทธ๋๋ก ๋ฉด์ญ ๋งค๊ฐ + ์ฉํ๋ก RBC ํ๊ดด + ๋นํ)
- ๊ฐ์ ์ฉํ์ฑ ๋นํ ์ค ๊ฐ์ฅ ํํ ์์ธ
- ๊ณ ์์ด์์๋ ํํ์ง ์์.
Primary IMHA
- RBC ๋ง์ ํญ์(๋ง๋จ๋ฐฑ์ง)์ ํญ์ฒด๊ฐ direct๋ก ๊ฒฐํฉํจ.
- ์ด๋ค ๋จ๋ฐฑ์ง์ด๋ผ๊ณ ๋ช ํํ๊ฒ ๊ตฌ๋ถ๋์ง ์์๊ณ , ํ์ธ๋ ๊ฑด spectrin, band 3, glycophorins ๋ฑ
- Secondary form๋ณด๋ค primary form์ด ๋ ํํจ. (secondary ์์ธ์ rule-outํด์ ์ง๋จ)
- ๊ฐ์ ๊ณ ์์ด์ RBC์์ IgG > IgM > IgA ์์ผ๋ก ํ์ธ. + ๋ณด์ฒด๊ฐ ๋งค๊ฐํ๊ธฐ๋ ํจ.
- SLE์ ์งํ์ผ ์๋ ์์.
Secondary IMHA
- ๊ฐ์ผ, ์ข ์
- ์ฝ๋ฌผ ๋ ธ์ถ, ๋ ์ + ๋ฐฑ์ ์ ๊ฐ๋ฅ์ฑ๋ ์์.
- ๋ํ์ ์ธ ์๋ฐ ์์ธ
- ๊ฐ : Dirofilariasis(๊ฐ์ฌ์์ถฉ), Babesiosis + Hemotrophic mycoplasmosis, Leishmaniasis, Ehrlichia canis infection, Anaplasma phagocytophilum infection ๋ฑ
- ๊ณ ์์ด : Hemotrophic mycoplasmosis + Feline infectious peritonitis, leukemia virus ๋ฑ
-
๋ฐฑ์ ? 2-4์ฃผ ์ด๋ด ๋ฐฑ์ ์ ๋ง์ ๊ทธ๋ฃน์ ๋ฐ๋ณ๋ฅ ์ด ๋ ๋์๋ ์ฐ๊ตฌ๊ฐ ์์ผ๋, ๋ช ํํ ๊ทผ๊ฑฐ X
-
Genetic predisposition
- Cocker Spaniel์์ ๊ฐ์ฅ ํธ๋ฐ (1/3 ์์ค, โDog erythrocyte antigen 7โ ๋๋ฌธ์ด๋ผ๊ณ ์์ํ๋, ?)
- Bichon Frise, Miniature Pinscher, Miniature Schnauzer + Finnish Spitz, English Springer Spaniel, Rough-coated Collie ๋ฑ์์๋ ์ ๋ํ๋จ.
-
RBC์ ๋ถ์ ํญ์ฒด/๋ณด์ฒด๋ Intravascular or extravascular Hemolysis๋ฅผ ์ผ์ผํฌ ์ ์์.
| ํ๊ด์ธ ์ฉํ_ | Extravascular Hemolysis |
|---|---|
| ํน์ง | - ๊ฐ, ๋น์ฅ, ๊ณจ์์ Mononuclear-phagocytic system(MPS)์ ์ํด RBC๊ฐ ํ์ง๋์ด phagocytosis๋จ. - ํ๊ด๋ด์ฉํ๋ณด๋ค ๋ ํํ๊ณ , ๋ ์ฌ๊ฐํ๋ค. - spherocytosis, hyperbilirubinemia ์ ๋๋ฐ๋๋ค. |
| ๋ฐ์ | - Phagocytosis์ stimuli : (1) intracellular inclusions (RBC parasites, Heinz bodies) : (2) IgG๋ IgM์ผ๋ก ์ฝํ ๋ membrane (๊ฐ์์ ์ฃผ๋ก ์์ธ) - ์ ์ฒ์ ์ผ๋ก ๋ฐ์ํ ์๋ ์์ : RBC ์์ฒด ํจ์ ๋ฌธ์ (Congenital RBC enzymopathies) |
๊ณผ์ ![]() | (1) ์ ํ๊ตฌ๊ฐ ํ์๋จ : ๋น์ ์ RBCs ์ธ์ โ MPS์ ์ํด phagocytosis โ circulating RBC ์ ๊ฐ์ & spherocytes ์ฆ๊ฐ (2) lysosome ์์์ hemoglobin์ผ๋ก ๋ถํด๋์ด, ์ฒ ๊ณผ biliverdin์ผ๋ก ๋ถํด๋จ (3) bilirubin์ผ๋ก ์ ํ๋๊ณ , ๊ฐ์์ ๋์ฌ๋จ. - ๋ฐ๋ผ์ Hyperbilirubinemia๋ ๋ฐ์ํ ์ ์๋ ๋ฐ๋ฉด, ํ๋ฅ์ ์ํํ๋ hemoglobin์ด ๋ค ๋ถํด๋์๊ธฐ ๋๋ฌธ์ Hemoglobinuria, hemoglobinemia๋ ๋ฐ์ํ์ง ์๋๋ค. - ์ผ๋ฐ์ ์ผ๋ก IgG์ ์ํด ๋งค๊ฐ๋๋ค. |
| ํ๊ด๋ด ์ฉํ | Intravascular Hemolysis |
|---|---|
| ํน์ง | - RBC์ direct lysis โ ํ๊ด ๋ด๋ฅผ ์ํํ๋ ์ ํ๊ตฌ๊ฐ shear stress, toxin, complement ๋ฑ์ ์ํด lysis๋จ. - ํ๊ด์ธ์ฉํ๋ณด๋ค ๋ ํํ์ง๋ง, ์ํ๊ฐ ๋ ๋ถ๋ํ๋ค. - secondary๋ก ๋ง์ด ๋ฐ์ : ๊ฐ์ DIC with ํ๊ด์ก์ข (HSA; hemangiosarcoma), ์์ฐ ๋ ์ฑ, ์ ์ธํ์ฆ(hypophosphatemia) - ํน์ congenital enzymopathy์ผ ์๋ ์์ : ๊ฐ์ PFK(phosphofructokinase) deficiency |
| ๋ฐ์ | Caused by.. - ๋ณด์ฒด๋ฅผ ํ์ฑํ์ํค๋ ํญ์ฒด - ๊ฐ์ผ์ฒด (ex - Babesia canis) - ์ฝ๋ฌผ, ๋ ์ฑ (ex - ๋์ ์ ์์ฐ, ์ด๋์ฅ์ ๋์ฌ, zinc-containing ointments ๋ฑ) - ๋์ฌ์ ๋ถ๊ท ํ (ex - ๋น๋จ๋ก ์ธ์๋ฆฐ ์ฒ๋ฐฉ ์ค์ผ ๋ hypophosphatemia) - RBC์ shearing(๋ฏธ๋ ํ) ์ฆ๊ฐ (ex - DIC, microangiopathy) |
๊ณผ์ ![]() | (1) ํ๊ด ๋ด์์ ํ์ฅ hemoglobin ์ ๋ฆฌ (2) Haptoglobin + hemoglobin ๊ฒฐํฉํ์ฌ ๊ฐ์์ ์ ๊ฑฐ๋จ. (3) Hemoglobin์ด haptoglobin๋ณด๋ค ๋์น๋ฉด, ์ ์ฅ์ธ๋จ๊ด์ผ๋ก ๋ฐฐ์ค๋์ด hemoglobinuria ๋ฐ์. |
Spherocytes (๊ตฌ์์ ํ๊ตฌ)
- ํญ์ฒด๋ก ์ฝํ ๋ ์ ํ๊ตฌ๋ง ์ผ๋ถ๊ฐ ํ์๋์ด, ํฌ๊ธฐ๊ฐ ์์์ง๊ณ ์ฐฝ๋ฐฑํ ์ค์๋ถ๊ฐ ์์ค๋ ์ ํ๊ตฌ ํํ
โ loss of the normal discoid shape, decreased size, loss of central pallor- ๊ณผ์ : Mononuclear-phagocytic cells๊ฐ ์ ํ๊ตฌ์ ํญ์์ ๋ถ์ฐฉ, Fc receptor์ ๊ฒฐํฉ โ ์ธํฌ์ง๊ณผ ๋ง์ด ๋ฏ๊ฒจ์ง(โbites offโ) โ ๋จ์ ์ ๋ค๋ผ๋ฆฌ ๋ญ์ณ์ ๋ ์๊ณ , central pallor๊ฐ ์๋ spherocyte ํ์ฑ
- ๋ฉด์ญ ์ฉํ ๋นํ๋ฟ๋ง ์๋๋ผ Babesia gibsoni ๊ฐ์ผ, ์์ฐ ๋ ์ฑ, hemophagocytic malignant histiocytosis, ๋ณด๊ดํ ์ง ์ค๋๋ ํผ๋ฅผ ์ํํ์ ๋๋ ๋ํ๋ ์ ์๋ ํน์ง.
- ๊ฐ : ์ฃผ๋ก immune hemolysis์ ์ํด
- ๊ณ ์์ด: ๋ฉด์ญ๋ณด๋ค๋ Drug-associated hemolysis(ฮฒ-lactam ํญ์์ ์๋ชป ๋จน์์ ๋), mycoplasmosis + IHA ๋ฑ์ ์ํด ๋ํ๋ ๋๊ฐ ๋ง์
- ์ ์ ์ ํ๊ตฌ๋ณด๋ค ๋จ๋จ(more rigid), ์ ๋ณํ๋์ง ์์(less deformable), ๋น์ฅ์ ํต๊ณผํ๋ฉด์ ์ ๊ฑฐ๋จ.
๊ทธ ์ธ. ์ฉํ์ฑ ๋นํ์ ์์ธ

Clinical features
- ์ด๋ฆฌ๊ฑฐ๋ ์ค๋ ๊ฐ์ฒด์์ ํธ๋ฐ. 1-13์ธ, ํ๊ท ์ฐ๋ น 6์ธ์์ ๊ด์ฐฐ๋จ.
- ์์ปท, ์ค์ฑํ ์์ปท > ์ค์ฑํX ์์ปท (intact male)
| ์์ ์ฆ์ | ์ ์ฒด ๊ฒ์ฌ |
|---|---|
| lethargy (๊ธฐ๋ ฅ์ ํ) | systolic heart murmur (์ฌ์ก์) |
| anorexia (์์๋ถ์ง) | pyrexia (์ด) |
| pallor (์ฐฝ๋ฐฑ) | pallor (์ฐฝ๋ฐฑ) |
| icterus (ํฉ๋ฌ) | icterus (ํฉ๋ฌ) |
| vomiting (๊ตฌํ ) | tachycardia (๋น๋งฅ; ๋นํ์ ๋ํด ๋ณด์์ฑ) |
| collapse (ํํ; ๊ฐ์๊ธฐ ์ฐ๋ฌ์ง) | tachypnea (๋นํธํก; ๋นํ์ ๋ํด ๋ณด์์ฑ) |
| weakness (ํ์ฝ; ์ ์ฝํ ๊ฑธ์, ์ํ) | splenomegaly (๋น์ฅ์ข ๋) |
| hepatomegaly (๊ฐ์ข ๋) | |
| abdominal pain (๋ณต๋ถ ํต์ฆ) |
- ๊ณ ์์ด์์ ์ถ๊ฐ๋ก ๋ํ๋๋ ์๊ฒฌ : ์ฌ์ก์, ์ด, ์ฐฝ๋ฐฑ, ํฉ๋ฌ, hypothermia, lymphadenomegaly
- ์์ ์ฆ์์ ๊ธฐ๊ฐ : ์งง์ ํธ, ํ๊ท 4-5์ผ.
- ๋ฐ๋ปํ ๊ณ์ ์ ๋ฐ์ ์ฆ๊ฐ - ๋ด์ด๋ฉด ํ์ฐํ IMHA ์ง๋จ์ด ์ฆ๊ฐํ๋ ํธ.
Diagnosis
- ๋ฉด์ญ ๋งค๊ฐ์ฑ + ์ฉํ์ฑ + ๋นํ ์ ๋ํ ํ์ธ โ ํ์ง.
ACVIM IMHA consensus (2019)
- 2๊ฐ์ง ์ด์์ ๋ฉด์ญ ๋งค๊ฐ์ฑ ๊ทผ๊ฑฐ : spherocyte, SAT ๊ฒ์ฌ ์์ฑ, DAT ๊ฒ์ฌ ์์ฑ
- 1๊ฐ์ง ์ด์์ ์ฉํ ๊ทผ๊ฑฐ : Hyperbilirubinemia, bilirubinuria, ํฉ๋ฌ ๋ฑ
- ํ๊ด๋ด์ฉํ โ hemoglobiemia, hemoglobinuria,
1) Anemia ํ์ธ
- ๋นํ = ์ ํ๊ตฌ๊ฐ ๋ถ์กฑํ ์ํ.
- ๊ทธ ์์ธ์ผ๋ก๋
- Hemorrahge - ์ถํ (์ ํ๊ตฌ ์์ค)
- Hemolysis - ์ฉํ (์ ํ๊ตฌ๊ฐ ์ฒด๋ด์์ ํ์, decreased lifespan)
- Decreased production - ์ ํ๊ตฌ ์์ฑ ์ด์ (๊ณจ์ or ๊ณจ์์ธ ์ด์)
IMHA์์
- Moderate ~ marked anemia (์ค๋ฑ๋ ~ ๋๋๋ฌ์ง; ํ๊ท PCV 13%)
- ์ฃผ๋ก ์ฌ์์ฑ(regenerative) ๋นํ / ๊ฐ์์ 30%, ๊ณ ์์ด์์ 50% ์ด์ ๋น์ฌ์์ฑ(nonregenerative).
- ์ ๋น์ฌ์์ฑ์ผ๋ก ๋ํ๋๋๊ฐ?
- (1) ๊ณจ์๊ฐ ๋นํ์ ๋ฐ์ํ์ฌ ์ฌ์์ฑ์ด ์๊ธฐ๊ธฐ ์ ์ด๊ฑฐ๋ (3-5์ผ ์์)
- (2) ๊ณจ์์ ์ ๊ตฌ์ฒด์ ํญ์ฒด๊ฐ ์๊ฒจ, reticulocytes๋ค์ด ๋ง์ด ์ํ์ผ๋ก ๋๊ฐ๊ธฐ ์ ์ด๋ฏธ ํ๊ดด
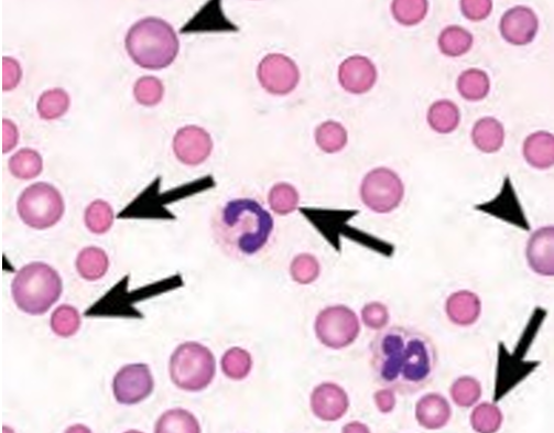
- CBC์ Inflammatory leukogram ๋ํ๋ ์ ์์. (ํธ์ค๊ตฌ์ ๋จํต๊ตฌ ์ฆ๊ฐ, ๋ฆผํ๊ตฌ์ ํธ์ฐ๊ตฌ ๊ฐ์, ๋ฏธ์ฑ์ ์ธํฌ๊ฐ ์ฆ๊ฐํ๋ ํต์ข๋ฐฉ์ด๋ ๋๋ฐ)
- 60%์์ mild~severe thrombocytopenia
- ํ์ํ๊ณผ ์ ํ๊ตฌ ๋ชจ๋์์ ํญ์ฒด๊ฐ ์๊ธฐ๋ Evans syndrome์ผ ๋, IMHA๋ก ์ธํด DIC ๋ฐ์ํ์ ๋, ํ์ํ์ด ๋น์ฅ์ ๊ฒฉ๋ฆฌ๋์์ ๋(splenic sequestration - very rare)
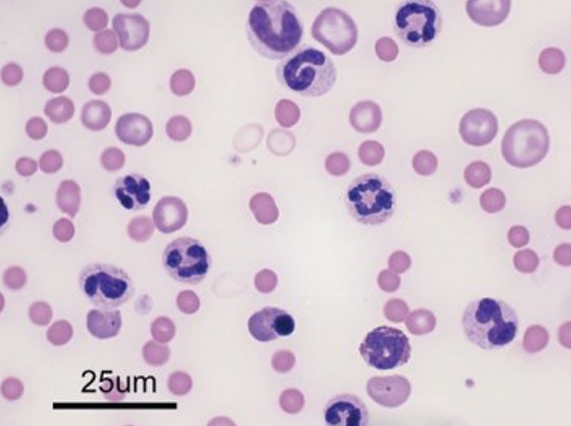
CBC์์ ๋ณด์ผ ์ ์๋ ์๊ฒฌ
- Anemia
- Polychromasia (๋ค์ผ์์ฑ; ๋ฏธ์ฑ์์ ํ๊ตฌ๊ฐ ๋ง์ด๋ก ๋ง์ด ๋์ ์ผ์์์ด ๋ค์)
- Autoagglutination
- Spherocytosis
- Ghost cells
- Evidence of inflammation (increased neutrophils, bands, metamyelocytes, monocytes)
- Thrombocytopenia
Biochemical profile์์ ๋ณด์ผ ์ ์๋ ์๊ฒฌ
- Hemoglobinemia / -uria
- Hyperbilirubinemia / -uria
- Increased alanine aminotransferase
- Increased akaline phosphatase
(ํ์ค, ์์ค์ ํค๋ชจ๊ธ๋ก๋น, ๋น๋ฆฌ๋ฃจ๋น, ๊ฐํจ์ ์์น ์์น)
2) Immune-mediated ํ์ธ
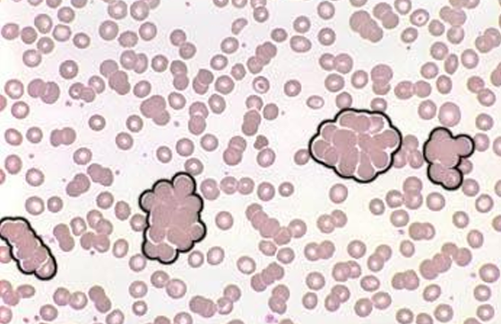
- Autoagglutination or Spherocytosis : ํญ์ฒด๊ฐ ๋งค๊ฐํ๋ ์ ํ๊ตฌ ์ฉํ์ ์ง์ ์ ์ธ ์ฆ๊ฑฐ
| ๊ฒ์ฌ๋ฒ | |
|---|---|
| Autoagglutination test Macroscopic, microscopic examination | - ์๊ฐ์์ง ์๋์ง ์ก์ ํ์ธ - EDTA ํ๋ธ์์ ๋ฏธ์ธํ ์ ๋ค์ด ํ๋ธ ๋ฒฝ์ ๋ถ๋ ์์ - ์ฌ๋ผ์ด๋์ ํ์ก drop โ ์ ํ๊ตฌ๊ฐ ๋ญ์น๋ ํ์ ![]() ![]() ![]() (* ์๋ฆฌ์์ผ์๋ก ํด์ํด์ Rouleaux(์ผ์ )๊ณผ ๊ตฌ๋ถ!) |
| Spherocytes - ํฌ๊ธฐ๊ฐ ์์ - central pallor ์์ | - ๊ฐ์์๋ ์ฝ๊ฒ ์๋ณ ๊ฐ๋ฅํ๋, ๊ณ ์์ด์์๋ ์ด๋ ค์(์ ์ ์ ํ๊ตฌ๋ central pallor ์์) - Hallmark morphologic change : 90% ์ด์์ IMHA dogs์์ ๊ด์ฐฐ๋จ. * 1000๋ฐฐ ์์ผ์์ 11-50๊ฐ์ spherocyte โ ์ง๋จ ๊ธฐ์ค์ 2 positive๋ก ์ทจ๊ธ - ๋ค๋ฅธ ์ง๋ณ์์๋ ๋ฎ์ ์์ spherocyte๋ ๊ด์ฐฐ ๊ฐ๋ฅ (์์ฐ ๋ ์ฑ ์ฉํ, ํ๊ตฌํ์ ์ฆํ๊ตฐ) - ๊ทน๋๋ก ๋น ๋ฅธ ์ฉํ์์๋ ์ ๊ฒ ๋ํ๋ ์ ์์. ![]() ![]() ![]() |
| Direct Coombs test (DAT ๊ฒ์ฌ) | - autoagglutination, spherocytosis ๊ด์ฐฐ๋์ง ์์ ๋ ์ค์ - โRBC ๋ง์ ํญ์ฒด๋ ๋ณด์ฒด๊ฐ ์๋ ๊ฒโ์ ์๋ฏธ - โRBC ๋ง์ ๋ํด ์ฉํ์ ์ ๋ฐํ๊ณ ์๋คโ๋ฅผ ์๋ฏธํ์ง ์์. โ IMHA์ ํ์ง์ ๋ฏผ๊ฐ(sensitive)ํ๊ฑฐ๋, ํน์ด(specific)ํ์ง ์์. - 60-80% ํ์์์ ์์ฑ ๊ฒฐ๊ณผ๊ฐ ๋ํ๋์ง๋ง, ์์์ฑ/์์์ฑ์ ์ฃผ์ํด์ผ. * ์ฌ๋์์๋ 4โ์์๋ ์ค์ (cold agglutination test) - ๊ฐ์์๋ ํ์ธ๋ ๋ฐ ์์. |
Secondary cause of IMHA
- ๊ธฐ์ ์งํ์ ์ฐพ๋ ๊ฒ์ ๊ด๋ฆฌ์ ์ํ๋ฅผ ์ํด ์ค์ํ๋ค.
DDx for secondary IMHA
3) ์ฉํ์ฑ ํ์ธ (RBC ๊ฒ์ฌ)
๊ณจ์ ๊ฒ์ฌ
-
๋น์ฌ์์ฑ ๋นํ์์ ๋ค์ ์๊ฒฌ๋ค์ด ๊ด์ฐฐ๋จ
- Erythroid hyperplasia + low M/E ratio
- rubricyte๋ metarubricyte stage์ maturation arrest
-
IMHA ์์ฌ ํ์๊ฐ ๊ณจ์ ๊ฒ์ฌ ๊ฒฐ๊ณผ PRCA๋ก ์ง๋จ๋๊ธฐ๋ ํจ.
-
myelofibrosis(๊ณจ์ ์ฌ์ ์ฆ)๊ฐ ์์ผ๋ฉด
- ๊ณจ์ ํก์ธ์ด ์ด๋ ค์ ์ ์ ํ ๊ณจ์ ์ฑ๋ถ์ ์์งํ๊ธฐ ์ด๋ ค์.
- ๊ณจ์ ์์์ ๋ํ 2์ฐจ์ ์ธ ๋ฐ์. ์น๋ฃ์ ๋ฐ์ํ๋ฉด ๋๋ถ๋ถ ํธ์ ๋จ.
-
IMHA ํ์์ ์ ํ์ ์ธ morphologic change : regnerative anemia, autoagglutination, spherocytes
- ์ด sign๋ค์ด ํ์ธ๋์ง ์์ผ๋ฉด ์ง๋จ ์ฝ์ง ์์.
-
Coombs test ์์ฑ ๊ฒฐ๊ณผ๋ ์์์ฑ ๊ฐ๋ฅ์ฑ์ ๊ณ ๋ คํด์ ์ฃผ์๊น๊ฒ ํด์๋์ด์ผ ํจ.
๐ฉธ Blood smear
(๋ฐ๋ก ์ ๋ฆฌ ๋ชปํจ, ๊ทธ๋ฌ๋ ์ฌ๊ธฐ๋ ์ค์ํ ๋ด์ฉ)
Treatment
IMHA์ ์น๋ฃ ๊ฒฐ์ ์ด ์ฝ์ง ์์ ์ด์
- ์ฐ๊ตฌ ๊ทผ๊ฑฐ ๋ถ์กฑ (์ ํ์ ์ฐ๊ตฌ < ํํฅ์ ์ฐ๊ตฌ โ ๊ฒฝํ์ ๋ฐ์ดํฐ๋ง ๋ง์)
- ์ํ๊ฐ ์ข์ง ์์
- ์น๋ฃ์ ๋น์ฉ์ด ๋ง์ด ๋ฆ (์ฒ์ ๋ฐ์ ์ ์ํ+์ฝ๋ฌผ ์น๋ฃ โ ๋น์, ํจ๊ณผ๋ ์ข์. / ์ฌ๋ฐํ๋ฉด ์ํ๋ ์ ์ข์,,)
- ์ฌ๊ฐํ ํฉ๋ณ์ฆ์ด ์ข ์ข ๋ฐ์ (Pulmonary thromboembolism, DIC)
โ ์ฃผ์น์์ ์ฃผ๊ด์ ์ธ ํ๋จ์ ์์กดํ ๋๊ฐ ๋ง์.
- ์น๋ฃ๋ 1) ์ฉํ ๋ฐฉ์ง(erythrophagocytosis๋ฅผ ์ ํด), 2) ๋ฉด์ญ ๋ฐ์ ์ ํด (ํญ์ฒด, ๋ณด์ฒด๊ฐ ์ ํ๊ตฌ์ ๋ถ์ง ์๋๋ก)
1) Hemolysis ์๋ฐฉ - Immunosuppressive drugs
์ด ๋ถ๋ถ์ 2๋จ์๊ณผ ์์ฃผ ๋ง์ด ๊ฒน์ณ์, ํต์ฌ ๋ด์ฉ+์๋ก์ด ๋ด์ฉ ์์ฃผ๋ก ๊ฐ๋จํ ์ ๋ฆฌํ๊ฒ ์.
Glucocorticoids
- first line, ๊ฒฝ๊ตฌ ํฌ์ฌ, 2.2mg/kg ์ ๋
- ์ฒ์์๋ ๊ณ ์ฉ๋์ผ๋ก ํฌ์ฌํ์ฌ ์น๋ฃ ํจ๊ณผ๋ฅผ ๋ธ ๋ค, ์ ์ฐจ ๊ฐ์
- ๋จ ๋ํ๊ฒฌ(> 30kg, ๋๋ํ๊ฒ 15-20kg ์ด์) ์์๋ ๋ฏผ๊ฐํ๋ฏ๋ก ์ฃผ์.
- ์ฒดํ๋ฉด์ ๊ธฐ์ค ํฌ์ฌ๊ฐ ์ข์. (mg/m2)
- ์น๋ฃ ํจ๊ณผ๊ฐ ๋น ๋ฅธ ํธ์ด์ง๋ง, full ์น๋ฃ์๋ 4์ฃผ ์ ๋ ๊ฑธ๋ฆฌ๋, ์ฒ์ฒํ ์น๋ฃ๋ฐ์ ๊ธฐ๋ค๋ฆฌ๊ธฐ.
- ์น๋ฃ ํจ๊ณผ ํ์ธ์..
- hematocrit ์ฆ๊ฐ / Coombs ๊ฒฐ๊ณผ๊ฐ ์์ฑ์ด์๋๋ฐ ์์ฑ์ผ๋ก ๋ฐ๋ / ์๊ฐ์์ง ํด์, spherocyosis ๊ฐ์ , reticulocyte ์ ์ ์์ค์ผ๋ก ํ๋ณต / ์ผ์ฆ ์ํ ๊ฐ์
- Hematocrit > 30%๋ฉด ์ ํ๋ณต๋๊ณ ์๋ค๋ ์๋ฏธ (์ ์ ๋ฒ์๋ 35-55% ์ ๋)
- 1๋ฌ์ 2-30%์ฉ 3-6๊ฐ์๊ฐ tapering (HCT, ๋ถ์์ฉ ์ ์ดํผ๋ฉฐ)
- 6๊ฐ์ ์ ๋ ์ง๋๋ฉด ๊ฒฉ์ผ ๋ณต์ฉ (PDS, azathioprine)
- ๋ค ๋์ผ๋ฉด ๋จ์ฝ ์๋
- ๋น ๋ฅด๊ฒ ๊ฐ๋ํ๋ฉด ์ฌ๋ฐ ์ํ ๋์ผ๋ ์ฒ์ฒํ, ๊ฐ์ฒด ์ฐจ์ด ๊ณ ๋ ค!
- ์น๋ฃ๋ฐ์ ์ ํ 2์ฃผ์ฉ CBC, reticulocyte count ๊ผฌ๋ฐ๊ผฌ๋ฐ ์ฒดํฌํ๊ธฐ
2nd ๋ฉด์ญ์ต์ ์ ๊ณ ๋ ค
- Glucocorticoid ์ฝ์ด ์ ๋ฃ์ง ์๊ฑฐ๋, ๊ธฐ๋๋งํผ ํจ๊ณผ๊ฐ ์๊ฑฐ๋, ๋ถ์์ฉ์ด ๋๋ฌด ์ฌํ ๋.
- ๋น ๋ฅด๊ฒ ์ ์ฉํ๋ ๊ฒ ๋์์ง, ์กฐ๊ธ ๊ธฐ๋ค๋ ค๋ณด๋ ๊ฒ ์ข์์ง๋ ๋ช
ํํ์ง ์์.
- ์ฅ์ ) ๋น ๋ฅธ ์น๋ฃ, ๋ฐ์์ด ๋ํ๋๊ธฐ๊น์ง 2-4์ฃผ ๊ฑธ๋ฆฌ๋ฏ๋ก ๋ฏธ๋ฆฌ ํฌ์ฝํด์ผ ์ ๋ ํจ๊ณผ
- ๋จ์ ) ๊ฐ์ผ ์ทจ์ฝ, ์น๋ฃ์ ์ด์ต์ด ๋ถ๋ถ๋ช ํจ. ๊ฐ์ด๋๋ผ์ธ ๋ถ์กฑ.
- ์ด๊ฒ๋ ์ ํด์ง ์ฉ๋์์ ํฌ์ฌ ์์ํ๊ธฐ
- 2nd ๋ฉด์ญ์ต์ ์ ์ ์งํ๋ฉด์ steroid ๋จผ์ ๊ฐ๋ํ๊ณ โ steroid ๋จ์ฝ ํ ๋ฉด์ญ์ต์ ์ ๊ฐ๋๋ ๊ณ ๋ คํด๋ณด๋ฉด ๋จ. (๋ค๋ง, ๋ฉด์ญ์ต์ ์ ๋ ๋ฐ๋์ tapering ํด์ผ ํ๋๊ฐ?์ ๋ํ ํฉ์ X)
INDICATIONS?
- gluticorticoid ํฌ์ฌ 5-7์ผ ๋ด์ ๋ฐ์์ด ์์ ๋
- ์ํ์ด 2๋ฒ ์ด์ ํ์ํ ๋
- glucocorticoid ๋ถ์์ฉ์ ๊ฒฌ๋๊ธฐ ํ๋ค ๋(ํนํ ๋ํ๊ฒฌ)
- ๋ถ๋ํ ์ํ ์ธ์ (ํ๊ด๋ด์ฉํ, ์ฌ๊ฐํ ํฉ๋ฌ, ์๊ฐ์์ง ์ง์, Evans syndrome ๋ฑ)
- Acuteํ๊ฒ ์งํ๋ ๋ (24์๊ฐ ์ด๋ด PCV 5% ์ด์ ๊ฐ์)
| ์ฝ๋ฌผ | |
|---|---|
| (1) Azathioprine | - ์น๋ฃ ํจ๊ณผ๋ ์์กด ๊ธฐ๊ฐ ๊ฐ์ ์ ๋ํ ํต๊ณ์ ๊ทผ๊ฑฐ ์์. - ๊ณจ์ ์ต์, ๊ฐ๋ ์ฑ ๋ถ์์ฉ ์ฃผ์ โ CBC & hepatic enzymes ๋ ์ ๊ธฐ์ ์ผ๋ก! - ํ๋ฃจ 1๋ฒ ํฌ์ฌ๋ก ์์ โ ์ ์ฐจ ๊ฒฉ์ผ ๋ณต์ฉ์ผ๋ก ๊ฐ๋(EOD; every other day) |
| (2) Cyclosporine | - perianal pistula ๋ฑ์๋ ๋ง์ด ์ฐ์. - ์กฐ๊ธ ๋ ๋น์, ๋ฉด์ญ์ต์ ํจ๊ณผ ์ข์์ ๊ฐ์ผ ๋ชจ๋ํฐ๋ง ํ์. - cyclophilin๊ณผ ๊ฒฐํฉํด์ IL์ด ์ผ์ผํค๋ ๋ฉด์ญ๋ฐ์์ ์ฐจ๋จํจ. - IL-2 ์ต์ ์ ํนํ ํจ๊ณผ. IMHA ํ์ ์ค IL-2 ๋ง์ด ์ฆ๊ฐํ ํ์์ ์ฌ์ฉ - PDS, azathioprine์ ํจ๊ณผ ์๋ ๊ฐ์์ ์ข์ ๋์ฒด ์ฝ๋ฌผ. (๋ ์์ , ํจ๊ณผ์ ) |
| (3) MMF | - Azathioprine์ ๋ถ์์ฉ์ ์ค์ฌ, ๊ฐ์ฅ ์ต๊ทผ์ ๊ฐ๋ฐ๋ ์ ์ฝ. - dose-dependentํ ์์ฅ๊ด ๋ ์ฑ (์ฉ๋ ์ ์งํค๋ฉด ๋จ) - ์ธ๊ตญ์์๋ ์ฃผ์ฌ ์ ์ ๋ก ์ฌ์ฉ ๊ฐ๋ฅ |
| (4) hIVIG | - IMHA ํจ๊ณผ ์๋์ง ๊ทผ๊ฑฐ๋ ๋งค์ฐ ๋ถ์กฑํจ - ๋งค์ฐ ๋น์ผ ํธ์ด๋, ๊ธํ ๋ ๊ตฌ์ ์ฝ๋ฌผ๋ก ๋จ๊ธฐ๊ฐ ์ฌ์ฉ. |
| ๊ธฐํ | - Leflunomide : ์ฌ๋์์๋ ๋ฅ๋งํฐ์ค ๊ด์ ์ผ์ ํจ๊ณผ, ๊ฐ์์๋ broadํ๊ฒ ์ฌ์ฉ. ๊ทธ๋ฌ๋ IMHA์์๋ Aza, Cyclo, MMF๋ฅผ ์ฐ์ ์ผ๋ก ์ฌ์ฉํ๋ ํธ. - Cyclophosphamide โ : IMHA์์ ํจ๊ณผ๊ฐ ์ ํ ์๋ค๊ณ ๋ฐํ์ง ์ ์ผํ ์ฝ๋ฌผ. - ํจ๊ณผ ์์ ์ ๋น์ฅ ์ ์ ์ (splenectomy)๋ ๊ณ ๋ ค |
2) Blood Transfusion (์ํ)
- ๊ธ์ฑ์ ์ฌ๊ฐํ IMHA์์๋ ์ฐ์๋ฅผ ์ด๋ฐํ ์ ํ๊ตฌ๊ฐ ์๊ธฐ ๋๋ฌธ์ ์ฐ์ ๊ณต๊ธ & ์ํ ํ์.
- ์ฐ์ ๊ณต๊ธ ๋จ๋ ์ผ๋ก๋ ํจ๊ณผ๊ฐ ์ ํ์ .
- ์ค์ฆ๋๋ ๊ธ์ฑor๋ง์ฑ / ๋ณ๋ฐ ์งํ์ ์ฌ๋ถ์ ์ ๋ (pulmonary thromboembolism, GI ์ถํ) ๊ณ ๋ คํ์ฌ ๊ฒฐ์ .
- ์์ ์ ๋ช ๋ฐฑํ ๋นํ ์ฆ์ (Tachycardia, tachypnea, anorexia, lethargy, weakness) ์์ ๋๋ง ๊ถ๊ณ ๋จ.
- acute IMHA + PCV <15% โ ์กฐ์ง ์ ์ฐ์์ฆ(hypoxia) ์์ผ๋ฏ๋ก ์ํ ๊ถ์ฅ!
- ๊ทธ๋ฌ๋ ์ ๋์ ์ธ ์์น๋ ์๊ณ ๋ฐ๋์ ๊ฐ๋ณ์ ์ผ๋ก ๊ณ ๋ ค.
- packed RBCs๊ฐ ์ด์์ - ํ์ฅ ์ฑ๋ถ์ ํ์ํ์ง ์๊ณ , ๋ถ์์ฉ ์ํ์ด ์ฆ๊ฐํจ.
- but ์ํฉ์ ๋ฐ๋ผ ํ์ฅ๋ ๊ฐ์ด ๋ฃ์ด์ฃผ๋ ๊ฒ (์ ํ์ ๋ฃ์ด์ฃผ๋ ๊ฒ) ์ข์ ์๋ ์์. โ ์ฌํ ์ถํ, ํ์ฅ ๋จ๋ฐฑ์ง ๋ถ์กฑ, ํ์, ์๊ณ ์ธ์ ๋ถ์กฑ ๋ฑ์ ์ํฉ
3) Thromboembolism(ํ์ ) ์๋ฐฉ
- TEG(thromboelastrography) ์ผ๋ก ์ธก์ .
- IMHA๋๋ํ์ ์ผ๋ก ๊ณผ์๊ณ ์ ๋ฐ / ํ์ํ(ํ์ก ์๊ณ ) ์์ฒด๊ฐ ์ ์ผ๋ฉด IMHA์ฌ๋ ์ ์๊ณ ๋์ฌ ์ ์์.
- ํ์ (TEs; Thromboembolic events)์ 29-100%๊น์ง ๋ฐ์, ํ์ฌ์ ์ฃผ์ ์์ธ.
- ์นดํ ํฐ ์ฅ์ฐฉ โ ํ์ ์ํ์ ๋์.
- thrombocytopenia, hyperbilirubinemia, leukocytosis, hypoalbuminemia : ํ์ ์ํ ์ฆ๊ฐ.
- ํ์ ์ด ๋ํ๋๋ ๊ณผ์ ์ด๋, ํ์ ์๋ฐฉ์ ํจ๊ณผ์ ์ธ ์ฝ๋ฌผ์ ๋ฐํ์ง ๋ฐ ์์.
ํ์ ์๋ฐฉ ์ฝ๋ฌผ
- ํ์ํ๊ฐ์์ฆ์ด ์ฌ๊ฐํ ๋๋ thromboprophylaxis(ํ์ ์๋ฐฉ) ๋ณด๋ฅ. : platelet <30000/ฮผL
- ํ์ก ์๊ณ ์ ๋๋ ์ํฉ์์, ํญํ์ ์ ๊น์ง ๋ฃ์ผ๋ฉด ๋ ์ ํ
- heparin, low-molecular-weight heparin, aspirin, clopidogrel ํน์ ์ด๋ค์ ์กฐํฉ.
- Heparin : anti-Xa ํ์ฑ, aPTT ์ธก์ ํด ๊ฐ๋ฉฐ ์กฐ์ ํด์ ํฌ์ฌํ๋ฉด ๋ ์ํ ์ข์. (ํ์ค์ ์ผ๋ก ์ฝ์ง ์์)
- Low-molecular-weight heparin (LMWH) : SC๋ก ํฌ์ฌ, Dalteparin, Enoxaparin.
- Low-dose aspirin (0.5mg/kg) : PDS+azathioprine+low-dose aspirin ๋ง์ด์ผ์.
- ์ง๊ธ์ clopidogrel, rivaroxaban ๋ฑ ๋ ์ข์ ์ฝ๋ฌผ์ด ๋์ด.
- Clopidogrel bisulfate : ํญํ์ํ์ , ๊ณ ์์ด ๋น๋์ฑ ์ฌ๊ทผ๋ณ์ฆ์์ ์๊ธฐ๋ ํ์ ์์ gold standard.
- ๊ณ ์์ด ๋น๋์ฑ ์ฌ๊ทผ๋ณ์ฆ(HCM, hyperchlomyopathy) โ FATE (Feline Arterial Thromboembolism)
- HCM์ผ๋ก ํ์ ์๊ธฐ๋ฉด ๋ง๋น๋๊ณ ํผ๊ฐ ์ ํตํด ๋ค๋ฆฌ๋ฅผ ์ ์ ์์.
- Rivaroxaban : Xa inhibitor๋ฅผ ๊ฒฝ๊ตฌ ํฌ์ฌ. ํด์ ์ ์ฃผ๊ธฐ ์ข์ ์ฝ๋ฌผ. (Xa โ ์๋ ํ )
4) Supportive care
Fluid therapy
- ํ์์ ์ฆ๊ฑฐ๊ฐ ๋ช ํํ ๋ ์กฐ์ง ๊ด๋ฅ๊ฐ์ ์ ์ํด ์ํ + fluid therapy ์ด์ฉ ๊ฐ๋ฅ.
- ํ์ ๊ฐ์์ ์์ก ์น๋ฃ โ hematocrit ๊ฐ์ but total RBC mass์๋ ๋ณํ ์์.
- ํ์ ๊ต์ ํ๋ฉด PCV๊ฐ ๋จ์ด์ง๋ ๊ฒ ์ ์, ๊ทธ๋ฌ๋ ๊ทธ๊ฒ ์ง์ง PCV๋๊น ๊ฑฐ๊ธฐ ๋ง์ถฐ์ ์น๋ฃ ๋ฐ ์ํ ํ๊ฐ ํ๋ ๊ฒ ๋ง์.
Underlying disease
- ๊ธฐ์ ์งํ ์์ผ๋ฉด, ์๋ฐ ์์ธ ์น๋ฃ๊ฐ ์ฐ์ .
- ํ์ํ ๊ฒฝ์ฐ ๋ฉด์ญ์ต์ ์ ์ฌ์ฉํ ์๋ ์์ผ๋, ๊ธฐ์ ์งํ ์น๋ฃ๊ฐ ๋ ์ค์ํจ.
- ๊ฐ์ผ์ฑ ์งํ์ผ ๊ฒฝ์ฐ steroid, ๋ฉด์ญ์ต์ ์ ์ฌ์ฉ ์ฃผ์.
๋ฉด์ญ์ต์ ์ ์กฐํฉ
- ๊ณจ์ ์ต์, ๊ฐ์ผ ์ํ, GI ๊ถค์๊ณผ ์ถํ, iatrogenic hyperadrenocorticism(์ฟ ์ฑ) ์ํ โ ๋ถ์์ฉ ์ ๋๋นํด์ ์ ๋ง ๋จ๊ธฐ๊ฐ ์ฌ์ฉ!
- ์์ฅ๊ด์ถํ์ ์๋ฐฉ์ ์ํด sucralfate / famotidine(H2 blocker) / omeprazole (proton pump inhibitor) ์ฌ์ฉ
Prognosis
- primary IMHA์ ์น์ฌ์จ : 26~70% (๊ทธ ์ค 30-60%๋ ํ์ ์ผ๋ก ์ฌ๋ง)
- ํน์ ๋ฉด์ญ์ต์ ์ ๋ก ์ธํ ๊ฐ์ผ, ๋นํ ์กฐ์ ์คํจ, DIC โ ์ฐ์ ๊ณต๊ธ ๋ถ์กฑ, ๋ค๋ฐ์ฑ ์ฅ๊ธฐ ์์์ผ๋ก ์ฌ๋ง
- ํ์ํ ์๋ชจ์ฑ์ด ์๋ ์งํ์ด๋ผ, ๊ณผ์๊ณ ์ํ์์ ์คํ๋ ค ์ํ๊ฐ ์ข์ ์๋?
- major thromboembolism โ ๊ทน๋๋ก ์ํ ๋ถ๋
| GOOD prognosis |
|---|
| - PDS ์น๋ฃ ๋ฐ์ ์ข์ ๋ - PCV 30% ์ด์์ผ๋ก ์ ์ ์ง๋ ๋ - ๊ธฐ์ ์งํ์ ์น๋ฃ๊ฐ ์ฌ์ธ ๋ |
| BAD prognosis |
| - Steroid ๋ฐ์์ฑ ์์ด ๋ค๋ฅธ ์ฝ๋ฌผ ํ์ํ ๋ - ์๊ฐ์์ง์ด ๊ณ์๋ ๋ - ์ ์ฅ ๊ธฐ๋ฅ์ด ๊ฐ์ํ์ฌ Azotemia๊ฐ ๋ํ๋ ๋ - Bilirubin ๋๋๊ฐ ๋์์ง ๋ (hyperbilirubinemia) - ํ์ํ ๊ฐ์๊ฐ ๋๋ ทํ (thrombocytopenia) - ์ผ์ฆ์ด ์ฌํด ์ฌ๊ฐํ leukocytosis ์์ ๋ |
Feline IMHA
- secondary ๋น์จ์ด ๋ ๋์.
- ์ด๋ฆฐ ์ฐ๋ น (ํ๊ท 2์ด ์ดํ)์์ ์ ๊ฑธ๋ฆผ.
- ์ค์ฑํ ์ฌ๋ถ ์๊ด์์ด ์์ปท์์ ํธ๋ฐ.
- ์ฌ์์ฑ/๋น์ฌ์์ฑ ๋นํ ๋ฐ๋ฐ
- PDS ๋จ๋ ์น๋ฃ์ ๋ฐ์์ด ๊ด์ฐฎ์ ํธ โ ๋น๋จ ์ฃผ์!
- chlorambucil ๋ง์ด ์, azathioprine์ ์ฌ์ฉ ๊ธ์ง.
- Feline leukemia virus, Mycoplasma haemofelis : ํํ ์๋ฐ ์์ธ









